Revision 1

#63433

Store at -20C

CST Logo
Orders:

877-616-CELL (2355)

[email protected]

Support:

877-678-TECH (8324)

3 Trask Lane | Danvers | Massachusetts | 01923 | USA

For Research Use Only. Not for Use in Diagnostic Procedures.

Applications:
W, IHC-Bond, IHC-P

Reactivity:
H

Sensitivity:
Endogenous

MW (kDa):
165

Source/Isotype:
Rabbit IgG

UniProt ID:
#P31327

Entrez-Gene Id:
1373

Product Usage Information

This product is the carrier free version of product #62042. All data were generated using the same antibody clone in the standard formulation which contains BSA and glycerol.

This formulation is ideal for use with technologies requiring specialized or custom antibody labeling, including fluorophores, metals, lanthanides, and oligonucleotides. It is not recommended for ChIP, ChIP-seq, CUT&RUN or CUT&Tag assays. If you require a carrier free formulation for chromatin profiling, please contact us. Optimal dilutions/concentrations should be determined by the end user.

BSA and Azide Free antibodies are quality control tested by size exclusion chromatography (SEC) to determine antibody integrity.

Formulation

Supplied in 1X PBS (10 mM Na2HPO4, 3 mM KCl, 2 mM KH2PO4, and 140 mM NaCl (pH 7.8)). BSA and Azide Free.

For standard formulation of this product see product #62042

Storage

Store at -20°C. This product will freeze at -20°C so it is recommended to aliquot into single-use vials to avoid multiple freeze/thaw cycles. A slight precipitate may be present and can be dissolved by gently vortexing. This will not interfere with antibody performance.

Specificity/Sensitivity

CPS1/Hep Par-1 (E9I9U) Rabbit Monoclonal Antibody (BSA and Azide Free) recognizes endogenous levels of total CPS1/Hep Par-1 protein.

Source / Purification

Monoclonal antibody is produced by immunizing animals with recombinant protein specific to the carboxy terminus of human CPS1/Hep Par-1 protein.

Background

Carbamoyl phosphate synthetase 1 (CPS1), a rate-limiting enzyme in the urea cycle, catalyzes the conversion of ammonia and bicarbonate to carbamoyl phosphate in mitochondria. Non-small cell lung carcinoma (NSCLC) cells with oncogenic KRAS and loss of the tumor suppressor LKB1 express CPS1 and depend on this enzyme for growth. CPS1 maintains pyrimidine/purine balance in these cancer cells. Silencing CPS1 reduces the pyrimidine to purine ratio and stalls DNA synthesis, leading to DNA damage and cancer cell death (1). In addition, the tumor suppressor p53 represses the expression of urea cycle enzymes CPS1, OTC, and ARG1 and, therefore, causes the accumulation of ammonia, suppressing cancer growth (2). Furthermore, research studies suggest that hypermethylation-mediated downregulation of CPS1 expression may contribute to the progression of normal hepatocytes to hepatocellular carcinoma (HCC) (3). CPS1 was identified to be the antigen detected by Hep Par-1 antibody (4).

Species Reactivity

Species reactivity is determined by testing in at least one approved application (e.g., western blot).

Applications Key

W: Western Blotting IHC-Bond: IHC Leica Bond IHC-P: Immunohistochemistry (Paraffin)

Cross-Reactivity Key

H: Human

Trademarks and Patents

Cell Signaling Technology is a trademark of Cell Signaling Technology, Inc.

SignalStain is a registered trademark of Cell Signaling Technology, Inc.

All other trademarks are the property of their respective owners. Visit cellsignal.com/trademarks for more information.

Limited Uses

Except as otherwise expressly agreed in a writing signed by a legally authorized representative of CST, the following terms apply to Products provided by CST, its affiliates or its distributors. Any Customer's terms and conditions that are in addition to, or different from, those contained herein, unless separately accepted in writing by a legally authorized representative of CST, are rejected and are of no force or effect.

Products are labeled with For Research Use Only or a similar labeling statement and have not been approved, cleared, or licensed by the FDA or other regulatory foreign or domestic entity, for any purpose. Customer shall not use any Product for any diagnostic or therapeutic purpose, or otherwise in any manner that conflicts with its labeling statement. Products sold or licensed by CST are provided for Customer as the end-user and solely for research and development uses. Any use of Product for diagnostic, prophylactic or therapeutic purposes, or any purchase of Product for resale (alone or as a component) or other commercial purpose, requires a separate license from CST. Customer shall (a) not sell, license, loan, donate or otherwise transfer or make available any Product to any third party, whether alone or in combination with other materials, or use the Products to manufacture any commercial products, (b) not copy, modify, reverse engineer, decompile, disassemble or otherwise attempt to discover the underlying structure or technology of the Products, or use the Products for the purpose of developing any products or services that would compete with CST products or services, (c) not alter or remove from the Products any trademarks, trade names, logos, patent or copyright notices or markings, (d) use the Products solely in accordance with CST Product Terms of Sale and any applicable documentation, and (e) comply with any license, terms of service or similar agreement with respect to any third party products or services used by Customer in connection with the Products.

Orders: 877-616-CELL (2355) [email protected] Support: 877-678-TECH (8324) [email protected] Web: cellsignal.com
For Research Use Only. Not for Use in Diagnostic Procedures.

Revision 1

Cell Signaling Technology Logo
Western blot analysis of extracts from various cell lines using CPS1/Hep Par-1 (E9I9U) Rabbit mAb (upper) or GAPDH (D16H11) XP® Rabbit mAb #5174 (lower). Data were generated using the standard formulation of this product.
Western Blotting Image 1: CPS1/Hep Par-1 (E9I9U) Rabbit Monoclonal Antibody (BSA and Azide Free)
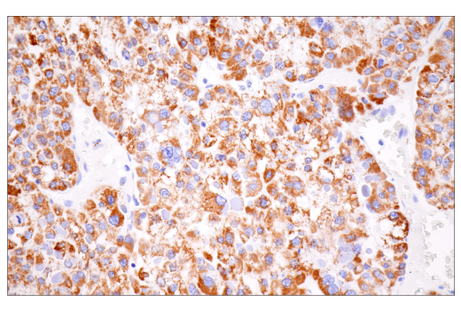
Immunohistochemical analysis of paraffin-embedded human hepatocellular carcinoma using CPS1 (E9I9U) Rabbit mAb performed on the Leica BOND Rx. Data were generated using the standard formulation of this product.
Immunohistochemistry Image 1: CPS1/Hep Par-1 (E9I9U) Rabbit Monoclonal Antibody (BSA and Azide Free)
Immunohistochemical analysis of paraffin-embedded human hepatocellular carcinoma using CPS1/Hep Par-1 (E9I9U) Rabbit mAb. Data were generated using the standard formulation of this product.
Immunohistochemistry Image 1: CPS1/Hep Par-1 (E9I9U) Rabbit Monoclonal Antibody (BSA and Azide Free)
Orders: 877-616-CELL (2355) [email protected] Support: 877-678-TECH (8324) [email protected] Web: cellsignal.com
For Research Use Only. Not for Use in Diagnostic Procedures.

Revision 1

Cell Signaling Technology Logo
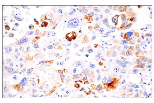
Immunohistochemical analysis of paraffin-embedded human colon carcinoma using CPS1/Hep Par-1 (E9I9U) Rabbit mAb. Data were generated using the standard formulation of this product.
Immunohistochemistry Image 2: CPS1/Hep Par-1 (E9I9U) Rabbit Monoclonal Antibody (BSA and Azide Free)
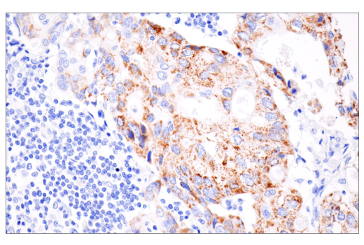
Immunohistochemical analysis of paraffin-embedded human hepatocellular carcinoma using CPS1/Hep Par-1 (E9I9U) Rabbit mAb. Data were generated using the standard formulation of this product.
Immunohistochemistry Image 3: CPS1/Hep Par-1 (E9I9U) Rabbit Monoclonal Antibody (BSA and Azide Free)
Immunohistochemical analysis of paraffin-embedded normal human small intestine using CPS1/Hep Par-1 (E9I9U) Rabbit mAb. Data were generated using the standard formulation of this product.
Immunohistochemistry Image 4: CPS1/Hep Par-1 (E9I9U) Rabbit Monoclonal Antibody (BSA and Azide Free)
Orders: 877-616-CELL (2355) [email protected] Support: 877-678-TECH (8324) [email protected] Web: cellsignal.com
For Research Use Only. Not for Use in Diagnostic Procedures.

Revision 1

Cell Signaling Technology Logo
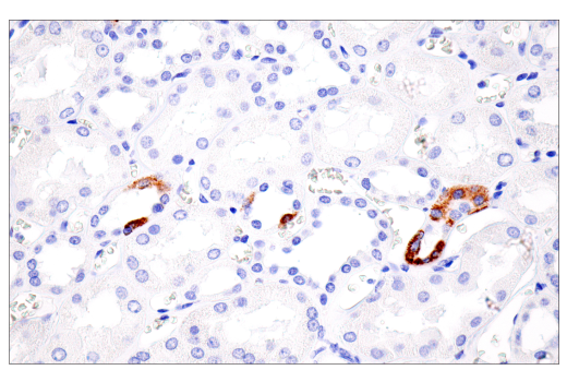
Immunohistochemical analysis of paraffin-embedded normal human kidney using CPS1/Hep Par-1 (E9I9U) Rabbit mAb. Data were generated using the standard formulation of this product.
Immunohistochemistry Image 5: CPS1/Hep Par-1 (E9I9U) Rabbit Monoclonal Antibody (BSA and Azide Free)
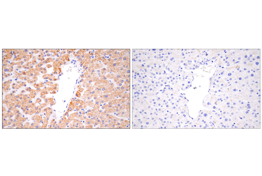
Immunohistochemical analysis of paraffin-embedded normal human liver using CPS1/Hep Par-1 (E9I9U) Rabbit mAb (left) compared to concentration-matched Rabbit (DA1E) mAb IgG XP® Isotype Control #3900 (right). Data were generated using the standard formulation of this product.
Immunohistochemistry Image 6: CPS1/Hep Par-1 (E9I9U) Rabbit Monoclonal Antibody (BSA and Azide Free)
Immunohistochemical analysis of paraffin-embedded HuH-1 cell pellet (left, positive) or U-2 OS cell pellet (right, negative) using CPS1/Hep Par-1 (E9I9U) Rabbit mAb. Data were generated using the standard formulation of this product.
Immunohistochemistry Image 7: CPS1/Hep Par-1 (E9I9U) Rabbit Monoclonal Antibody (BSA and Azide Free)
Orders: 877-616-CELL (2355) [email protected] Support: 877-678-TECH (8324) [email protected] Web: cellsignal.com
For Research Use Only. Not for Use in Diagnostic Procedures.