Revision 9

#60433

Store at -20C

CST Logo
Orders:

877-616-CELL (2355)

[email protected]

Support:

877-678-TECH (8324)

3 Trask Lane | Danvers | Massachusetts | 01923 | USA

For Research Use Only. Not for Use in Diagnostic Procedures.

Applications:
W, IP, IHC-P, IF-F, IF-IC

Reactivity:
H M R

Sensitivity:
Endogenous

MW (kDa):
50

Source/Isotype:
Rabbit IgG

UniProt ID:
#P26367

Entrez-Gene Id:
5080

Product Usage Information

Application Dilution
Western Blotting 1:1000
Immunoprecipitation 1:200
Immunohistochemistry (Paraffin) 1:250 - 1:1000
Immunofluorescence (Frozen) 1:3200
Immunofluorescence (Immunocytochemistry) 1:100 - 1:400

Storage

Supplied in 10 mM sodium HEPES (pH 7.5), 150 mM NaCl, 100 µg/ml BSA, 50% glycerol and less than 0.02% sodium azide. Store at –20°C. Do not aliquot the antibody.

For a carrier free (BSA and azide free) version of this product see product #58677.

Specificity/Sensitivity

Pax6 (D3A9V) Rabbit Monoclonal Antibody recognizes endogenous levels of total Pax6 protein.

Source / Purification

Monoclonal antibody is produced by immunizing animals with a synthetic peptide corresponding to residues near the carboxy terminus of human Pax6 protein.

Background

Paired box (PAX) proteins are a family of transcription factors that play important and diverse roles in animal development (1). Nine PAX proteins (PAX1-9) have been described in humans and other mammals. They are defined by the presence of an amino-terminal "paired" domain, consisting of two helix-turn-helix motifs, with DNA binding activity (2). PAX proteins are classified into four structurally distinct subgroups (I-IV) based on the absence or presence of a carboxy-terminal homeodomain and a central octapeptide region. Subgroup I (PAX1 and 9) contains the octapeptide but lacks the homeodomain; subgroup II (PAX2, 5, and 8) contains the octapeptide and a truncated homeodomain; subgroup III (PAX3 and 7) contains the octapeptide and a complete homeodomain; and subgroup IV (PAX4 and 6) contains a complete homeodomain but lacks the octapeptide region (2). PAX proteins play critically important roles in development by regulating transcriptional networks responsible for embryonic patterning and organogenesis (3); a subset of PAX proteins also maintain functional importance during postnatal development (4). Research studies have implicated genetic mutations that result in aberrant expression of PAX genes in a number of cancer subtypes (1-3), with members of subgroups II and III identified as potential mediators of tumor progression (2).

Pax6 has important functions in organ development. It is a key regulator of eye development (5), and mutations in Pax6 have been associated with some forms of aniridia, a congenital malformation of the eye (6). Pax6 is also involved in neuronal development, which plays an especially important role in corticogenesis (7). Within its role in the adult brain, it has recently been associated with aging, with gene occupancy studies showing increased association of Pax6 with genes associated with many aging processes in mice (8,9). Pax6 also plays another important function in development and maintenance of pancreatic β-cells (10). Driven by expression of Pdx1, both Pax6 and NGN3 expression is required for β-cell identity (11).

Species Reactivity

Species reactivity is determined by testing in at least one approved application (e.g., western blot).

Western Blot Buffer

IMPORTANT: For western blots, incubate membrane with diluted primary antibody in 5% w/v BSA, 1X TBS, 0.1% Tween® 20 at 4°C with gentle shaking, overnight.

Applications Key

W: Western Blotting IP: Immunoprecipitation IHC-P: Immunohistochemistry (Paraffin) IF-F: Immunofluorescence (Frozen) IF-IC: Immunofluorescence (Immunocytochemistry)

Cross-Reactivity Key

H: Human M: Mouse R: Rat

Trademarks and Patents

Cell Signaling Technology is a trademark of Cell Signaling Technology, Inc.

SignalStain is a registered trademark of Cell Signaling Technology, Inc.

All other trademarks are the property of their respective owners. Visit cellsignal.com/trademarks for more information.

Limited Uses

Except as otherwise expressly agreed in a writing signed by a legally authorized representative of CST, the following terms apply to Products provided by CST, its affiliates or its distributors. Any Customer's terms and conditions that are in addition to, or different from, those contained herein, unless separately accepted in writing by a legally authorized representative of CST, are rejected and are of no force or effect.

Products are labeled with For Research Use Only or a similar labeling statement and have not been approved, cleared, or licensed by the FDA or other regulatory foreign or domestic entity, for any purpose. Customer shall not use any Product for any diagnostic or therapeutic purpose, or otherwise in any manner that conflicts with its labeling statement. Products sold or licensed by CST are provided for Customer as the end-user and solely for research and development uses. Any use of Product for diagnostic, prophylactic or therapeutic purposes, or any purchase of Product for resale (alone or as a component) or other commercial purpose, requires a separate license from CST. Customer shall (a) not sell, license, loan, donate or otherwise transfer or make available any Product to any third party, whether alone or in combination with other materials, or use the Products to manufacture any commercial products, (b) not copy, modify, reverse engineer, decompile, disassemble or otherwise attempt to discover the underlying structure or technology of the Products, or use the Products for the purpose of developing any products or services that would compete with CST products or services, (c) not alter or remove from the Products any trademarks, trade names, logos, patent or copyright notices or markings, (d) use the Products solely in accordance with CST Product Terms of Sale and any applicable documentation, and (e) comply with any license, terms of service or similar agreement with respect to any third party products or services used by Customer in connection with the Products.

Orders: 877-616-CELL (2355) [email protected] Support: 877-678-TECH (8324) [email protected] Web: cellsignal.com
For Research Use Only. Not for Use in Diagnostic Procedures.

Revision 9

Cell Signaling Technology Logo
Western blot analysis of extracts from various cell lines using Pax6 (D3A9V) XP® Rabbit mAb (upper) and GAPDH (D16H11) XP® Rabbit mAb #5174 (lower). As expected, A172 and MCF7 cells are negative.
Western Blotting Image 1: Pax6 (D3A9V) Rabbit Monoclonal Antibody
Western blot analysis of extracts from mouse cerebellum and various cell lines using Pax6 (D3A9V) Rabbit Monoclonal Antibody #60433 (upper) or GAPDH (D16H11) Rabbit Monoclonal Antibody #5174 (lower). Negative expression of PAX6 protein in C2C12 and H-4-II-E cells is consistent with the predicted expression pattern.
Western Blotting Image 2: Pax6 (D3A9V) Rabbit Monoclonal Antibody
Immunohistochemical analysis of paraffin-embedded 293 cell pellet (left, positive) or MCF7 cell pellet (right, negative) using Pax6 (D3A9V) XP® Rabbit mAb.
Immunohistochemistry Image 1: Pax6 (D3A9V) Rabbit Monoclonal Antibody
Orders: 877-616-CELL (2355) [email protected] Support: 877-678-TECH (8324) [email protected] Web: cellsignal.com
For Research Use Only. Not for Use in Diagnostic Procedures.

Revision 9

Cell Signaling Technology Logo
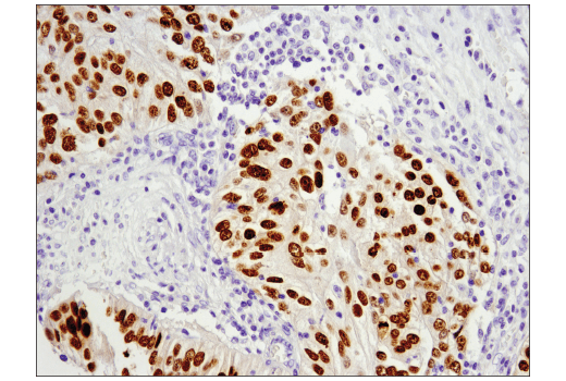
Immunohistochemical analysis of paraffin-embedded human colon carcinoma using Pax6 (D3A9V) XP® Rabbit mAb.
Immunohistochemistry Image 2: Pax6 (D3A9V) Rabbit Monoclonal Antibody
Immunohistochemical analysis of paraffin-embedded human endometrioid adenocarcinoma using Pax6 (D3A9V) XP® Rabbit mAb.
Immunohistochemistry Image 3: Pax6 (D3A9V) Rabbit Monoclonal Antibody
Immunohistochemical analysis of paraffin-embedded normal human pancreas using Pax6 (D3A9V) XP® Rabbit mAb.
Immunohistochemistry Image 4: Pax6 (D3A9V) Rabbit Monoclonal Antibody
Orders: 877-616-CELL (2355) [email protected] Support: 877-678-TECH (8324) [email protected] Web: cellsignal.com
For Research Use Only. Not for Use in Diagnostic Procedures.

Revision 9

Cell Signaling Technology Logo
Immunohistochemical analysis of paraffin-embedded normal human stomach using Pax6 (D3A9V) XP® Rabbit mAb.
Immunohistochemistry Image 5: Pax6 (D3A9V) Rabbit Monoclonal Antibody
Confocal immunofluorescent analysis of fixed frozen mouse pancreas using Pax6 (D3A9V) XP® Rabbit mAb (green) and ProLong Gold Antifade Reagent with DAPI #8961 (blue).
Immunofluorescence Image 1: Pax6 (D3A9V) Rabbit Monoclonal Antibody
Confocal immunofluorescent analysis of fixed frozen mouse cerebellum labeled with Pax6 (D3A9V) XP® Rabbit mAb (green). Free secondary binding sites were then blocked with Rabbit (DA1E) mAb IgG XP® Isotype Control #3900 prior to co-labeling with GFAP (E4L7M) XP® Rabbit mAb (Alexa Fluor® 555 Conjugate) #40323 (red) and ProLong Gold Antifade Reagent with DAPI #8961 (blue).
Immunofluorescence Image 2: Pax6 (D3A9V) Rabbit Monoclonal Antibody
Orders: 877-616-CELL (2355) [email protected] Support: 877-678-TECH (8324) [email protected] Web: cellsignal.com
For Research Use Only. Not for Use in Diagnostic Procedures.

Revision 9

Cell Signaling Technology Logo
Confocal immunofluorescent analysis of 293T cells (left, positive) and MCF7 cells (right, negative) using Pax6 (D3A9V) XP® Rabbit mAb (green). Actin filaments were labeled with DyLight™ 554 Phalloidin #13054 (red).
Immunofluorescence Image 1: Pax6 (D3A9V) Rabbit Monoclonal Antibody
Orders: 877-616-CELL (2355) [email protected] Support: 877-678-TECH (8324) [email protected] Web: cellsignal.com
For Research Use Only. Not for Use in Diagnostic Procedures.