Revision 5

#50384

Store at +4C

CST Logo
Orders:

877-616-CELL (2355)

[email protected]

Support:

877-678-TECH (8324)

3 Trask Lane | Danvers | Massachusetts | 01923 | USA

For Research Use Only. Not for Use in Diagnostic Procedures.

Applications:
IHC-Bond, IHC-P

Reactivity:
H

Sensitivity:
Endogenous

Source/Isotype:
Mouse IgG1

UniProt ID:
#P01877, #P01876

Entrez-Gene Id:
3494, 3493

Product Usage Information

Application Dilution
IHC Leica Bond 1:800 - 1:3200
Immunohistochemistry (Paraffin) 1:400 - 1:1600

Storage

Supplied as liquid tissue culture supernatant containing sodium azide as a preservative. Stable for 6 months when stored at 4°C. Do not aliquot the antibody.

Note: This product is only available in the format listed above. We are unable to provide this in a carrier free, custom formulation.

Specificity/Sensitivity

IgA (N1CLA) Mouse Monoclonal Antibody recognizes endogenous levels of IgA protein.

Source / Purification

Monoclonal antibody is produced by immunizing animals with a prokaryotic recombinant protein corresponding to 129 amino acids of the heavy chain constant region of human immunoglobulin A molecule.

Background

Immunoglobulin A (IgA) is one of the five major human immunoglobulin isotypes and the most abundant immunoglobulin in the mucosal immune system. The structure of IgA consists of two identical heavy chains and two identical light chains, linked by disulfide bonds. Human IgA exists as two subclasses, IgA1 and IgA2, that are structurally different in the flexible hinge region (1). The secreted form of IgA (SIgA) is the predominant mucosal antibody that contains two copies of IgA, a joining-chain (J chain), and a secretory component (SC) (2). IgA antibodies are expressed by B cells and are a part of both the innate and adaptive immune response (3). Since IgA antibodies are secreted by mucosa, they are important when studying autoimmune diseases associated with the gastrointestinal tract (4).

Species Reactivity

Species reactivity is determined by testing in at least one approved application (e.g., western blot).

Applications Key

IHC-Bond: IHC Leica Bond IHC-P: Immunohistochemistry (Paraffin)

Cross-Reactivity Key

H: Human

Trademarks and Patents

Cell Signaling Technology is a trademark of Cell Signaling Technology, Inc.

SignalStain is a registered trademark of Cell Signaling Technology, Inc.

All other trademarks are the property of their respective owners. Visit cellsignal.com/trademarks for more information.

Limited Uses

Except as otherwise expressly agreed in a writing signed by a legally authorized representative of CST, the following terms apply to Products provided by CST, its affiliates or its distributors. Any Customer's terms and conditions that are in addition to, or different from, those contained herein, unless separately accepted in writing by a legally authorized representative of CST, are rejected and are of no force or effect.

Products are labeled with For Research Use Only or a similar labeling statement and have not been approved, cleared, or licensed by the FDA or other regulatory foreign or domestic entity, for any purpose. Customer shall not use any Product for any diagnostic or therapeutic purpose, or otherwise in any manner that conflicts with its labeling statement. Products sold or licensed by CST are provided for Customer as the end-user and solely for research and development uses. Any use of Product for diagnostic, prophylactic or therapeutic purposes, or any purchase of Product for resale (alone or as a component) or other commercial purpose, requires a separate license from CST. Customer shall (a) not sell, license, loan, donate or otherwise transfer or make available any Product to any third party, whether alone or in combination with other materials, or use the Products to manufacture any commercial products, (b) not copy, modify, reverse engineer, decompile, disassemble or otherwise attempt to discover the underlying structure or technology of the Products, or use the Products for the purpose of developing any products or services that would compete with CST products or services, (c) not alter or remove from the Products any trademarks, trade names, logos, patent or copyright notices or markings, (d) use the Products solely in accordance with CST Product Terms of Sale and any applicable documentation, and (e) comply with any license, terms of service or similar agreement with respect to any third party products or services used by Customer in connection with the Products.

Orders: 877-616-CELL (2355) [email protected] Support: 877-678-TECH (8324) [email protected] Web: cellsignal.com
For Research Use Only. Not for Use in Diagnostic Procedures.

Revision 5

Cell Signaling Technology Logo
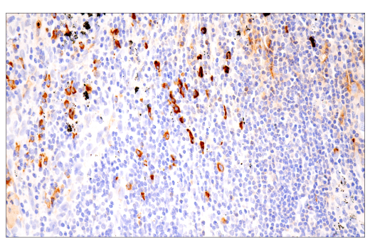
Immunohistochemical analysis of paraffin-embedded human tonsil using IgA (N1CLA) Mouse mAb performed on the Leica® BOND™ Rx. 
Immunohistochemistry Image 1: IgA (N1CLA) Mouse Monoclonal Antibody
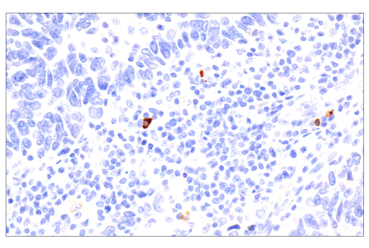
Immunohistochemical analysis of paraffin-embedded human renal cell carcinoma using IgA (N1CLA) Mouse mAb performed on the Leica® BOND™ Rx.
Immunohistochemistry Image 2: IgA (N1CLA) Mouse Monoclonal Antibody
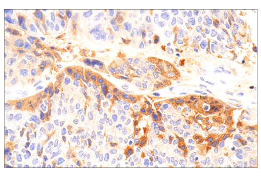
Immunohistochemical analysis of paraffin-embedded human mammary carcinoma using IgA (N1CLA) Mouse mAb performed on the Leica® BOND™ Rx.
Immunohistochemistry Image 3: IgA (N1CLA) Mouse Monoclonal Antibody
Orders: 877-616-CELL (2355) [email protected] Support: 877-678-TECH (8324) [email protected] Web: cellsignal.com
For Research Use Only. Not for Use in Diagnostic Procedures.

Revision 5

Cell Signaling Technology Logo
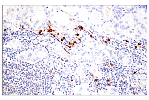
Immunohistochemical analysis of paraffin-embedded human urothelial carcinoma using IgA (N1CLA) Mouse mAb performed on the Leica® BOND™ Rx.
Immunohistochemistry Image 4: IgA (N1CLA) Mouse Monoclonal Antibody
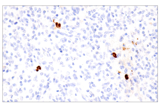
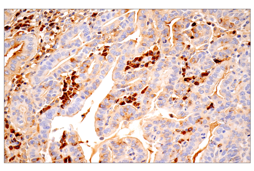
Immunohistochemical analysis of paraffin-embedded human small cell carcinoma of the salivary gland using IgA (N1CLA) Mouse mAb performed on the Leica® BOND™ Rx.
Immunohistochemistry Image 5: IgA (N1CLA) Mouse Monoclonal Antibody
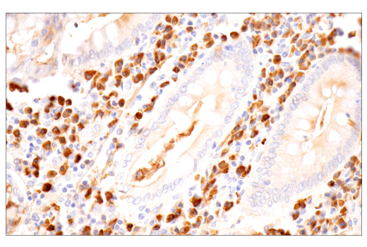
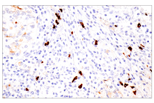
Immunohistochemical analysis of paraffin-embedded human colon carcinoma using IgA (N1CLA) Mouse mAb.
Immunohistochemistry Image 1: IgA (N1CLA) Mouse Monoclonal Antibody
Orders: 877-616-CELL (2355) [email protected] Support: 877-678-TECH (8324) [email protected] Web: cellsignal.com
For Research Use Only. Not for Use in Diagnostic Procedures.

Revision 5

Cell Signaling Technology Logo
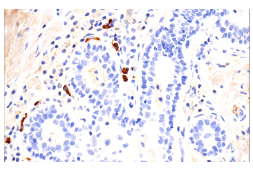
Immunohistochemical analysis of paraffin-embedded human endometrioid adenocarcinoma using IgA (N1CLA) Mouse mAb.
Immunohistochemistry Image 2: IgA (N1CLA) Mouse Monoclonal Antibody
Immunohistochemical analysis of paraffin-embedded human non-small cell lung carcinoma using IgA (N1CLA) Mouse mAb.
Immunohistochemistry Image 3: IgA (N1CLA) Mouse Monoclonal Antibody
Immunohistochemical analysis of paraffin-embedded human esophageal carcinoma using IgA (N1CLA) Mouse mAb.
Immunohistochemistry Image 4: IgA (N1CLA) Mouse Monoclonal Antibody
Orders: 877-616-CELL (2355) [email protected] Support: 877-678-TECH (8324) [email protected] Web: cellsignal.com
For Research Use Only. Not for Use in Diagnostic Procedures.

Revision 5

Cell Signaling Technology Logo
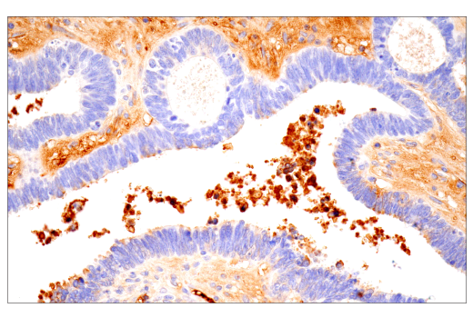
Immunohistochemical analysis of paraffin-embedded human appendix using IgA (N1CLA) Mouse mAb.
Immunohistochemistry Image 5: IgA (N1CLA) Mouse Monoclonal Antibody
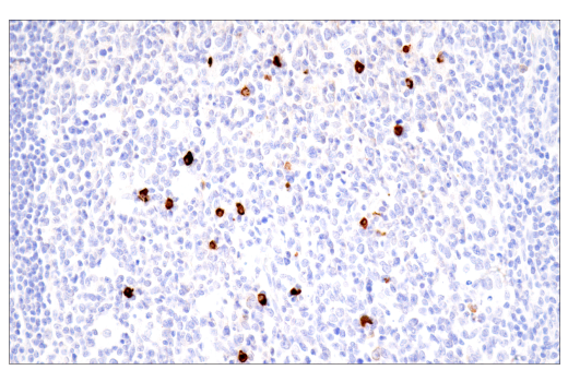
Immunohistochemical analysis of paraffin-embedded normal human spleen using IgA (N1CLA) Mouse mAb.
Immunohistochemistry Image 6: IgA (N1CLA) Mouse Monoclonal Antibody
Immunohistochemical analysis of paraffin-embedded human tonsil using IgA (N1CLA) Mouse mAb.
Immunohistochemistry Image 7: IgA (N1CLA) Mouse Monoclonal Antibody
Orders: 877-616-CELL (2355) [email protected] Support: 877-678-TECH (8324) [email protected] Web: cellsignal.com
For Research Use Only. Not for Use in Diagnostic Procedures.

Revision 5

Cell Signaling Technology Logo
Immunohistochemical analysis of paraffin-embedded human colon carcinoma using IgA (N1CLA) Mouse mAb.
Immunohistochemistry Image 8: IgA (N1CLA) Mouse Monoclonal Antibody
Orders: 877-616-CELL (2355) [email protected] Support: 877-678-TECH (8324) [email protected] Web: cellsignal.com
For Research Use Only. Not for Use in Diagnostic Procedures.