Revision 3

#60128

Store at -20C

CST Logo
Orders:

877-616-CELL (2355)

[email protected]

Support:

877-678-TECH (8324)

3 Trask Lane | Danvers | Massachusetts | 01923 | USA

For Research Use Only. Not for Use in Diagnostic Procedures.

Applications:
W, IP, FC-FP

Reactivity:
H

Sensitivity:
Endogenous

MW (kDa):
14-45

Source/Isotype:
Rabbit IgG

UniProt ID:
#Q9BXN2

Entrez-Gene Id:
64581

Product Usage Information

Application Dilution
Western Blotting 1:1000
Immunoprecipitation 1:200
Flow Cytometry (Fixed/Permeabilized) 1:400

Storage

Supplied in 10 mM sodium HEPES (pH 7.5), 150 mM NaCl, 100 µg/ml BSA, 50% glycerol and less than 0.02% sodium azide. Store at –20°C. Do not aliquot the antibody.

Specificity/Sensitivity

Dectin-1/Clec7a (E1X3Z) Rabbit Monoclonal Antibody recognizes endogenous levels of total Dectin-1 protein.

Source / Purification

Monoclonal antibody is produced by immunizing animals with a synthetic peptide corresponding to residues near the amino terminus of human Dectin-1 protein.

Background

Dectin-1, also known as Clec7a, is a C-type lectin receptor expressed by macrophages, monocytes, dendritic cells, neutrophils, and a subset of γδ T cells (1,2). Dectin-1 is a glycoprotein with eight different isoforms, generated through alternative splicing (3-5). It plays an important role in anti-fungal immunity by acting as a pattern recognition receptor for β-glucans found on the cell wall of fungi and some bacteria (5,6). Dectin-1 is composed of a short amino-terminal cytoplasmic domain containing an ITAM-like motif, a transmembrane domain, and an extracellular carboxy-terminal C-type lectin domain (5). Dectin-1 recognizes β-glucans through its C-type lectin domain and transduces signals through its ITAM-like motif by recruiting and activating Syk (7,8). Dendritic cells activated through Dectin-1 promote differentiation of Th17 cells by producing IL-6 and IL-23 (9).

Species Reactivity

Species reactivity is determined by testing in at least one approved application (e.g., western blot).

Western Blot Buffer

IMPORTANT: For western blots, incubate membrane with diluted primary antibody in 5% w/v BSA, 1X TBS, 0.1% Tween® 20 at 4°C with gentle shaking, overnight.

Applications Key

W: Western Blotting IP: Immunoprecipitation FC-FP: Flow Cytometry (Fixed/Permeabilized)

Cross-Reactivity Key

H: Human

Trademarks and Patents

Cell Signaling Technology is a trademark of Cell Signaling Technology, Inc.

This product is provided under an intellectual property license from Life Technologies Corporation. The transfer of this product is conditioned on the buyer using the purchased product solely in research conducted by the buyer, excluding contract research or any fee for service research, and the buyer must not (1) use this product or its components for (a) diagnostic, therapeutic or prophylactic purposes; (b) testing, analysis or screening services, or information in return for compensation on a per-test basis; or (c) manufacturing or quality assurance or quality control, and/or (2) sell or transfer this product or its components for resale, whether or not resold for use in research. For information on purchasing a license to this product for purposes other than as described above, contact Life Technologies Corporation, 5791 Van Allen Way, Carlsbad, CA 92008 USA or [email protected].

All other trademarks are the property of their respective owners. Visit cellsignal.com/trademarks for more information.

Limited Uses

Except as otherwise expressly agreed in a writing signed by a legally authorized representative of CST, the following terms apply to Products provided by CST, its affiliates or its distributors. Any Customer's terms and conditions that are in addition to, or different from, those contained herein, unless separately accepted in writing by a legally authorized representative of CST, are rejected and are of no force or effect.

Products are labeled with For Research Use Only or a similar labeling statement and have not been approved, cleared, or licensed by the FDA or other regulatory foreign or domestic entity, for any purpose. Customer shall not use any Product for any diagnostic or therapeutic purpose, or otherwise in any manner that conflicts with its labeling statement. Products sold or licensed by CST are provided for Customer as the end-user and solely for research and development uses. Any use of Product for diagnostic, prophylactic or therapeutic purposes, or any purchase of Product for resale (alone or as a component) or other commercial purpose, requires a separate license from CST. Customer shall (a) not sell, license, loan, donate or otherwise transfer or make available any Product to any third party, whether alone or in combination with other materials, or use the Products to manufacture any commercial products, (b) not copy, modify, reverse engineer, decompile, disassemble or otherwise attempt to discover the underlying structure or technology of the Products, or use the Products for the purpose of developing any products or services that would compete with CST products or services, (c) not alter or remove from the Products any trademarks, trade names, logos, patent or copyright notices or markings, (d) use the Products solely in accordance with CST Product Terms of Sale and any applicable documentation, and (e) comply with any license, terms of service or similar agreement with respect to any third party products or services used by Customer in connection with the Products.

Orders: 877-616-CELL (2355) [email protected] Support: 877-678-TECH (8324) [email protected] Web: cellsignal.com
For Research Use Only. Not for Use in Diagnostic Procedures.

Revision 3

Cell Signaling Technology Logo
Western blot analysis of extracts from various cell lines and MUTZ-3 cells, differentiated into interstitial dendritic cells (MUTZ-3 IDC) with Human Granulocyte Macrophage Colony Stimulating Factor (hGM-CSF) #8922 (100 ng/ml), Human Interleukin-4 (hIL-4) #8919 (100 ng/ml), and Human Tumor Necrosis Factor-α (hTNF-α) #8902 (2.5 ng/ml) for 8 days, using Dectin-1/Clec7a (E1X3Z) Rabbit mAb (upper) or β-Actin (D6A8) Rabbit mAb #8457 (lower).
Western Blotting Image 1: Dectin-1/Clec7a (E1X3Z) Rabbit Monoclonal Antibody
Western blot analysis of extracts from 293T cells, mock transfected (-) or transfected with a construct expressing Myc/DDK-tagged full-length human Dectin-1 (hDectin-1-Myc/DDK; +), using Dectin-1/Clec7a (E1X3Z) Rabbit mAb.
Western Blotting Image 2: Dectin-1/Clec7a (E1X3Z) Rabbit Monoclonal Antibody
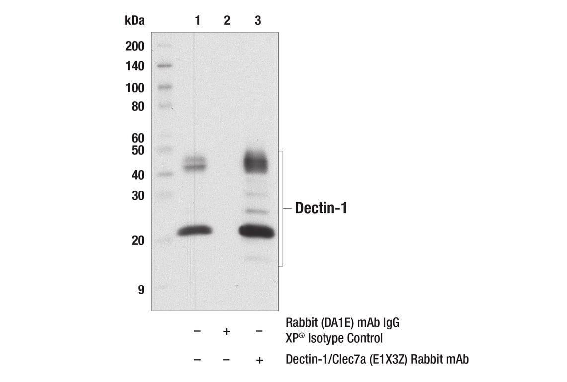
Immunoprecipitation of Dectin-1 from extracts of MUTZ-3 cells differentiated into interstitial dendritic cells (MUTZ-3 IDC) with Human Granulocyte Macrophage Colony Stimulating Factor (hGM-CSF) #8922 (100 ng/ml), Human Interleukin-4 (hIL-4) #8919 (100 ng/ml), and Human Tumor Necrosis Factor-α (hTNF-α) #8902 (2.5 ng/ml) for 7 days. Lane 1 is 10% input, lane 2 is Rabbit (DA1E) mAb IgG XP® Isotype Control #3900, and lane 3 is Dectin-1/Clec7a (E1X3Z) Rabbit mAb. Western blot analysis was performed using Dectin-1/Clec7a (E1X3Z) Rabbit mAb.
Immunoprecipitation Image 1: Dectin-1/Clec7a (E1X3Z) Rabbit Monoclonal Antibody
Orders: 877-616-CELL (2355) [email protected] Support: 877-678-TECH (8324) [email protected] Web: cellsignal.com
For Research Use Only. Not for Use in Diagnostic Procedures.

Revision 3

Cell Signaling Technology Logo
Flow cytometric analysis of fixed and permeabilized human peripheral blood mononuclear cells co-stained with anti-human CD14-APC antibody using Dectin-1/Clec7a (E1X3Z) Rabbit mAb (right) compared to a concentration-matched Rabbit (DA1E) mAb IgG XP® Isotype Control #3900 (left). Anti-rabbit IgG (H+L), F(ab')2 Fragment (Alexa Fluor® 488 Conjugate) #4412 was used as a secondary antibody.
Flow Cytometry Image 1: Dectin-1/Clec7a (E1X3Z) Rabbit Monoclonal Antibody
Flow cytometric analysis of Jurkat cells (blue) and MUTZ-3 cells differentiated into interstitial dendritic cells (MUTZ-3 IDC) (green) with Human Granulocyte Macrophage Colony Stimulating Factor (hGM-CSF) #8922 (100 ng/ml), Human Interleukin-4 (hIL-4) #8919 (100 ng/ml), and Human Tumor Necrosis Factor-α (hTNF-α) #8902 (2.5 ng/ml) for 7 days compared to concentration matched Rabbit (D1AE) mAb IgG XP® Isotype Control #3900 (red), using Dectin-1/Clec7a (E1X3Z) Rabbit mAb. Anti-rabbit IgG (H+L), F(ab')2 Fragment (Alexa Fluor® 488 Conjugate) was used as a secondary antibody.
Flow Cytometry Image 2: Dectin-1/Clec7a (E1X3Z) Rabbit Monoclonal Antibody
Orders: 877-616-CELL (2355) [email protected] Support: 877-678-TECH (8324) [email protected] Web: cellsignal.com
For Research Use Only. Not for Use in Diagnostic Procedures.