Revision 1

#52742

Store at -20C

CST Logo
Orders:

877-616-CELL (2355)

[email protected]

Support:

877-678-TECH (8324)

3 Trask Lane | Danvers | Massachusetts | 01923 | USA

For Research Use Only. Not for Use in Diagnostic Procedures.

Applications:
W, IHC-Bond, IHC-P

Reactivity:
H

Sensitivity:
Endogenous

MW (kDa):
92, 145

Source/Isotype:
Mouse IgG2a kappa

UniProt ID:
#P21802-3

Entrez-Gene Id:
2263

Product Usage Information

Application Dilution
Western Blotting 1:1000
IHC Leica Bond 1:200 - 1:800

Storage

Supplied in 10 mM sodium HEPES (pH 7.5), 150 mM NaCl, 100 µg/mL BSA, 50% glycerol, and less than 0.02% sodium azide. Store at –20°C. Do not aliquot the antibody.

Specificity/Sensitivity

FGF Receptor 2IIIb (FPR2-D) Mouse Monoclonal Antibody recognizes endogenous levels of total FGFR2 protein. This antibody specifically detects the FGFR2IIIb isoform (UniProt P21802-3).

Source / Purification

Monoclonal antibody is produced by immunizing animals with a synthetic peptide corresponding to residues of human FGFR2IIIb protein.

Background

Fibroblast growth factors (FGFs) produce mitogenic and angiogenic effects in target cells by signaling through cell surface receptor tyrosine kinases. There are four members of the FGF receptor family (FGFR1-4) that share between 56 and 71% sequence identity (1). Following ligand binding and dimerization, the receptors are phosphorylated at specific tyrosine residues, initiating downstream signaling pathways (2). Mutations in the FGFR2 gene cause syndromes characterized by facial and limb defects, including LADD Syndrome, Crouzon Syndrome, Beare-Stevenson Cutis Gyrata Syndrome, Pfeiffer Syndrome, Apert Syndrome, and Jackson-Weiss Syndrome (3-5). FGFR2 gene amplification and other mutations, as well as altered expression, have been observed in cases of gastric, endometrial, and breast cancer (6). FGFR2 has two primary isoforms, FGFR2IIIc (isoform1, also known as BEK) and FGFR2IIIb (isoform 3, also known as FGFR2b) that are generated through alternative spicing of the third immunoglobulin-like domain crucial for ligand binding. The isoforms differ in tissue distribution and biological activities (7,8). FGFR2IIIb is mainly detected in epithelial cells and can be overexpressed in estrogen receptor-positive breast cancer and gastric cancer (9-11). It preferentially binds to the ligands FGF7, FGF10, and FGF22, with subsequent receptor homodimerization activating downstream signaling pathways including PI3K/Akt and RAS-MAPK (12-14). When overexpressed, FGFR2IIIb promotes aberrant signaling, leading to tumor cell proliferation (15).

Species Reactivity

Species reactivity is determined by testing in at least one approved application (e.g., western blot).

Western Blot Buffer

IMPORTANT: For western blots, incubate membrane with diluted primary antibody in 5% w/v BSA, 1X TBS, 0.1% Tween® 20 at 4°C with gentle shaking, overnight.

Applications Key

W: Western Blotting IHC-Bond: IHC Leica Bond IHC-P: Immunohistochemistry (Paraffin)

Cross-Reactivity Key

H: Human

Trademarks and Patents

Cell Signaling Technology is a trademark of Cell Signaling Technology, Inc.

This product, the process of its manufacture, or its use, may be covered by one or more U.S. Patents, including U.S. Patent Nos. 9,834,609 and 10,138,301.

All other trademarks are the property of their respective owners. Visit cellsignal.com/trademarks for more information.

Limited Uses

Except as otherwise expressly agreed in a writing signed by a legally authorized representative of CST, the following terms apply to Products provided by CST, its affiliates or its distributors. Any Customer's terms and conditions that are in addition to, or different from, those contained herein, unless separately accepted in writing by a legally authorized representative of CST, are rejected and are of no force or effect.

Products are labeled with For Research Use Only or a similar labeling statement and have not been approved, cleared, or licensed by the FDA or other regulatory foreign or domestic entity, for any purpose. Customer shall not use any Product for any diagnostic or therapeutic purpose, or otherwise in any manner that conflicts with its labeling statement. Products sold or licensed by CST are provided for Customer as the end-user and solely for research and development uses. Any use of Product for diagnostic, prophylactic or therapeutic purposes, or any purchase of Product for resale (alone or as a component) or other commercial purpose, requires a separate license from CST. Customer shall (a) not sell, license, loan, donate or otherwise transfer or make available any Product to any third party, whether alone or in combination with other materials, or use the Products to manufacture any commercial products, (b) not copy, modify, reverse engineer, decompile, disassemble or otherwise attempt to discover the underlying structure or technology of the Products, or use the Products for the purpose of developing any products or services that would compete with CST products or services, (c) not alter or remove from the Products any trademarks, trade names, logos, patent or copyright notices or markings, (d) use the Products solely in accordance with CST Product Terms of Sale and any applicable documentation, and (e) comply with any license, terms of service or similar agreement with respect to any third party products or services used by Customer in connection with the Products.

Orders: 877-616-CELL (2355) [email protected] Support: 877-678-TECH (8324) [email protected] Web: cellsignal.com
For Research Use Only. Not for Use in Diagnostic Procedures.

Revision 1

Cell Signaling Technology Logo
Western blot analysis of extracts from SNU-16, KATO III, and SW620 cells using FGF Receptor 2IIIb (FPR2-D) Mouse mAb (upper) or GAPDH (D16H11) XP® Rabbit mAb #5174 (lower). Low expression of FGFR2IIIb protein in SW620 cells is consistent with the predicted expression pattern.
Western Blotting Image 1: FGF Receptor 2IIIb (FPR2-D) Mouse Monoclonal Antibody
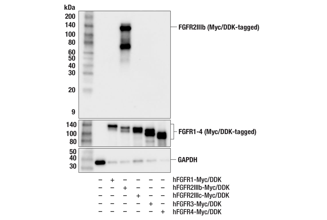
Western blot analysis of extracts from 293T cells, mock transfected (-) or transfected with constructs expressing Myc/DDK-tagged full-length human FGFR1 protein (hFGFR1-Myc/DDK; +), FGFR2IIIb protein (hFGFR2IIIb-Myc/DDK; +), FGFR2IIIc protein (hFGFR2IIIc-Myc/DDK; +), FGFR3 protein (hFGFR3-Myc/DDK; +), or FGFR4 protein (hFGFR4-Myc/DDK; +), using FGF Receptor 2IIIb (FPR2-D) Mouse mAb (upper), Myc-Tag (71D10) Rabbit mAb #2278 (middle), or GAPDH (D16H11) XP® Rabbit mAb #5174 (lower).
Western Blotting Image 2: FGF Receptor 2IIIb (FPR2-D) Mouse Monoclonal Antibody
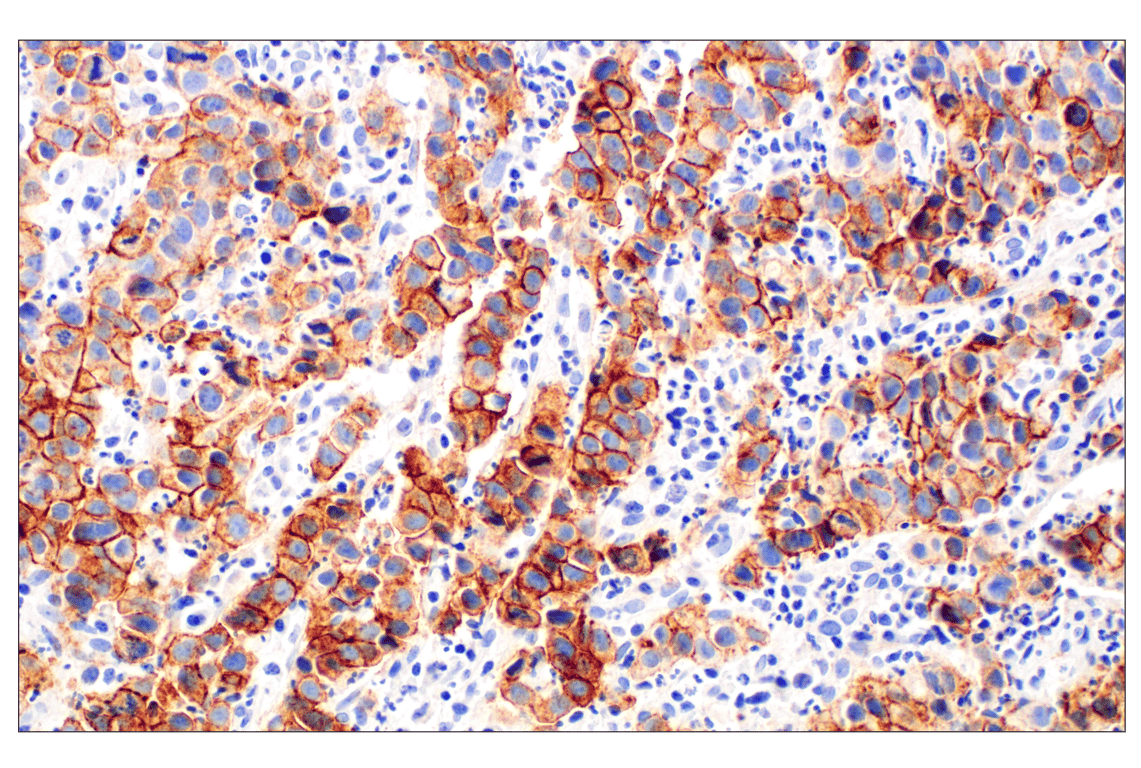
Immunohistochemical analysis of paraffin-embedded human gastric adenocarcinoma using FGF Receptor 2IIIb (FPR2-D) Mouse mAb performed on the Leica BOND RX.
Immunohistochemistry Image 1: FGF Receptor 2IIIb (FPR2-D) Mouse Monoclonal Antibody
Orders: 877-616-CELL (2355) [email protected] Support: 877-678-TECH (8324) [email protected] Web: cellsignal.com
For Research Use Only. Not for Use in Diagnostic Procedures.

Revision 1

Cell Signaling Technology Logo
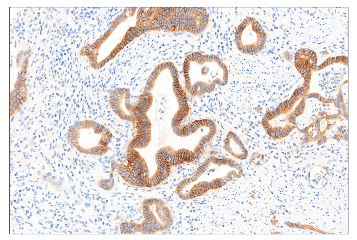
Immunohistochemical analysis of paraffin-embedded human gastric adenocarcinoma using FGF Receptor 2IIIb (FPR2-D) Mouse mAb performed on the Leica BOND RX.
Immunohistochemistry Image 2: FGF Receptor 2IIIb (FPR2-D) Mouse Monoclonal Antibody
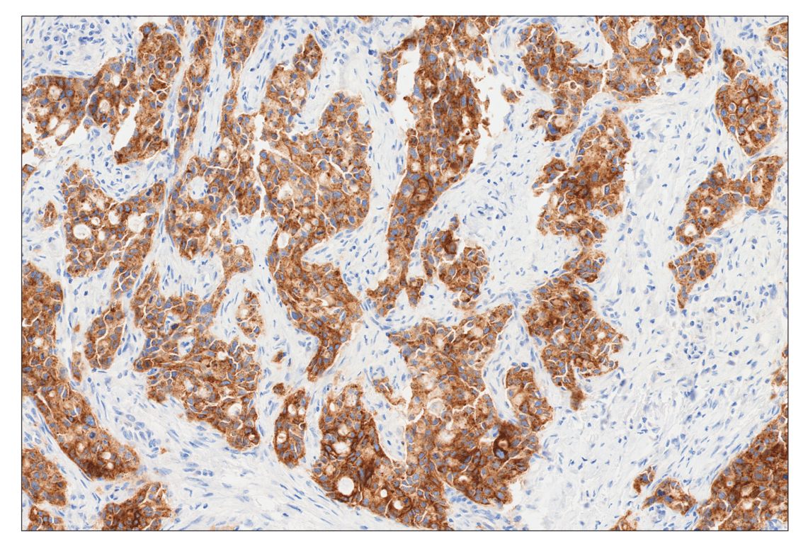
Immunohistochemical analysis of paraffin-embedded human gastric adenocarcinoma using FGF Receptor 2IIIb (FPR2-D) Mouse mAb performed on the Leica BOND RX.
Immunohistochemistry Image 3: FGF Receptor 2IIIb (FPR2-D) Mouse Monoclonal Antibody
Immunohistochemical analysis of paraffin-embedded normal human skin using FGF Receptor 2IIIb (FPR2-D) Mouse mAb performed on the Leica BOND RX.
Immunohistochemistry Image 4: FGF Receptor 2IIIb (FPR2-D) Mouse Monoclonal Antibody
Orders: 877-616-CELL (2355) [email protected] Support: 877-678-TECH (8324) [email protected] Web: cellsignal.com
For Research Use Only. Not for Use in Diagnostic Procedures.

Revision 1

Cell Signaling Technology Logo
Immunohistochemical analysis of paraffin-embedded SNU-16 cell pellet (left, positive) or SW620 cell pellet (right, negative) using FGF Receptor 2IIIb (FPR2-D) Mouse mAb performed on the Leica BOND RX.
Immunohistochemistry Image 5: FGF Receptor 2IIIb (FPR2-D) Mouse Monoclonal Antibody
Immunohistochemical analysis of paraffin-embedded 293T cell pellets transfected with various FGF Receptor family members using FGF Receptor 2IIIb (FPR2-D) Mouse mAb (top). Transfections were confirmed using FGF Receptor 1 (D8E4) Rabbit mAb #9740, FGF Receptor 2 (D4L2V) Rabbit mAb #23328 (both FGFR 2IIIb and FGFR 2IIIc), FGF Receptor 3 (C51F2) Rabbit mAb #4574, and FGF Receptor 4 (D3B12) XP® Rabbit mAb #8562 (bottom). Staining was performed on the Leica BOND RX.
Immunohistochemistry Image 1: FGF Receptor 2IIIb (FPR2-D) Mouse Monoclonal Antibody
Orders: 877-616-CELL (2355) [email protected] Support: 877-678-TECH (8324) [email protected] Web: cellsignal.com
For Research Use Only. Not for Use in Diagnostic Procedures.