Revision 6

#50565

Store at -20C

CST Logo
Orders:

877-616-CELL (2355)

[email protected]

Support:

877-678-TECH (8324)

3 Trask Lane | Danvers | Massachusetts | 01923 | USA

For Research Use Only. Not for Use in Diagnostic Procedures.

Applications:
W, IHC-P, IF-IC, FC-FP

Reactivity:
H M R Mk

Sensitivity:
Endogenous

MW (kDa):
75

Source/Isotype:
Rabbit IgG

UniProt ID:
#O95365

Entrez-Gene Id:
51341

Product Usage Information

Application Dilution
Western Blotting 1:1000
Immunohistochemistry (Paraffin) 1:50
Immunofluorescence (Immunocytochemistry) 1:200 - 1:800
Flow Cytometry (Fixed/Permeabilized) 1:200 - 1:800

Storage

Supplied in 10 mM sodium HEPES (pH 7.5), 150 mM NaCl, 100 µg/ml BSA, 50% glycerol and less than 0.02% sodium azide. Store at –20°C. Do not aliquot the antibody.

For a carrier free (BSA and azide free) version of this product see product #27432.

Specificity/Sensitivity

LRF/Pokemon (D7U2O) Rabbit Monoclonal Antibody recognizes endogenous levels of total LRF/Pokemon protein. This antibody cross-reacts with a 44 kDa protein of unknown origin.

Source / Purification

Monoclonal antibody is produced by immunizing animals with recombinant LRF/Pokemon protein.

Background

Zinc finger and BTB domain-containing protein 7A (LRF, Pokemon, FBI1) is a transcriptional repressor encoded by the ZBTB7A gene that belongs to the POK (POZ and Kruppel)/ZBTB (zinc finger and BTB) family (1). LRF is broadly expressed with elevated expression in a variety of cancers relative to normal tissues, including non-small cell lung cancer, breast cancer, ovarian cancer, prostate cancer, and hepatocellular carcinoma (1-8). Research studies suggest that LRF acts as an oncogene through various mechanisms including repression of the tumor suppressors ARF and Rb, and repression of the cell cycle arrest factor p21Cip1 (9-11). The LRF transcription factor plays key roles during several stages of hematopoiesis including promoting lymphoid progenitor cells to commit to B cell differentiation by repressing T cell-promoting Notch signals, and promoting cell survival during terminal erythroid differentiation through suppression of the proapoptotic factor Bim (12,13).

Species Reactivity

Species reactivity is determined by testing in at least one approved application (e.g., western blot).

Western Blot Buffer

IMPORTANT: For western blots, incubate membrane with diluted primary antibody in 5% w/v BSA, 1X TBS, 0.1% Tween® 20 at 4°C with gentle shaking, overnight.

Applications Key

W: Western Blotting IHC-P: Immunohistochemistry (Paraffin) IF-IC: Immunofluorescence (Immunocytochemistry) FC-FP: Flow Cytometry (Fixed/Permeabilized)

Cross-Reactivity Key

H: Human M: Mouse R: Rat Mk: Monkey

Trademarks and Patents

Cell Signaling Technology is a trademark of Cell Signaling Technology, Inc.

Alexa Fluor is a registered trademark of Life Technologies Corporation.

All other trademarks are the property of their respective owners. Visit cellsignal.com/trademarks for more information.

Limited Uses

Except as otherwise expressly agreed in a writing signed by a legally authorized representative of CST, the following terms apply to Products provided by CST, its affiliates or its distributors. Any Customer's terms and conditions that are in addition to, or different from, those contained herein, unless separately accepted in writing by a legally authorized representative of CST, are rejected and are of no force or effect.

Products are labeled with For Research Use Only or a similar labeling statement and have not been approved, cleared, or licensed by the FDA or other regulatory foreign or domestic entity, for any purpose. Customer shall not use any Product for any diagnostic or therapeutic purpose, or otherwise in any manner that conflicts with its labeling statement. Products sold or licensed by CST are provided for Customer as the end-user and solely for research and development uses. Any use of Product for diagnostic, prophylactic or therapeutic purposes, or any purchase of Product for resale (alone or as a component) or other commercial purpose, requires a separate license from CST. Customer shall (a) not sell, license, loan, donate or otherwise transfer or make available any Product to any third party, whether alone or in combination with other materials, or use the Products to manufacture any commercial products, (b) not copy, modify, reverse engineer, decompile, disassemble or otherwise attempt to discover the underlying structure or technology of the Products, or use the Products for the purpose of developing any products or services that would compete with CST products or services, (c) not alter or remove from the Products any trademarks, trade names, logos, patent or copyright notices or markings, (d) use the Products solely in accordance with CST Product Terms of Sale and any applicable documentation, and (e) comply with any license, terms of service or similar agreement with respect to any third party products or services used by Customer in connection with the Products.

Orders: 877-616-CELL (2355) [email protected] Support: 877-678-TECH (8324) [email protected] Web: cellsignal.com
For Research Use Only. Not for Use in Diagnostic Procedures.

Revision 6

Cell Signaling Technology Logo
Western blot analysis of extracts from various cell lines using LRF/Pokemon (D7U2O) Rabbit mAb.
Western Blotting Image 1: LRF/Pokemon (D7U2O) Rabbit Monoclonal Antibody
Immunohistochemical analysis of paraffin-embedded human colon carcinoma using LRF/Pokemon (D7U2O) Rabbit mAb.
Immunohistochemistry Image 1: LRF/Pokemon (D7U2O) Rabbit Monoclonal Antibody
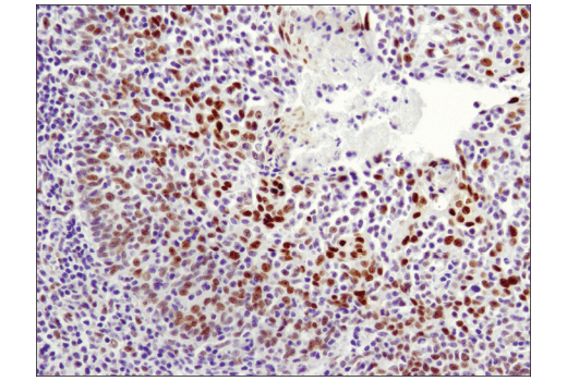
Immunohistochemical analysis of paraffin-embedded human non-Hodgkin's lymphoma using LRF/Pokemon (D7U2O) Rabbit mAb.
Immunohistochemistry Image 2: LRF/Pokemon (D7U2O) Rabbit Monoclonal Antibody
Orders: 877-616-CELL (2355) [email protected] Support: 877-678-TECH (8324) [email protected] Web: cellsignal.com
For Research Use Only. Not for Use in Diagnostic Procedures.

Revision 6

Cell Signaling Technology Logo
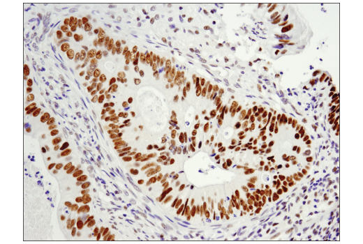
Immunohistochemical analysis of paraffin-embedded human endometrioid adenocarcinoma using LRF/Pokemon (D7U2O) Rabbit mAb.
Immunohistochemistry Image 3: LRF/Pokemon (D7U2O) Rabbit Monoclonal Antibody
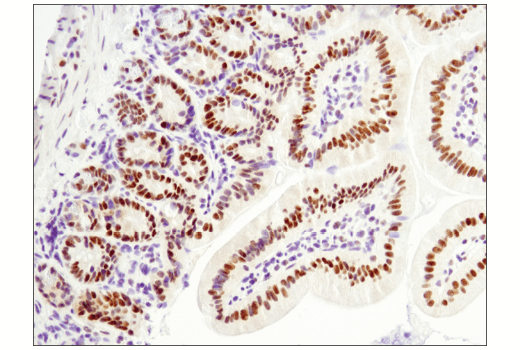
Immunohistochemical analysis of paraffin-embedded mouse small intestine using LRF/Pokemon (D7U2O) Rabbit mAb.
Immunohistochemistry Image 4: LRF/Pokemon (D7U2O) Rabbit Monoclonal Antibody
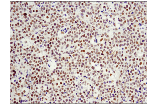
Immunohistochemical analysis of paraffin-embedded human tonsil using LRF/Pokemon (D7U2O) Rabbit mAb.
Immunohistochemistry Image 5: LRF/Pokemon (D7U2O) Rabbit Monoclonal Antibody
Orders: 877-616-CELL (2355) [email protected] Support: 877-678-TECH (8324) [email protected] Web: cellsignal.com
For Research Use Only. Not for Use in Diagnostic Procedures.

Revision 6

Cell Signaling Technology Logo
Confocal immunofluorescent analysis of HeLa cells, mock transfected (left, positive) or transfected with SignalSilence® LRF/Pokemon siRNA I #13350 (100 nM, 48 hr; right, negative), using LRF/Pokemon (D7U2O) Rabbit mAb (green). Actin filaments were labeled with DyLight™ 554 Phalloidin #13054 (red).
Immunofluorescence Image 1: LRF/Pokemon (D7U2O) Rabbit Monoclonal Antibody
Confocal immunofluorescent analysis of HCT 116 cells using LRF/Pokemon (D7U2O) Rabbit mAb (green). Actin filaments were labeled with DyLight™ 554 Phalloidin #13054 (red).
Immunofluorescence Image 2: LRF/Pokemon (D7U2O) Rabbit Monoclonal Antibody
Flow cytometric analysis of HeLa cells, transfected with SignalSilence® LRF/Pokemon siRNA I #13350 (100 nM, 48 hr; blue) or mock transfected (green), using LRF/Pokemon (D7U2O) Rabbit mAb (solid lines) or a concentration-matched Rabbit (DA1E) mAb IgG XP® Isotype Control #3900 (dashed lines). Anti-rabbit IgG (H+L), F(ab')2 Fragment (Alexa Fluor® 488 Conjugate) #4412 was used as a secondary antibody.
Flow Cytometry Image 1: LRF/Pokemon (D7U2O) Rabbit Monoclonal Antibody
Orders: 877-616-CELL (2355) [email protected] Support: 877-678-TECH (8324) [email protected] Web: cellsignal.com
For Research Use Only. Not for Use in Diagnostic Procedures.