Revision 3

#59730

Store at -20C

CST Logo
Orders:

877-616-CELL (2355)

[email protected]

Support:

877-678-TECH (8324)

3 Trask Lane | Danvers | Massachusetts | 01923 | USA

For Research Use Only. Not for Use in Diagnostic Procedures.

Applications:
W, W-S, IP, IHC-P

Reactivity:
H

Sensitivity:
Endogenous

MW (kDa):
110

Source/Isotype:
Rabbit IgG

UniProt ID:
#Q96GX5

Entrez-Gene Id:
84930

Product Usage Information

Application Dilution
Western Blotting 1:1000
Simple Western™ 1:50 - 1:250
Immunoprecipitation 1:100
Immunohistochemistry (Paraffin) 1:50 - 1:200

Storage

Supplied in 10 mM sodium HEPES (pH 7.5), 150 mM NaCl, 100 µg/mL BSA, 50% glycerol, and less than 0.02% sodium azide. Store at –20°C. Do not aliquot the antibody.

Specificity/Sensitivity

MASTL (F7I2C) Rabbit Monoclonal Antibody recognizes endogenous levels of total MASTL protein. This antibody detects an approximately 190 kDa protein of unknown identity in some cell lines. Non-specific cytoplasmic staining was observed in brain by immunohistochemistry.

Source / Purification

Monoclonal antibody is produced by immunizing animals with a synthetic peptide corresponding to residues surrounding Arg592 of human MASTL protein.

Background

Mitotic control is important for normal growth, development, and maintenance of all eukaryotic cells. Research studies have demonstrated that inappropriate control of mitosis can lead to genomic instability and cancer (reviewed in 1,2). A regulator of mitosis, Greatwall kinase (Gwl), was first identified in Drosophila melanogaster (3). Subsequent studies showed that, based on sequence homology and function, microtubule-associated serine/threonine kinase-like (MASTL) is the human ortholog of Gwl (4). Regulation of MASTL/Gwl activation has been shown to be critical for the correct timing of mitosis. Research studies have shown that Gwl is activated by hyperphosphorylation (5). The phosphorylation of human Gwl at Thr194 and Thr207 by active cyclin B1-cdc2 leads to possible autophosphorylation at Ser875 (Ser883 in Xenopus), which stabilizes the kinase. Activated Gwl phosphorylates α-Endosulfine (ENSA) and cAMP-regulated phosphoprotein 19 (ARPP19) at Ser67 and Ser62, respectively. Phosphorylated ENSA and ARPP19 inhibit the activity of the B55 subunit-associated form of protein phosphatase 2A (PP2A-B55), allowing for complete phosphorylation of mitotic substrates by cyclin B1-cdc2 and mitotic entry. When Gwl is inactivated, PP2A-B55 reactivates, which leads to dephosphorylation of cyclin B1-cdc2 and mitotic exit (5,6, reviewed in 7).

Species Reactivity

Species reactivity is determined by testing in at least one approved application (e.g., western blot).

Western Blot Buffer

IMPORTANT: For western blots, incubate membrane with diluted primary antibody in 5% w/v nonfat dry milk, 1X TBS, 0.1% Tween® 20 at 4°C with gentle shaking, overnight.

Applications Key

W: Western Blotting W-S: Simple Western™ IP: Immunoprecipitation IHC-P: Immunohistochemistry (Paraffin)

Cross-Reactivity Key

H: Human

Trademarks and Patents

Cell Signaling Technology is a trademark of Cell Signaling Technology, Inc.

All other trademarks are the property of their respective owners. Visit cellsignal.com/trademarks for more information.

Limited Uses

Except as otherwise expressly agreed in a writing signed by a legally authorized representative of CST, the following terms apply to Products provided by CST, its affiliates or its distributors. Any Customer's terms and conditions that are in addition to, or different from, those contained herein, unless separately accepted in writing by a legally authorized representative of CST, are rejected and are of no force or effect.

Products are labeled with For Research Use Only or a similar labeling statement and have not been approved, cleared, or licensed by the FDA or other regulatory foreign or domestic entity, for any purpose. Customer shall not use any Product for any diagnostic or therapeutic purpose, or otherwise in any manner that conflicts with its labeling statement. Products sold or licensed by CST are provided for Customer as the end-user and solely for research and development uses. Any use of Product for diagnostic, prophylactic or therapeutic purposes, or any purchase of Product for resale (alone or as a component) or other commercial purpose, requires a separate license from CST. Customer shall (a) not sell, license, loan, donate or otherwise transfer or make available any Product to any third party, whether alone or in combination with other materials, or use the Products to manufacture any commercial products, (b) not copy, modify, reverse engineer, decompile, disassemble or otherwise attempt to discover the underlying structure or technology of the Products, or use the Products for the purpose of developing any products or services that would compete with CST products or services, (c) not alter or remove from the Products any trademarks, trade names, logos, patent or copyright notices or markings, (d) use the Products solely in accordance with CST Product Terms of Sale and any applicable documentation, and (e) comply with any license, terms of service or similar agreement with respect to any third party products or services used by Customer in connection with the Products.

Orders: 877-616-CELL (2355) [email protected] Support: 877-678-TECH (8324) [email protected] Web: cellsignal.com
For Research Use Only. Not for Use in Diagnostic Procedures.

Revision 3

Cell Signaling Technology Logo
Western blot analysis of extracts from various cell lines using MASTL (F7I2C) Rabbit mAb (upper) or GAPDH (D16H11) XP® Rabbit mAb #5174 (lower). Low expression of MASTL protein in SNU-719 cells is consistent with the predicted expression pattern.
Western Blotting Image 1: MASTL (F7I2C) Rabbit Monoclonal Antibody
Western blot analysis of extracts from 293T cells, mock transfected (-) or transfected with a construct expressing Myc/DDK-tagged full-length human MASTL (hMASTL-Myc/DDK; +), using MASTL (F7I2C) Rabbit mAb (upper), Myc-Tag (71D10) Rabbit mAb #2278 (middle), or GAPDH (D16H11) XP® Rabbit mAb #5174 (lower).
Western Blotting Image 2: MASTL (F7I2C) Rabbit Monoclonal Antibody
Simple Western™ analysis of lysates (0.1 mg/mL) from HCC1143 cells using MASTL (F7I2C) Rabbit mAb #59730. The virtual lane view (left) shows the target band (as indicated) at 1:50 and 1:250 dilutions of primary antibody. The corresponding electropherogram view (right) plots chemiluminescence by molecular weight along the capillary at 1:50 (blue line) and 1:250 (green line) dilutions of primary antibody. This experiment was performed under reducing conditions on the JessTM Simple Western instrument from ProteinSimple, a BioTechne brand, using the 12-230 kDa separation module.
Western Blotting Image 1: MASTL (F7I2C) Rabbit Monoclonal Antibody
Orders: 877-616-CELL (2355) [email protected] Support: 877-678-TECH (8324) [email protected] Web: cellsignal.com
For Research Use Only. Not for Use in Diagnostic Procedures.

Revision 3

Cell Signaling Technology Logo
Immunoprecipitation of MASTL protein from HCC1143 cell extracts. Lane 1 is 10% input, lane 2 is Rabbit (DA1E) mAb IgG XP® Isotype Control #3900, and lane 3 is MASTL (F7I2C) Rabbit mAb. Western blot analysis was performed using MASTL (D3J4Y) Rabbit mAb #12069. Anti-rabbit IgG, HRP-linked Antibody #7074 was used as a secondary antibody.
Immunoprecipitation Image 1: MASTL (F7I2C) Rabbit Monoclonal Antibody
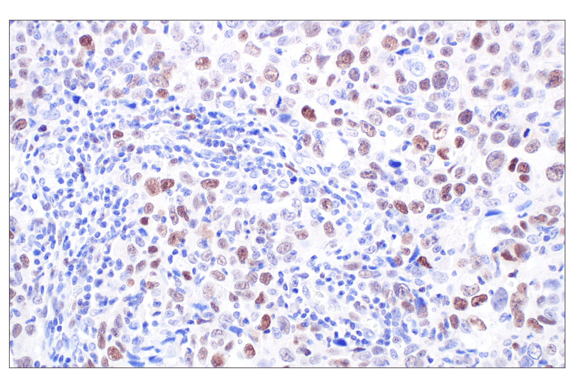
Immunohistochemical analysis of paraffin-embedded human esophageal adenocarcinoma using MASTL (F7I2C) Rabbit mAb.
Immunohistochemistry Image 1: MASTL (F7I2C) Rabbit Monoclonal Antibody
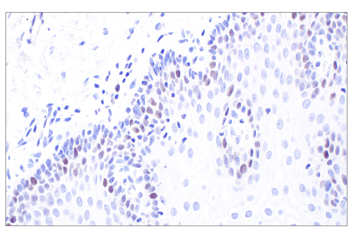
Immunohistochemical analysis of paraffin-embedded human squamous cell carcinoma of the head and neck using MASTL (F7I2C) Rabbit mAb.
Immunohistochemistry Image 2: MASTL (F7I2C) Rabbit Monoclonal Antibody
Orders: 877-616-CELL (2355) [email protected] Support: 877-678-TECH (8324) [email protected] Web: cellsignal.com
For Research Use Only. Not for Use in Diagnostic Procedures.

Revision 3

Cell Signaling Technology Logo
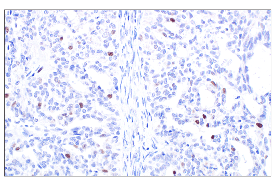
Immunohistochemical analysis of paraffin-embedded human ovarian adenocarcinoma using MASTL (F7I2C) Rabbit mAb.
Immunohistochemistry Image 3: MASTL (F7I2C) Rabbit Monoclonal Antibody
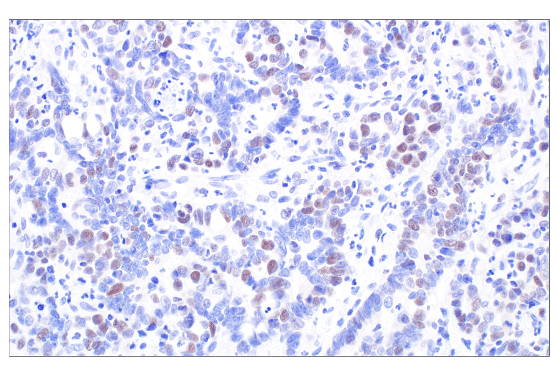
Immunohistochemical analysis of paraffin-embedded human gastric adenocarcinoma using MASTL (F7I2C) Rabbit mAb.
Immunohistochemistry Image 4: MASTL (F7I2C) Rabbit Monoclonal Antibody
Esophagus N.33: Immunohistochemical analysis of paraffin-embedded normal human esophageal adenocarcinoma using MASTL (F7I2C) Rabbit mAb.
Immunohistochemistry Image 5: MASTL (F7I2C) Rabbit Monoclonal Antibody
Orders: 877-616-CELL (2355) [email protected] Support: 877-678-TECH (8324) [email protected] Web: cellsignal.com
For Research Use Only. Not for Use in Diagnostic Procedures.

Revision 3

Cell Signaling Technology Logo
Immunohistochemical analysis of paraffin-embedded human colon carcinoma using MASTL (F7I2C) Rabbit mAb (left) or a MASTL Rabbit mAb (right). These two antibodies detect unique, non-overlapping epitopes on human MASTL. The similar staining patterns obtained with both antibodies help to confirm the specificity of the staining.
Immunohistochemistry Image 6: MASTL (F7I2C) Rabbit Monoclonal Antibody
Immunohistochemical analysis of paraffin-embedded human endometrioid adenocarcinoma using MASTL (F7I2C) Rabbit mAb (left) compared to concentration-matched Rabbit (DA1E) mAb IgG XP® Isotype Control #3900 (right).
Immunohistochemistry Image 7: MASTL (F7I2C) Rabbit Monoclonal Antibody
Immunohistochemical analysis of paraffin-embedded HCC1143 cell pellet (left, high-expressing) or SNU-719 cell pellet (right, low-expressing) using MASTL (F7I2C) Rabbit mAb.
Immunohistochemistry Image 8: MASTL (F7I2C) Rabbit Monoclonal Antibody
Orders: 877-616-CELL (2355) [email protected] Support: 877-678-TECH (8324) [email protected] Web: cellsignal.com
For Research Use Only. Not for Use in Diagnostic Procedures.