Revision 3

#54710

Store at -20C

CST Logo
Orders:

877-616-CELL (2355)

[email protected]

Support:

877-678-TECH (8324)

3 Trask Lane | Danvers | Massachusetts | 01923 | USA

For Research Use Only. Not for Use in Diagnostic Procedures.

Applications:
W, W-S, IP, IHC-P

Reactivity:
H

Sensitivity:
Endogenous

MW (kDa):
23 (C-terminal fragment), 54 (full-length)

Source/Isotype:
Rabbit IgG

UniProt ID:
#P49810

Entrez-Gene Id:
5664

Product Usage Information

Application Dilution
Western Blotting 1:1000
Simple Western™ 1:10 - 1:50
Immunoprecipitation 1:50
Immunohistochemistry (Paraffin) 1:200 - 1:800

Storage

Supplied in 10 mM sodium HEPES (pH 7.5), 150 mM NaCl, 100 µg/mL BSA, 50% glycerol, and less than 0.02% sodium azide. Store at –20°C. Do not aliquot the antibody.

Specificity/Sensitivity

Presenilin 2 (F7E5Q) Rabbit Monoclonal Antibody recognizes endogenous levels of total Presenilin 2 protein. This antibody does not cross-react with Presenilin 1 protein.

Source / Purification

Monoclonal antibody is produced by immunizing animals with a synthetic peptide corresponding to residues surrounding Thr345 of human Presenilin 2 protein.

Background

Presenilin 1 and presenilin 2 are transmembrane proteins belonging to the presenilin family. Mutation of presenilin genes has been linked to early onset of Alzheimer disease, probably due to presenilin's associated γ-secretase activity for amyloid-β protein processing (1,2). Endogenous presenilin mainly exists in a heterodimeric complex formed from the endoproteolytically processed amino-terminal (34 kDa) and carboxy-terminal (~20, 22, 23 kDa) fragments (CTF) (2,3).

Species Reactivity

Species reactivity is determined by testing in at least one approved application (e.g., western blot).

Western Blot Buffer

IMPORTANT: For western blots, incubate membrane with diluted primary antibody in 5% w/v BSA, 1X TBS, 0.1% Tween® 20 at 4°C with gentle shaking, overnight.

Applications Key

W: Western Blotting W-S: Simple Western™ IP: Immunoprecipitation IHC-P: Immunohistochemistry (Paraffin)

Cross-Reactivity Key

H: Human

Trademarks and Patents

Cell Signaling Technology is a trademark of Cell Signaling Technology, Inc.

All other trademarks are the property of their respective owners. Visit cellsignal.com/trademarks for more information.

Limited Uses

Except as otherwise expressly agreed in a writing signed by a legally authorized representative of CST, the following terms apply to Products provided by CST, its affiliates or its distributors. Any Customer's terms and conditions that are in addition to, or different from, those contained herein, unless separately accepted in writing by a legally authorized representative of CST, are rejected and are of no force or effect.

Products are labeled with For Research Use Only or a similar labeling statement and have not been approved, cleared, or licensed by the FDA or other regulatory foreign or domestic entity, for any purpose. Customer shall not use any Product for any diagnostic or therapeutic purpose, or otherwise in any manner that conflicts with its labeling statement. Products sold or licensed by CST are provided for Customer as the end-user and solely for research and development uses. Any use of Product for diagnostic, prophylactic or therapeutic purposes, or any purchase of Product for resale (alone or as a component) or other commercial purpose, requires a separate license from CST. Customer shall (a) not sell, license, loan, donate or otherwise transfer or make available any Product to any third party, whether alone or in combination with other materials, or use the Products to manufacture any commercial products, (b) not copy, modify, reverse engineer, decompile, disassemble or otherwise attempt to discover the underlying structure or technology of the Products, or use the Products for the purpose of developing any products or services that would compete with CST products or services, (c) not alter or remove from the Products any trademarks, trade names, logos, patent or copyright notices or markings, (d) use the Products solely in accordance with CST Product Terms of Sale and any applicable documentation, and (e) comply with any license, terms of service or similar agreement with respect to any third party products or services used by Customer in connection with the Products.

Orders: 877-616-CELL (2355) [email protected] Support: 877-678-TECH (8324) [email protected] Web: cellsignal.com
For Research Use Only. Not for Use in Diagnostic Procedures.

Revision 3

Cell Signaling Technology Logo
Western blot analysis of extracts from various cell lines using Presenilin 2 (F7E5Q) Rabbit mAb (upper) or GAPDH (D16H11) XP® Rabbit mAb #5174 (lower). Negative expression of Presenilin 2 protein in TALL-1 cells is consistent with the predicted expression pattern.
Western Blotting Image 1: Presenilin 2 (F7E5Q) Rabbit Monoclonal Antibody
Western blot analysis of extracts from 293T cells, mock transfected (-) or transfected with constructs expressing Myc/DDK-tagged human Presenilin 1 protein (hPresenilin 1-Myc/DDK; -), or Myc/DDK-tagged human Presenilin 2 protein (hPresenilin 1-Myc/DDK; +) using Presenilin 2 (F7E5Q) Rabbit mAb (upper), Presenilin 1 (E3L9X) Rabbit mAb #87146
(upper-middle), Myc-Tag (71D10) Rabbit mAb #2278 (lower-middle), or GAPDH (D16H11) XP® Rabbit mAb #5174 (lower).
Western Blotting Image 2: Presenilin 2 (F7E5Q) Rabbit Monoclonal Antibody
Simple Western™ analysis of lysates (1.0 mg/mL) from SK-MEL-5 lysate using Presenilin 2 (F7E5Q) Rabbit mAb #54710. The virtual lane view (left) shows the target band (as indicated) at 1:10 and 1:50 dilutions of primary antibody. The corresponding electropherogram view (right) plots chemiluminescence by molecular weight along the capillary at 1:10 (blue line) and 1:50 (green line) dilutions of primary antibody. This experiment was performed under reducing conditions on the JessTM Simple Western instrument from ProteinSimple, a BioTechne brand, using the 12-230 kDa separation module.
Western Blotting Image 1: Presenilin 2 (F7E5Q) Rabbit Monoclonal Antibody
Orders: 877-616-CELL (2355) [email protected] Support: 877-678-TECH (8324) [email protected] Web: cellsignal.com
For Research Use Only. Not for Use in Diagnostic Procedures.

Revision 3

Cell Signaling Technology Logo
Immunoprecipitation of Presenilin 2 protein from SNB-19 cell extracts. Lane 1 is 10% input, lane 2 is Rabbit (DA1E) mAb IgG XP® Isotype Control #3900, and lane 3 is Presenilin 2 (F7E5Q) Rabbit mAb. Western blot analysis was performed using Presenilin 2 (D30G3) Rabbit mAb #9979. Mouse Anti-rabbit IgG (Conformation Specific) (L27A9) mAb (HRP Conjugate) #5127 was used as a secondary antibody.
Immunoprecipitation Image 1: Presenilin 2 (F7E5Q) Rabbit Monoclonal Antibody
Immunohistochemical analysis of paraffin-embedded human Alzheimer's brain using Presenilin 2 (F7E5Q) Rabbit mAb.
Immunohistochemistry Image 1: Presenilin 2 (F7E5Q) Rabbit Monoclonal Antibody
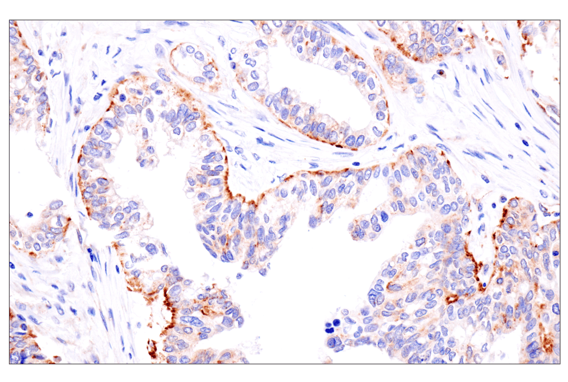
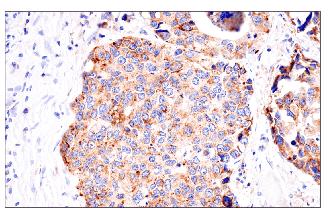
Immunohistochemical analysis of paraffin-embedded human ovarian papillary serous carcinoma using Presenilin 2 (F7E5Q) Rabbit mAb.
Immunohistochemistry Image 2: Presenilin 2 (F7E5Q) Rabbit Monoclonal Antibody
Orders: 877-616-CELL (2355) [email protected] Support: 877-678-TECH (8324) [email protected] Web: cellsignal.com
For Research Use Only. Not for Use in Diagnostic Procedures.

Revision 3

Cell Signaling Technology Logo
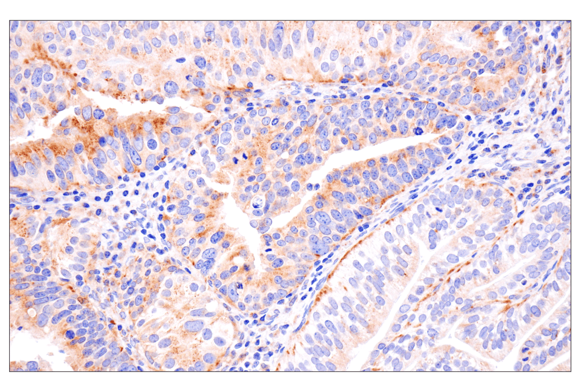
Immunohistochemical analysis of paraffin-embedded human endometrioid adenocarcinoma using Presenilin 2 (F7E5Q) Rabbit mAb.
Immunohistochemistry Image 3: Presenilin 2 (F7E5Q) Rabbit Monoclonal Antibody
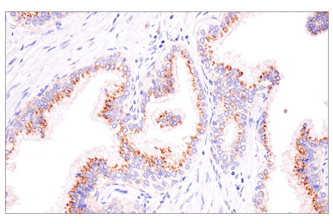
Immunohistochemical analysis of paraffin-embedded human prostate adenocarcinoma using Presenilin 2 (F7E5Q) Rabbit mAb.
Immunohistochemistry Image 4: Presenilin 2 (F7E5Q) Rabbit Monoclonal Antibody
Immunohistochemical analysis of paraffin-embedded human esophageal carcinoma using Presenilin 2 (F7E5Q) Rabbit mAb.
Immunohistochemistry Image 5: Presenilin 2 (F7E5Q) Rabbit Monoclonal Antibody
Orders: 877-616-CELL (2355) [email protected] Support: 877-678-TECH (8324) [email protected] Web: cellsignal.com
For Research Use Only. Not for Use in Diagnostic Procedures.

Revision 3

Cell Signaling Technology Logo
Immunohistochemical analysis of paraffin-embedded normal human spleen using Presenilin 2 (F7E5Q) Rabbit mAb.
Immunohistochemistry Image 6: Presenilin 2 (F7E5Q) Rabbit Monoclonal Antibody
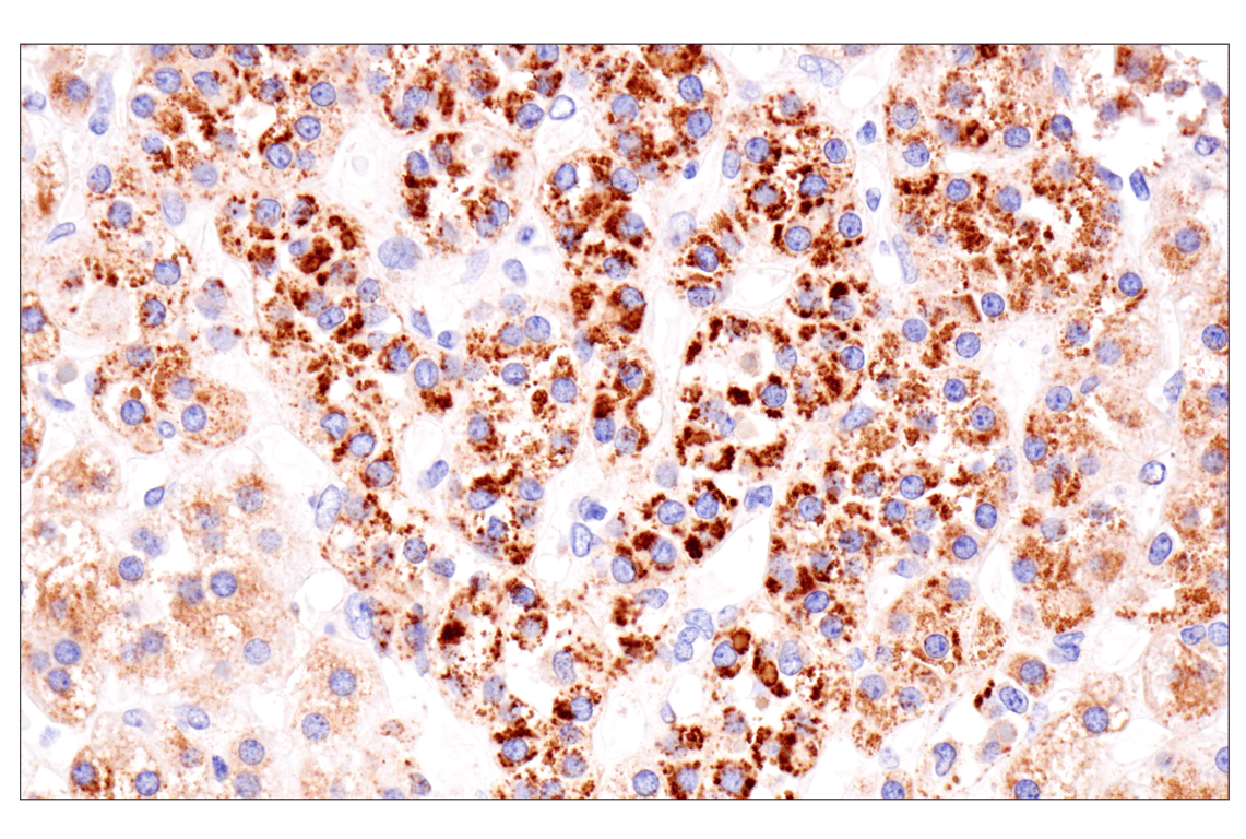
Immunohistochemical analysis of paraffin-embedded normal human adrenal gland using Presenilin 2 (F7E5Q) Rabbit mAb.
Immunohistochemistry Image 7: Presenilin 2 (F7E5Q) Rabbit Monoclonal Antibody
Immunohistochemical analysis of paraffin-embedded normal human testis using Presenilin 2 (F7E5Q) Rabbit mAb.
Immunohistochemistry Image 8: Presenilin 2 (F7E5Q) Rabbit Monoclonal Antibody
Orders: 877-616-CELL (2355) [email protected] Support: 877-678-TECH (8324) [email protected] Web: cellsignal.com
For Research Use Only. Not for Use in Diagnostic Procedures.

Revision 3

Cell Signaling Technology Logo
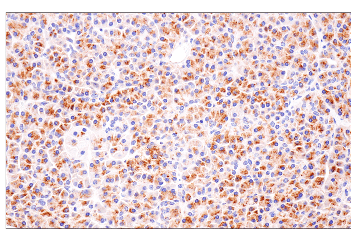
Immunohistochemical analysis of paraffin-embedded normal human pancreas using Presenilin 2 (F7E5Q) Rabbit mAb.
Immunohistochemistry Image 9: Presenilin 2 (F7E5Q) Rabbit Monoclonal Antibody
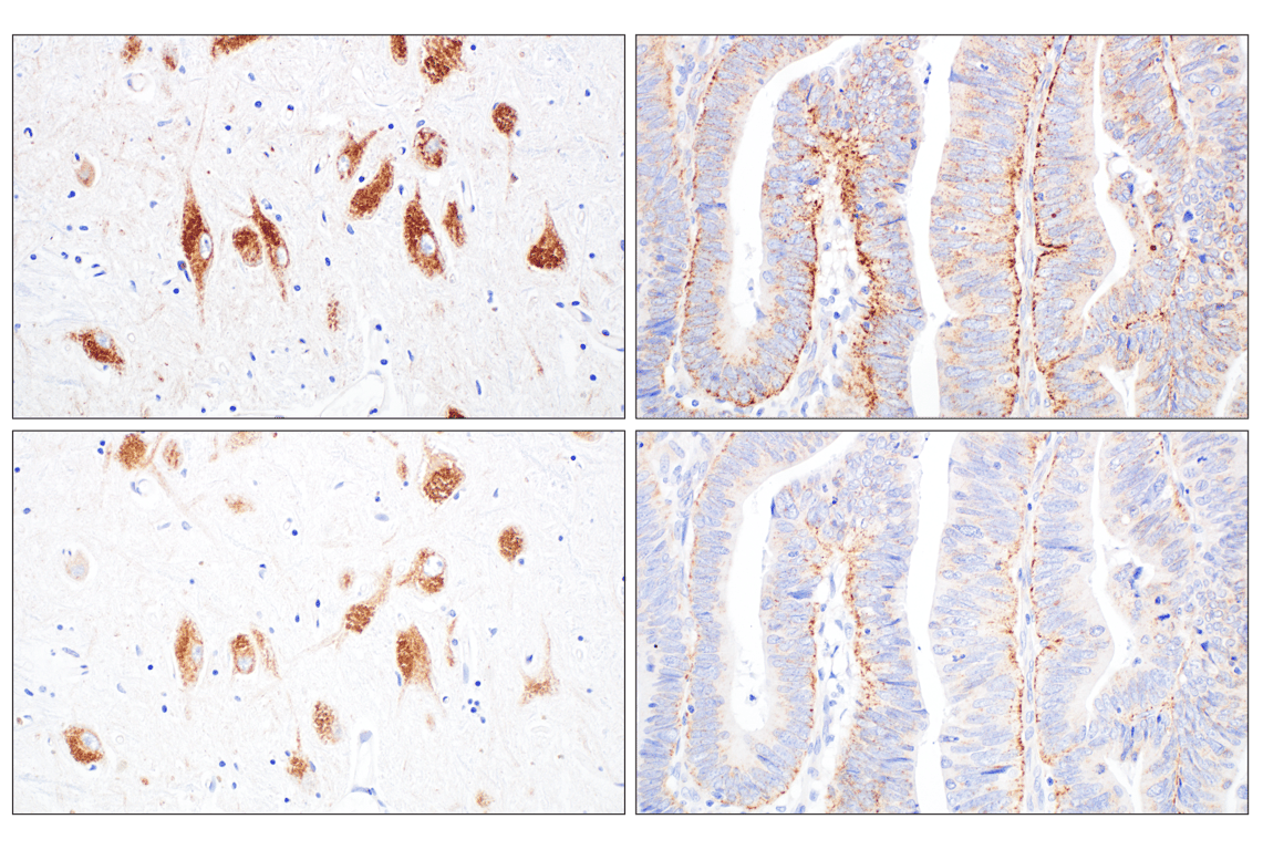
Immunohistochemical analysis of paraffin-embedded human Alzheimer's brain (left), or human colon adenocarcinoma (right) using Presenilin 2 (F7E5Q) Rabbit mAb (top) or a Presenilin 2 Rabbit mAb (bottom). These two antibodies detect unique, non-overlapping epitopes on human Presenilin 2. The similar staining patterns obtained with both antibodies help to confirm the specificity of the staining. 
Immunohistochemistry Image 10: Presenilin 2 (F7E5Q) Rabbit Monoclonal Antibody
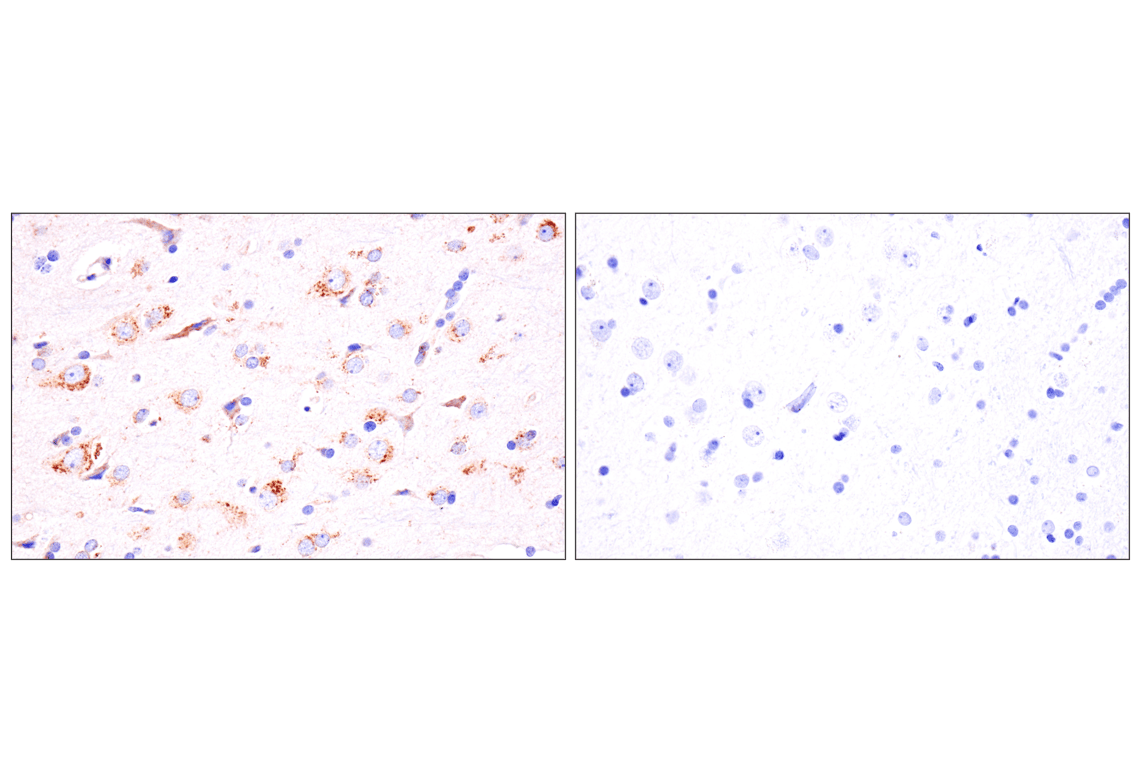
Immunohistochemical analysis of paraffin-embedded normal human brain using Presenilin 2 (F7E5Q) Rabbit mAb (left) compared to concentration-matched Rabbit (DA1E) mAb IgG XP® Isotype Control #3900 (right). 
Immunohistochemistry Image 11: Presenilin 2 (F7E5Q) Rabbit Monoclonal Antibody
Orders: 877-616-CELL (2355) [email protected] Support: 877-678-TECH (8324) [email protected] Web: cellsignal.com
For Research Use Only. Not for Use in Diagnostic Procedures.

Revision 3

Cell Signaling Technology Logo
Immunohistochemical analysis of paraffin-embedded SNB-19 cell pellet (left, positive) or TALL-1 cell pellet (right, negative) using Presenilin 2 (F7E5Q) Rabbit mAb.
Immunohistochemistry Image 12: Presenilin 2 (F7E5Q) Rabbit Monoclonal Antibody
Orders: 877-616-CELL (2355) [email protected] Support: 877-678-TECH (8324) [email protected] Web: cellsignal.com
For Research Use Only. Not for Use in Diagnostic Procedures.