Revision 2

#63720

Store at -20C

CST Logo
Orders:

877-616-CELL (2355)

[email protected]

Support:

877-678-TECH (8324)

3 Trask Lane | Danvers | Massachusetts | 01923 | USA

For Research Use Only. Not for Use in Diagnostic Procedures.

Product Includes Product # Quantity Mol. Wt Isotype/Source
YB1 (D2B12) Rabbit Monoclonal Antibody8475100 µl49 kDaRabbit IgG
Phospho-YB1 (Ser102) (C34A2) Rabbit Monoclonal Antibody2900100 µl49 kDaRabbit IgG

Please visit cellsignal.com for individual component applications, species cross-reactivity, dilutions, protocols, and additional product information.

UniProt ID:
#P67809

Entrez-Gene Id:
4904

Description

PhosphoPlus® Duets from Cell Signaling Technology (CST) provide a means to assess protein activation status. Each Duet contains an activation-state and total protein antibody to your target of interest. These antibodies have been selected from CST's product offering based upon superior performance in specified applications.

Storage

Supplied in 10 mM sodium HEPES (pH 7.5), 150 mM NaCl, 100 µg/ml BSA, 50% glycerol and less than 0.02% sodium azide. Store at –20°C. Do not aliquot the antibodies.

Background

The Y-box binding protein 1 (YB1) belongs to a family of evolutionarily conserved, multifunctional Y-box proteins that bind single-stranded DNA and RNA and function as regulators of transcription, RNA metabolism, and protein synthesis (1). YB1 binds to Y-box sequences (TAACC) found in multiple gene promoters and can positively or negatively regulate transcription. YB1 activates genes associated with proliferation and cancer, such as cyclin A, cyclin B1, matrix metalloproteinase-2 (MMP-2), and the multi-drug resistance 1 (MDR1) gene (2-4). YB1 represses genes associated with cell death, including the Fas cell death-associated receptor and the p53 tumor suppressor gene (5-7). It also interacts with the RNA-splicing factor SRp30c and stabilizes interleukin-2 (IL-2) mRNA upon induction of T lymphocytes by IL-2 (8,9). The majority of YB1 protein localizes to the cytoplasm, with a minor pool found in the nucleus; however, nuclear localization appears to be critical for its role in promoting proliferation. Nuclear translocation is cell cycle regulated, with YB1 protein accumulating in the nucleus during G1/S phase (2). In addition, nuclear translocation is induced in response to extracellular stimuli such as hyperthermia and UV irradiation, or treatment of cells with thrombin, interferons, or insulin-like growth factor (IGF-I) (2,10). Treatment of the MCF7 breast cancer cell line with IGF-I results in Akt-mediated phosphorylation of YB1 at Ser102, which is required for nuclear translocation of YB1 and its ability to promote anchorage-independent growth (10). Research studies have shown that YB1 is overexpressed in many malignant tissues, including breast cancer, non-small cell lung carcinoma, ovarian adenocarcinomas, human osteosarcomas, colorectal carcinomas, and malignant melanomas. Investigators have shown that nuclear YB1 expression correlates with high levels of proliferation, drug resistance, and poor tumor prognosis (2,7,10).

Trademarks and Patents

Cell Signaling Technology is a trademark of Cell Signaling Technology, Inc.

PhosphoPlus is a registered trademark of Cell Signaling Technology, Inc.

U.S. Patent No. 7,429,487, foreign equivalents, and child patents deriving therefrom.

All other trademarks are the property of their respective owners. Visit cellsignal.com/trademarks for more information.

Limited Uses

Except as otherwise expressly agreed in a writing signed by a legally authorized representative of CST, the following terms apply to Products provided by CST, its affiliates or its distributors. Any Customer's terms and conditions that are in addition to, or different from, those contained herein, unless separately accepted in writing by a legally authorized representative of CST, are rejected and are of no force or effect.

Products are labeled with For Research Use Only or a similar labeling statement and have not been approved, cleared, or licensed by the FDA or other regulatory foreign or domestic entity, for any purpose. Customer shall not use any Product for any diagnostic or therapeutic purpose, or otherwise in any manner that conflicts with its labeling statement. Products sold or licensed by CST are provided for Customer as the end-user and solely for research and development uses. Any use of Product for diagnostic, prophylactic or therapeutic purposes, or any purchase of Product for resale (alone or as a component) or other commercial purpose, requires a separate license from CST. Customer shall (a) not sell, license, loan, donate or otherwise transfer or make available any Product to any third party, whether alone or in combination with other materials, or use the Products to manufacture any commercial products, (b) not copy, modify, reverse engineer, decompile, disassemble or otherwise attempt to discover the underlying structure or technology of the Products, or use the Products for the purpose of developing any products or services that would compete with CST products or services, (c) not alter or remove from the Products any trademarks, trade names, logos, patent or copyright notices or markings, (d) use the Products solely in accordance with CST Product Terms of Sale and any applicable documentation, and (e) comply with any license, terms of service or similar agreement with respect to any third party products or services used by Customer in connection with the Products.

Orders: 877-616-CELL (2355) [email protected] Support: 877-678-TECH (8324) [email protected] Web: cellsignal.com
For Research Use Only. Not for Use in Diagnostic Procedures.

Revision 2

Cell Signaling Technology Logo
Western blot analysis of extracts from MCF-7 cells, serum-starved overnight and then either left untreated or treated with IGF-1 (50 ng/ml) for one hour, using Phospho-YB1 (Ser102) (C34A2) Rabbit mAb (upper) or YB1 Antibody (lower). Further treatment of the IGF-1-treated cell extracts with λ phosphatase depleted the phospho-specific YB1 signal (upper), but not total YB1 (lower).
undefined Image 1: PhosphoPlus<sup>®</sup> YB1 (Ser102) Antibody Duet
Western blot analysis of extracts from various cell lines using YB1 (D2B12) Rabbit mAb.
undefined Image 2: PhosphoPlus<sup>®</sup> YB1 (Ser102) Antibody Duet
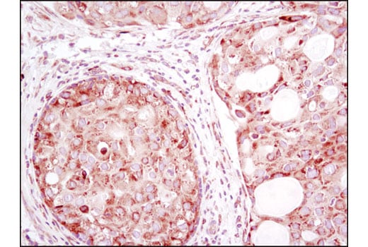
Immunohistochemical analysis of paraffin-embedded human breast adenocarcinoma using YB1 (D2B12) Rabbit mAb.
undefined Image 3: PhosphoPlus<sup>®</sup> YB1 (Ser102) Antibody Duet
Orders: 877-616-CELL (2355) [email protected] Support: 877-678-TECH (8324) [email protected] Web: cellsignal.com
For Research Use Only. Not for Use in Diagnostic Procedures.

Revision 2

Cell Signaling Technology Logo
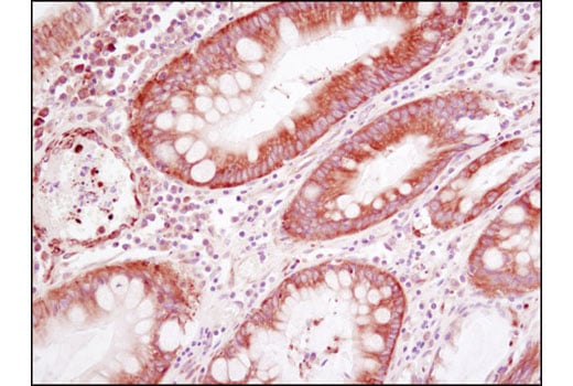
Immunohistochemical analysis of paraffin-embedded human colon carcinoma using YB1 (D2B12) Rabbit mAb.
undefined Image 4: PhosphoPlus<sup>®</sup> YB1 (Ser102) Antibody Duet
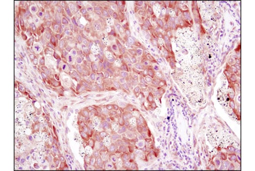
Immunohistochemical analysis of paraffin-embedded human lung squamous cell carcinoma using YB1 (D2B12) Rabbit mAb.
undefined Image 5: PhosphoPlus<sup>®</sup> YB1 (Ser102) Antibody Duet
Orders: 877-616-CELL (2355) [email protected] Support: 877-678-TECH (8324) [email protected] Web: cellsignal.com
For Research Use Only. Not for Use in Diagnostic Procedures.