Revision 6

#55914

Store at -20C

CST Logo
Orders:

877-616-CELL (2355)

[email protected]

Support:

877-678-TECH (8324)

3 Trask Lane | Danvers | Massachusetts | 01923 | USA

For Research Use Only. Not for Use in Diagnostic Procedures.

Applications:
W, W-S, IHC-P, IF-IC

Reactivity:
H Mk

Sensitivity:
Endogenous

MW (kDa):
25-42

Source/Isotype:
Rabbit IgG

UniProt ID:
#P07711

Entrez-Gene Id:
1514

Product Usage Information

Application Dilution
Western Blotting 1:1000
Simple Western™ 1:10 - 1:50
Immunohistochemistry (Paraffin) 1:500 - 1:2000
Immunofluorescence (Immunocytochemistry) 1:50 - 1:200

Storage

Supplied in 10 mM sodium HEPES (pH 7.5), 150 mM NaCl, 100 µg/mL BSA, 50% glycerol, and less than 0.02% sodium azide. Store at –20°C. Do not aliquot the antibody.

For a carrier free (BSA and azide free) version of this product see product #74355.

Specificity/Sensitivity

Cathepsin L (E3R3P) Rabbit Monoclonal Antibody recognizes endogenous levels of total cathepsin L protein. This antibody detects full-length cathepsin L pro-enzyme in addition to the processed (active) form of cathepsin L.

Source / Purification

Monoclonal antibody is produced by immunizing animals with recombinant protein corresponding to a fragment of human cathepsin L protein spanning residues Ala114 to Thr288.

Background

Cathepsin L belongs to the C1 family of peptidases, a large and diverse family of cysteine (thiol) proteases that play fundamental roles in protein processing and degradation. The catalytic activity of C1 peptidases maps to a nucleophilic cysteine thiol, usually found within a catalytic dyad or triad (1). Cathepsin L, initially synthesized as procathepsin L before undergoing proteolytic cleavage to its active form, is a ubiquitously expressed thiol protease, expressed primarily in lysosomes but which is also secreted by some cell types. Its diverse functions include general protein catabolism and autophagy (2), antigen processing (3), promoting angiogenesis (4), and extracellular matrix degradation (5,6). An isoform of cathepsin L has also been reported in the nucleus, where it was shown to be involved in the regulation of transcription factor activity (7). Targeted deletion of the Ctsl gene in mice embryos was non-lethal, but resulted in periodic hair loss and skin defects, including epidermal hyperplasia, acanthosis, and hyperkeratosis (8). More recently, research studies have reported that cathepsin L is involved in viral protein processing during viral replication, and that cathepsin L inhibitors may have utility in combating infection by SARS-CoV-2 and related coronaviruses (9).

Species Reactivity

Species reactivity is determined by testing in at least one approved application (e.g., western blot).

Western Blot Buffer

IMPORTANT: For western blots, incubate membrane with diluted primary antibody in 5% w/v BSA, 1X TBS, 0.1% Tween® 20 at 4°C with gentle shaking, overnight.

Applications Key

W: Western Blotting W-S: Simple Western™ IHC-P: Immunohistochemistry (Paraffin) IF-IC: Immunofluorescence (Immunocytochemistry)

Cross-Reactivity Key

H: Human Mk: Monkey

Trademarks and Patents

Cell Signaling Technology is a trademark of Cell Signaling Technology, Inc.

KARPAS cell line source: Dr. Abraham Karpas at the University of Cambridge.

All other trademarks are the property of their respective owners. Visit cellsignal.com/trademarks for more information.

Limited Uses

Except as otherwise expressly agreed in a writing signed by a legally authorized representative of CST, the following terms apply to Products provided by CST, its affiliates or its distributors. Any Customer's terms and conditions that are in addition to, or different from, those contained herein, unless separately accepted in writing by a legally authorized representative of CST, are rejected and are of no force or effect.

Products are labeled with For Research Use Only or a similar labeling statement and have not been approved, cleared, or licensed by the FDA or other regulatory foreign or domestic entity, for any purpose. Customer shall not use any Product for any diagnostic or therapeutic purpose, or otherwise in any manner that conflicts with its labeling statement. Products sold or licensed by CST are provided for Customer as the end-user and solely for research and development uses. Any use of Product for diagnostic, prophylactic or therapeutic purposes, or any purchase of Product for resale (alone or as a component) or other commercial purpose, requires a separate license from CST. Customer shall (a) not sell, license, loan, donate or otherwise transfer or make available any Product to any third party, whether alone or in combination with other materials, or use the Products to manufacture any commercial products, (b) not copy, modify, reverse engineer, decompile, disassemble or otherwise attempt to discover the underlying structure or technology of the Products, or use the Products for the purpose of developing any products or services that would compete with CST products or services, (c) not alter or remove from the Products any trademarks, trade names, logos, patent or copyright notices or markings, (d) use the Products solely in accordance with CST Product Terms of Sale and any applicable documentation, and (e) comply with any license, terms of service or similar agreement with respect to any third party products or services used by Customer in connection with the Products.

Orders: 877-616-CELL (2355) [email protected] Support: 877-678-TECH (8324) [email protected] Web: cellsignal.com
For Research Use Only. Not for Use in Diagnostic Procedures.

Revision 6

Cell Signaling Technology Logo
Western blot analysis of extracts from various cell lines using Cathepsin L (E3R3P) Rabbit mAb (upper) or GAPDH (D16H11) XP® Rabbit mAb #5174 (lower). Negative expression of cathepsin L protein in HuH-6 and REC-1 cells is consistent with the predicted expression pattern.
Western Blotting Image 1: Cathepsin L (E3R3P) Rabbit Monoclonal Antibody
Simple Western™️ analysis of lysates (1mg/mL) from SK-MEL-28 cells using Cathepsin L (E3R3P) Rabbit mAb #55914. The virtual lane view (left) shows the target band (as indicated) at 1:10 and 1:50 dilutions of primary antibody. The corresponding electropherogram view (right) plots chemiluminescence by molecular weight along the capillary at 1:10 (blue line) and 1:50 (green line) dilutions of primary antibody. This experiment was performed under reducing conditions on the Jess™️ Simple Western instrument from ProteinSimple, a BioTechne brand, using the 12 – 230 kDa separation module.
Western Blotting Image 1: Cathepsin L (E3R3P) Rabbit Monoclonal Antibody
Immunohistochemical analysis of paraffin-embedded human urothelial carcinoma using Cathepsin L (E3R3P) Rabbit mAb.
Immunohistochemistry Image 1: Cathepsin L (E3R3P) Rabbit Monoclonal Antibody
Orders: 877-616-CELL (2355) [email protected] Support: 877-678-TECH (8324) [email protected] Web: cellsignal.com
For Research Use Only. Not for Use in Diagnostic Procedures.

Revision 6

Cell Signaling Technology Logo
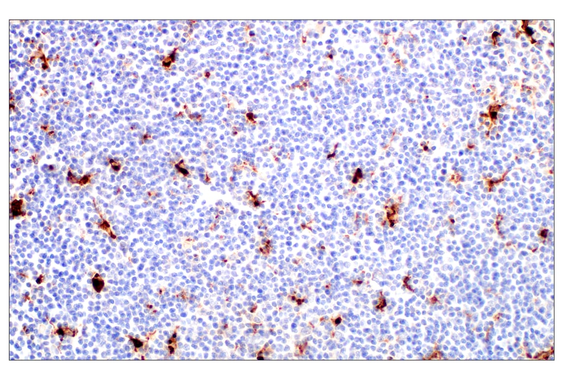
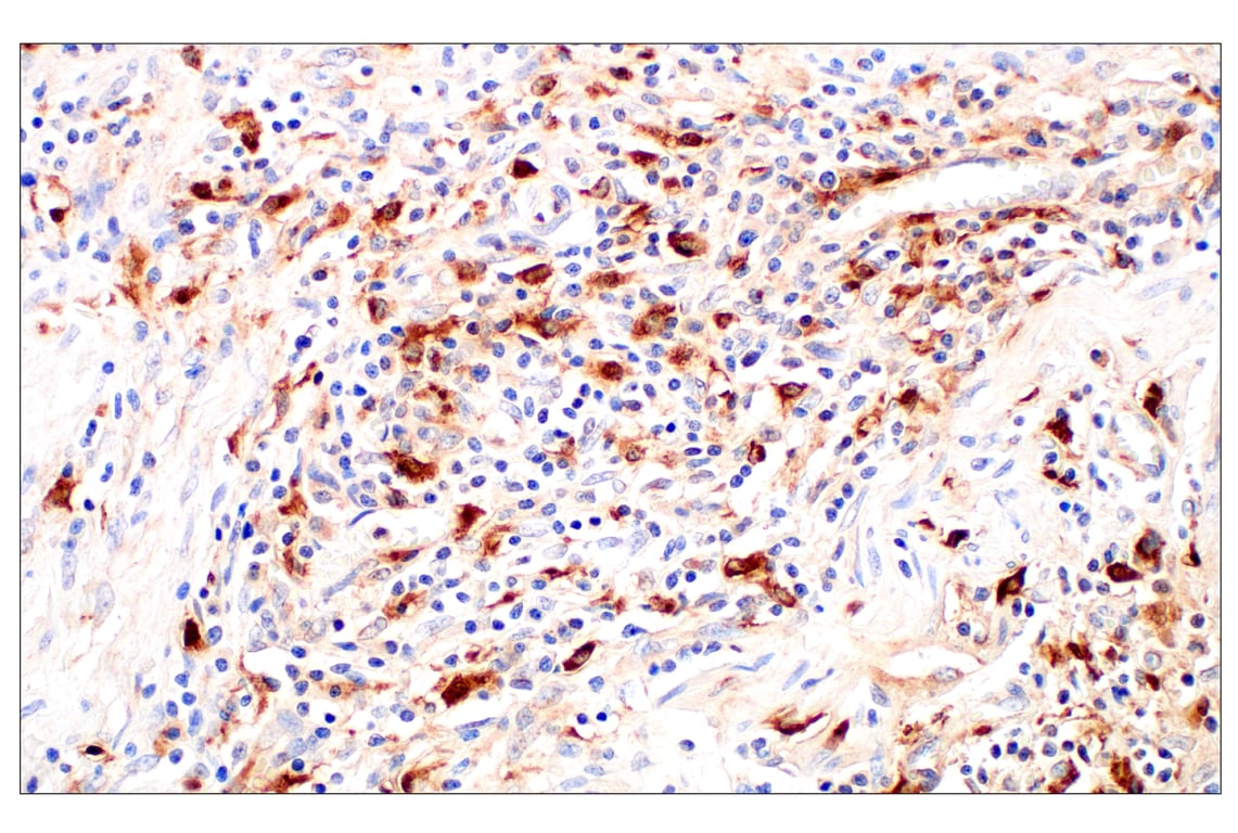
Immunohistochemical analysis of paraffin-embedded human B-cell non-Hodgkin lymphoma using Cathepsin L (E3R3P) Rabbit mAb.
Immunohistochemistry Image 2: Cathepsin L (E3R3P) Rabbit Monoclonal Antibody
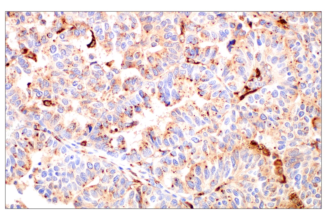
Immunohistochemical analysis of paraffin-embedded human colon adenocarcinoma using Cathepsin L (E3R3P) Rabbit mAb.
Immunohistochemistry Image 3: Cathepsin L (E3R3P) Rabbit Monoclonal Antibody
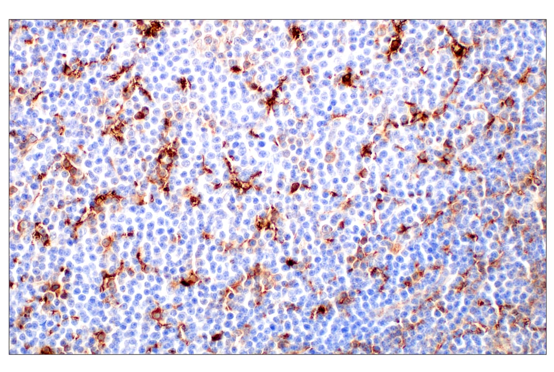
Immunohistochemical analysis of paraffin-embedded human follicular hyperplasia of the tonsil using Cathepsin L (E3R3P) Rabbit mAb.
Immunohistochemistry Image 4: Cathepsin L (E3R3P) Rabbit Monoclonal Antibody
Orders: 877-616-CELL (2355) [email protected] Support: 877-678-TECH (8324) [email protected] Web: cellsignal.com
For Research Use Only. Not for Use in Diagnostic Procedures.

Revision 6

Cell Signaling Technology Logo
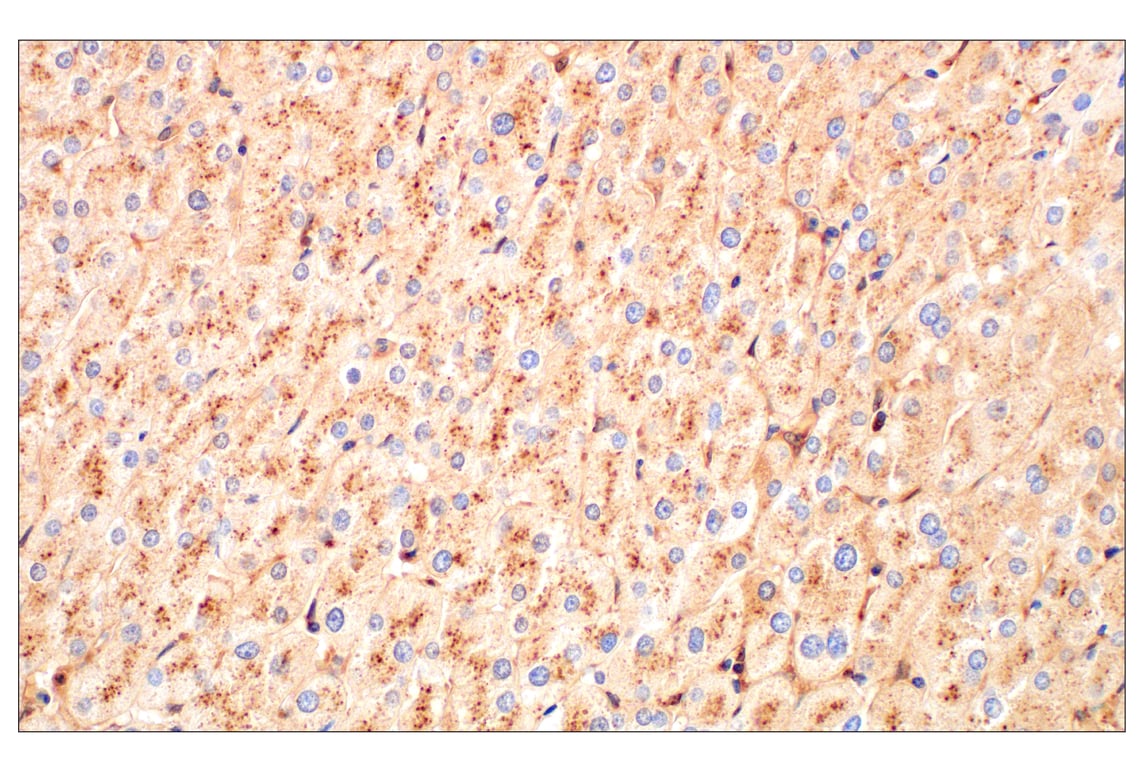
Immunohistochemical analysis of paraffin-embedded normal human liver using Cathepsin L (E3R3P) Rabbit mAb.
Immunohistochemistry Image 5: Cathepsin L (E3R3P) Rabbit Monoclonal Antibody
Immunohistochemical analysis of paraffin-embedded normal human lung using Cathepsin L (E3R3P) Rabbit mAb.
Immunohistochemistry Image 6: Cathepsin L (E3R3P) Rabbit Monoclonal Antibody
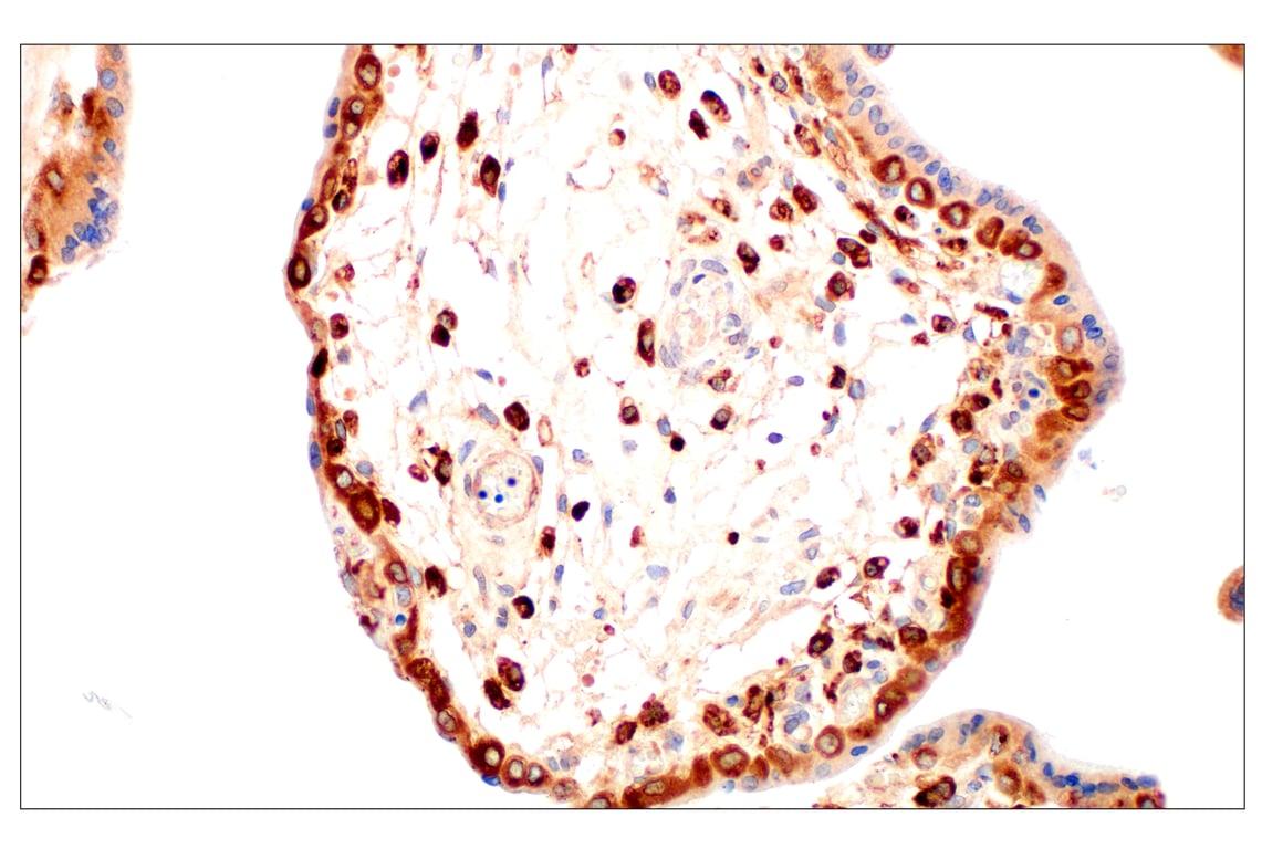
Immunohistochemical analysis of paraffin-embedded normal human placenta using Cathepsin L (E3R3P) Rabbit mAb.
Immunohistochemistry Image 7: Cathepsin L (E3R3P) Rabbit Monoclonal Antibody
Orders: 877-616-CELL (2355) [email protected] Support: 877-678-TECH (8324) [email protected] Web: cellsignal.com
For Research Use Only. Not for Use in Diagnostic Procedures.

Revision 6

Cell Signaling Technology Logo
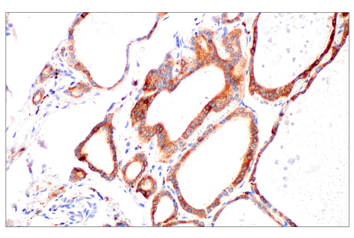
Immunohistochemical analysis of paraffin-embedded normal human thyroid using Cathepsin L (E3R3P) Rabbit mAb.
Immunohistochemistry Image 8: Cathepsin L (E3R3P) Rabbit Monoclonal Antibody
Immunohistochemical analysis of paraffin-embedded KARPAS 299 cell pellet (left, positive) or AGS cell pellet (right, negative) using Cathepsin L (E3R3P) Rabbit mAb.
Immunohistochemistry Image 9: Cathepsin L (E3R3P) Rabbit Monoclonal Antibody
Confocal immunofluorescent analysis of U-118 MG cells (left, positive) or AGS cells (right, negative) using Cathepsin L (E3R3P) Rabbit mAb (green), β-Actin (8H10D10) Mouse mAb #3700 (red), and DAPI #4083 (blue).
Immunofluorescence Image 1: Cathepsin L (E3R3P) Rabbit Monoclonal Antibody
Orders: 877-616-CELL (2355) [email protected] Support: 877-678-TECH (8324) [email protected] Web: cellsignal.com
For Research Use Only. Not for Use in Diagnostic Procedures.

Revision 6

Cell Signaling Technology Logo
Confocal immunofluorescent analysis of U-118 MG cells (left, positive) or AGS cells (right, negative) using Cathepsin L (E3R3P) Rabbit mAb (green), β-Actin (8H10D10) Mouse mAb #3700 (red), and DAPI #4083 (blue).
Immunofluorescence Image 2: Cathepsin L (E3R3P) Rabbit Monoclonal Antibody
Orders: 877-616-CELL (2355) [email protected] Support: 877-678-TECH (8324) [email protected] Web: cellsignal.com
For Research Use Only. Not for Use in Diagnostic Procedures.