Revision 10

#55883

Store at +4C

CST Logo
Orders:

877-616-CELL (2355)

[email protected]

Support:

877-678-TECH (8324)

3 Trask Lane | Danvers | Massachusetts | 01923 | USA

For Research Use Only. Not for Use in Diagnostic Procedures.

Applications:
IHC-Bond, IHC-P, IF-IC

Reactivity:
H

Sensitivity:
Endogenous

Source/Isotype:
Mouse IgG1 kappa

UniProt ID:
#P09327

Entrez-Gene Id:
7429

Product Usage Information

Application Dilution
IHC Leica Bond 1:200 - 1:800
Immunohistochemistry (Paraffin) 1:50 - 1:200
Immunofluorescence (Immunocytochemistry) 1:200 - 1:800

Storage

Supplied as liquid tissue culture supernatant containing sodium azide as a preservative. Stable for 6 months when stored at 4°C. Do not aliquot the antibody.

Note: This product is only available in the format listed above. We are unable to provide this in a carrier free, custom formulation.

Specificity/Sensitivity

Villin-1 (CWWB1) Mouse Monoclonal Antibody recognizes endogenous levels of villin-1 protein.

Source / Purification

Monoclonal antibody is produced by immunizing animals with a prokaryotic recombinant protein containing amino acids 5–209 of mature villin-1 protein.

Background

Villin is a member of the gelsolin family of calcium-regulated actin-binding proteins. Unlike the ubiquitously expressed gelsolin, villin expression is restricted to simple epithelia of the gastrointestinal and urogenital tracts. It is localized to the apical cytoplasm and brush borders of these cells. Villin functions in the regulation of actin dynamics in the apical epithelium, capping, nucleating and/or severing actin filaments in a calcium-dependent manner and regulating cell shape in response to external stimuli (1,2). Phosphorylation of villin at Tyr60, 81, and 256 may be involved in the regulation of cell migration (3). Expression of villin is increased in colorectal cancers (4), and villin-1 function appears to be involved in progressive cholestasis and hepatic failure (5).

Species Reactivity

Species reactivity is determined by testing in at least one approved application (e.g., western blot).

Applications Key

IHC-Bond: IHC Leica Bond IHC-P: Immunohistochemistry (Paraffin) IF-IC: Immunofluorescence (Immunocytochemistry)

Cross-Reactivity Key

H: Human

Trademarks and Patents

Cell Signaling Technology is a trademark of Cell Signaling Technology, Inc.

SignalStain is a registered trademark of Cell Signaling Technology, Inc.

All other trademarks are the property of their respective owners. Visit cellsignal.com/trademarks for more information.

Limited Uses

Except as otherwise expressly agreed in a writing signed by a legally authorized representative of CST, the following terms apply to Products provided by CST, its affiliates or its distributors. Any Customer's terms and conditions that are in addition to, or different from, those contained herein, unless separately accepted in writing by a legally authorized representative of CST, are rejected and are of no force or effect.

Products are labeled with For Research Use Only or a similar labeling statement and have not been approved, cleared, or licensed by the FDA or other regulatory foreign or domestic entity, for any purpose. Customer shall not use any Product for any diagnostic or therapeutic purpose, or otherwise in any manner that conflicts with its labeling statement. Products sold or licensed by CST are provided for Customer as the end-user and solely for research and development uses. Any use of Product for diagnostic, prophylactic or therapeutic purposes, or any purchase of Product for resale (alone or as a component) or other commercial purpose, requires a separate license from CST. Customer shall (a) not sell, license, loan, donate or otherwise transfer or make available any Product to any third party, whether alone or in combination with other materials, or use the Products to manufacture any commercial products, (b) not copy, modify, reverse engineer, decompile, disassemble or otherwise attempt to discover the underlying structure or technology of the Products, or use the Products for the purpose of developing any products or services that would compete with CST products or services, (c) not alter or remove from the Products any trademarks, trade names, logos, patent or copyright notices or markings, (d) use the Products solely in accordance with CST Product Terms of Sale and any applicable documentation, and (e) comply with any license, terms of service or similar agreement with respect to any third party products or services used by Customer in connection with the Products.

Orders: 877-616-CELL (2355) [email protected] Support: 877-678-TECH (8324) [email protected] Web: cellsignal.com
For Research Use Only. Not for Use in Diagnostic Procedures.

Revision 10

Cell Signaling Technology Logo
Immunohistochemical analysis of paraffin-embedded human esophageal carcinoma using Villin-1 (CWWB1) Mouse mAb performed on the Leica® BOND™ Rx.  
Immunohistochemistry Image 1: Villin-1 (CWWB1) Mouse Monoclonal Antibody
Immunohistochemical analysis of paraffin-embedded human hepatocellular carcinoma using Villin-1 (CWWB1) Mouse mAb.
Immunohistochemistry Image 1: Villin-1 (CWWB1) Mouse Monoclonal Antibody
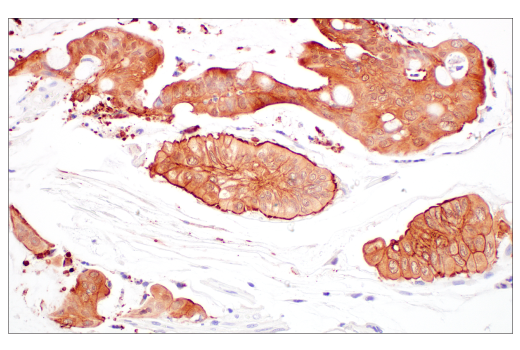
Immunohistochemical analysis of paraffin-embedded human colon adenocarcinoma using Villin-1 (CWWB1) Mouse mAb.
Immunohistochemistry Image 2: Villin-1 (CWWB1) Mouse Monoclonal Antibody
Orders: 877-616-CELL (2355) [email protected] Support: 877-678-TECH (8324) [email protected] Web: cellsignal.com
For Research Use Only. Not for Use in Diagnostic Procedures.

Revision 10

Cell Signaling Technology Logo
Immunohistochemical analysis of paraffin-embedded human esophageal carcinoma using Villin-1 (CWWB1) Mouse mAb.
Immunohistochemistry Image 3: Villin-1 (CWWB1) Mouse Monoclonal Antibody
Immunohistochemical analysis of paraffin-embedded human lung adenocarcinoma using Villin-1 (CWWB1) Mouse mAb.
Immunohistochemistry Image 4: Villin-1 (CWWB1) Mouse Monoclonal Antibody
Immunohistochemical analysis of paraffin-embedded human endometrioid adenocarcinoma using Villin-1 (CWWB1) Mouse mAb.
Immunohistochemistry Image 5: Villin-1 (CWWB1) Mouse Monoclonal Antibody
Orders: 877-616-CELL (2355) [email protected] Support: 877-678-TECH (8324) [email protected] Web: cellsignal.com
For Research Use Only. Not for Use in Diagnostic Procedures.

Revision 10

Cell Signaling Technology Logo
Immunohistochemical analysis of paraffin-embedded normal human kidney using Villin-1 (CWWB1) Mouse mAb.
Immunohistochemistry Image 6: Villin-1 (CWWB1) Mouse Monoclonal Antibody
Immunohistochemical analysis of paraffin-embedded normal human colon using Villin-1 (CWWB1) Mouse mAb (left) compared to concentration-matched Mouse (G3A1) mAb IgG1 Isotype Control #5415 (right). 
Immunohistochemistry Image 7: Villin-1 (CWWB1) Mouse Monoclonal Antibody
Immunohistochemical analysis of paraffin-embedded BEN cell pellet (left, positive) or ACHN cell pellet (right, negative) using Villin-1 (CWWB1) Mouse mAb.

Immunohistochemistry Image 8: Villin-1 (CWWB1) Mouse Monoclonal Antibody
Orders: 877-616-CELL (2355) [email protected] Support: 877-678-TECH (8324) [email protected] Web: cellsignal.com
For Research Use Only. Not for Use in Diagnostic Procedures.

Revision 10

Cell Signaling Technology Logo
Confocal immunofluorescent analysis of Hep G2 cells (left, positive) and RH-30 cells (right, negative) using Villin-1 (CWWB1) Mouse mAb (green), DyLight™ 554 Phalloidin #13054 (red), and DAPI #4083 (blue).
Immunofluorescence Image 1: Villin-1 (CWWB1) Mouse Monoclonal Antibody
Orders: 877-616-CELL (2355) [email protected] Support: 877-678-TECH (8324) [email protected] Web: cellsignal.com
For Research Use Only. Not for Use in Diagnostic Procedures.