Revision 3

#62173

Store at -20C

CST Logo
Orders:

877-616-CELL (2355)

[email protected]

Support:

877-678-TECH (8324)

3 Trask Lane | Danvers | Massachusetts | 01923 | USA

For Research Use Only. Not for Use in Diagnostic Procedures.

Applications:
W, W-S, IP, IHC-P, IF-F

Reactivity:
H M R

Sensitivity:
Endogenous

MW (kDa):
30, 38, 45

Source/Isotype:
Rabbit IgG

UniProt ID:
#O95343

Entrez-Gene Id:
6496

Product Usage Information

Application Dilution
Western Blotting 1:1000
Simple Western™ 1:10 - 1:50
Immunoprecipitation 1:100
Immunohistochemistry (Paraffin) 1:50 - 1:250
Immunofluorescence (Frozen) 1:400 - 1:800

Storage

Supplied in 10 mM sodium HEPES (pH 7.5), 150 mM NaCl, 100 µg/mL BSA, 50% glycerol, and less than 0.02% sodium azide. Store at –20°C. Do not aliquot the antibody.

Specificity/Sensitivity

SIX3 (F1I1S) Rabbit Monoclonal Antibody recognizes endogenous levels of total SIX3 protein. Species reactivity for immunofluoreoscence is mouse only.

Source / Purification

Monoclonal antibody is produced by immunizing animals with a synthetic peptide corresponding to residues surrounding Pro277 of human SIX3 protein.

Background

Sine oculis homeobox (SIX) proteins belong to a family of evolutionarily conserved transcription factors discovered in Drosophila mutant screens for embryonic eye development genes (1-3). The prototypical family member (sine oculis, so) was named for eyeless embryos carrying mutations in a gene highly conserved among vertebrates, including humans (SIX1) (4). A total of six family members (SIX1-6) have been identified in vertebrates. Each SIX protein contains a homeobox nucleic acid recognition domain (HD) with a DNA-binding helix-turn-helix motif and an adjacent SIX domain, which may be involved in regulating protein-protein interactions (5). In addition to their critical functions during embryonic organogenesis, research studies suggest that SIX proteins play additional roles in postnatal cell cycle regulation, with potentially important implications in tumorigenesis (6,7). In addition to its well-established role within gene networks regulating neural patterning and brain development (8,9), SIX3 was more recently reported to regulate postnatal pancreatic β cell maturation, in part by suppressing the expression of genes associate with fetal β cells and various non-β cell types (10,11). Dysregulated expression of SIX3 has also been linked with tumor development. For example, in a study of cell free DNA isolated from plasma, SIX3 was identified as a differentially methylated gene that was diagnostically relevant for patients with pancreatic ductal adenocarcinoma (12). This finding was consistent with earlier reports supporting a role for SIX3 as a tumor suppressor (13-15).

Species Reactivity

Species reactivity is determined by testing in at least one approved application (e.g., western blot).

Western Blot Buffer

IMPORTANT: For western blots, incubate membrane with diluted primary antibody in 5% w/v BSA, 1X TBS, 0.1% Tween® 20 at 4°C with gentle shaking, overnight.

Applications Key

W: Western Blotting W-S: Simple Western™ IP: Immunoprecipitation IHC-P: Immunohistochemistry (Paraffin) IF-F: Immunofluorescence (Frozen)

Cross-Reactivity Key

H: Human M: Mouse R: Rat

Trademarks and Patents

Cell Signaling Technology is a trademark of Cell Signaling Technology, Inc.

All other trademarks are the property of their respective owners. Visit cellsignal.com/trademarks for more information.

Limited Uses

Except as otherwise expressly agreed in a writing signed by a legally authorized representative of CST, the following terms apply to Products provided by CST, its affiliates or its distributors. Any Customer's terms and conditions that are in addition to, or different from, those contained herein, unless separately accepted in writing by a legally authorized representative of CST, are rejected and are of no force or effect.

Products are labeled with For Research Use Only or a similar labeling statement and have not been approved, cleared, or licensed by the FDA or other regulatory foreign or domestic entity, for any purpose. Customer shall not use any Product for any diagnostic or therapeutic purpose, or otherwise in any manner that conflicts with its labeling statement. Products sold or licensed by CST are provided for Customer as the end-user and solely for research and development uses. Any use of Product for diagnostic, prophylactic or therapeutic purposes, or any purchase of Product for resale (alone or as a component) or other commercial purpose, requires a separate license from CST. Customer shall (a) not sell, license, loan, donate or otherwise transfer or make available any Product to any third party, whether alone or in combination with other materials, or use the Products to manufacture any commercial products, (b) not copy, modify, reverse engineer, decompile, disassemble or otherwise attempt to discover the underlying structure or technology of the Products, or use the Products for the purpose of developing any products or services that would compete with CST products or services, (c) not alter or remove from the Products any trademarks, trade names, logos, patent or copyright notices or markings, (d) use the Products solely in accordance with CST Product Terms of Sale and any applicable documentation, and (e) comply with any license, terms of service or similar agreement with respect to any third party products or services used by Customer in connection with the Products.

Orders: 877-616-CELL (2355) [email protected] Support: 877-678-TECH (8324) [email protected] Web: cellsignal.com
For Research Use Only. Not for Use in Diagnostic Procedures.

Revision 3

Cell Signaling Technology Logo
Western blot analysis of extracts from various cell lines using SIX3 (F1I1S) Rabbit mAb (upper) or GAPDH (D16H11) XP® Rabbit mAb #5174 (lower). Negative expression of SIX3 protein in 22Rv1, MCF7, and SW620 cells is consistent with the predicted expression pattern.
Western Blotting Image 1: SIX3 (F1I1S) Rabbit Monoclonal Antibody
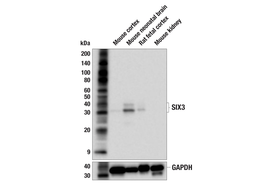
Western blot analysis of extracts from various tissues using SIX3 (F1I1S) Rabbit mAb (upper) or GAPDH (D16H11) XP® Rabbit mAb #5174 (lower).
Western Blotting Image 2: SIX3 (F1I1S) Rabbit Monoclonal Antibody
Western blot analysis of extracts from 293T cells, mock transfected (-) or transfected with a construct expressing Myc/DDK-tagged full-length human SIX3 (hSIX3-Myc/DDK; +), using SIX3 (F1I1S) Rabbit mAb (upper), Myc-Tag (71D10) Rabbit mAb #2278 (middle), or GAPDH (D16H11) XP® Rabbit mAb #5174 (lower).
Western Blotting Image 3: SIX3 (F1I1S) Rabbit Monoclonal Antibody
Orders: 877-616-CELL (2355) [email protected] Support: 877-678-TECH (8324) [email protected] Web: cellsignal.com
For Research Use Only. Not for Use in Diagnostic Procedures.

Revision 3

Cell Signaling Technology Logo
Simple WesternTM analysis of lysates (1.0 mg/mL) from SH-SY5Y using SIX3 (F1I1S) Rabbit mAb #62173. The virtual lane view (left) shows the target band (as indicated) at 1:10 and 1:50 dilutions of primary antibody. The corresponding electropherogram view (right) plots chemiluminescence by molecular weight along the capillary at 1:10 (blue line) and 1:50 (green line) dilutions of primary antibody. This experiment was performed under reducing conditions on the JessTM Simple Western instrument from ProteinSimple, a BioTechne brand, using the 12-230 kDa separation module.
Western Blotting Image 1: SIX3 (F1I1S) Rabbit Monoclonal Antibody
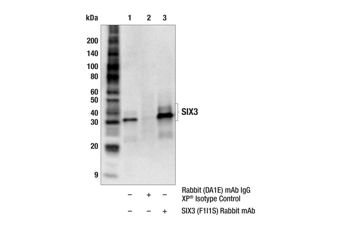
Immunoprecipitation of SIX3 protein from NIT-1 cell extracts. Lane 1 is 10% input, lane 2 is Rabbit (DA1E) mAb IgG XP® Isotype Control #3900, and lane 3 is SIX3 (F1I1S) Rabbit mAb. Western blot analysis was performed using SIX3 (F1I1S) Rabbit mAb. Mouse Anti-rabbit IgG (Conformation Specific) (L27A9) mAb (HRP Conjugate) #5127 was used as a secondary antibody.
Immunoprecipitation Image 1: SIX3 (F1I1S) Rabbit Monoclonal Antibody
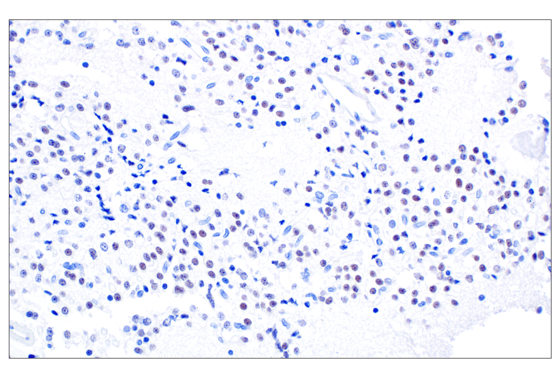
Immunohistochemical analysis of paraffin-embedded human brain oligodendroglioma using SIX3 (F1I1S) Rabbit mAb.
Immunohistochemistry Image 1: SIX3 (F1I1S) Rabbit Monoclonal Antibody
Orders: 877-616-CELL (2355) [email protected] Support: 877-678-TECH (8324) [email protected] Web: cellsignal.com
For Research Use Only. Not for Use in Diagnostic Procedures.

Revision 3

Cell Signaling Technology Logo
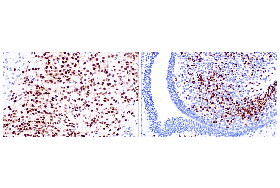
Immunohistochemical analysis of paraffin-embedded neonatal mouse brain (2 regions of interest) using SIX3 (F1I1S) Rabbit mAb.
Immunohistochemistry Image 2: SIX3 (F1I1S) Rabbit Monoclonal Antibody
Immunohistochemical analysis of paraffin-embedded mouse brain using SIX3 (F1I1S) Rabbit mAb.
Immunohistochemistry Image 3: SIX3 (F1I1S) Rabbit Monoclonal Antibody
Immunohistochemical analysis of paraffin-embedded E16 embryonic mouse eye using SIX3 (F1I1S) Rabbit mAb.
Immunohistochemistry Image 4: SIX3 (F1I1S) Rabbit Monoclonal Antibody
Orders: 877-616-CELL (2355) [email protected] Support: 877-678-TECH (8324) [email protected] Web: cellsignal.com
For Research Use Only. Not for Use in Diagnostic Procedures.

Revision 3

Cell Signaling Technology Logo
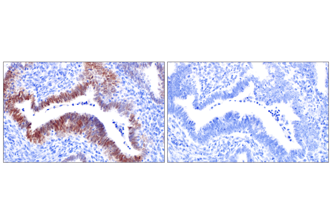
Immunohistochemical analysis of paraffin-embedded human endometrioid adenocarcinoma using SIX3 (F1I1S) Rabbit mAb (left) compared to concentration-matched Rabbit (DA1E) mAb IgG XP® Isotype Control #3900 (right). 
Immunohistochemistry Image 5: SIX3 (F1I1S) Rabbit Monoclonal Antibody
Immunohistochemical analysis of paraffin-embedded NCI-H82 cell pellet (left, positive) or MCF7 cell pellet (right, negative) using SIX3 (F1I1S) Rabbit mAb.
Immunohistochemistry Image 6: SIX3 (F1I1S) Rabbit Monoclonal Antibody
Confocal immunofluorescent analysis of fixed frozen reticular nucleus of mouse thalamus using SIX3 (F1I1S) Rabbit mAb (green), TMEM119 (E4B9S) Mouse mAb #98778 (red), and ProLong Gold Antifade Reagent with DAPI #8961 (blue).
Immunofluorescence Image 1: SIX3 (F1I1S) Rabbit Monoclonal Antibody
Orders: 877-616-CELL (2355) [email protected] Support: 877-678-TECH (8324) [email protected] Web: cellsignal.com
For Research Use Only. Not for Use in Diagnostic Procedures.

Revision 3

Cell Signaling Technology Logo
Confocal immunofluorescent analysis of fixed frozen mouse retina using SIX3 (F1I1S) Rabbit mAb (green) and ProLong Gold Antifade Reagent with DAPI #8961 (blue).
Immunofluorescence Image 2: SIX3 (F1I1S) Rabbit Monoclonal Antibody
Confocal immunofluorescent analysis of fixed frozen mouse midbrain using SIX3 (F1I1S) Rabbit mAb (green), TMEM119 (E4B9S) Mouse mAb #98778 (red), and ProLong Gold Antifade Reagent with DAPI #8961 (blue).
Immunofluorescence Image 3: SIX3 (F1I1S) Rabbit Monoclonal Antibody
Orders: 877-616-CELL (2355) [email protected] Support: 877-678-TECH (8324) [email protected] Web: cellsignal.com
For Research Use Only. Not for Use in Diagnostic Procedures.