Revision 1

#59945

Store at -20C

CST Logo
Orders:

877-616-CELL (2355)

[email protected]

Support:

877-678-TECH (8324)

3 Trask Lane | Danvers | Massachusetts | 01923 | USA

For Research Use Only. Not for Use in Diagnostic Procedures.

Applications:
W, IHC-P

Reactivity:
H

Sensitivity:
Endogenous

MW (kDa):
40-80

Source/Isotype:
Rabbit IgG

UniProt ID:
#P51679

Entrez-Gene Id:
1233

Product Usage Information

Application Dilution
Western Blotting 1:1000
Immunohistochemistry (Paraffin) 1:100 - 1:400

Storage

Supplied in 10 mM sodium HEPES (pH 7.5), 150 mM NaCl, 100 µg/mL BSA, 50% glycerol, and less than 0.02% sodium azide. Store at –20°C. Do not aliquot the antibody.

Specificity/Sensitivity

CCR4 (F9A9K) Rabbit Monoclonal Antibody recognizes endogenous levels of total CCR4 protein. This antibody detects a 15-20 kDa protein of unknown identity in some cell lines.

Source / Purification

Monoclonal antibody is produced by immunizing animals with a synthetic peptide corresponding to residues near the carboxy terminus of human CCR4 protein.

Background

C-C chemokine receptor type 4 (CCR4) is a chemokine receptor that is primarily expressed in T cells, specifically in Th2, Th17, and Treg subsets (1). Like other chemokine receptors, CCR4 is a G protein-coupled receptor (GPCR) that contains seven transmembrane domains (2). CCR4 selectively binds with the chemokine ligands CCL17, also known as thymus and activation-related chemokine (TARC), and CCL22, also known as macrophage-derived chemokine (MDC). CCL17/TARC functions as a chemoattractant for CCR4-expressing T cells and is associated with type 2 immune responses (3,4). CCL22/MDC is expressed by macrophages and dendritic cells and also functions as a chemoattractant with dominant binding to CCR4 compared with CCL17/TARC (5-7). Elevated CCR4 expression has been implicated in various allergic diseases, such as asthma and dermatitis (8,9). It has also been implicated in several hematological malignancies, including acute myeloid leukemia (AML), acute T cell leukemia/lymphoma (ATLL), and cutaneous T cell lymphoma (CTLL) (1,10). The humanized anti-CCR4 monoclonal antibody mogamulizumab has been approved for the treatment of patients with relapsed ATLL (11).

Species Reactivity

Species reactivity is determined by testing in at least one approved application (e.g., western blot).

Western Blot Buffer

IMPORTANT: For western blots, incubate membrane with diluted primary antibody in 5% w/v BSA, 1X TBS, 0.1% Tween® 20 at 4°C with gentle shaking, overnight.

Applications Key

W: Western Blotting IHC-P: Immunohistochemistry (Paraffin)

Cross-Reactivity Key

H: Human

Trademarks and Patents

Cell Signaling Technology is a trademark of Cell Signaling Technology, Inc.

All other trademarks are the property of their respective owners. Visit cellsignal.com/trademarks for more information.

Limited Uses

Except as otherwise expressly agreed in a writing signed by a legally authorized representative of CST, the following terms apply to Products provided by CST, its affiliates or its distributors. Any Customer's terms and conditions that are in addition to, or different from, those contained herein, unless separately accepted in writing by a legally authorized representative of CST, are rejected and are of no force or effect.

Products are labeled with For Research Use Only or a similar labeling statement and have not been approved, cleared, or licensed by the FDA or other regulatory foreign or domestic entity, for any purpose. Customer shall not use any Product for any diagnostic or therapeutic purpose, or otherwise in any manner that conflicts with its labeling statement. Products sold or licensed by CST are provided for Customer as the end-user and solely for research and development uses. Any use of Product for diagnostic, prophylactic or therapeutic purposes, or any purchase of Product for resale (alone or as a component) or other commercial purpose, requires a separate license from CST. Customer shall (a) not sell, license, loan, donate or otherwise transfer or make available any Product to any third party, whether alone or in combination with other materials, or use the Products to manufacture any commercial products, (b) not copy, modify, reverse engineer, decompile, disassemble or otherwise attempt to discover the underlying structure or technology of the Products, or use the Products for the purpose of developing any products or services that would compete with CST products or services, (c) not alter or remove from the Products any trademarks, trade names, logos, patent or copyright notices or markings, (d) use the Products solely in accordance with CST Product Terms of Sale and any applicable documentation, and (e) comply with any license, terms of service or similar agreement with respect to any third party products or services used by Customer in connection with the Products.

Orders: 877-616-CELL (2355) [email protected] Support: 877-678-TECH (8324) [email protected] Web: cellsignal.com
For Research Use Only. Not for Use in Diagnostic Procedures.

Revision 1

Cell Signaling Technology Logo
Western blot analysis of extracts from HH, HuT 78, and Daudi cells using CCR4 (F9A9K) Rabbit mAb (upper) or GAPDH (D16H11) XP® Rabbit mAb #5174 (lower). Negative expression of CCR4 protein in Daudi cells is consistent with the predicted expression pattern. 
Western Blotting Image 1: CCR4 (F9A9K) Rabbit Monoclonal Antibody

Immunohistochemical analysis of paraffin-embedded human thymoma using CCR4 (F9A9K) Rabbit mAb.

Immunohistochemistry Image 1: CCR4 (F9A9K) Rabbit Monoclonal Antibody

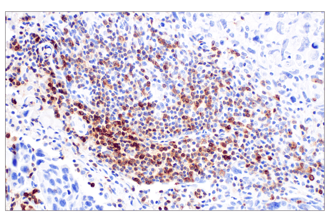
Immunohistochemical analysis of paraffin-embedded human non-Hodgkin lymphoma using CCR4 (F9A9K) Rabbit mAb.
Immunohistochemistry Image 2: CCR4 (F9A9K) Rabbit Monoclonal Antibody
Orders: 877-616-CELL (2355) [email protected] Support: 877-678-TECH (8324) [email protected] Web: cellsignal.com
For Research Use Only. Not for Use in Diagnostic Procedures.

Revision 1

Cell Signaling Technology Logo

Immunohistochemical analysis of paraffin-embedded human soft tissue squamous cell carcinoma using CCR4 (F9A9K) Rabbit mAb.
Immunohistochemistry Image 3: CCR4 (F9A9K) Rabbit Monoclonal Antibody

Immunohistochemical analysis of paraffin-embedded human colon adenocarcinoma using CCR4 (F9A9K) Rabbit mAb.
Immunohistochemistry Image 4: CCR4 (F9A9K) Rabbit Monoclonal Antibody

Immunohistochemical analysis of paraffin-embedded human lung adenocarcinoma using CCR4 (F9A9K) Rabbit mAb.

Immunohistochemistry Image 5: CCR4 (F9A9K) Rabbit Monoclonal Antibody
Orders: 877-616-CELL (2355) [email protected] Support: 877-678-TECH (8324) [email protected] Web: cellsignal.com
For Research Use Only. Not for Use in Diagnostic Procedures.

Revision 1

Cell Signaling Technology Logo

Immunohistochemical analysis of paraffin-embedded human gastric adenocarcinoma using CCR4 (F9A9K) Rabbit mAb.

Immunohistochemistry Image 6: CCR4 (F9A9K) Rabbit Monoclonal Antibody
Immunohistochemical analysis of paraffin-embedded human tonsil using CCR4 (F9A9K) Rabbit mAb.
Immunohistochemistry Image 7: CCR4 (F9A9K) Rabbit Monoclonal Antibody
Immunohistochemical analysis of paraffin-embedded normal human lymph node using CCR4 (F9A9K) Rabbit mAb.
Immunohistochemistry Image 8: CCR4 (F9A9K) Rabbit Monoclonal Antibody
Orders: 877-616-CELL (2355) [email protected] Support: 877-678-TECH (8324) [email protected] Web: cellsignal.com
For Research Use Only. Not for Use in Diagnostic Procedures.

Revision 1

Cell Signaling Technology Logo

Immunohistochemical analysis of paraffin-embedded normal human esophagus using CCR4 (F9A9K) Rabbit mAb.

Immunohistochemistry Image 9: CCR4 (F9A9K) Rabbit Monoclonal Antibody
Immunohistochemical analysis of paraffin-embedded human tonsil using CCR4 (F9A9K) Rabbit mAb (left) compared to concentration-matched Rabbit (DA1E) mAb IgG XP® Isotype Control #3900 (right).
Immunohistochemistry Image 10: CCR4 (F9A9K) Rabbit Monoclonal Antibody
Immunohistochemical analysis of paraffin-embedded HH cell pellet (left, positive) or Daudi cell pellet (right, negative) using CCR4 (F9A9K) Rabbit mAb.
Immunohistochemistry Image 11: CCR4 (F9A9K) Rabbit Monoclonal Antibody
Orders: 877-616-CELL (2355) [email protected] Support: 877-678-TECH (8324) [email protected] Web: cellsignal.com
For Research Use Only. Not for Use in Diagnostic Procedures.