Revision 3

#5874

Store at -20C

CST Logo
Orders:

877-616-CELL (2355)

[email protected]

Support:

877-678-TECH (8324)

3 Trask Lane | Danvers | Massachusetts | 01923 | USA

For Research Use Only. Not for Use in Diagnostic Procedures.

UniProt ID:
#P16612

Entrez-Gene Id:
83785

Background

VEGF164 is one of many splice variants of the VEGF-A gene, and is one amino acid shorter than its human counterpart, VEGF165 (1, 2). VEGF164 is produced by a number of cells including endothelial cells, macrophages, and T cells (1, 2). VEGF164 is involved in angiogenesis, vascular endothelial cell survival, growth, migration, and vascular permeability (1,2). Gene expression is induced by hypoxia, inflammatory cytokines, and oncogenes (1, 2). VEGF164 binds to heparan sulfate and is retained on the cell surface and in the extracellular matrix (1-3). VEGFR1 and VEGFR2 are the receptor tyrosine kinases for VEGF164 (2). NRP-1 and NRP-2 may function as co-receptors and enhance VEGFR2 signaling (2-3). Binding of VEGF164 to VEGFR1 and VEGFR2 leads to activation of the PI3K/AKT, p38 MAPK, FAK, and Paxillin (2).

Endotoxin

Less than 0.01 ng endotoxin/1 μg rVEGF164.

Purity

>98% as determined by SDS-PAGE of 6 μg reduced (+) and non-reduced (-) recombinant rVEGF164. All lots are greater than 98% pure.

Source / Purification

Recombinant rat VEGF164 (rVEGF164) Ala27-Arg190 (Accession #NP_001103803) was expressed in human 293 cells at Cell Signaling Technology.

Bioactivity

The bioactivity of recombinant rVEGF164 was determined in a cell proliferation assay using HUVEC. The ED50 of each lot is between 1-5 ng/ml.

Trademarks and Patents

Cell Signaling Technology is a trademark of Cell Signaling Technology, Inc.

All other trademarks are the property of their respective owners. Visit cellsignal.com/trademarks for more information.

Limited Uses

Except as otherwise expressly agreed in a writing signed by a legally authorized representative of CST, the following terms apply to Products provided by CST, its affiliates or its distributors. Any Customer's terms and conditions that are in addition to, or different from, those contained herein, unless separately accepted in writing by a legally authorized representative of CST, are rejected and are of no force or effect.

Products are labeled with For Research Use Only or a similar labeling statement and have not been approved, cleared, or licensed by the FDA or other regulatory foreign or domestic entity, for any purpose. Customer shall not use any Product for any diagnostic or therapeutic purpose, or otherwise in any manner that conflicts with its labeling statement. Products sold or licensed by CST are provided for Customer as the end-user and solely for research and development uses. Any use of Product for diagnostic, prophylactic or therapeutic purposes, or any purchase of Product for resale (alone or as a component) or other commercial purpose, requires a separate license from CST. Customer shall (a) not sell, license, loan, donate or otherwise transfer or make available any Product to any third party, whether alone or in combination with other materials, or use the Products to manufacture any commercial products, (b) not copy, modify, reverse engineer, decompile, disassemble or otherwise attempt to discover the underlying structure or technology of the Products, or use the Products for the purpose of developing any products or services that would compete with CST products or services, (c) not alter or remove from the Products any trademarks, trade names, logos, patent or copyright notices or markings, (d) use the Products solely in accordance with CST Product Terms of Sale and any applicable documentation, and (e) comply with any license, terms of service or similar agreement with respect to any third party products or services used by Customer in connection with the Products.

Orders: 877-616-CELL (2355) [email protected] Support: 877-678-TECH (8324) [email protected] Web: cellsignal.com
For Research Use Only. Not for Use in Diagnostic Procedures.

Revision 3

Cell Signaling Technology Logo
The proliferation of HUVEC treated with increasing concentrations of rVEGF164 was assessed. After 72-hour treatment with rVEGF164, cells were incubated with a tetrazolium salt and the OD450-OD650 was determined.
undefined Image 1: Rat Vascular Endothelial Growth Factor-164 (rVEGF<sub>164</sub> )
The purity of recombinant rVEGF164 was determined by SDS-PAGE of 6 µg reduced (+) and non-reduced (-) recombinant rVEGF164 and staining overnight with Coomassie Blue.
undefined Image 2: Rat Vascular Endothelial Growth Factor-164 (rVEGF<sub>164</sub> )
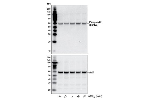
Western blot analysis of extracts from HUVEC, untreated or treated with rVEGF164 for 15 minutes, using Phospho-Akt (Ser473) (D9E) XP® Rabbit mAb #4060 (upper) or Akt1 (C73H10) Rabbit mAb #2938 (lower).
undefined Image 3: Rat Vascular Endothelial Growth Factor-164 (rVEGF<sub>164</sub> )
Orders: 877-616-CELL (2355) [email protected] Support: 877-678-TECH (8324) [email protected] Web: cellsignal.com
For Research Use Only. Not for Use in Diagnostic Procedures.