Revision 1

#64162

Store at -20C

CST Logo
Orders:

877-616-CELL (2355)

[email protected]

Support:

877-678-TECH (8324)

3 Trask Lane | Danvers | Massachusetts | 01923 | USA

For Research Use Only. Not for Use in Diagnostic Procedures.

Applications:
W, IHC-P, IF-F

Reactivity:
H R

Sensitivity:
Endogenous

MW (kDa):
150

Source/Isotype:
Rabbit IgG

UniProt ID:
#Q86Y26

Entrez-Gene Id:
256646

Product Usage Information

This product is the carrier-free version of product #3625. All data were generated using the same antibody clone in the standard formulation which contains BSA and glycerol.

This formulation is ideal for use with technologies requiring specialized or custom antibody labeling, including fluorophores, metals, lanthanides, and oligonucleotides. It is not recommended for ChIP, ChIP-seq, CUT&RUN, or CUT&Tag assays. If you require a carrier-free formulation for chromatin profiling, please contact us. Optimal dilutions/concentrations should be determined by the end user.

BSA and Azide Free antibodies are quality control tested by size exclusion chromatography (SEC) to determine antibody integrity.

Formulation

Supplied in 1X PBS (10 mM Na2HPO4, 3 mM KCl, 2 mM KH2PO4, and 140 mM NaCl (pH 7.8)). BSA and Azide Free.

For standard formulation of this product see product #3625.

Storage

Store at -20°C. This product will freeze at -20°C so it is recommended to aliquot into single-use vials to avoid multiple freeze/thaw cycles. A slight precipitate may be present and can be dissolved by gently vortexing. This will not interfere with antibody performance.

Specificity/Sensitivity

NUT (C52B1) Rabbit Monoclonal Antibody (BSA and Azide Free) detects endogenous levels of total NUT protein. This antibody also detects endogenous levels of the BRD4-NUT fusion protein found in NUT midline carcinoma (NMC).

Species predicted to react based on 100% sequence homology

Monkey

Source / Purification

Monoclonal antibody is produced by immunizing animals with a recombinant protein corresponding to human NUT protein.

Background

Nuclear protein in testis (NUT) is normally confined to the germ cells of the testis and ovary (1,2). NUT midline carcinoma (NMC) is a recently recognized cancer that is defined by the presence of chromosomal rearrangements involving the NUT gene on chromosome 15q14 (3). In most cases the chromosomal translocation occurs between NUT and BRD4 on chromosome 19, resulting in the formation of a BRD4-NUT fusion protein. In the remaining tumors, variant NUT rearrangements are present involving BRD3, a very close homolog of BRD4. BRD4-NUT and BRD3-NUT encode fusion proteins that appear to contribute to carcinogenesis by blocking epithelial cell differentiation. NMCs, which are aggressive and highly lethal carcinomas, are morphologically indistinguishable from other poorly differentiated carcinomas. Given the limited expression of endogenous NUT protein, this antibody can be used to detect NUT fusion proteins in tissues by immunohistochemistry and immunofluorescence (2).

Species Reactivity

Species reactivity is determined by testing in at least one approved application (e.g., western blot).

Applications Key

W: Western Blotting IHC-P: Immunohistochemistry (Paraffin) IF-F: Immunofluorescence (Frozen)

Cross-Reactivity Key

H: Human R: Rat

Trademarks and Patents

Cell Signaling Technology is a trademark of Cell Signaling Technology, Inc.

U.S. Patent No. 7,429,487, foreign equivalents, and child patents deriving therefrom.

All other trademarks are the property of their respective owners. Visit cellsignal.com/trademarks for more information.

Limited Uses

Except as otherwise expressly agreed in a writing signed by a legally authorized representative of CST, the following terms apply to Products provided by CST, its affiliates or its distributors. Any Customer's terms and conditions that are in addition to, or different from, those contained herein, unless separately accepted in writing by a legally authorized representative of CST, are rejected and are of no force or effect.

Products are labeled with For Research Use Only or a similar labeling statement and have not been approved, cleared, or licensed by the FDA or other regulatory foreign or domestic entity, for any purpose. Customer shall not use any Product for any diagnostic or therapeutic purpose, or otherwise in any manner that conflicts with its labeling statement. Products sold or licensed by CST are provided for Customer as the end-user and solely for research and development uses. Any use of Product for diagnostic, prophylactic or therapeutic purposes, or any purchase of Product for resale (alone or as a component) or other commercial purpose, requires a separate license from CST. Customer shall (a) not sell, license, loan, donate or otherwise transfer or make available any Product to any third party, whether alone or in combination with other materials, or use the Products to manufacture any commercial products, (b) not copy, modify, reverse engineer, decompile, disassemble or otherwise attempt to discover the underlying structure or technology of the Products, or use the Products for the purpose of developing any products or services that would compete with CST products or services, (c) not alter or remove from the Products any trademarks, trade names, logos, patent or copyright notices or markings, (d) use the Products solely in accordance with CST Product Terms of Sale and any applicable documentation, and (e) comply with any license, terms of service or similar agreement with respect to any third party products or services used by Customer in connection with the Products.

Orders: 877-616-CELL (2355) [email protected] Support: 877-678-TECH (8324) [email protected] Web: cellsignal.com
For Research Use Only. Not for Use in Diagnostic Procedures.

Revision 1

Cell Signaling Technology Logo
Western blot analysis of extracts from rat and human testis using NUT (C52B1) Rabbit mAb. Data were generated using the standard formulation of this product.
Western Blotting Image 1: NUT (C52B1) Rabbit Monoclonal Antibody (BSA and Azide Free)
Western blot analysis of extracts from rat testis and NUT midline carcinoma (NMC) cells using NUT (C52B1) Rabbit mAb. Data were generated using the standard formulation of this product.
Western Blotting Image 2: NUT (C52B1) Rabbit Monoclonal Antibody (BSA and Azide Free)
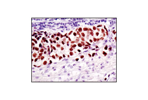
Immunohistochemical analysis of paraffin-embedded normal human testes using NUT (C52B1) Rabbit mAb. Data were generated using the standard formulation of this product.
Immunohistochemistry Image 1: NUT (C52B1) Rabbit Monoclonal Antibody (BSA and Azide Free)
Orders: 877-616-CELL (2355) [email protected] Support: 877-678-TECH (8324) [email protected] Web: cellsignal.com
For Research Use Only. Not for Use in Diagnostic Procedures.

Revision 1

Cell Signaling Technology Logo
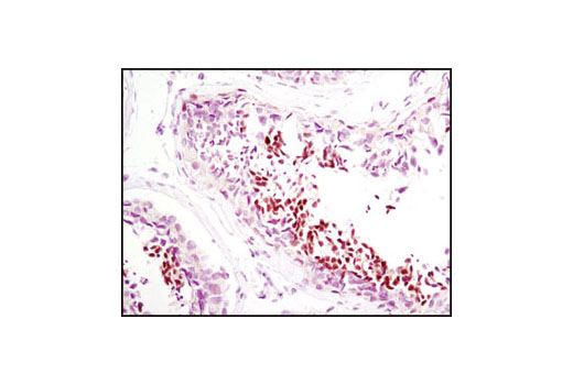
Immunohistochemical analysis of paraffin-embedded human midline carcinoma using NUT (C52B1) Rabbit mAb. Data were generated using the standard formulation of this product.
Immunohistochemistry Image 2: NUT (C52B1) Rabbit Monoclonal Antibody (BSA and Azide Free)
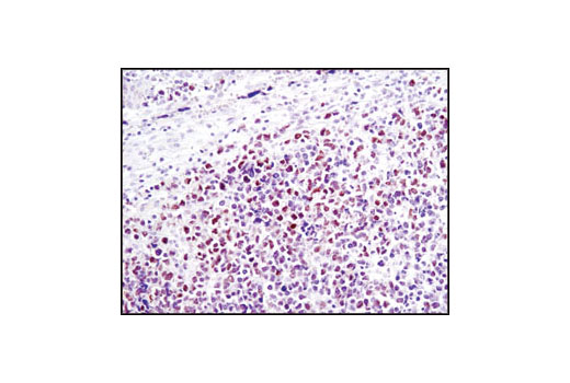
Immunohistochemical analsysis of paraffin-embedded human midline carcinoma using NUT (C52B1) Rabbit mAb. Data were generated using the standard formulation of this product.
Immunohistochemistry Image 3: NUT (C52B1) Rabbit Monoclonal Antibody (BSA and Azide Free)
Confocal immunofluorescent analysis of rat testes using NUT (C52B1) Rabbit mAb (green) and Pan-Keratin (C11) Mouse mAb #4545 (red). Blue pseudocolor = DRAQ5® #4084 (fluorescent DNA dye). Data were generated using the standard formulation of this product.
Immunofluorescence Image 1: NUT (C52B1) Rabbit Monoclonal Antibody (BSA and Azide Free)
Orders: 877-616-CELL (2355) [email protected] Support: 877-678-TECH (8324) [email protected] Web: cellsignal.com
For Research Use Only. Not for Use in Diagnostic Procedures.