Revision 1

#64143

Store at -20C

CST Logo
Orders:

877-616-CELL (2355)

[email protected]

Support:

877-678-TECH (8324)

3 Trask Lane | Danvers | Massachusetts | 01923 | USA

For Research Use Only. Not for Use in Diagnostic Procedures.

Applications:
W, IP, IHC-P, IF-IC

Reactivity:
H

Sensitivity:
Endogenous

MW (kDa):
40

Source/Isotype:
Rabbit IgG

UniProt ID:
#P17936

Entrez-Gene Id:
3486

Product Usage Information

Application Dilution
Western Blotting 1:1000
Immunoprecipitation 1:100
Immunohistochemistry (Paraffin) 1:200 - 1:800
Immunofluorescence (Immunocytochemistry) 1:400 - 1:1600

Storage

Supplied in 10 mM sodium HEPES (pH 7.5), 150 mM NaCl, 100 µg/ml BSA, 50% glycerol and less than 0.02% sodium azide. Store at –20°C. Do not aliquot the antibody.

Specificity/Sensitivity

IGFBP3 (E6C2E) Rabbit Monoclonal Antibody recognizes endogenous levels of total IGFBP3 protein. This antibody does not cross-react with IGFBP1, IGFBP2, IGFBP5, or IGFBP7 protein.

Source / Purification

Monoclonal antibody is produced by immunizing animals with a recombinant protein fragment specific to human IGFBP3 protein.

Background

Insulin-like growth factor (IGF) signaling plays a major role in regulating the proliferation and metabolism of normal and malignant cells. Insulin-like growth factor-binding proteins (IGFBPs) play an integral role in modifying IGF actions in a wide variety of cell types. The six IGFBP family members share a high affinity for IGF binding and are structurally related, but are encoded by distinct genes (1). IGFBPs can exert stimulatory or inhibitory effects by controlling IGF availability through high affinity binding of IGF at the carboxy-terminal domain (2,3). IGFBP3 is the most abundant serum IGFBP and the main mediator for IGF-I bioactivities. IGFBP3 also binds IGF-II, insulin, and other cellular and extracellular components to regulate cell growth, development, and apoptosis through both IGF-dependent and IGF-independent mechanisms (4-8). Research studies describe correlations between increased IGF-I levels and reduced levels of IGFBP3 with increased risks of developing cancer, including breast, colon, lung, and prostate cancer (2).

Species Reactivity

Species reactivity is determined by testing in at least one approved application (e.g., western blot).

Western Blot Buffer

IMPORTANT: For western blots, incubate membrane with diluted primary antibody in 5% w/v BSA, 1X TBS, 0.1% Tween® 20 at 4°C with gentle shaking, overnight.

Applications Key

W: Western Blotting IP: Immunoprecipitation IHC-P: Immunohistochemistry (Paraffin) IF-IC: Immunofluorescence (Immunocytochemistry)

Cross-Reactivity Key

H: Human

Trademarks and Patents

Cell Signaling Technology is a trademark of Cell Signaling Technology, Inc.

SignalStain is a registered trademark of Cell Signaling Technology, Inc.

All other trademarks are the property of their respective owners. Visit cellsignal.com/trademarks for more information.

Limited Uses

Except as otherwise expressly agreed in a writing signed by a legally authorized representative of CST, the following terms apply to Products provided by CST, its affiliates or its distributors. Any Customer's terms and conditions that are in addition to, or different from, those contained herein, unless separately accepted in writing by a legally authorized representative of CST, are rejected and are of no force or effect.

Products are labeled with For Research Use Only or a similar labeling statement and have not been approved, cleared, or licensed by the FDA or other regulatory foreign or domestic entity, for any purpose. Customer shall not use any Product for any diagnostic or therapeutic purpose, or otherwise in any manner that conflicts with its labeling statement. Products sold or licensed by CST are provided for Customer as the end-user and solely for research and development uses. Any use of Product for diagnostic, prophylactic or therapeutic purposes, or any purchase of Product for resale (alone or as a component) or other commercial purpose, requires a separate license from CST. Customer shall (a) not sell, license, loan, donate or otherwise transfer or make available any Product to any third party, whether alone or in combination with other materials, or use the Products to manufacture any commercial products, (b) not copy, modify, reverse engineer, decompile, disassemble or otherwise attempt to discover the underlying structure or technology of the Products, or use the Products for the purpose of developing any products or services that would compete with CST products or services, (c) not alter or remove from the Products any trademarks, trade names, logos, patent or copyright notices or markings, (d) use the Products solely in accordance with CST Product Terms of Sale and any applicable documentation, and (e) comply with any license, terms of service or similar agreement with respect to any third party products or services used by Customer in connection with the Products.

Orders: 877-616-CELL (2355) [email protected] Support: 877-678-TECH (8324) [email protected] Web: cellsignal.com
For Research Use Only. Not for Use in Diagnostic Procedures.

Revision 1

Cell Signaling Technology Logo
Western blot analysis of extracts from various cell lines using IGFBP3 (E6C2E) Rabbit mAb (upper) and GAPDH (D16H11) XP® Rabbit mAb #5174 (lower). The absence of IGFBP3 protein in HT-29 cells is consistent with mRNA expression profiles reported in public bioinformatic databases, confirming specificity of the antibody for IGFBP3.
Western Blotting Image 1: IGFBP3 (E6C2E) Rabbit Monoclonal Antibody
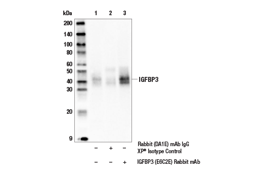
Immunoprecipitation of IGFBP3 protein from HCC1937 cell extracts. Lane 1 is 10% input, lane 2 is Rabbit (DA1E) mAb IgG XP® Isotype Control #3900, and lane 3 is IGFBP3 (E6C2E) Rabbit mAb. Western blot analysis was performed using IGFBP3 (E6C2E) Rabbit mAb. Mouse Anti-rabbit IgG (Conformation Specific) (L27A9) mAb (HRP Conjugate) #5127 was used as the secondary antibody.
Immunoprecipitation Image 1: IGFBP3 (E6C2E) Rabbit Monoclonal Antibody
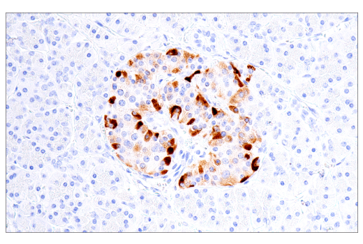
Immunohistochemical analysis of paraffin-embedded normal human pancreas using IGFBP3 (E6C2E) Rabbit mAb.
Immunohistochemistry Image 1: IGFBP3 (E6C2E) Rabbit Monoclonal Antibody
Orders: 877-616-CELL (2355) [email protected] Support: 877-678-TECH (8324) [email protected] Web: cellsignal.com
For Research Use Only. Not for Use in Diagnostic Procedures.

Revision 1

Cell Signaling Technology Logo
Immunohistochemical analysis of paraffin-embedded normal human kidney using IGFBP3 (E6C2E) Rabbit mAb.
Immunohistochemistry Image 2: IGFBP3 (E6C2E) Rabbit Monoclonal Antibody
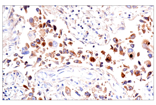
Immunohistochemical analysis of paraffin-embedded human urothelial carcinoma using IGFBP3 (E6C2E) Rabbit mAb.
Immunohistochemistry Image 3: IGFBP3 (E6C2E) Rabbit Monoclonal Antibody
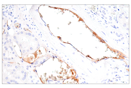
Immunohistochemical analysis of paraffin-embedded human renal cell carcinoma using IGFBP3 (E6C2E) Rabbit mAb.
Immunohistochemistry Image 4: IGFBP3 (E6C2E) Rabbit Monoclonal Antibody
Orders: 877-616-CELL (2355) [email protected] Support: 877-678-TECH (8324) [email protected] Web: cellsignal.com
For Research Use Only. Not for Use in Diagnostic Procedures.

Revision 1

Cell Signaling Technology Logo
Immunohistochemical analysis of paraffin-embedded human endometroid carcinoma using IGFBP3 (E6C2E) Rabbit mAb.
Immunohistochemistry Image 5: IGFBP3 (E6C2E) Rabbit Monoclonal Antibody
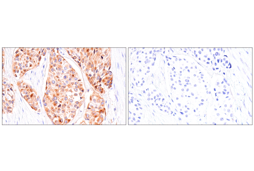
Immunohistochemical analysis of paraffin-embedded human urothelial carcinoma using IGFBP3 (E6C2E) Rabbit mAb (left) compared to concentration-matched Rabbit (DA1E) mAb IgG XP® Isotype Control #3900 (right). 
Immunohistochemistry Image 6: IGFBP3 (E6C2E) Rabbit Monoclonal Antibody
Immunohistochemical analysis of paraffin-embedded HCC1937 cell pellet (left, positive) or HT-29 cell pellet (right, negative) using IGFBP3 (E6C2E) Rabbit mAb.
Immunohistochemistry Image 7: IGFBP3 (E6C2E) Rabbit Monoclonal Antibody
Orders: 877-616-CELL (2355) [email protected] Support: 877-678-TECH (8324) [email protected] Web: cellsignal.com
For Research Use Only. Not for Use in Diagnostic Procedures.

Revision 1

Cell Signaling Technology Logo
Confocal immunofluorescent analysis of HCC1937 cells (left, positive) and HT-29 cells (right, negative) using IGFBP3 (E6C2E) Rabbit mAb (green), DyLight™ 650 Phalloidin #12956 (red), and DAPI #4083 (blue).
Immunofluorescence Image 1: IGFBP3 (E6C2E) Rabbit Monoclonal Antibody
Orders: 877-616-CELL (2355) [email protected] Support: 877-678-TECH (8324) [email protected] Web: cellsignal.com
For Research Use Only. Not for Use in Diagnostic Procedures.