Revision 5

#5927

Store at -20C

CST Logo
Orders:

877-616-CELL (2355)

[email protected]

Support:

877-678-TECH (8324)

3 Trask Lane | Danvers | Massachusetts | 01923 | USA

For Research Use Only. Not for Use in Diagnostic Procedures.

Background

Doxorubicin, an anthracycline antibiotic, inhibits DNA and RNA synthesis in mammalian cells and has been shown to be a very effective anti-tumor agent (1,2). Doxorubicin binds to nucleic acids by intercalating the DNA double helix and stabilizing topoisomerase II cleavage complexes, leading to DNA strand breaks at specific doxorubicin-induced sites (3). Doxorubin has been shown to inhibit DNA synthesis in a dose-dependent manner in MCF7 cells, which corresponds closely with growth inhibition (4). Researchers have also demonstrated that doxorubicin effectively inhibits human DNA topoisomerase I (5).

Molecular Formula

C27H29NO11 • HCl

Molecular Weight

579.98 g/mol

Purity

>99%

CAS

25316-40-9

Solubility

Soluble in DMSO at 100mg/ml and H2O at 10mg/ml.

Storage

Store lyophilized or in solution at -20ºC, desiccated. Protect from light. In lyophilized form, the chemical is stable for 24 months. Once in solution, use within 3 months to prevent loss of potency. Aliquot to avoid multiple freeze/thaw cycles.

Directions for Use

Doxorubicin is supplied as a lyophilized powder. For a 10 mM stock, reconstitute the 5 mg in 860 µl DMSO. Working concentrations and length of treatments vary depending on the desired effect, but it is typically used at 0.1-5 µM for 12-24 hours. Soluble in DMSO at 100 mg/ml; very poorly soluble in ethanol; soluble in water at 10 mg/ml with slight warming.

Trademarks and Patents

Cell Signaling Technology is a trademark of Cell Signaling Technology, Inc.

All other trademarks are the property of their respective owners. Visit cellsignal.com/trademarks for more information.

Limited Uses

Except as otherwise expressly agreed in a writing signed by a legally authorized representative of CST, the following terms apply to Products provided by CST, its affiliates or its distributors. Any Customer's terms and conditions that are in addition to, or different from, those contained herein, unless separately accepted in writing by a legally authorized representative of CST, are rejected and are of no force or effect.

Products are labeled with For Research Use Only or a similar labeling statement and have not been approved, cleared, or licensed by the FDA or other regulatory foreign or domestic entity, for any purpose. Customer shall not use any Product for any diagnostic or therapeutic purpose, or otherwise in any manner that conflicts with its labeling statement. Products sold or licensed by CST are provided for Customer as the end-user and solely for research and development uses. Any use of Product for diagnostic, prophylactic or therapeutic purposes, or any purchase of Product for resale (alone or as a component) or other commercial purpose, requires a separate license from CST. Customer shall (a) not sell, license, loan, donate or otherwise transfer or make available any Product to any third party, whether alone or in combination with other materials, or use the Products to manufacture any commercial products, (b) not copy, modify, reverse engineer, decompile, disassemble or otherwise attempt to discover the underlying structure or technology of the Products, or use the Products for the purpose of developing any products or services that would compete with CST products or services, (c) not alter or remove from the Products any trademarks, trade names, logos, patent or copyright notices or markings, (d) use the Products solely in accordance with CST Product Terms of Sale and any applicable documentation, and (e) comply with any license, terms of service or similar agreement with respect to any third party products or services used by Customer in connection with the Products.

Orders: 877-616-CELL (2355) [email protected] Support: 877-678-TECH (8324) [email protected] Web: cellsignal.com
For Research Use Only. Not for Use in Diagnostic Procedures.

Revision 5

Cell Signaling Technology Logo
Western blot analysis of extracts from HeLa cells, serum-starved overnight and untreated or treated with Doxorubicin (5 μM) for the indicated times, using Phospho-p53 (Ser15) Antibody #9284, p53 Antibody #9282, Cleaved Caspase-3 (Asp175) Antibody #9661, or PARP Antibody #9542.
undefined Image 1: Doxorubicin
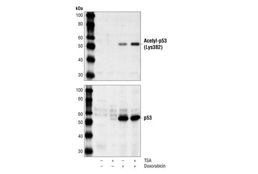
Western blot analysis of extracts from HeLa cells, untreated, treated with Doxorubicin (0.5 µM, 24 hr), or treated with Trichostatin A (TSA) #9950 (400 nM, 24 hr) and Doxorubicin (0.5 µM, 24 hr), using Acetyl-p53 (Lys382) Antibody #2525 (upper) or p53 (1C12) Mouse mAb #2524 (lower).
undefined Image 2: Doxorubicin
Chemical structure of doxorubicin.
undefined Image 3: Doxorubicin
Orders: 877-616-CELL (2355) [email protected] Support: 877-678-TECH (8324) [email protected] Web: cellsignal.com
For Research Use Only. Not for Use in Diagnostic Procedures.