Revision 1

#53507

Store at -20C

CST Logo
Orders:

877-616-CELL (2355)

[email protected]

Support:

877-678-TECH (8324)

3 Trask Lane | Danvers | Massachusetts | 01923 | USA

For Research Use Only. Not for Use in Diagnostic Procedures.

Applications:
IHC-P

Reactivity:
H

Sensitivity:
Endogenous

Source/Isotype:
Rabbit IgG

UniProt ID:
#P04004

Entrez-Gene Id:
7448

Product Usage Information

Application Dilution
Immunohistochemistry (Paraffin) 1:100 - 1:400

Storage

Supplied in 10 mM sodium HEPES (pH 7.5), 150 mM NaCl, 100 µg/mL BSA, 50% glycerol, and less than 0.02% sodium azide. Store at –20°C. Do not aliquot the antibody.

Specificity/Sensitivity

Vitronectin (F8D3L) Rabbit Monoclonal Antibody recognizes endogenous levels of total vitronectin protein.

Source / Purification

Monoclonal antibody is produced by immunizing animals with a synthetic peptide corresponding to residues surrounding Glu133 of human vitronectin protein.

Background

Vitronectin (VTN) is a multidomain adhesive glycoprotein synthesized mostly in the liver and secreted to blood plasma and extracellular matrix (ECM) (1,2). The protein has an N-terminal SMB fragment mediating binding to PAI-1 and UPAR, followed by an RGD region mediating its interaction with integrins, and C-terminal hemopexin-like domains mediating its interaction with various ECM components such as collagens, tenascins, and plasminogen (2,3). VTN has been implicated as a regulator of many diverse physiological processes, including coagulation, complement-dependent immune response, cell attachment and spreading, angiogenesis, hemostasis, and vascular remodeling (4-6). Increased VTN expression promotes cancer cell migration, adhesion, and metastasis in neuroblastoma, ovarian cancer, and breast cancer cells (7-9).

Species Reactivity

Species reactivity is determined by testing in at least one approved application (e.g., western blot).

Applications Key

IHC-P: Immunohistochemistry (Paraffin)

Cross-Reactivity Key

H: Human

Trademarks and Patents

Cell Signaling Technology is a trademark of Cell Signaling Technology, Inc.

All other trademarks are the property of their respective owners. Visit cellsignal.com/trademarks for more information.

Limited Uses

Except as otherwise expressly agreed in a writing signed by a legally authorized representative of CST, the following terms apply to Products provided by CST, its affiliates or its distributors. Any Customer's terms and conditions that are in addition to, or different from, those contained herein, unless separately accepted in writing by a legally authorized representative of CST, are rejected and are of no force or effect.

Products are labeled with For Research Use Only or a similar labeling statement and have not been approved, cleared, or licensed by the FDA or other regulatory foreign or domestic entity, for any purpose. Customer shall not use any Product for any diagnostic or therapeutic purpose, or otherwise in any manner that conflicts with its labeling statement. Products sold or licensed by CST are provided for Customer as the end-user and solely for research and development uses. Any use of Product for diagnostic, prophylactic or therapeutic purposes, or any purchase of Product for resale (alone or as a component) or other commercial purpose, requires a separate license from CST. Customer shall (a) not sell, license, loan, donate or otherwise transfer or make available any Product to any third party, whether alone or in combination with other materials, or use the Products to manufacture any commercial products, (b) not copy, modify, reverse engineer, decompile, disassemble or otherwise attempt to discover the underlying structure or technology of the Products, or use the Products for the purpose of developing any products or services that would compete with CST products or services, (c) not alter or remove from the Products any trademarks, trade names, logos, patent or copyright notices or markings, (d) use the Products solely in accordance with CST Product Terms of Sale and any applicable documentation, and (e) comply with any license, terms of service or similar agreement with respect to any third party products or services used by Customer in connection with the Products.

Orders: 877-616-CELL (2355) [email protected] Support: 877-678-TECH (8324) [email protected] Web: cellsignal.com
For Research Use Only. Not for Use in Diagnostic Procedures.

Revision 1

Cell Signaling Technology Logo
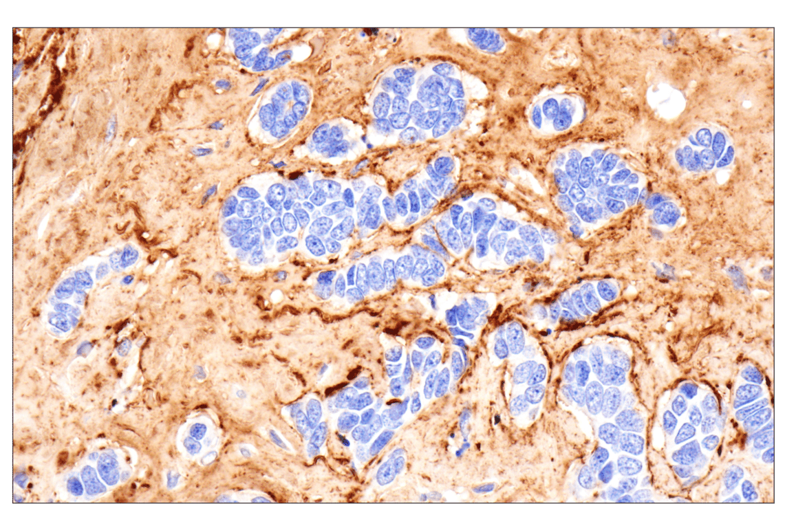
Immunohistochemical analysis of paraffin-embedded human ductal breast carcinoma using Vitronectin (F8D3L) Rabbit mAb.
Immunohistochemistry Image 1: Vitronectin (F8D3L) Rabbit Monoclonal Antibody
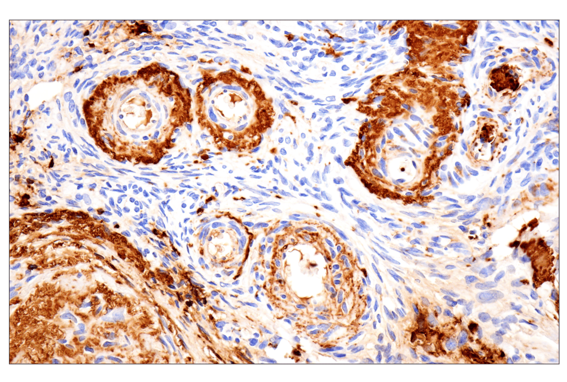
Immunohistochemical analysis of paraffin-embedded human adenoid cystic carcinoma of the salivary gland using Vitronectin (F8D3L) Rabbit mAb.
Immunohistochemistry Image 2: Vitronectin (F8D3L) Rabbit Monoclonal Antibody

Immunohistochemical analysis of paraffin-embedded human esophageal carcinoma using Vitronectin (F8D3L) Rabbit mAb.

Immunohistochemistry Image 3: Vitronectin (F8D3L) Rabbit Monoclonal Antibody
Orders: 877-616-CELL (2355) [email protected] Support: 877-678-TECH (8324) [email protected] Web: cellsignal.com
For Research Use Only. Not for Use in Diagnostic Procedures.

Revision 1

Cell Signaling Technology Logo
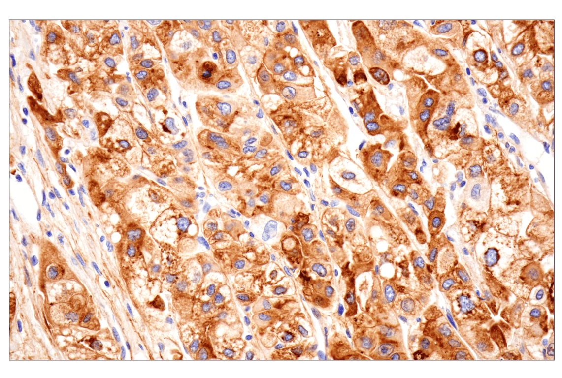
Immunohistochemical analysis of paraffin-embedded human hepatocellular carcinoma using Vitronectin (F8D3L) Rabbit mAb.
Immunohistochemistry Image 4: Vitronectin (F8D3L) Rabbit Monoclonal Antibody
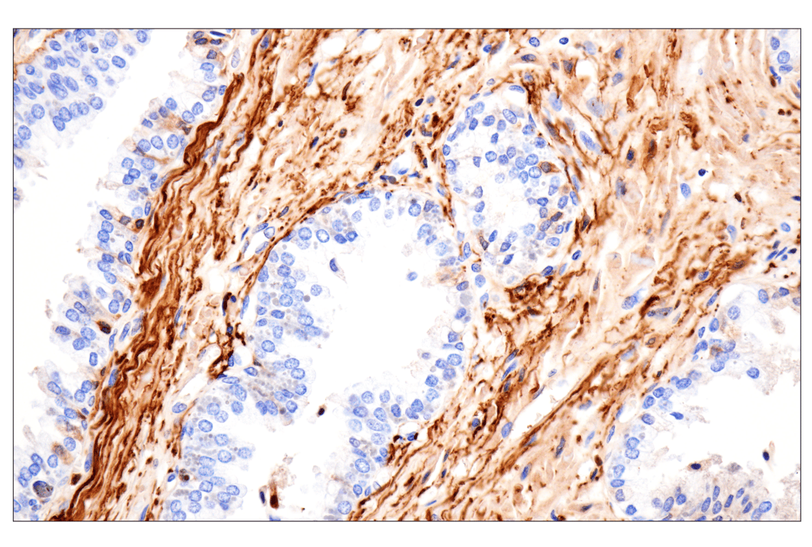
Immunohistochemical analysis of paraffin-embedded human prostate carcinoma using Vitronectin (F8D3L) Rabbit mAb.
Immunohistochemistry Image 5: Vitronectin (F8D3L) Rabbit Monoclonal Antibody
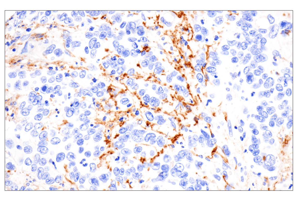
Immunohistochemical analysis of paraffin-embedded human gastric carcinoma using Vitronectin (F8D3L) Rabbit mAb.
Immunohistochemistry Image 6: Vitronectin (F8D3L) Rabbit Monoclonal Antibody
Orders: 877-616-CELL (2355) [email protected] Support: 877-678-TECH (8324) [email protected] Web: cellsignal.com
For Research Use Only. Not for Use in Diagnostic Procedures.

Revision 1

Cell Signaling Technology Logo
Immunohistochemical analysis of paraffin-embedded human squamous cell carcinoma of the skin using Vitronectin (F8D3L) Rabbit mAb.
Immunohistochemistry Image 7: Vitronectin (F8D3L) Rabbit Monoclonal Antibody
Immunohistochemical analysis of paraffin-embedded normal human pancreas using Vitronectin (F8D3L) Rabbit mAb.
Immunohistochemistry Image 8: Vitronectin (F8D3L) Rabbit Monoclonal Antibody
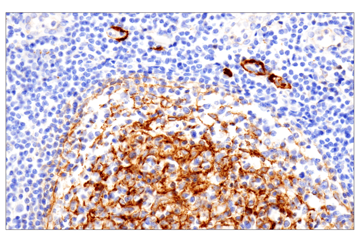
Immunohistochemical analysis of paraffin-embedded human tonsil using Vitronectin (F8D3L) Rabbit mAb.
Immunohistochemistry Image 9: Vitronectin (F8D3L) Rabbit Monoclonal Antibody
Orders: 877-616-CELL (2355) [email protected] Support: 877-678-TECH (8324) [email protected] Web: cellsignal.com
For Research Use Only. Not for Use in Diagnostic Procedures.

Revision 1

Cell Signaling Technology Logo
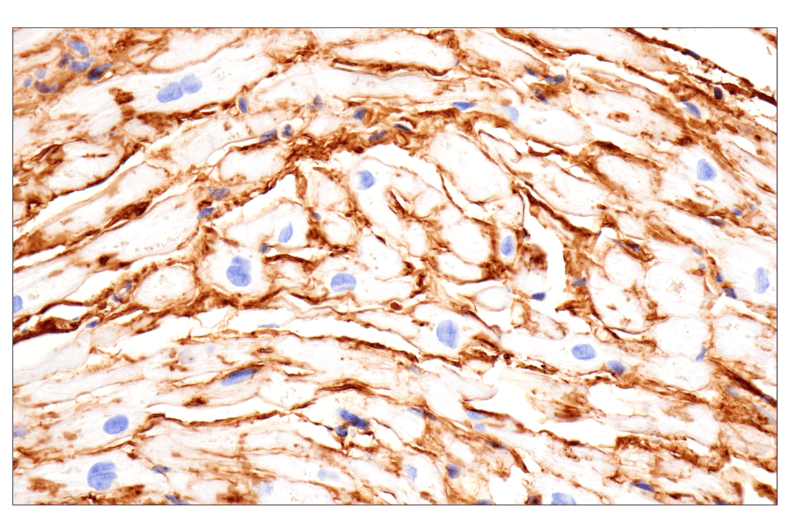
Immunohistochemical analysis of paraffin-embedded normal human heart using Vitronectin (F8D3L) Rabbit mAb.
Immunohistochemistry Image 10: Vitronectin (F8D3L) Rabbit Monoclonal Antibody

Immunohistochemical analysis of paraffin-embedded normal human ovary using Vitronectin (F8D3L) Rabbit mAb.

Immunohistochemistry Image 11: Vitronectin (F8D3L) Rabbit Monoclonal Antibody
Immunohistochemical analysis of paraffin-embedded normal human testis using Vitronectin (F8D3L) Rabbit mAb.
Immunohistochemistry Image 12: Vitronectin (F8D3L) Rabbit Monoclonal Antibody
Orders: 877-616-CELL (2355) [email protected] Support: 877-678-TECH (8324) [email protected] Web: cellsignal.com
For Research Use Only. Not for Use in Diagnostic Procedures.

Revision 1

Cell Signaling Technology Logo
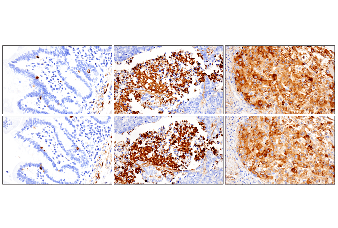
Immunohistochemical analysis of paraffin-embedded human colon (left), lung adenocarcinoma (middle), or hepatocellular carcinoma (right) using Vitronectin (F8D3L) Rabbit mAb (top) or Vitronectin Rabbit mAb (bottom). These two antibodies detect unique, non-overlapping epitopes on human vitronectin. The similar staining patterns obtained with both antibodies help to confirm the specificity of the staining.
Immunohistochemistry Image 13: Vitronectin (F8D3L) Rabbit Monoclonal Antibody
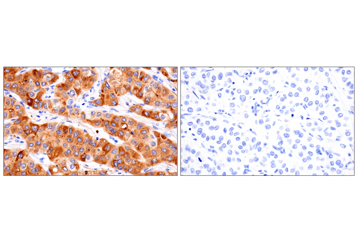
Immunohistochemical analysis of paraffin-embedded human hepatocellular carcinoma using Vitronectin (F8D3L) Rabbit mAb (left) compared to concentration-matched Rabbit (DA1E) mAb IgG XP® Isotype Control #3900 (right).
Immunohistochemistry Image 14: Vitronectin (F8D3L) Rabbit Monoclonal Antibody
Immunohistochemical analysis of paraffin-embedded HuH-7 cell pellet (left, positive) or A-431 cell pellet (right, negative) using Vitronectin (F8D3L) Rabbit mAb.
Immunohistochemistry Image 15: Vitronectin (F8D3L) Rabbit Monoclonal Antibody
Orders: 877-616-CELL (2355) [email protected] Support: 877-678-TECH (8324) [email protected] Web: cellsignal.com
For Research Use Only. Not for Use in Diagnostic Procedures.