Revision 8

#50353

Store at -20C

CST Logo
Orders:

877-616-CELL (2355)

[email protected]

Support:

877-678-TECH (8324)

3 Trask Lane | Danvers | Massachusetts | 01923 | USA

For Research Use Only. Not for Use in Diagnostic Procedures.

Applications:
W, IP, IHC-P

Reactivity:
H M Mk

Sensitivity:
Endogenous

MW (kDa):
27

Source/Isotype:
Rabbit IgG

UniProt ID:
#P04792

Entrez-Gene Id:
3315

Product Usage Information

Application Dilution
Western Blotting 1:1000
Immunoprecipitation 1:50
Immunohistochemistry (Paraffin) 1:100 - 1:400

Storage

Supplied in 10 mM sodium HEPES (pH 7.5), 150 mM NaCl, 100 µg/ml BSA, 50% glycerol and less than 0.02% sodium azide. Store at –20°C. Do not aliquot the antibody.

For a carrier free (BSA and azide free) version of this product see product #38908.

Specificity/Sensitivity

HSP27 (E1J4D) Rabbit Monoclonal Antibody recognizes endogenous levels of total HSP27 protein.

Source / Purification

Monoclonal antibody is produced by immunizing animals with a synthetic peptide corresponding to residues near the amino terminus of human HSP27 protein.

Background

Heat shock protein (HSP) 27 is one of the small HSPs that are constitutively expressed at different levels in various cell types and tissues. Like other small HSPs, HSP27 is regulated at both the transcriptional and posttranslational levels (1). In response to stress, the HSP27 expression increases several-fold to confer cellular resistance to the adverse environmental change. HSP27 is phosphorylated at Ser15, Ser78, and Ser82 by MAPKAPK-2 as a result of the activation of the p38 MAP kinase pathway (2,3). Phosphorylation of HSP27 causes a change in its tertiary structure, which shifts from large homotypic multimers to dimers and monomers (4). It has been shown that phosphorylation and increased concentration of HSP27 modulates actin polymerization and reorganization (5,6).

Species Reactivity

Species reactivity is determined by testing in at least one approved application (e.g., western blot).

Western Blot Buffer

IMPORTANT: For western blots, incubate membrane with diluted primary antibody in 5% w/v BSA, 1X TBS, 0.1% Tween® 20 at 4°C with gentle shaking, overnight.

Applications Key

W: Western Blotting IP: Immunoprecipitation IHC-P: Immunohistochemistry (Paraffin)

Cross-Reactivity Key

H: Human M: Mouse Mk: Monkey

Trademarks and Patents

Cell Signaling Technology is a trademark of Cell Signaling Technology, Inc.

SignalStain is a registered trademark of Cell Signaling Technology, Inc.

All other trademarks are the property of their respective owners. Visit cellsignal.com/trademarks for more information.

Limited Uses

Except as otherwise expressly agreed in a writing signed by a legally authorized representative of CST, the following terms apply to Products provided by CST, its affiliates or its distributors. Any Customer's terms and conditions that are in addition to, or different from, those contained herein, unless separately accepted in writing by a legally authorized representative of CST, are rejected and are of no force or effect.

Products are labeled with For Research Use Only or a similar labeling statement and have not been approved, cleared, or licensed by the FDA or other regulatory foreign or domestic entity, for any purpose. Customer shall not use any Product for any diagnostic or therapeutic purpose, or otherwise in any manner that conflicts with its labeling statement. Products sold or licensed by CST are provided for Customer as the end-user and solely for research and development uses. Any use of Product for diagnostic, prophylactic or therapeutic purposes, or any purchase of Product for resale (alone or as a component) or other commercial purpose, requires a separate license from CST. Customer shall (a) not sell, license, loan, donate or otherwise transfer or make available any Product to any third party, whether alone or in combination with other materials, or use the Products to manufacture any commercial products, (b) not copy, modify, reverse engineer, decompile, disassemble or otherwise attempt to discover the underlying structure or technology of the Products, or use the Products for the purpose of developing any products or services that would compete with CST products or services, (c) not alter or remove from the Products any trademarks, trade names, logos, patent or copyright notices or markings, (d) use the Products solely in accordance with CST Product Terms of Sale and any applicable documentation, and (e) comply with any license, terms of service or similar agreement with respect to any third party products or services used by Customer in connection with the Products.

Orders: 877-616-CELL (2355) [email protected] Support: 877-678-TECH (8324) [email protected] Web: cellsignal.com
For Research Use Only. Not for Use in Diagnostic Procedures.

Revision 8

Cell Signaling Technology Logo
Western blot analysis of extracts from HeLa cells (lane 1) or HSP27 knock-out cells (lane 2) using HSP27 (E1J4D) Rabbit mAb #50353 (upper), and α-Actinin (D6F6) XP® Rabbit mAb #6487 (lower). The absence of signal in the HSP27 knock-out HeLa cells confirms specificity of the antibody for HSP27.
Western Blotting Image 1: HSP27 (E1J4D) Rabbit Monoclonal Antibody
Western blot analysis of extracts from various cell lines using HSP27 (E1J4D) Rabbit mAb (upper) or β-Actin (D6A8) Rabbit mAb #8457 (lower).
Western Blotting Image 2: HSP27 (E1J4D) Rabbit Monoclonal Antibody
Immunoprecipitation of HSP27 from ACHN cell extracts. Lane 1 is 10% input, lane 2 is immunoprecipitated with Rabbit (DA1E) mAb IgG XP® Isotype Control #3900, and lane 3 is HSP27 (E1J4D) Rabbit mAb. Western blot was performed using HSP27 (E1J4D) Rabbit mAb. A conformation specific secondary antibody was used to avoid cross reactivity with IgG.
Immunoprecipitation Image 1: HSP27 (E1J4D) Rabbit Monoclonal Antibody
Orders: 877-616-CELL (2355) [email protected] Support: 877-678-TECH (8324) [email protected] Web: cellsignal.com
For Research Use Only. Not for Use in Diagnostic Procedures.

Revision 8

Cell Signaling Technology Logo
Immunohistochemical analysis of paraffin-embedded human endometrioid adenocarcinoma using HSP27 (E1J4D) Rabbit mAb.
Immunohistochemistry Image 1: HSP27 (E1J4D) Rabbit Monoclonal Antibody
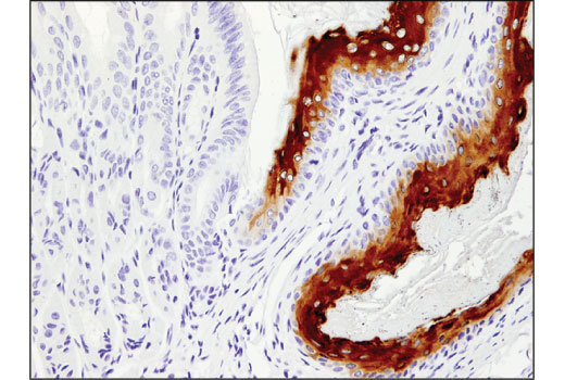
Immunohistochemical analysis of paraffin-embedded human thymoma using HSP27 (E1J4D) Rabbit mAb.
Immunohistochemistry Image 2: HSP27 (E1J4D) Rabbit Monoclonal Antibody
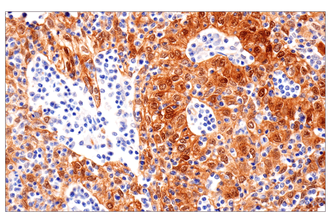
Immunohistochemical analysis of paraffin-embedded human glassy cell carcinoma of the cervix using HSP27 (E1J4D) Rabbit mAb.
Immunohistochemistry Image 3: HSP27 (E1J4D) Rabbit Monoclonal Antibody
Orders: 877-616-CELL (2355) [email protected] Support: 877-678-TECH (8324) [email protected] Web: cellsignal.com
For Research Use Only. Not for Use in Diagnostic Procedures.

Revision 8

Cell Signaling Technology Logo
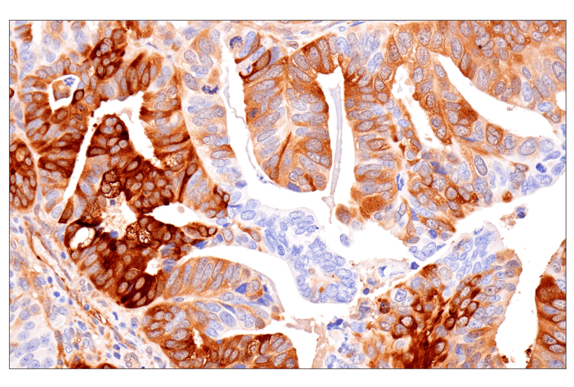
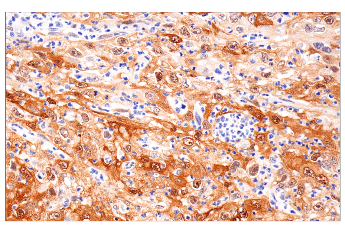
Immunohistochemical analysis of paraffin-embedded human colon carcinoma using HSP27 (E1J4D) Rabbit mAb.
Immunohistochemistry Image 4: HSP27 (E1J4D) Rabbit Monoclonal Antibody
Immunohistochemical analysis of paraffin-embedded normal human thymus using HSP27 (E1J4D) Rabbit mAb.
Immunohistochemistry Image 5: HSP27 (E1J4D) Rabbit Monoclonal Antibody
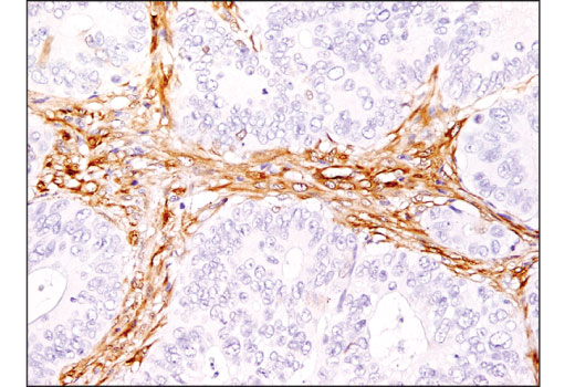
Immunohistochemical analysis of paraffin-embedded human squamous cell carcinoma of the lung using HSP27 (E1J4D) Rabbit mAb.
Immunohistochemistry Image 6: HSP27 (E1J4D) Rabbit Monoclonal Antibody
Orders: 877-616-CELL (2355) [email protected] Support: 877-678-TECH (8324) [email protected] Web: cellsignal.com
For Research Use Only. Not for Use in Diagnostic Procedures.

Revision 8

Cell Signaling Technology Logo
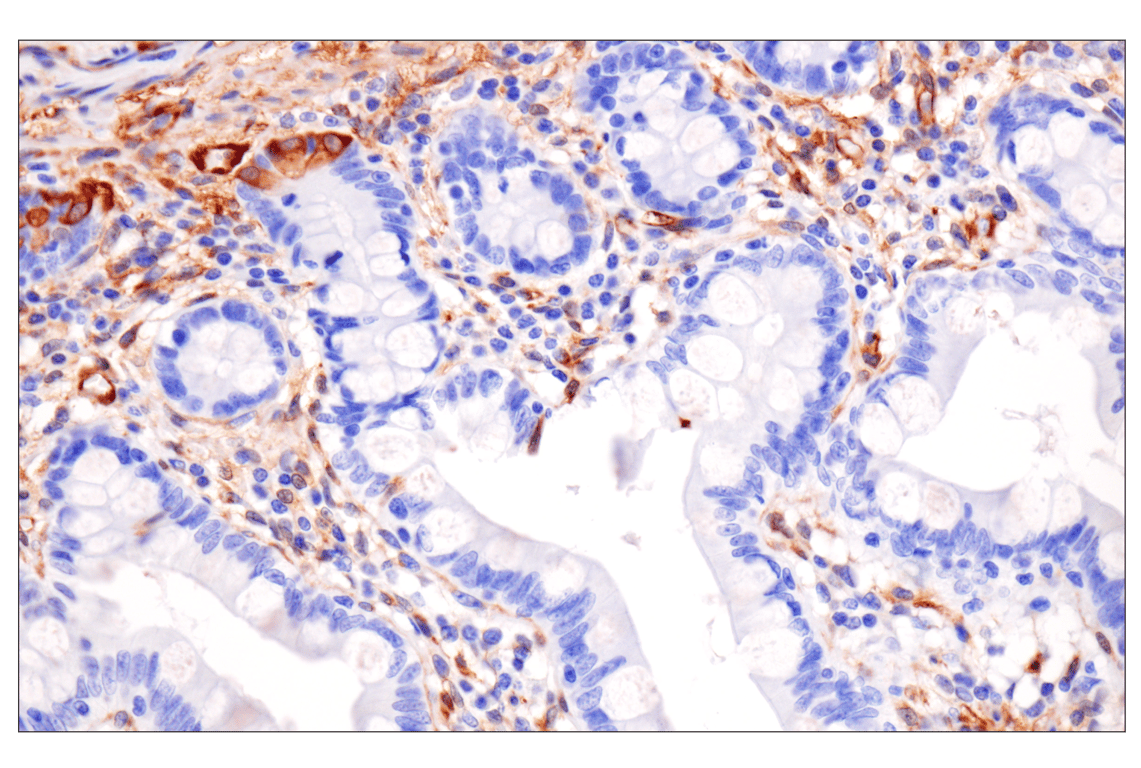
Immunohistochemical analysis of paraffin-embedded normal human small intestine using HSP27 (E1J4D) Rabbit mAb.
Immunohistochemistry Image 7: HSP27 (E1J4D) Rabbit Monoclonal Antibody
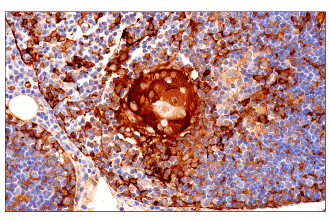
Immunohistochemical analysis of paraffin-embedded human non-Hodgkin's lymphoma using HSP27 (E1J4D) Rabbit mAb.
Immunohistochemistry Image 8: HSP27 (E1J4D) Rabbit Monoclonal Antibody
Immunohistochemical analysis of paraffin-embedded HeLa (left) and HT-1080 (right) cell pellets using HSP27 (E1J4D) Rabbit mAb.
Immunohistochemistry Image 9: HSP27 (E1J4D) Rabbit Monoclonal Antibody
Orders: 877-616-CELL (2355) [email protected] Support: 877-678-TECH (8324) [email protected] Web: cellsignal.com
For Research Use Only. Not for Use in Diagnostic Procedures.

Revision 8

Cell Signaling Technology Logo
Immunohistochemical analysis of paraffin-embedded mouse forestomach using HSP27 (E1J4D) Rabbit mAb.
Immunohistochemistry Image 10: HSP27 (E1J4D) Rabbit Monoclonal Antibody
Orders: 877-616-CELL (2355) [email protected] Support: 877-678-TECH (8324) [email protected] Web: cellsignal.com
For Research Use Only. Not for Use in Diagnostic Procedures.