Revision 3

#50616

Store at -20C

CST Logo
Orders:

877-616-CELL (2355)

[email protected]

Support:

877-678-TECH (8324)

3 Trask Lane | Danvers | Massachusetts | 01923 | USA

For Research Use Only. Not for Use in Diagnostic Procedures.

Applications:
W, IP, IHC-P, IF-IC

Reactivity:
H

Sensitivity:
Endogenous

MW (kDa):
190

Source/Isotype:
Rabbit IgG

UniProt ID:
#Q562F6

Entrez-Gene Id:
151246

Product Usage Information

Application Dilution
Western Blotting 1:1000
Immunoprecipitation 1:100
Immunohistochemistry (Paraffin) 1:400 - 1:1600
Immunofluorescence (Immunocytochemistry) 1:3200 - 1:12800

Storage

Supplied in 10 mM sodium HEPES (pH 7.5), 150 mM NaCl, 100 µg/mL BSA, 50% glycerol, and less than 0.02% sodium azide. Store at –20°C. Do not aliquot the antibody.

For a carrier free (BSA and azide free) version of this product see product #84360.

Specificity/Sensitivity

SGO2 (E9K4N) Rabbit Monoclonal Antibody recognizes endogenous levels of total SGO2 protein. Based on the sequence of the immunogenic peptide, this antibody is expected to recognize isoforms 1-3 of human SGO2 protein.

Source / Purification

Monoclonal antibody is produced by immunizing animals with a synthetic peptide corresponding to residues surrounding Gly15 of human SGO2 protein.

Background

SGO2 (Shugoshin-2, SGOL2) is a centromeric protein required for the protection of cohesion complexes in meiosis (1). In mitosis, SGO2 and MAD2 regulate separase activity in the absence of securin to ensure appropriate timing of chromosome segregation (2). SGO2 is highly expressed in prostate cancer, and it promotes proliferation and migration by stabilizing the small GTPase Rab1A (3). High SGO2 expression in hepatocellular carcinoma (HCC) predicts poor overall survival (4), promoting tumor proliferation by regulating MAD2 expression and function (5).

Species Reactivity

Species reactivity is determined by testing in at least one approved application (e.g., western blot).

Western Blot Buffer

IMPORTANT: For western blots, incubate membrane with diluted primary antibody in 5% w/v BSA, 1X TBS, 0.1% Tween® 20 at 4°C with gentle shaking, overnight.

Applications Key

W: Western Blotting IP: Immunoprecipitation IHC-P: Immunohistochemistry (Paraffin) IF-IC: Immunofluorescence (Immunocytochemistry)

Cross-Reactivity Key

H: Human

Trademarks and Patents

Cell Signaling Technology is a trademark of Cell Signaling Technology, Inc.

All other trademarks are the property of their respective owners. Visit cellsignal.com/trademarks for more information.

Limited Uses

Except as otherwise expressly agreed in a writing signed by a legally authorized representative of CST, the following terms apply to Products provided by CST, its affiliates or its distributors. Any Customer's terms and conditions that are in addition to, or different from, those contained herein, unless separately accepted in writing by a legally authorized representative of CST, are rejected and are of no force or effect.

Products are labeled with For Research Use Only or a similar labeling statement and have not been approved, cleared, or licensed by the FDA or other regulatory foreign or domestic entity, for any purpose. Customer shall not use any Product for any diagnostic or therapeutic purpose, or otherwise in any manner that conflicts with its labeling statement. Products sold or licensed by CST are provided for Customer as the end-user and solely for research and development uses. Any use of Product for diagnostic, prophylactic or therapeutic purposes, or any purchase of Product for resale (alone or as a component) or other commercial purpose, requires a separate license from CST. Customer shall (a) not sell, license, loan, donate or otherwise transfer or make available any Product to any third party, whether alone or in combination with other materials, or use the Products to manufacture any commercial products, (b) not copy, modify, reverse engineer, decompile, disassemble or otherwise attempt to discover the underlying structure or technology of the Products, or use the Products for the purpose of developing any products or services that would compete with CST products or services, (c) not alter or remove from the Products any trademarks, trade names, logos, patent or copyright notices or markings, (d) use the Products solely in accordance with CST Product Terms of Sale and any applicable documentation, and (e) comply with any license, terms of service or similar agreement with respect to any third party products or services used by Customer in connection with the Products.

Orders: 877-616-CELL (2355) [email protected] Support: 877-678-TECH (8324) [email protected] Web: cellsignal.com
For Research Use Only. Not for Use in Diagnostic Procedures.

Revision 3

Cell Signaling Technology Logo
Western blot analysis of extracts from various cell lines using SGO2 (E9K4N) Rabbit mAb (upper) or GAPDH (D16H11) XP® Rabbit mAb #5174 (lower). Low expression of SGO2 protein in Caki-1 cells is consistent with the predicted expression pattern.
Western Blotting Image 1: SGO2 (E9K4N) Rabbit Monoclonal Antibody
Immunoprecipitation of SGO2 protein from RKO cell extracts. Lane 1 is 10% input, lane 2 is Rabbit (DA1E) mAb IgG XP® Isotype Control #3900, and lane 3 is SGO2 (E9K4N) Rabbit mAb. Western blot analysis was performed using SGO2 (E9K4N) Rabbit mAb. Anti-rabbit IgG, HRP-linked Antibody #7074 was used as a secondary antibody.
Immunoprecipitation Image 1: SGO2 (E9K4N) Rabbit Monoclonal Antibody
Immunohistochemical analysis of paraffin-embedded normal human testis using SGO2 (E9K4N) Rabbit mAb (left) compared to concentration-matched Rabbit (DA1E) mAb IgG XP® Isotype Control #3900 (right).
Immunohistochemistry Image 1: SGO2 (E9K4N) Rabbit Monoclonal Antibody
Orders: 877-616-CELL (2355) [email protected] Support: 877-678-TECH (8324) [email protected] Web: cellsignal.com
For Research Use Only. Not for Use in Diagnostic Procedures.

Revision 3

Cell Signaling Technology Logo
Immunohistochemical analysis of various paraffin-embedded normal human tissues: testis (left-top), kidney (right-top), liver (left-bottom), and pancreas (right-bottom) using SGO2 (E9K4N) Rabbit mAb.
Immunohistochemistry Image 2: SGO2 (E9K4N) Rabbit Monoclonal Antibody
Immunohistochemical analysis of paraffin-embedded human glioblastoma using SGO2 (E9K4N) Rabbit mAb.
Immunohistochemistry Image 3: SGO2 (E9K4N) Rabbit Monoclonal Antibody
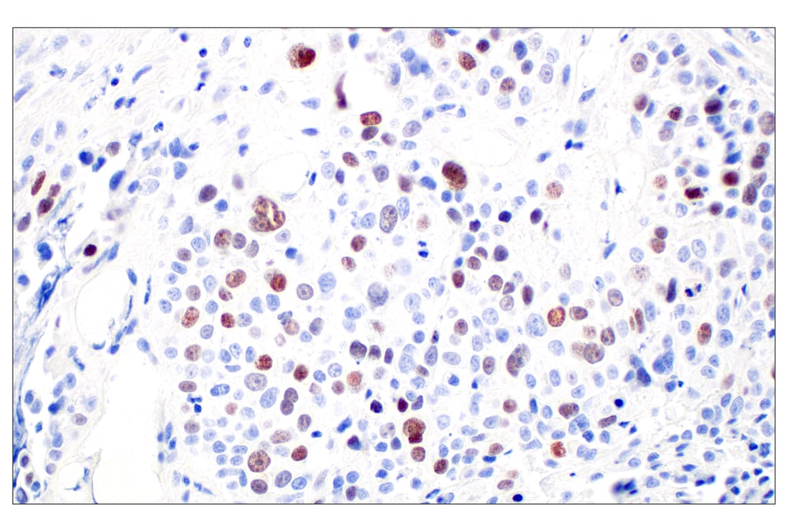
Immunohistochemical analysis of paraffin-embedded human serous papillary carcinoma of the ovary using SGO2 (E9K4N) Rabbit mAb.
Immunohistochemistry Image 4: SGO2 (E9K4N) Rabbit Monoclonal Antibody
Orders: 877-616-CELL (2355) [email protected] Support: 877-678-TECH (8324) [email protected] Web: cellsignal.com
For Research Use Only. Not for Use in Diagnostic Procedures.

Revision 3

Cell Signaling Technology Logo

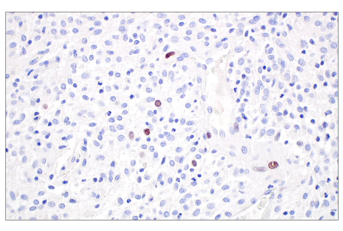
Immunohistochemical analysis of paraffin-embedded human oropharyngeal squamous cell carcinoma using SGO2 (E9K4N) Rabbit mAb.

Immunohistochemistry Image 5: SGO2 (E9K4N) Rabbit Monoclonal Antibody
Immunohistochemical analysis of paraffin-embedded NCI-H23 cell pellet (left, positive) or Caki-1 cell pellet (right, negative) using SGO2 (E9K4N) Rabbit mAb.
Immunohistochemistry Image 6: SGO2 (E9K4N) Rabbit Monoclonal Antibody
Confocal immunofluorescent analysis of NCI-H23 cells (left, high-expressing) and Caki-1 cells (right, low-expressing) using SGO2 (E9K4N) Rabbit mAb (green) and S6 Ribosomal Protein (54D2) Mouse mAb #2317 (red).
Immunofluorescence Image 1: SGO2 (E9K4N) Rabbit Monoclonal Antibody
Orders: 877-616-CELL (2355) [email protected] Support: 877-678-TECH (8324) [email protected] Web: cellsignal.com
For Research Use Only. Not for Use in Diagnostic Procedures.