Revision 5

#64718

Store at -20C

CST Logo
Orders:

877-616-CELL (2355)

[email protected]

Support:

877-678-TECH (8324)

3 Trask Lane | Danvers | Massachusetts | 01923 | USA

For Research Use Only. Not for Use in Diagnostic Procedures.

Applications:
W, IP, IHC-P, IF-IC, FC-FP

Reactivity:
H

Sensitivity:
Endogenous

MW (kDa):
19

Source/Isotype:
Rabbit IgG

UniProt ID:
#Q16655

Entrez-Gene Id:
2315

Product Usage Information

Application Dilution
Western Blotting 1:1000
Immunoprecipitation 1:50
Immunohistochemistry (Paraffin) 1:200
Immunofluorescence (Immunocytochemistry) 1:800
Flow Cytometry (Fixed/Permeabilized) 1:50 - 1:200

Storage

Supplied in 10 mM sodium HEPES (pH 7.5), 150 mM NaCl, 100 µg/ml BSA, 50% glycerol and less than 0.02% sodium azide. Store at –20°C. Do not aliquot the antibody.

For a carrier free (BSA and azide free) version of this product see product #73236.

Specificity/Sensitivity

MLANA/MART-1 (E9Q4O) Rabbit Monoclonal Antibody recognizes endogenous levels of total MLANA/MART-1 protein.

Source / Purification

Monoclonal antibody is produced by immunizing animals with a synthetic peptide corresponding to residues near the carboxy terminus of human MLANA/MART-1 protein.

Background

MLANA, also known as MART-1, is a member of a melanocyte lineage-specific family of proteins. It is expressed in melanocytes, retinal pigment epithelium, and melanoma cells. Its function is not entirely understood, but it is believed to be involved in the stability of GPR143, as well as the stability, trafficking, and processing of PMEL; both proteins are involved in the formation of stage II melanosomes (1). In melanosomes, MLANA is specifically located in the trans-Golgi network, however conformational changes to the protein or a sub-population of the protein causes it to localize back to the ER and small endosomal vesicles (2). In the context of melanoma cells, the conformational change is thought to be caused by aberrant exposure of epitopes, which are recognized by cytolytic T-lymphocytes (3). MLANA may be useful as a marker of metastatic melanoma (4). MHC-II restricted phospho-MLANA peptides, which are recognized by CD4 cells, are being investigated as potential candidates for cancer immunotherapy (5).

Species Reactivity

Species reactivity is determined by testing in at least one approved application (e.g., western blot).

Western Blot Buffer

IMPORTANT: For western blots, incubate membrane with diluted primary antibody in 5% w/v BSA, 1X TBS, 0.1% Tween® 20 at 4°C with gentle shaking, overnight.

Applications Key

W: Western Blotting IP: Immunoprecipitation IHC-P: Immunohistochemistry (Paraffin) IF-IC: Immunofluorescence (Immunocytochemistry) FC-FP: Flow Cytometry (Fixed/Permeabilized)

Cross-Reactivity Key

H: Human

Trademarks and Patents

Cell Signaling Technology is a trademark of Cell Signaling Technology, Inc.

SignalStain is a registered trademark of Cell Signaling Technology, Inc.

All other trademarks are the property of their respective owners. Visit cellsignal.com/trademarks for more information.

Limited Uses

Except as otherwise expressly agreed in a writing signed by a legally authorized representative of CST, the following terms apply to Products provided by CST, its affiliates or its distributors. Any Customer's terms and conditions that are in addition to, or different from, those contained herein, unless separately accepted in writing by a legally authorized representative of CST, are rejected and are of no force or effect.

Products are labeled with For Research Use Only or a similar labeling statement and have not been approved, cleared, or licensed by the FDA or other regulatory foreign or domestic entity, for any purpose. Customer shall not use any Product for any diagnostic or therapeutic purpose, or otherwise in any manner that conflicts with its labeling statement. Products sold or licensed by CST are provided for Customer as the end-user and solely for research and development uses. Any use of Product for diagnostic, prophylactic or therapeutic purposes, or any purchase of Product for resale (alone or as a component) or other commercial purpose, requires a separate license from CST. Customer shall (a) not sell, license, loan, donate or otherwise transfer or make available any Product to any third party, whether alone or in combination with other materials, or use the Products to manufacture any commercial products, (b) not copy, modify, reverse engineer, decompile, disassemble or otherwise attempt to discover the underlying structure or technology of the Products, or use the Products for the purpose of developing any products or services that would compete with CST products or services, (c) not alter or remove from the Products any trademarks, trade names, logos, patent or copyright notices or markings, (d) use the Products solely in accordance with CST Product Terms of Sale and any applicable documentation, and (e) comply with any license, terms of service or similar agreement with respect to any third party products or services used by Customer in connection with the Products.

Orders: 877-616-CELL (2355) [email protected] Support: 877-678-TECH (8324) [email protected] Web: cellsignal.com
For Research Use Only. Not for Use in Diagnostic Procedures.

Revision 5

Cell Signaling Technology Logo
Western blot analysis of extracts from various cell lines using MLANA/MART1 (E9Q4O) XP® Rabbit mAb (upper) and β-Actin (D6A8) Rabbit mAb #8457 (lower). Expression in OVCAR3 is negative or low, as expected.
Western Blotting Image 1: MLANA/MART-1 (E9Q4O) Rabbit Monoclonal Antibody
Immunoprecipitation of MLANA/MART1 protein from SK-MEL-28 cell extracts. Lane 1 is 10% input, lane 2 is Rabbit (DA1E) mAb IgG XP® Isotype Control #3900, and lane 3 is MLANA/MART1 (E9Q4O) XP® Rabbit mAb. Western blot analysis was performed using MLANA/MART1 (E9Q4O) XP® Rabbit mAb.
Immunoprecipitation Image 1: MLANA/MART-1 (E9Q4O) Rabbit Monoclonal Antibody
Immunohistochemical analysis of paraffin-embedded SK-MEL-28 cell pellet (left, positive) or OVCAR3 cell pellet (right, negative) using MLANA/MART-1 (E9Q4O) XP® Rabbit mAb.
Immunohistochemistry Image 1: MLANA/MART-1 (E9Q4O) Rabbit Monoclonal Antibody
Orders: 877-616-CELL (2355) [email protected] Support: 877-678-TECH (8324) [email protected] Web: cellsignal.com
For Research Use Only. Not for Use in Diagnostic Procedures.

Revision 5

Cell Signaling Technology Logo
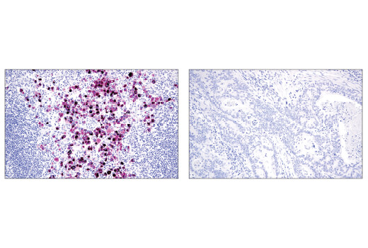
Immunohistochemical analysis of paraffin-embedded human melanoma (left, positive) or colon carcinoma (right, negative) using MLANA/MART-1 (E9Q4O) XP® Rabbit mAb.
Immunohistochemistry Image 2: MLANA/MART-1 (E9Q4O) Rabbit Monoclonal Antibody
Immunohistochemical analysis of paraffin-embedded human skin using MLANA/MART-1 (E9Q4O) XP® Rabbit mAb.
Immunohistochemistry Image 3: MLANA/MART-1 (E9Q4O) Rabbit Monoclonal Antibody
Confocal immunofluorescent analysis of SK-MEL-2 (left, positive) and OVCAR3 (right, negative) using MLANA/MART-1 (E9Q4O) XP® Rabbit mAb (green). Actin filaments were labeled with DyLight™ 554 Phalloidin #13054 (red). Blue pseudocolor = DRAQ5® #4084 (fluorescent DNA dye).
Immunofluorescence Image 1: MLANA/MART-1 (E9Q4O) Rabbit Monoclonal Antibody
Orders: 877-616-CELL (2355) [email protected] Support: 877-678-TECH (8324) [email protected] Web: cellsignal.com
For Research Use Only. Not for Use in Diagnostic Procedures.

Revision 5

Cell Signaling Technology Logo
Flow cytometric analysis of OVCAR3 cells (blue, negative) and SK-MEL-28 cells (green, positive) using MLANA/MART-1 (E9Q4O) XP® Rabbit mAb (solid lines) or concentration-matched Rabbit (DA1E) mAb IgG XP® Isotype Control #3900 (dashed lines). Anti-rabbit IgG (H+L), F(ab')2 Fragment (Alexa Fluor® 488 Conjugate) #4412 was used as a secondary antibody.
Flow Cytometry Image 1: MLANA/MART-1 (E9Q4O) Rabbit Monoclonal Antibody
Orders: 877-616-CELL (2355) [email protected] Support: 877-678-TECH (8324) [email protected] Web: cellsignal.com
For Research Use Only. Not for Use in Diagnostic Procedures.