Revision 3

#5479

Store at -20C

CST Logo
Orders:

877-616-CELL (2355)

[email protected]

Support:

877-678-TECH (8324)

3 Trask Lane | Danvers | Massachusetts | 01923 | USA

For Research Use Only. Not for Use in Diagnostic Procedures.

Applications:
W, IP, IHC-P

Reactivity:
H

Sensitivity:
Endogenous

MW (kDa):
98

Source/Isotype:
Rabbit IgG

UniProt ID:
#P47712

Entrez-Gene Id:
5321

Product Usage Information

Application Dilution
Western Blotting 1:1000
Immunoprecipitation 1:50
Immunohistochemistry (Paraffin) 1:50

Storage

Supplied in 10 mM sodium HEPES (pH 7.5), 150 mM NaCl, 100 µg/ml BSA, 50% glycerol and less than 0.02% sodium azide. Store at –20°C. Do not aliquot the antibody.

Specificity/Sensitivity

cPLA2 (D11H4) Rabbit Monoclonal Antibody detects endogenous levels of total cPLA2 protein.

Source / Purification

Monoclonal antibody is produced by immunizing animals with a synthetic peptide corresponding to residues surrounding Ala452 of human cPLA2 protein.

Background

Cytosolic phospholipase A2 (cPLA2) is a ubiquitously distributed enzyme that catalyzes the hydrolysis of the sn-2 acyl bond of glycerolipids to produce lysophospholipids and release arachidonic acid (1). cPLA2 has been implicated in diverse cellular responses such as mitogenesis, differentiation, inflammation and cytotoxicity (1). Calcium binding to the amino-terminal CalB domain of cPLA2 promotes the translocation of cPLA2 from cytosol to membrane, where cPLA2 cleaves arachidonic acid from natural membrane (2). Phosphorylation of cPLA2 by MAPK (p42/44 and p38) at Ser505 (3,4) and Ser727 (5) stimulates its catalytic activity.

Species Reactivity

Species reactivity is determined by testing in at least one approved application (e.g., western blot).

Western Blot Buffer

IMPORTANT: For western blots, incubate membrane with diluted primary antibody in 5% w/v BSA, 1X TBS, 0.1% Tween® 20 at 4°C with gentle shaking, overnight.

Applications Key

W: Western Blotting IP: Immunoprecipitation IHC-P: Immunohistochemistry (Paraffin)

Cross-Reactivity Key

H: Human

Trademarks and Patents

Cell Signaling Technology is a trademark of Cell Signaling Technology, Inc.

All other trademarks are the property of their respective owners. Visit cellsignal.com/trademarks for more information.

Limited Uses

Except as otherwise expressly agreed in a writing signed by a legally authorized representative of CST, the following terms apply to Products provided by CST, its affiliates or its distributors. Any Customer's terms and conditions that are in addition to, or different from, those contained herein, unless separately accepted in writing by a legally authorized representative of CST, are rejected and are of no force or effect.

Products are labeled with For Research Use Only or a similar labeling statement and have not been approved, cleared, or licensed by the FDA or other regulatory foreign or domestic entity, for any purpose. Customer shall not use any Product for any diagnostic or therapeutic purpose, or otherwise in any manner that conflicts with its labeling statement. Products sold or licensed by CST are provided for Customer as the end-user and solely for research and development uses. Any use of Product for diagnostic, prophylactic or therapeutic purposes, or any purchase of Product for resale (alone or as a component) or other commercial purpose, requires a separate license from CST. Customer shall (a) not sell, license, loan, donate or otherwise transfer or make available any Product to any third party, whether alone or in combination with other materials, or use the Products to manufacture any commercial products, (b) not copy, modify, reverse engineer, decompile, disassemble or otherwise attempt to discover the underlying structure or technology of the Products, or use the Products for the purpose of developing any products or services that would compete with CST products or services, (c) not alter or remove from the Products any trademarks, trade names, logos, patent or copyright notices or markings, (d) use the Products solely in accordance with CST Product Terms of Sale and any applicable documentation, and (e) comply with any license, terms of service or similar agreement with respect to any third party products or services used by Customer in connection with the Products.

Orders: 877-616-CELL (2355) [email protected] Support: 877-678-TECH (8324) [email protected] Web: cellsignal.com
For Research Use Only. Not for Use in Diagnostic Procedures.

Revision 3

Cell Signaling Technology Logo
Western blot analysis of extracts from various cell lines using cPLA2 (D11H4) Rabbit mAb.
Western Blotting Image 1: cPLA2 (D11H4) Rabbit Monoclonal Antibody
Immunohistochemical analysis of paraffin-embedded human endometrioid adenocarcinoma using cPLA2 (D11H4) Rabbit mAb.
Immunohistochemistry Image 1: cPLA2 (D11H4) Rabbit Monoclonal Antibody
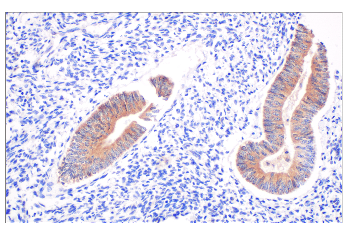
Immunohistochemical analysis of paraffin-embedded human colon adenocarcinoma using cPLA2 (D11H4) Rabbit mAb.
Immunohistochemistry Image 2: cPLA2 (D11H4) Rabbit Monoclonal Antibody
Orders: 877-616-CELL (2355) [email protected] Support: 877-678-TECH (8324) [email protected] Web: cellsignal.com
For Research Use Only. Not for Use in Diagnostic Procedures.

Revision 3

Cell Signaling Technology Logo
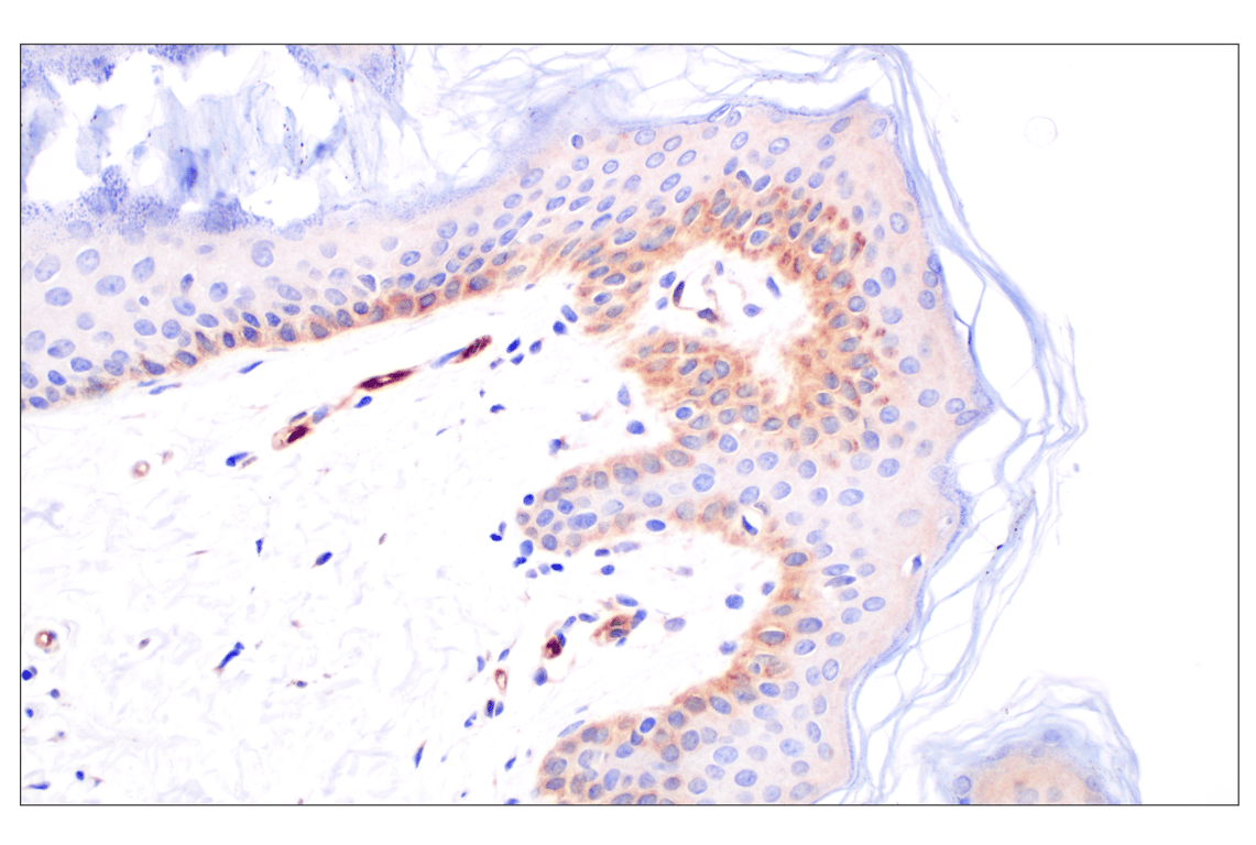
Immunohistochemical analysis of paraffin-embedded normal human skin using cPLA2 (D11H4) Rabbit mAb.
Immunohistochemistry Image 3: cPLA2 (D11H4) Rabbit Monoclonal Antibody
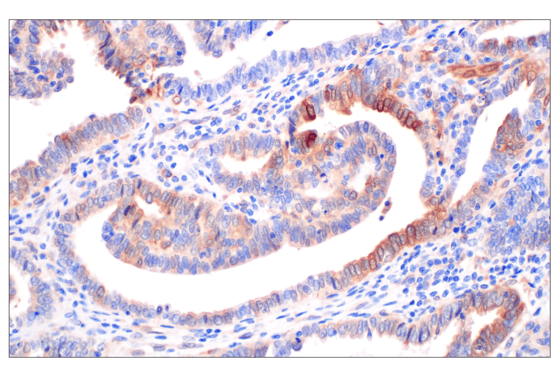
Immunohistochemical analysis of paraffin-embedded normal human uterus using cPLA2 (D11H4) Rabbit mAb.
Immunohistochemistry Image 4: cPLA2 (D11H4) Rabbit Monoclonal Antibody
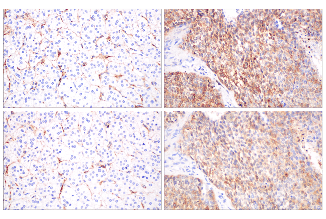
Immunohistochemical analysis of paraffin-embedded normal human adrenal gland (left), or human lung adenocarcinoma (right) using cPLA2 (D11H4) Rabbit mAb (top) or a cPLA2 Rabbit mAb (bottom). These two antibodies detect unique, non-overlapping epitopes on human cPLA2. The similar staining patterns obtained with both antibodies help to confirm the specificity of the staining. 
Immunohistochemistry Image 5: cPLA2 (D11H4) Rabbit Monoclonal Antibody
Orders: 877-616-CELL (2355) [email protected] Support: 877-678-TECH (8324) [email protected] Web: cellsignal.com
For Research Use Only. Not for Use in Diagnostic Procedures.

Revision 3

Cell Signaling Technology Logo
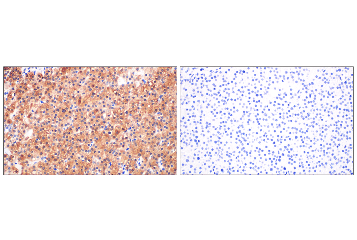
Immunohistochemical analysis of paraffin-embedded normal human parathyroid using cPLA2 (D11H4) Rabbit mAb (left) compared to concentration-matched Rabbit (DA1E) mAb IgG XP® Isotype Control #3900 (right). 
Immunohistochemistry Image 6: cPLA2 (D11H4) Rabbit Monoclonal Antibody
Immunohistochemical analysis of paraffin-embedded A549 cell pellet (left, positive) or SNU-1 cell pellet (right, negative) using cPLA2 (D11H4) Rabbit mAb.
Immunohistochemistry Image 7: cPLA2 (D11H4) Rabbit Monoclonal Antibody
Orders: 877-616-CELL (2355) [email protected] Support: 877-678-TECH (8324) [email protected] Web: cellsignal.com
For Research Use Only. Not for Use in Diagnostic Procedures.