Revision 4

#57056

Store at -20C

CST Logo
Orders:

877-616-CELL (2355)

[email protected]

Support:

877-678-TECH (8324)

3 Trask Lane | Danvers | Massachusetts | 01923 | USA

For Research Use Only. Not for Use in Diagnostic Procedures.

Applications:
W, IHC-P

Reactivity:
M

Sensitivity:
Endogenous

MW (kDa):
29, 43

Source/Isotype:
Rabbit IgG

UniProt ID:
#P55097

Entrez-Gene Id:
13038

Product Usage Information

Application Dilution
Western Blotting 1:1000
Immunohistochemistry (Paraffin) 1:400 - 1:1600

Storage

Supplied in 10 mM sodium HEPES (pH 7.5), 150 mM NaCl, 100 µg/mL BSA, 50% glycerol, and less than 0.02% sodium azide. Store at –20°C. Do not aliquot the antibody.

For a carrier free (BSA and azide free) version of this product see product #89623.

Specificity/Sensitivity

Cathepsin K (E7U5N) Rabbit Monoclonal Antibody recognizes endogenous levels of total cathepsin K protein. Non-specific focal cytoplasmic staining was observed in mouse testis by immunohistochemistry.

Source / Purification

Monoclonal antibody is produced by immunizing animals with a synthetic peptide corresponding to residues surrounding Gly230 of mouse cathepsin K protein.

Background

Cathepsin K (CTSK) is a cysteine proteinase belonging to the cathepsin family, which all share a common papain-like structural fold and a conserved active site Cys-Asn-His triad of residues (1-3). Cathepsin K, initially synthesized as an inactive procathepsin K, is further processed into a mature enzyme, whose most studied function is to mediate bone resorption (1-6). Originally discovered in osteoclasts, its expression has also been associated with various cancers, such as prostate, breast, bone, lung, and renal carcinoma (6). Many pharmaceutical companies are working on the development of selective inhibitors for cathepsin K for anti-osteoporosis drugs (5).

Species Reactivity

Species reactivity is determined by testing in at least one approved application (e.g., western blot).

Western Blot Buffer

IMPORTANT: For western blots, incubate membrane with diluted primary antibody in 5% w/v BSA, 1X TBS, 0.1% Tween® 20 at 4°C with gentle shaking, overnight.

Applications Key

W: Western Blotting IHC-P: Immunohistochemistry (Paraffin)

Cross-Reactivity Key

M: Mouse

Trademarks and Patents

Cell Signaling Technology is a trademark of Cell Signaling Technology, Inc.

All other trademarks are the property of their respective owners. Visit cellsignal.com/trademarks for more information.

Limited Uses

Except as otherwise expressly agreed in a writing signed by a legally authorized representative of CST, the following terms apply to Products provided by CST, its affiliates or its distributors. Any Customer's terms and conditions that are in addition to, or different from, those contained herein, unless separately accepted in writing by a legally authorized representative of CST, are rejected and are of no force or effect.

Products are labeled with For Research Use Only or a similar labeling statement and have not been approved, cleared, or licensed by the FDA or other regulatory foreign or domestic entity, for any purpose. Customer shall not use any Product for any diagnostic or therapeutic purpose, or otherwise in any manner that conflicts with its labeling statement. Products sold or licensed by CST are provided for Customer as the end-user and solely for research and development uses. Any use of Product for diagnostic, prophylactic or therapeutic purposes, or any purchase of Product for resale (alone or as a component) or other commercial purpose, requires a separate license from CST. Customer shall (a) not sell, license, loan, donate or otherwise transfer or make available any Product to any third party, whether alone or in combination with other materials, or use the Products to manufacture any commercial products, (b) not copy, modify, reverse engineer, decompile, disassemble or otherwise attempt to discover the underlying structure or technology of the Products, or use the Products for the purpose of developing any products or services that would compete with CST products or services, (c) not alter or remove from the Products any trademarks, trade names, logos, patent or copyright notices or markings, (d) use the Products solely in accordance with CST Product Terms of Sale and any applicable documentation, and (e) comply with any license, terms of service or similar agreement with respect to any third party products or services used by Customer in connection with the Products.

Orders: 877-616-CELL (2355) [email protected] Support: 877-678-TECH (8324) [email protected] Web: cellsignal.com
For Research Use Only. Not for Use in Diagnostic Procedures.

Revision 4

Cell Signaling Technology Logo
Western blot analysis of extracts from various cell lines and tissue using Cathepsin K (E7U5N) Rabbit mAb (upper) or GAPDH (D16H11) XP® Rabbit mAb #5174 (lower). Negative expression of cathepsin K protein in C2C12 cells is consistent with the predicted expression pattern.
Western Blotting Image 1: Cathepsin K (E7U5N) Rabbit Monoclonal Antibody
Western blot analysis of extracts from 293T cells, mock transfected (-) or transfected with a construct expressing Myc/DDK-tagged full-length mouse cathepsin K protein (mCathepsin K-Myc/DDK; +), using Cathepsin K (E7U5N) Rabbit mAb (upper), Myc-Tag (71D10) Rabbit mAb #2278 (middle), or GAPDH (D16H11) XP® Rabbit mAb #5174 (lower).
Western Blotting Image 2: Cathepsin K (E7U5N) Rabbit Monoclonal Antibody
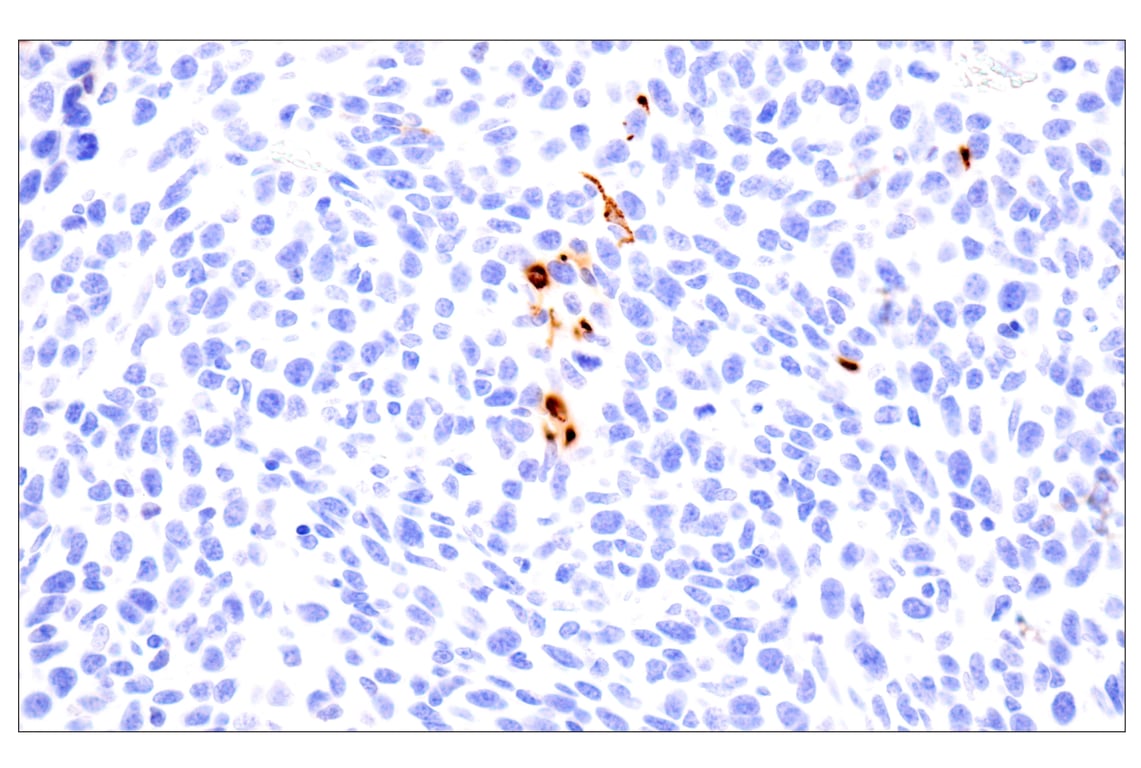
Immunohistochemical analysis of paraffin-embedded Renca syngeneic tumor using Cathepsin K (E7U5N) Rabbit mAb.
Immunohistochemistry Image 1: Cathepsin K (E7U5N) Rabbit Monoclonal Antibody
Orders: 877-616-CELL (2355) [email protected] Support: 877-678-TECH (8324) [email protected] Web: cellsignal.com
For Research Use Only. Not for Use in Diagnostic Procedures.

Revision 4

Cell Signaling Technology Logo
Immunohistochemical analysis of paraffin-embedded GL-261 syngeneic tumor using Cathepsin K (E7U5N) Rabbit mAb.
Immunohistochemistry Image 2: Cathepsin K (E7U5N) Rabbit Monoclonal Antibody
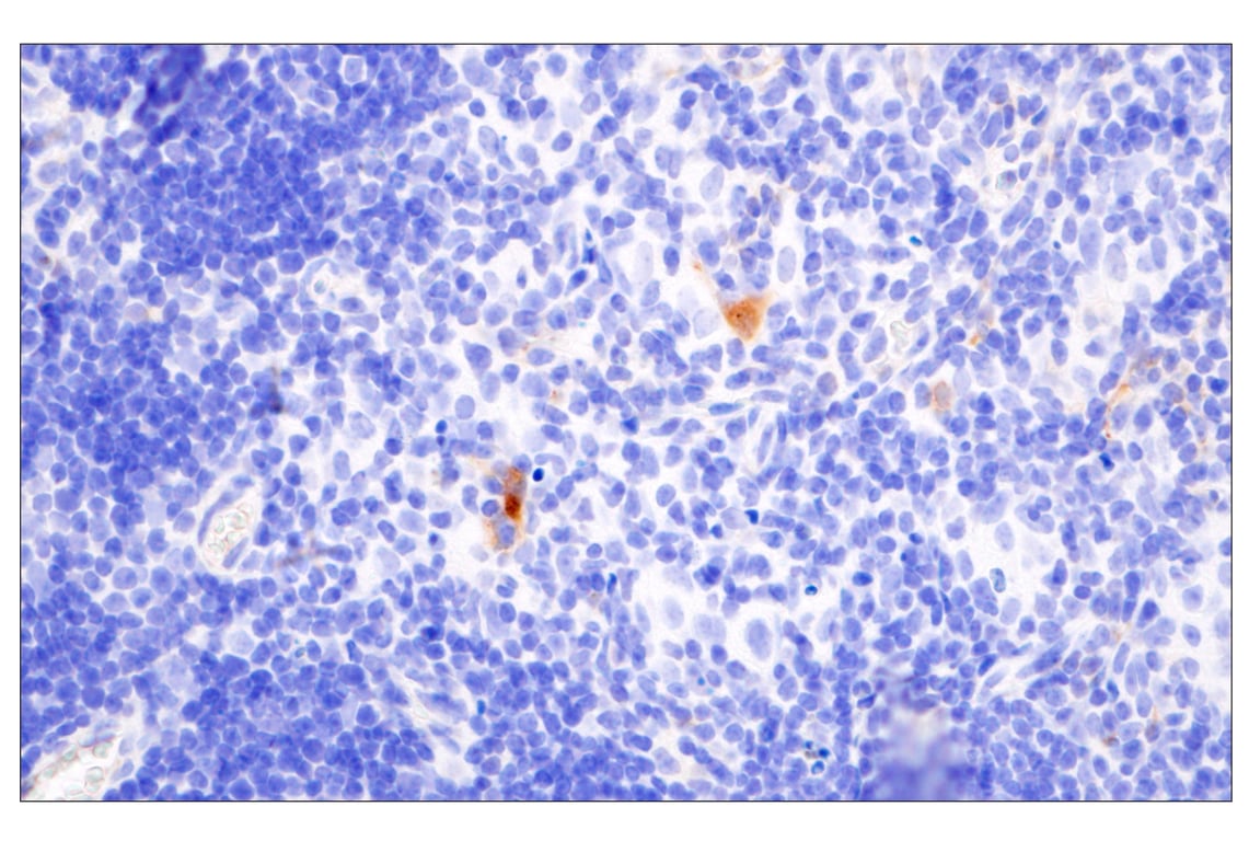
Immunohistochemical analysis of paraffin-embedded CT26 syngeneic tumor using Cathepsin K (E7U5N) Rabbit mAb.
Immunohistochemistry Image 3: Cathepsin K (E7U5N) Rabbit Monoclonal Antibody

Immunohistochemical analysis of paraffin-embedded 4T1 syngeneic tumor using Cathepsin K (E7U5N) Rabbit mAb.

Immunohistochemistry Image 4: Cathepsin K (E7U5N) Rabbit Monoclonal Antibody
Orders: 877-616-CELL (2355) [email protected] Support: 877-678-TECH (8324) [email protected] Web: cellsignal.com
For Research Use Only. Not for Use in Diagnostic Procedures.

Revision 4

Cell Signaling Technology Logo
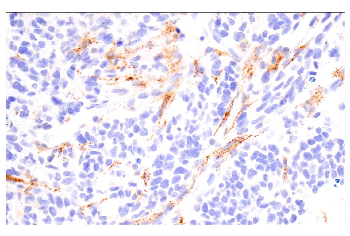
Immunohistochemical analysis of paraffin-embedded mouse thymus using Cathepsin K (E7U5N) Rabbit mAb.
Immunohistochemistry Image 5: Cathepsin K (E7U5N) Rabbit Monoclonal Antibody

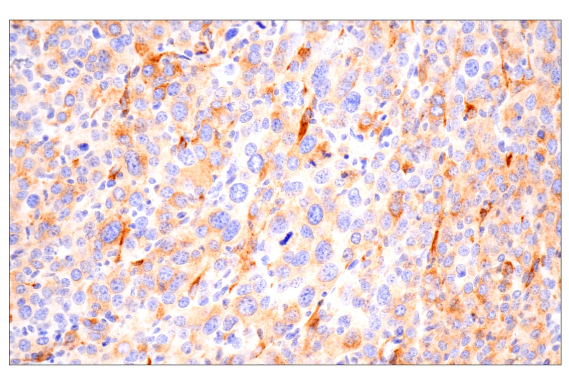
Immunohistochemical analysis of paraffin-embedded mouse lung using Cathepsin K (E7U5N) Rabbit mAb.

Immunohistochemistry Image 6: Cathepsin K (E7U5N) Rabbit Monoclonal Antibody
Immunohistochemical analysis of paraffin-embedded 4T1 syngeneic mammary tumor using Cathepsin K (E7U5N) Rabbit mAb (left) compared to concentration-matched Rabbit (DA1E) mAb IgG XP® Isotype Control #3900 (right).
Immunohistochemistry Image 7: Cathepsin K (E7U5N) Rabbit Monoclonal Antibody
Orders: 877-616-CELL (2355) [email protected] Support: 877-678-TECH (8324) [email protected] Web: cellsignal.com
For Research Use Only. Not for Use in Diagnostic Procedures.