Revision 6

#59735

Store at -20C

CST Logo
Orders:

877-616-CELL (2355)

[email protected]

Support:

877-678-TECH (8324)

3 Trask Lane | Danvers | Massachusetts | 01923 | USA

For Research Use Only. Not for Use in Diagnostic Procedures.

Applications:
W, IHC-P

Reactivity:
H M R

Sensitivity:
Endogenous

MW (kDa):
20, 22

Source/Isotype:
Rabbit IgG

UniProt ID:
#P36969

Entrez-Gene Id:
2879

Product Usage Information

Application Dilution
Western Blotting 1:1000
Immunohistochemistry (Paraffin) 1:1600 - 1:6400

Storage

Supplied in 10 mM sodium HEPES (pH 7.5), 150 mM NaCl, 100 µg/mL BSA, 50% glycerol, and less than 0.02% sodium azide. Store at –20°C. Do not aliquot the antibody.

Specificity/Sensitivity

GPX4 (E5Y8K) Rabbit Monoclonal Antibody recognizes endogenous levels of total GPX4 protein. This antibody is not recommended for immunohistochemical analysis of mouse tissues.

Source / Purification

Monoclonal antibody is produced by immunizing animals with a synthetic peptide corresponding to residues near the carboxy terminus of human GPX4 protein.

Background

The selenoprotein glutathione peroxidase 4 (GPX4) is a master regulator of ferroptosis, a form of programmed cell death induced by iron-dependent lipid peroxidation (1,2). GPX4 converts lipid hydroperoxides to non-toxic lipid alcohols, therefore preventing ferroptosis (2). Research studies show that selenium enhances GPX4 expression and inhibits ferroptotic death to protect neurons (3). In addition, some therapy-resistant cancer cells depend on GPX4 to survive. Loss of GPX4 leads to ferroptosis and thus prevents tumor relapse in mice (4). Furthermore, redox homeostasis mediated by GPX4 is essential for activation of the cytosolic DNA-sensing cGAS-STING pathway and initiation of the subsequent innate immune response (5).

Species Reactivity

Species reactivity is determined by testing in at least one approved application (e.g., western blot).

Western Blot Buffer

IMPORTANT: For western blots, incubate membrane with diluted primary antibody in 5% w/v BSA, 1X TBS, 0.1% Tween® 20 at 4°C with gentle shaking, overnight.

Applications Key

W: Western Blotting IHC-P: Immunohistochemistry (Paraffin)

Cross-Reactivity Key

H: Human M: Mouse R: Rat

Trademarks and Patents

Cell Signaling Technology is a trademark of Cell Signaling Technology, Inc.

All other trademarks are the property of their respective owners. Visit cellsignal.com/trademarks for more information.

Limited Uses

Except as otherwise expressly agreed in a writing signed by a legally authorized representative of CST, the following terms apply to Products provided by CST, its affiliates or its distributors. Any Customer's terms and conditions that are in addition to, or different from, those contained herein, unless separately accepted in writing by a legally authorized representative of CST, are rejected and are of no force or effect.

Products are labeled with For Research Use Only or a similar labeling statement and have not been approved, cleared, or licensed by the FDA or other regulatory foreign or domestic entity, for any purpose. Customer shall not use any Product for any diagnostic or therapeutic purpose, or otherwise in any manner that conflicts with its labeling statement. Products sold or licensed by CST are provided for Customer as the end-user and solely for research and development uses. Any use of Product for diagnostic, prophylactic or therapeutic purposes, or any purchase of Product for resale (alone or as a component) or other commercial purpose, requires a separate license from CST. Customer shall (a) not sell, license, loan, donate or otherwise transfer or make available any Product to any third party, whether alone or in combination with other materials, or use the Products to manufacture any commercial products, (b) not copy, modify, reverse engineer, decompile, disassemble or otherwise attempt to discover the underlying structure or technology of the Products, or use the Products for the purpose of developing any products or services that would compete with CST products or services, (c) not alter or remove from the Products any trademarks, trade names, logos, patent or copyright notices or markings, (d) use the Products solely in accordance with CST Product Terms of Sale and any applicable documentation, and (e) comply with any license, terms of service or similar agreement with respect to any third party products or services used by Customer in connection with the Products.

Orders: 877-616-CELL (2355) [email protected] Support: 877-678-TECH (8324) [email protected] Web: cellsignal.com
For Research Use Only. Not for Use in Diagnostic Procedures.

Revision 6

Cell Signaling Technology Logo
Western blot analysis of extracts from various cell lines using GPX4 (E5Y8K) Rabbit mAb.
Western Blotting Image 1: GPX4 (E5Y8K) Rabbit Monoclonal Antibody
Western blot analysis of extracts from mouse testis and rat testis using GPX4 (E5Y8K) Rabbit mAb.
Western Blotting Image 2: GPX4 (E5Y8K) Rabbit Monoclonal Antibody
Western blot analysis of extracts from control 293T cells (lane 1) or GPX4 knockout (KO) 293T cells (lane 2) using GPX4 (E5Y8K) Rabbit mAb (upper) or GAPDH (D16H11) XP® Rabbit mAb #5174 (lower).
Western Blotting Image 3: GPX4 (E5Y8K) Rabbit Monoclonal Antibody
Orders: 877-616-CELL (2355) [email protected] Support: 877-678-TECH (8324) [email protected] Web: cellsignal.com
For Research Use Only. Not for Use in Diagnostic Procedures.

Revision 6

Cell Signaling Technology Logo
Immunohistochemical analysis of paraffin-embedded human ductal breast carcinoma using GPX4 (E5Y8K) Rabbit mAb.
Immunohistochemistry Image 1: GPX4 (E5Y8K) Rabbit Monoclonal Antibody
Immunohistochemical analysis of paraffin-embedded human endometrioid adenocarcinoma using GPX4 (E5Y8K) Rabbit mAb.

Immunohistochemistry Image 2: GPX4 (E5Y8K) Rabbit Monoclonal Antibody
Immunohistochemical analysis of paraffin-embedded human adenoid cystic carcinoma of the salivary gland using GPX4 (E5Y8K) Rabbit mAb.
Immunohistochemistry Image 3: GPX4 (E5Y8K) Rabbit Monoclonal Antibody
Orders: 877-616-CELL (2355) [email protected] Support: 877-678-TECH (8324) [email protected] Web: cellsignal.com
For Research Use Only. Not for Use in Diagnostic Procedures.

Revision 6

Cell Signaling Technology Logo
Immunohistochemical analysis of paraffin-embedded human papillary thyroid carcinoma using GPX4 (E5Y8K) Rabbit mAb.
Immunohistochemistry Image 4: GPX4 (E5Y8K) Rabbit Monoclonal Antibody
Immunohistochemical analysis of paraffin-embedded human lung adenocarcinoma using GPX4 (E5Y8K) Rabbit mAb.
Immunohistochemistry Image 5: GPX4 (E5Y8K) Rabbit Monoclonal Antibody
Immunohistochemical analysis of paraffin-embedded normal human colon using GPX4 (E5Y8K) Rabbit mAb.
Immunohistochemistry Image 6: GPX4 (E5Y8K) Rabbit Monoclonal Antibody
Orders: 877-616-CELL (2355) [email protected] Support: 877-678-TECH (8324) [email protected] Web: cellsignal.com
For Research Use Only. Not for Use in Diagnostic Procedures.

Revision 6

Cell Signaling Technology Logo
Immunohistochemical analysis of paraffin-embedded human tonsil using GPX4 (E5Y8K) Rabbit mAb.

Immunohistochemistry Image 7: GPX4 (E5Y8K) Rabbit Monoclonal Antibody
Immunohistochemical analysis of paraffin-embedded normal human kidney using GPX4 (E5Y8K) Rabbit mAb.
Immunohistochemistry Image 8: GPX4 (E5Y8K) Rabbit Monoclonal Antibody

Immunohistochemical analysis of paraffin-embedded normal human epididymis using GPX4 (E5Y8K) Rabbit mAb.

Immunohistochemistry Image 9: GPX4 (E5Y8K) Rabbit Monoclonal Antibody
Orders: 877-616-CELL (2355) [email protected] Support: 877-678-TECH (8324) [email protected] Web: cellsignal.com
For Research Use Only. Not for Use in Diagnostic Procedures.

Revision 6

Cell Signaling Technology Logo
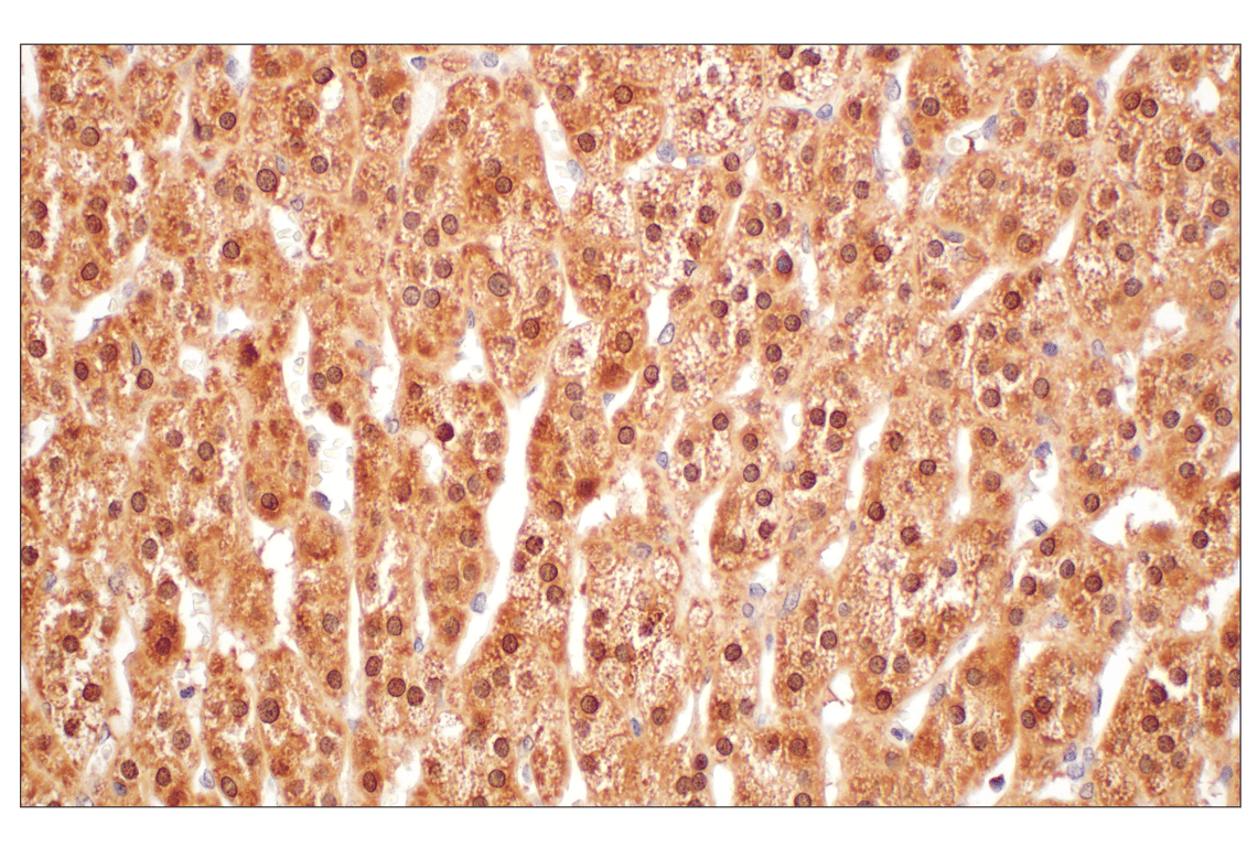
Immunohistochemical analysis of paraffin-embedded normal human adrenal gland using GPX4 (E5Y8K) Rabbit mAb.
Immunohistochemistry Image 10: GPX4 (E5Y8K) Rabbit Monoclonal Antibody

Immunohistochemical analysis of paraffin-embedded normal human stomach using GPX4 (E5Y8K) Rabbit mAb (left) compared to concentration-matched Rabbit (DA1E) mAb IgG XP® Isotype Control #3900 (right).

Immunohistochemistry Image 11: GPX4 (E5Y8K) Rabbit Monoclonal Antibody

Immunohistochemical analysis of paraffin-embedded 22Rv1 cell pellet (left, high-expressing) or Daudi cell pellet (right, low-expressing) using GPX4 (E5Y8K) Rabbit mAb.

Immunohistochemistry Image 12: GPX4 (E5Y8K) Rabbit Monoclonal Antibody
Orders: 877-616-CELL (2355) [email protected] Support: 877-678-TECH (8324) [email protected] Web: cellsignal.com
For Research Use Only. Not for Use in Diagnostic Procedures.