Revision 1

#56996

Store at -20C

CST Logo
Orders:

877-616-CELL (2355)

[email protected]

Support:

877-678-TECH (8324)

3 Trask Lane | Danvers | Massachusetts | 01923 | USA

For Research Use Only. Not for Use in Diagnostic Procedures.

Applications:
W, IP

Reactivity:
Vir

Sensitivity:
Endogenous

MW (kDa):
110, 220

Source/Isotype:
Rabbit

UniProt ID:
#P0DTC2

Entrez-Gene Id:
43740568

Product Usage Information

Application Dilution
Western Blotting 1:1000
Immunoprecipitation 1:50

Storage

Supplied in 10 mM sodium HEPES (pH 7.5), 150 mM NaCl, 100 µg/ml BSA and 50% glycerol. Store at –20°C. Do not aliquot the antibody.

Specificity/Sensitivity

SARS-CoV-2 Spike Protein (S1-NTD) Antibody recognizes endogenous levels of total SARS-CoV-2 spike protein. This antibody detects full-length protein, and also detects the S1 fragment generated by furin cleavage. This antibody does not cross-react with spike proteins from SARS or MERS coronaviruses.

Source / Purification

Polyclonal antibodies are produced by immunizing animals with a synthetic peptide corresponding to residues surrounding Pro25 of SARS-CoV-2 spike protein. Antibodies are purified by peptide affinity chromatography.

Background

The cause of the COVID-19 pandemic is a novel and highly pathogenic coronavirus, termed SARS-CoV-2 (severe acute respiratory syndrome coronavirus-2). SARS-CoV-2 is a member of the Coronaviridae family of viruses (1). The genome of SARS-CoV-2 is similar to other coronaviruses, and is comprised of four key structural proteins: S, the spike protein, E, the envelope protein, M, the membrane protein, and N, the nucleocapsid protein (2). Coronavirus spike proteins are class I fusion proteins and harbor an ectodomain, a transmembrane domain, and an intracellular tail (3,4). The highly glycosylated ectodomain projects from the viral envelope surface and facilitates attachment and fusion with the host cell plasma membrane. The ectodomain can be further subdivided into host receptor-binding domain (RBD) (S1) and membrane-fusion (S2) subunits, which are produced upon proteolysis by host proteases at S1/S2 and S2’ sites. S1 and S2 subunits remain associated after cleavage and assemble into crown-like homotrimers (2,4). In humans, both SARS-CoV and SARS-CoV-2 spike proteins utilize the angiotensin-converting enzyme 2 (ACE2) protein as a receptor for cellular entry (5-7). Spike protein subunits represent a key antigenic feature of coronavirus virions, and therefore represent an important target of vaccines, novel therapeutic antibodies, and small-molecule inhibitors (8,9).

Species Reactivity

Species reactivity is determined by testing in at least one approved application (e.g., western blot).

Western Blot Buffer

IMPORTANT: For western blots, incubate membrane with diluted primary antibody in 5% w/v nonfat dry milk, 1X TBS, 0.1% Tween® 20 at 4°C with gentle shaking, overnight.

Applications Key

W: Western Blotting IP: Immunoprecipitation

Cross-Reactivity Key

Vir: Virus

Trademarks and Patents

Cell Signaling Technology is a trademark of Cell Signaling Technology, Inc.

All other trademarks are the property of their respective owners. Visit cellsignal.com/trademarks for more information.

Limited Uses

Except as otherwise expressly agreed in a writing signed by a legally authorized representative of CST, the following terms apply to Products provided by CST, its affiliates or its distributors. Any Customer's terms and conditions that are in addition to, or different from, those contained herein, unless separately accepted in writing by a legally authorized representative of CST, are rejected and are of no force or effect.

Products are labeled with For Research Use Only or a similar labeling statement and have not been approved, cleared, or licensed by the FDA or other regulatory foreign or domestic entity, for any purpose. Customer shall not use any Product for any diagnostic or therapeutic purpose, or otherwise in any manner that conflicts with its labeling statement. Products sold or licensed by CST are provided for Customer as the end-user and solely for research and development uses. Any use of Product for diagnostic, prophylactic or therapeutic purposes, or any purchase of Product for resale (alone or as a component) or other commercial purpose, requires a separate license from CST. Customer shall (a) not sell, license, loan, donate or otherwise transfer or make available any Product to any third party, whether alone or in combination with other materials, or use the Products to manufacture any commercial products, (b) not copy, modify, reverse engineer, decompile, disassemble or otherwise attempt to discover the underlying structure or technology of the Products, or use the Products for the purpose of developing any products or services that would compete with CST products or services, (c) not alter or remove from the Products any trademarks, trade names, logos, patent or copyright notices or markings, (d) use the Products solely in accordance with CST Product Terms of Sale and any applicable documentation, and (e) comply with any license, terms of service or similar agreement with respect to any third party products or services used by Customer in connection with the Products.

Orders: 877-616-CELL (2355) [email protected] Support: 877-678-TECH (8324) [email protected] Web: cellsignal.com
For Research Use Only. Not for Use in Diagnostic Procedures.

Revision 1

Cell Signaling Technology Logo
Western blot analysis of extracts from mock-infected Vero-E6 cells (lane 1) and SARS-CoV-2-infected Vero-E6 cells (lane 2), using SARS-CoV-2 Spike Protein (S1-NTD) Antibody (upper) and GAPDH (D16H11) XP® Rabbit mAb #5174 (lower). The antibody detects full-length (uncleaved) SARS-CoV-2 spike protein, and the fragment corresponding to the S1 domain generated by endogenous protease cleavage. Vero-E6 cells courtesy of Dr. Mohsan Saeed, National Emerging Infectious Diseases Laboratories, Boston University.
Western Blotting Image 1: SARS-CoV-2 Spike Protein (S1-NTD) Antibody
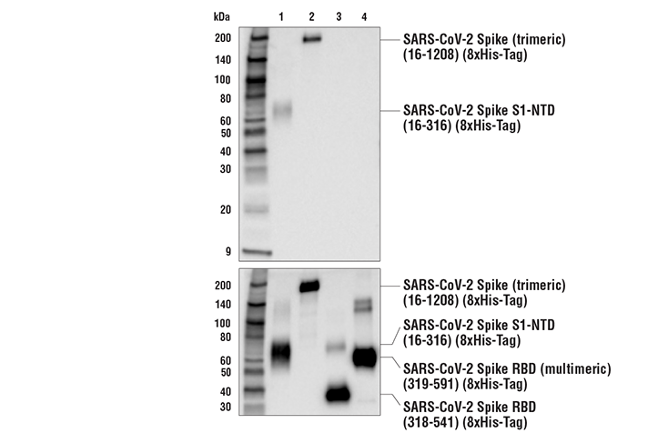
Western blot analysis of SARS-CoV-2 Spike S1-NTD (16-316) Recombinant Protein (8xHis-Tag) #88587 (lane 1), SARS-CoV-2 Spike (trimeric) (16-1208) Recombinant Protein (8xHis-Tag) #65444 (lane 2), SARS-CoV-2 Spike RBD (318-541) Recombinant Protein (8xHis-Tag) #48801 (lane 3), or SARS-CoV-2 Spike RBD (multimeric) (319-591) Recombinant Protein (8xHis-Tag) #17862 (lane 4), using SARS-CoV-2 Spike Protein (S1-NTD) Antibody (upper) and His-Tag (D3I1O) XP® Rabbit mAb #12698 (lower). Due to the location of the epitope (surrounding Pro25 of SARS-CoV-2 spike protein), the antibody detects recombinant proteins corresponding to the full-length ectodomain and the S1-NTD of SARS CoV-2 spike protein but does not detect recombinant proteins corresponding only to the receptor binding domain (RBD).
Western Blotting Image 2: SARS-CoV-2 Spike Protein (S1-NTD) Antibody
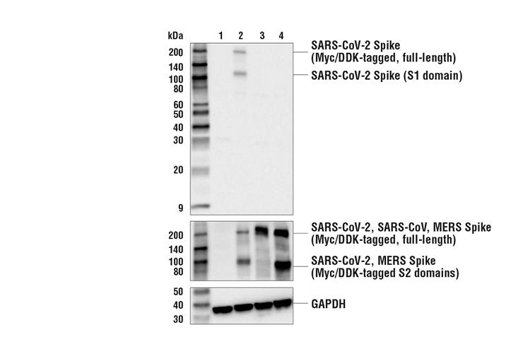
Western blot analysis of extracts from 293T cells, mock transfected (lane 1) or transiently transfected with expression constructs encoding Myc/DDK-tagged SARS-CoV-2 spike (lane 2), Myc/DDK-tagged SARS-CoV spike (lane 3), or Myc/DDK-tagged MERS-CoV spike (lane 4), using SARS-CoV-2 Spike Protein (S1-NTD) Antibody (upper), Myc-Tag (71D10) Rabbit mAb #2278 (middle), and GAPDH (D16H11) XP® Rabbit mAb #5174 (lower). The antibody detects full-length (uncleaved) SARS-CoV-2 spike protein, and the fragment corresponding to the S1 domain generated by endogenous protease cleavage. Proteolytic cleavage of SARS-CoV spike is not observed in these experimental conditions (transient transfection).
Western Blotting Image 3: SARS-CoV-2 Spike Protein (S1-NTD) Antibody
Orders: 877-616-CELL (2355) [email protected] Support: 877-678-TECH (8324) [email protected] Web: cellsignal.com
For Research Use Only. Not for Use in Diagnostic Procedures.

Revision 1

Cell Signaling Technology Logo
Immunoprecipitation of SARS-CoV-2 spike protein from extracts of 293T cells transiently transfected with an expression construct encoding SARS-CoV-2 spike protein. Lane 1 is 10% input, lane 2 is Normal Rabbit IgG #2729, and lane 3 is SARS-CoV-2 Spike Protein (S1-NTD) Antibody. Western blot analysis was performed using SARS-CoV-2 Spike Protein (S1-NTD) (E7M5X) Mouse mAb #42172. Anti-mouse IgG, HRP-linked Antibody #7076 was used as the secondary antibody.
Immunoprecipitation Image 1: SARS-CoV-2 Spike Protein (S1-NTD) Antibody
Orders: 877-616-CELL (2355) [email protected] Support: 877-678-TECH (8324) [email protected] Web: cellsignal.com
For Research Use Only. Not for Use in Diagnostic Procedures.