Revision 1

#57848

Store at -20C

CST Logo
Orders:

877-616-CELL (2355)

[email protected]

Support:

877-678-TECH (8324)

3 Trask Lane | Danvers | Massachusetts | 01923 | USA

For Research Use Only. Not for Use in Diagnostic Procedures.

Applications:
W, IHC-P

Reactivity:
H

Sensitivity:
Endogenous

MW (kDa):
65-70

Source/Isotype:
Rabbit IgG

UniProt ID:
#Q9P2U8

Entrez-Gene Id:
57084

Product Usage Information

Application Dilution
Western Blotting 1:1000
Immunohistochemistry (Paraffin) 1:200 - 1:800

Storage

Supplied in 10 mM sodium HEPES (pH 7.5), 150 mM NaCl, 100 µg/mL BSA, 50% glycerol, and less than 0.02% sodium azide. Store at –20°C. Do not aliquot the antibody.

Specificity/Sensitivity

VGLUT2 (F1T6V) Rabbit Monoclonal Antibody recognizes endogenous levels of total VGLUT2 protein.

Source / Purification

Monoclonal antibody is produced by immunizing animals with a synthetic peptide corresponding to residues near the carboxy terminus of human VGLUT2 protein.

Background

Glutamatergic neurons release glutamate, the most common excitatory neurotransmitter. Their synaptic vesicles are filled with glutamate by vesicular glutamate transporters, VGLUTs (1). VGLUT1, also called solute carrier family 17 member 7 (SLC17A7), was first identified as an inorganic phosphate transporter (2). Despite the absence of homology with neurotransmitter transporters, VGLUT1 was later demonstrated to be a glutamate transporter (1) specific to glutamatergic neurons (3). Closely related to VGLUT1, VGLUT2 and VGLUT3 are also involved in glutamate uptake into synaptic vesicles, but define different neuronal subpopulations (4,5). VGLUT1 and VGLUT2 are the most abundant isoforms. VGLUT1 is expressed in the cortex, hippocampus, and cerebellar cortex, while VGLUT2 is mostly found in the thalamus (6,7). VGLUT3 is expressed in hair cells of the auditory system (8).

Species Reactivity

Species reactivity is determined by testing in at least one approved application (e.g., western blot).

Western Blot Buffer

IMPORTANT: For western blots, incubate membrane with diluted primary antibody in 5% w/v BSA, 1X TBS, 0.1% Tween® 20 at 4°C with gentle shaking, overnight.

Applications Key

W: Western Blotting IHC-P: Immunohistochemistry (Paraffin)

Cross-Reactivity Key

H: Human

Trademarks and Patents

Cell Signaling Technology is a trademark of Cell Signaling Technology, Inc.

All other trademarks are the property of their respective owners. Visit cellsignal.com/trademarks for more information.

Limited Uses

Except as otherwise expressly agreed in a writing signed by a legally authorized representative of CST, the following terms apply to Products provided by CST, its affiliates or its distributors. Any Customer's terms and conditions that are in addition to, or different from, those contained herein, unless separately accepted in writing by a legally authorized representative of CST, are rejected and are of no force or effect.

Products are labeled with For Research Use Only or a similar labeling statement and have not been approved, cleared, or licensed by the FDA or other regulatory foreign or domestic entity, for any purpose. Customer shall not use any Product for any diagnostic or therapeutic purpose, or otherwise in any manner that conflicts with its labeling statement. Products sold or licensed by CST are provided for Customer as the end-user and solely for research and development uses. Any use of Product for diagnostic, prophylactic or therapeutic purposes, or any purchase of Product for resale (alone or as a component) or other commercial purpose, requires a separate license from CST. Customer shall (a) not sell, license, loan, donate or otherwise transfer or make available any Product to any third party, whether alone or in combination with other materials, or use the Products to manufacture any commercial products, (b) not copy, modify, reverse engineer, decompile, disassemble or otherwise attempt to discover the underlying structure or technology of the Products, or use the Products for the purpose of developing any products or services that would compete with CST products or services, (c) not alter or remove from the Products any trademarks, trade names, logos, patent or copyright notices or markings, (d) use the Products solely in accordance with CST Product Terms of Sale and any applicable documentation, and (e) comply with any license, terms of service or similar agreement with respect to any third party products or services used by Customer in connection with the Products.

Orders: 877-616-CELL (2355) [email protected] Support: 877-678-TECH (8324) [email protected] Web: cellsignal.com
For Research Use Only. Not for Use in Diagnostic Procedures.

Revision 1

Cell Signaling Technology Logo
Western blot analysis of extracts from various cell lines and tissues using VGLUT2 (F1T6V) Rabbit mAb (upper) or β-Actin (D6A8) Rabbit mAb #8457 (lower). Low expression of VGLUT2 protein in human lung tissue and SK-MEL-5 cells is consistent with the predicted expression pattern.
Western Blotting Image 1: VGLUT2 (F1T6V) Rabbit Monoclonal Antibody
Immunohistochemical analysis of paraffin-embedded human Alzheimer's brain using VGLUT2 (F1T6V) Rabbit mAb.
Immunohistochemistry Image 1: VGLUT2 (F1T6V) Rabbit Monoclonal Antibody
Immunohistochemical analysis of paraffin-embedded normal human cerebellum using VGLUT2 (F1T6V) Rabbit mAb.
Immunohistochemistry Image 2: VGLUT2 (F1T6V) Rabbit Monoclonal Antibody
Orders: 877-616-CELL (2355) [email protected] Support: 877-678-TECH (8324) [email protected] Web: cellsignal.com
For Research Use Only. Not for Use in Diagnostic Procedures.

Revision 1

Cell Signaling Technology Logo
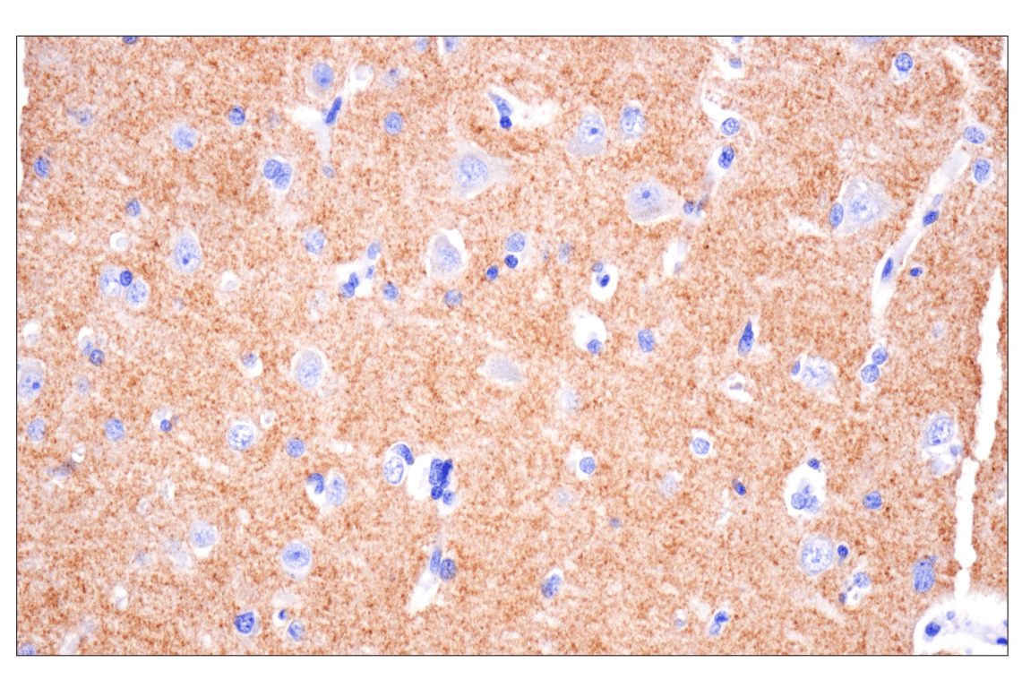
Immunohistochemical analysis of paraffin-embedded normal human brain using VGLUT2 (F1T6V) Rabbit mAb.
Immunohistochemistry Image 3: VGLUT2 (F1T6V) Rabbit Monoclonal Antibody
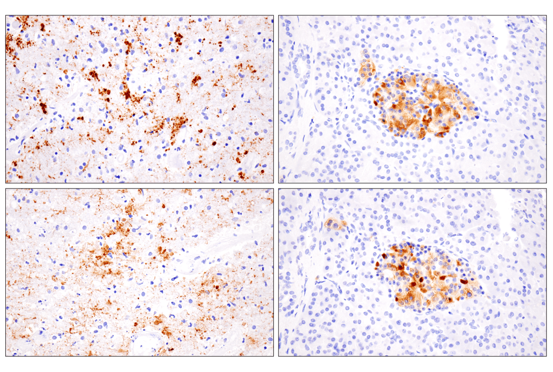
Immunohistochemical analysis of paraffin-embedded human brain (left) or pancreas (right) using VGLUT2 (F1T6V) Rabbit mAb (top) or a VGLUT2 Rabbit mAb (bottom). These two antibodies detect unique, non-overlapping epitopes on human VGLUT2. The similar staining patterns obtained with both antibodies help to confirm the specificity of the staining.
Immunohistochemistry Image 4: VGLUT2 (F1T6V) Rabbit Monoclonal Antibody
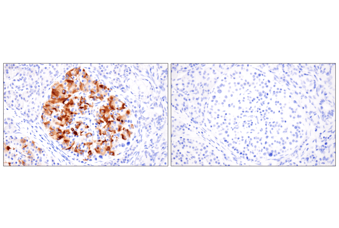
Immunohistochemical analysis of paraffin-embedded normal human pancreas using VGLUT2 (F1T6V) Rabbit mAb (left) compared to concentration-matched Rabbit (DA1E) mAb IgG XP® Isotype Control #3900 (right). 
Immunohistochemistry Image 5: VGLUT2 (F1T6V) Rabbit Monoclonal Antibody
Orders: 877-616-CELL (2355) [email protected] Support: 877-678-TECH (8324) [email protected] Web: cellsignal.com
For Research Use Only. Not for Use in Diagnostic Procedures.

Revision 1

Cell Signaling Technology Logo
Immunohistochemical analysis of paraffin-embedded NCI-H69 cell pellet (left, positive) or SK-MEL-5 cell pellet (right, negative) using VGLUT2 (F1T6V) Rabbit mAb.
Immunohistochemistry Image 6: VGLUT2 (F1T6V) Rabbit Monoclonal Antibody
Orders: 877-616-CELL (2355) [email protected] Support: 877-678-TECH (8324) [email protected] Web: cellsignal.com
For Research Use Only. Not for Use in Diagnostic Procedures.