Revision 1

#49825

Store at -20C

CST Logo
Orders:

877-616-CELL (2355)

[email protected]

Support:

877-678-TECH (8324)

3 Trask Lane | Danvers | Massachusetts | 01923 | USA

For Research Use Only. Not for Use in Diagnostic Procedures.

Applications:
W, IHC-P, IF-IC, FC-FP

Reactivity:
H

Sensitivity:
Endogenous

MW (kDa):
43

Source/Isotype:
Rabbit IgG

UniProt ID:
#P53985

Entrez-Gene Id:
6566

Product Usage Information

This product is the carrier free version of product #76508. All data were generated using the same antibody clone in the standard formulation which contains BSA and glycerol.

This formulation is ideal for use with technologies requiring specialized or custom antibody labeling, including fluorophores, metals, lanthanides, and oligonucleotides. It is not recommended for ChIP, ChIP-seq, CUT&RUN or CUT&Tag assays. If you require a carrier free formulation for chromatin profiling, please contact us. Optimal dilutions/concentrations should be determined by the end user.

BSA and Azide Free antibodies are quality control tested by size exclusion chromatography (SEC) to determine antibody integrity.

Formulation

Supplied in 1X PBS (10 mM Na2HPO4, 3 mM KCl, 2 mM KH2PO4, and 140 mM NaCl (pH 7.8)). BSA and Azide Free.

For standard formulation of this product see product #76508

Storage

Store at -20°C. This product will freeze at -20°C so it is recommended to aliquot into single-use vials to avoid multiple freeze/thaw cycles. A slight precipitate may be present and can be dissolved by gently vortexing. This will not interfere with antibody performance.

Specificity/Sensitivity

MCT1/SLC16A1 (E7A2K) Rabbit Monoclonal Antibody (BSA and Azide Free) recognizes endogenous levels of total MCT1/SLC16A1 protein.

Source / Purification

Monoclonal antibody is produced by immunizing animals with a synthetic peptide corresponding to residues surrounding Gly472 of human MCT1/SLC16A1 protein.

Background

MCT1, also known as MOT1, is a multi-pass transmembrane monocarboxylate transporter (MCT) protein, encoded by the gene SLC16A1 (1,2). MCT1 is reported to be expressed in multiple tissues and cell types, including erythrocytes, immune cells, and both cardiac and skeletal myocytes. The primary role of MCT1 is to facilitate proton-coupled transport of monocarboxylates (e.g., lactate, pyruvate, ketone bodies) across the plasma membrane in response to cellular metabolic demands (1). The regulation of monocarboxylate flux by MCT1 has been identified as a possible metabolic biomarker in various diseases, including neurodegenerative diseases, ischemia, and cancer (2-5). Inhibition of MCT1 has thus been proposed as a potential therapeutic treatment of cancer (5,6).

Species Reactivity

Species reactivity is determined by testing in at least one approved application (e.g., western blot).

Applications Key

W: Western Blotting IHC-P: Immunohistochemistry (Paraffin) IF-IC: Immunofluorescence (Immunocytochemistry) FC-FP: Flow Cytometry (Fixed/Permeabilized)

Cross-Reactivity Key

H: Human

Trademarks and Patents

Cell Signaling Technology is a trademark of Cell Signaling Technology, Inc.

All other trademarks are the property of their respective owners. Visit cellsignal.com/trademarks for more information.

Limited Uses

Except as otherwise expressly agreed in a writing signed by a legally authorized representative of CST, the following terms apply to Products provided by CST, its affiliates or its distributors. Any Customer's terms and conditions that are in addition to, or different from, those contained herein, unless separately accepted in writing by a legally authorized representative of CST, are rejected and are of no force or effect.

Products are labeled with For Research Use Only or a similar labeling statement and have not been approved, cleared, or licensed by the FDA or other regulatory foreign or domestic entity, for any purpose. Customer shall not use any Product for any diagnostic or therapeutic purpose, or otherwise in any manner that conflicts with its labeling statement. Products sold or licensed by CST are provided for Customer as the end-user and solely for research and development uses. Any use of Product for diagnostic, prophylactic or therapeutic purposes, or any purchase of Product for resale (alone or as a component) or other commercial purpose, requires a separate license from CST. Customer shall (a) not sell, license, loan, donate or otherwise transfer or make available any Product to any third party, whether alone or in combination with other materials, or use the Products to manufacture any commercial products, (b) not copy, modify, reverse engineer, decompile, disassemble or otherwise attempt to discover the underlying structure or technology of the Products, or use the Products for the purpose of developing any products or services that would compete with CST products or services, (c) not alter or remove from the Products any trademarks, trade names, logos, patent or copyright notices or markings, (d) use the Products solely in accordance with CST Product Terms of Sale and any applicable documentation, and (e) comply with any license, terms of service or similar agreement with respect to any third party products or services used by Customer in connection with the Products.

Orders: 877-616-CELL (2355) [email protected] Support: 877-678-TECH (8324) [email protected] Web: cellsignal.com
For Research Use Only. Not for Use in Diagnostic Procedures.

Revision 1

Cell Signaling Technology Logo
Western blot analysis of extracts from various cell lines using MCT1/SLC16A1 (E7A2K) Rabbit mAb (upper) or GAPDH (D16H11) XP® Rabbit mAb #5174 (lower). Negative expression of MCT1/SLC16A1 protein in NCI-H3255 cells is consistent with the predicted expression pattern. Data were generated using the standard formulation of this product.
Western Blotting Image 1: MCT1/SLC16A1 (E7A2K) Rabbit Monoclonal Antibody (BSA and Azide Free)
Immunohistochemical analysis of paraffin-embedded human prostate adenocarcinoma using MCT1/SLC16A1 (E7A2K) Rabbit mAb. Data were generated using the standard formulation of this product.
Immunohistochemistry Image 1: MCT1/SLC16A1 (E7A2K) Rabbit Monoclonal Antibody (BSA and Azide Free)
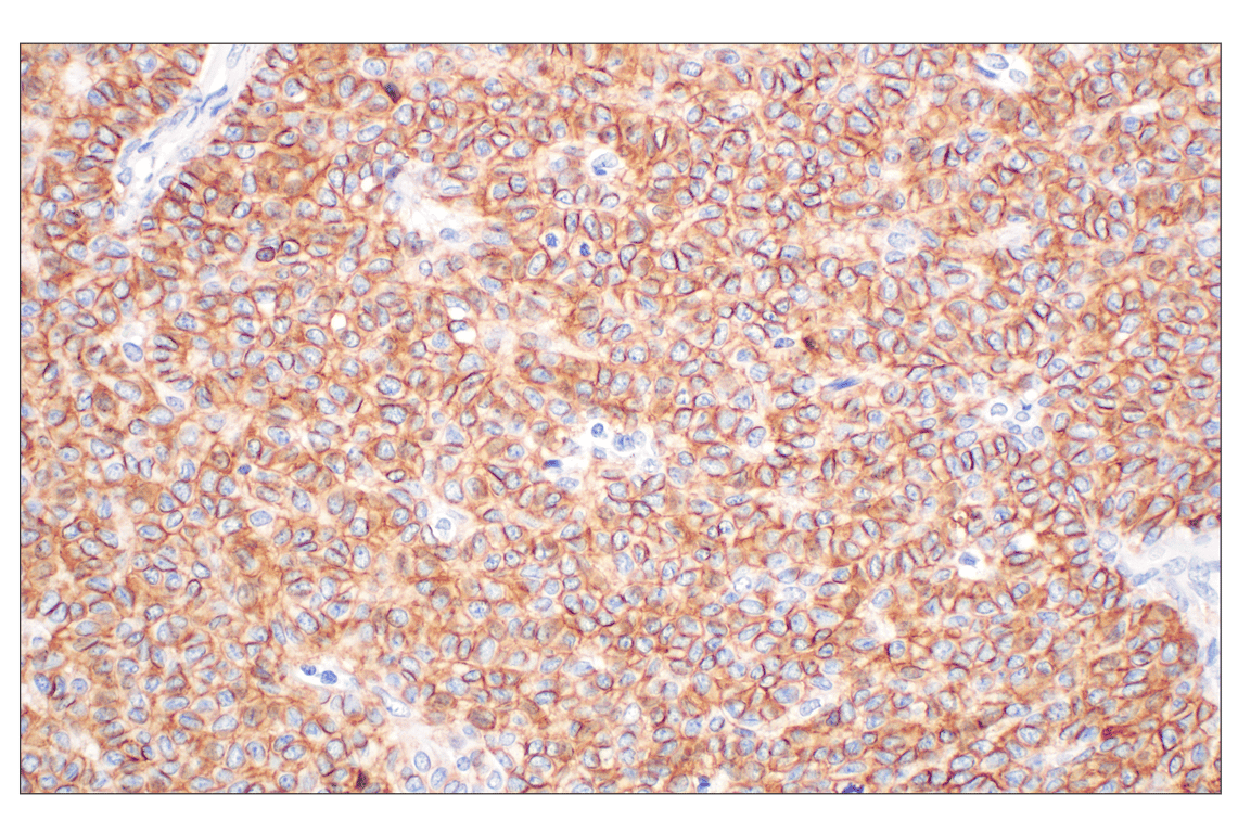
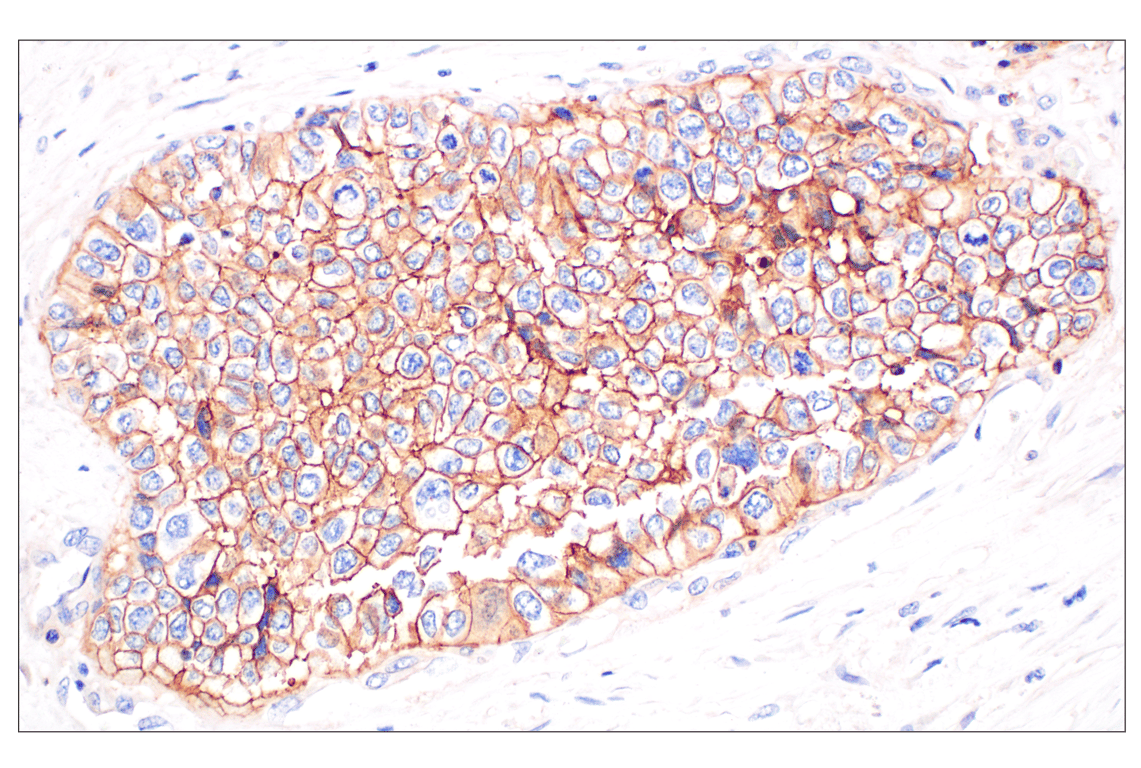
Immunohistochemical analysis of paraffin-embedded human granulosa cell tumor of the ovary using MCT1/SLC16A1 (E7A2K) Rabbit mAb. Data were generated using the standard formulation of this product.
Immunohistochemistry Image 2: MCT1/SLC16A1 (E7A2K) Rabbit Monoclonal Antibody (BSA and Azide Free)
Orders: 877-616-CELL (2355) [email protected] Support: 877-678-TECH (8324) [email protected] Web: cellsignal.com
For Research Use Only. Not for Use in Diagnostic Procedures.

Revision 1

Cell Signaling Technology Logo
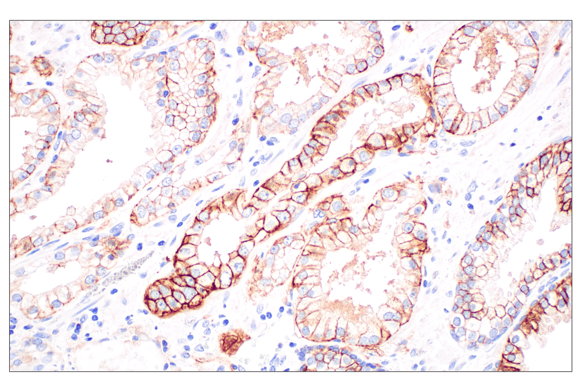
Immunohistochemical analysis of paraffin-embedded human urothelial carcinoma using MCT1/SLC16A1 (E7A2K) Rabbit mAb. Data were generated using the standard formulation of this product.
Immunohistochemistry Image 3: MCT1/SLC16A1 (E7A2K) Rabbit Monoclonal Antibody (BSA and Azide Free)
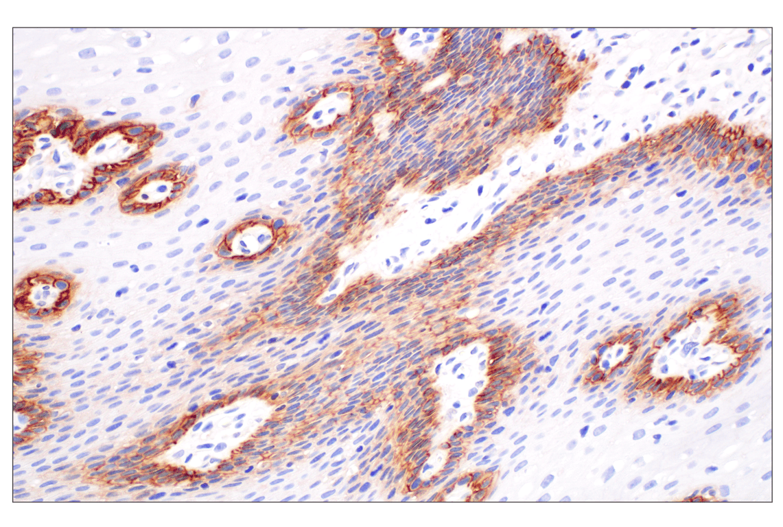
Immunohistochemical analysis of paraffin-embedded normal human esophagus using MCT1/SLC16A1 (E7A2K) Rabbit mAb. Data were generated using the standard formulation of this product.
Immunohistochemistry Image 4: MCT1/SLC16A1 (E7A2K) Rabbit Monoclonal Antibody (BSA and Azide Free)
Immunohistochemical analysis of paraffin-embedded normal human uterus using MCT1/SLC16A1 (E7A2K) Rabbit mAb. Data were generated using the standard formulation of this product.
Immunohistochemistry Image 5: MCT1/SLC16A1 (E7A2K) Rabbit Monoclonal Antibody (BSA and Azide Free)
Orders: 877-616-CELL (2355) [email protected] Support: 877-678-TECH (8324) [email protected] Web: cellsignal.com
For Research Use Only. Not for Use in Diagnostic Procedures.

Revision 1

Cell Signaling Technology Logo
Immunohistochemical analysis of paraffin-embedded normal human brain using MCT1/SLC16A1 (E7A2K) Rabbit mAb. Data were generated using the standard formulation of this product.
Immunohistochemistry Image 6: MCT1/SLC16A1 (E7A2K) Rabbit Monoclonal Antibody (BSA and Azide Free)
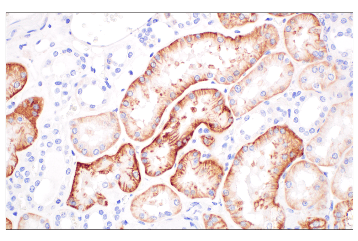
Immunohistochemical analysis of paraffin-embedded normal human kidney using MCT1/SLC16A1 (E7A2K) Rabbit mAb. Data were generated using the standard formulation of this product.
Immunohistochemistry Image 7: MCT1/SLC16A1 (E7A2K) Rabbit Monoclonal Antibody (BSA and Azide Free)
Immunohistochemical analysis of paraffin-embedded human normal stomach adjacent to gastric carcinoma using MCT1/SLC16A1 (E7A2K) Rabbit mAb (left) or an MCT1/SLC16A1 Rabbit mAb (right). These two antibodies detect unique, non-overlapping epitopes on human MCT1/SLC16A1. The similar staining patterns obtained with both antibodies help to confirm the specificity of the staining. Data were generated using the standard formulation of this product.
Immunohistochemistry Image 8: MCT1/SLC16A1 (E7A2K) Rabbit Monoclonal Antibody (BSA and Azide Free)
Orders: 877-616-CELL (2355) [email protected] Support: 877-678-TECH (8324) [email protected] Web: cellsignal.com
For Research Use Only. Not for Use in Diagnostic Procedures.

Revision 1

Cell Signaling Technology Logo
Immunohistochemical analysis of paraffin-embedded normal human liver using MCT1/SLC16A1 (E7A2K) Rabbit mAb (left) compared to concentration-matched Rabbit (DA1E) mAb IgG XP® Isotype Control #3900 (right). Data were generated using the standard formulation of this product.
Immunohistochemistry Image 9: MCT1/SLC16A1 (E7A2K) Rabbit Monoclonal Antibody (BSA and Azide Free)
Immunohistochemical analysis of paraffin-embedded AGS cell pellet (left, positive) or NCI-H3255 cell pellet (right, negative) using MCT1/SLC16A1 (E7A2K) Rabbit mAb. Data were generated using the standard formulation of this product.
Immunohistochemistry Image 10: MCT1/SLC16A1 (E7A2K) Rabbit Monoclonal Antibody (BSA and Azide Free)
Confocal immunofluorescent analysis of IMR-32 cells (left, positive) and NCI-H3255 cells (right, negative) using MCT1/SLC16A1 (E7A2K) Rabbit mAb (green), DyLight™ 650 Phalloidin #12956 (red), and DAPI #4083 (blue). Data were generated using the standard formulation of this product.
Immunofluorescence Image 1: MCT1/SLC16A1 (E7A2K) Rabbit Monoclonal Antibody (BSA and Azide Free)
Orders: 877-616-CELL (2355) [email protected] Support: 877-678-TECH (8324) [email protected] Web: cellsignal.com
For Research Use Only. Not for Use in Diagnostic Procedures.

Revision 1

Cell Signaling Technology Logo
Flow cytometric analysis of NCI-H3255 cells (blue, negative) and IMR-32 cells (green, positive) using MCT1/SLC16A1 (E7A2K) Rabbit mAb (solid lines) or a concentration matched Rabbit (DA1E) mAb IgG XP® Isotype Control #3900 (dashed lines). Anti-rabbit IgG (H+L), F(ab')2 Fragment (Alexa Fluor® 488 Conjugate) #4412 was used as a secondary antibody. Data were generated using the standard formulation of this product.
Flow Cytometry Image 1: MCT1/SLC16A1 (E7A2K) Rabbit Monoclonal Antibody (BSA and Azide Free)
Orders: 877-616-CELL (2355) [email protected] Support: 877-678-TECH (8324) [email protected] Web: cellsignal.com
For Research Use Only. Not for Use in Diagnostic Procedures.