Revision 1

#60153

Store at -20C

CST Logo
Orders:

877-616-CELL (2355)

[email protected]

Support:

877-678-TECH (8324)

3 Trask Lane | Danvers | Massachusetts | 01923 | USA

For Research Use Only. Not for Use in Diagnostic Procedures.

Applications:
W, IP

Reactivity:
H M R

Sensitivity:
Endogenous

MW (kDa):
75

Source/Isotype:
Rabbit

UniProt ID:
#P28331

Entrez-Gene Id:
4719

Product Usage Information

Application Dilution
Western Blotting 1:1000
Immunoprecipitation 1:50

Storage

Supplied in 10 mM sodium HEPES (pH 7.5), 150 mM NaCl, 100 µg/ml BSA and 50% glycerol. Store at –20°C. Do not aliquot the antibody.

Specificity/Sensitivity

NDUFS1 Antibody recognizes endogenous levels of total NDUFS1 protein. This antibody can detect the carboxyl terminal 47 kDa fragment produced by caspase cleavage during apoptosis.

Source / Purification

Polyclonal antibodies are produced by immunizing animals with a synthetic peptide corresponding to residues surrounding Ile286 of human NDUFS1 protein. Antibodies are purified by peptide affinity chromatography.

Background

NDUFS1 (NADH dehydrogenase Fe-S protein 1) is a nuclear encoded structural subunit of NADH: ubiquinone oxidoreductase (complex 1) in the mitochondrial electron transport chain (1). Mutations in NDUFS1 and other complex 1 subunits leading to mitochondrial dysfunction are associated with a number of neurological disorders (2-5). High-fat diet associated with type 2 diabetes leads to decreased expression of complex 1 subunits, including NDUFS1 (6). NDUFS1 is the target of cleavage by apoptotic caspases contributing to the loss of mitochondrial transmembrane potential, compromised mitochondrial respiration, increased mitochondrial reactive oxygen species (ROS) production, and loss of lysosomal integrity (7,8). NDUFS1 can also be cleaved by the lymphocyte protease granzyme B (9). Studies have also found that MDM2, which has a canonical role as an inhibitor of the tumor suppressor p53, can also sequester NDUFS1 in the cytoplasm, leading to respiratory dysfunction and increases in ROS (10).

Species Reactivity

Species reactivity is determined by testing in at least one approved application (e.g., western blot).

Western Blot Buffer

IMPORTANT: For western blots, incubate membrane with diluted primary antibody in 5% w/v BSA, 1X TBS, 0.1% Tween® 20 at 4°C with gentle shaking, overnight.

Applications Key

W: Western Blotting IP: Immunoprecipitation

Cross-Reactivity Key

H: Human M: Mouse R: Rat

Trademarks and Patents

Cell Signaling Technology is a trademark of Cell Signaling Technology, Inc.

All other trademarks are the property of their respective owners. Visit cellsignal.com/trademarks for more information.

Limited Uses

Except as otherwise expressly agreed in a writing signed by a legally authorized representative of CST, the following terms apply to Products provided by CST, its affiliates or its distributors. Any Customer's terms and conditions that are in addition to, or different from, those contained herein, unless separately accepted in writing by a legally authorized representative of CST, are rejected and are of no force or effect.

Products are labeled with For Research Use Only or a similar labeling statement and have not been approved, cleared, or licensed by the FDA or other regulatory foreign or domestic entity, for any purpose. Customer shall not use any Product for any diagnostic or therapeutic purpose, or otherwise in any manner that conflicts with its labeling statement. Products sold or licensed by CST are provided for Customer as the end-user and solely for research and development uses. Any use of Product for diagnostic, prophylactic or therapeutic purposes, or any purchase of Product for resale (alone or as a component) or other commercial purpose, requires a separate license from CST. Customer shall (a) not sell, license, loan, donate or otherwise transfer or make available any Product to any third party, whether alone or in combination with other materials, or use the Products to manufacture any commercial products, (b) not copy, modify, reverse engineer, decompile, disassemble or otherwise attempt to discover the underlying structure or technology of the Products, or use the Products for the purpose of developing any products or services that would compete with CST products or services, (c) not alter or remove from the Products any trademarks, trade names, logos, patent or copyright notices or markings, (d) use the Products solely in accordance with CST Product Terms of Sale and any applicable documentation, and (e) comply with any license, terms of service or similar agreement with respect to any third party products or services used by Customer in connection with the Products.

Orders: 877-616-CELL (2355) [email protected] Support: 877-678-TECH (8324) [email protected] Web: cellsignal.com
For Research Use Only. Not for Use in Diagnostic Procedures.

Revision 1

Cell Signaling Technology Logo
Western blot analysis of extracts from 293T cells, untransfected (-) or transfected with a construct expressing Myc/DDK-tagged full-length human NDUFS1 protein (hNDUFS1-Myc/DDK; +), using NDUFS1 Antibody (upper) or GAPDH (D16H11) XP® Rabbit mAb #5174 (lower).
Western Blotting Image 1: NDUFS1 Antibody
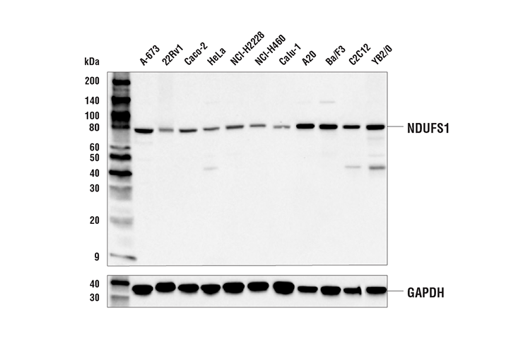
Western blot analysis of extracts from various cell lines using NDUFS1 Antibody (upper) or GAPDH (D16D11) XP® Rabbit mAb #5174 (lower). Weak signal in Calu-1 cells is predicted from proteomics studies and confirms the specificity of the antibody for NDUFS1.
Western Blotting Image 2: NDUFS1 Antibody
Western blot analysis of extracts from serum-starved HeLa cells, untreated (-) or treated with Staurosporine #9953 (1 μM, 3 hr; +), using NDUFS1 Antibody (upper) or GAPDH (D16H11) XP® Rabbit mAb (lower).
Western Blotting Image 3: NDUFS1 Antibody
Orders: 877-616-CELL (2355) [email protected] Support: 877-678-TECH (8324) [email protected] Web: cellsignal.com
For Research Use Only. Not for Use in Diagnostic Procedures.

Revision 1

Cell Signaling Technology Logo
Immunoprecipitation of NDUFS1 protein from A-673 cell extracts. Lane 1 is 10% input, lane 2 is Normal Rabbit IgG #2729, and lane 3 is NDUFS1 Antibody. Western blot analysis was performed using NDUFS1 Antibody. Anti-rabbit IgG, HRP-linked Antibody #7074 was used as a secondary antibody.
Immunoprecipitation Image 1: NDUFS1 Antibody
Orders: 877-616-CELL (2355) [email protected] Support: 877-678-TECH (8324) [email protected] Web: cellsignal.com
For Research Use Only. Not for Use in Diagnostic Procedures.