Revision 1

#65647

Store at -20C

CST Logo
Orders:

877-616-CELL (2355)

[email protected]

Support:

877-678-TECH (8324)

3 Trask Lane | Danvers | Massachusetts | 01923 | USA

For Research Use Only. Not for Use in Diagnostic Procedures.

Applications:
W, IP, IHC-P

Reactivity:
H M R Mk

Sensitivity:
Endogenous

MW (kDa):
45

Source/Isotype:
Rabbit IgG

UniProt ID:
#P28289

Entrez-Gene Id:
7111

Product Usage Information

Application Dilution
Western Blotting 1:1000
Immunoprecipitation 1:50
Immunohistochemistry (Paraffin) 1:2560

Storage

Supplied in 10 mM sodium HEPES (pH 7.5), 150 mM NaCl, 100 µg/ml BSA, 50% glycerol and less than 0.02% sodium azide. Store at –20°C. Do not aliquot the antibody.

Specificity/Sensitivity

TMOD1 (E7E3A) Rabbit Monoclonal Antibody recognizes endogenous levels of total TMOD1 protein.

Source / Purification

Monoclonal antibody is produced by immunizing animals with a synthetic peptide corresponding to residues surrounding Val106 of human TMOD1 protein.

Background

Tropomodulin-1 (TMOD1) belongs to a conserved family of cytoskeletal proteins (TMOD1-4) that play an important role in modulating actin cytoskeleton dynamics. TMOD proteins function as actin capping proteins, which stabilize actin filaments by inhibiting both elongation and depolymerization (1). While many proteins have been identified that cap the rapidly growing barbed end of actin filaments, TMODs are the only proteins thus far identified that cap the slowly growing pointed end (2). A research study in triple-negative breast cancer cells identified TMOD1 as a target of NF-κB signaling, and showed that increased TMOD1 expression was associated with enhanced tumor growth in a mouse xenograft model (3). Molecular expression of TMOD1 was also identified as part of a unique gene expression signature that could discriminate ALK-negative anaplastic large-cell lymphoma from other malignancy subtypes (4).

Species Reactivity

Species reactivity is determined by testing in at least one approved application (e.g., western blot).

Western Blot Buffer

IMPORTANT: For western blots, incubate membrane with diluted primary antibody in 5% w/v BSA, 1X TBS, 0.1% Tween® 20 at 4°C with gentle shaking, overnight.

Applications Key

W: Western Blotting IP: Immunoprecipitation IHC-P: Immunohistochemistry (Paraffin)

Cross-Reactivity Key

H: Human M: Mouse R: Rat Mk: Monkey

Trademarks and Patents

Cell Signaling Technology is a trademark of Cell Signaling Technology, Inc.

SignalStain is a registered trademark of Cell Signaling Technology, Inc.

All other trademarks are the property of their respective owners. Visit cellsignal.com/trademarks for more information.

Limited Uses

Except as otherwise expressly agreed in a writing signed by a legally authorized representative of CST, the following terms apply to Products provided by CST, its affiliates or its distributors. Any Customer's terms and conditions that are in addition to, or different from, those contained herein, unless separately accepted in writing by a legally authorized representative of CST, are rejected and are of no force or effect.

Products are labeled with For Research Use Only or a similar labeling statement and have not been approved, cleared, or licensed by the FDA or other regulatory foreign or domestic entity, for any purpose. Customer shall not use any Product for any diagnostic or therapeutic purpose, or otherwise in any manner that conflicts with its labeling statement. Products sold or licensed by CST are provided for Customer as the end-user and solely for research and development uses. Any use of Product for diagnostic, prophylactic or therapeutic purposes, or any purchase of Product for resale (alone or as a component) or other commercial purpose, requires a separate license from CST. Customer shall (a) not sell, license, loan, donate or otherwise transfer or make available any Product to any third party, whether alone or in combination with other materials, or use the Products to manufacture any commercial products, (b) not copy, modify, reverse engineer, decompile, disassemble or otherwise attempt to discover the underlying structure or technology of the Products, or use the Products for the purpose of developing any products or services that would compete with CST products or services, (c) not alter or remove from the Products any trademarks, trade names, logos, patent or copyright notices or markings, (d) use the Products solely in accordance with CST Product Terms of Sale and any applicable documentation, and (e) comply with any license, terms of service or similar agreement with respect to any third party products or services used by Customer in connection with the Products.

Orders: 877-616-CELL (2355) [email protected] Support: 877-678-TECH (8324) [email protected] Web: cellsignal.com
For Research Use Only. Not for Use in Diagnostic Procedures.

Revision 1

Cell Signaling Technology Logo
Western blot analysis of extracts from various cell lines using TMOD1 (E7E3A) XP® Rabbit mAb (upper) and β-Actin (D6A8) Rabbit mAb #8457 (lower).
Western Blotting Image 1: TMOD1 (E7E3A) Rabbit Monoclonal Antibody
Immunoprecipitation of TMOD1 from SH-SY5Y cell extracts. Lane 1 is 10% input, lane 2 is Rabbit (DA1E) mAb IgG XP® Isotype Control #3900, and lane 3 is TMOD1 (E7E3A) XP® Rabbit mAb. Western blot analysis was performed using TMOD1 (E7E3A) XP® Rabbit mAb. Mouse Anti-rabbit IgG (Conformation specific)(L27A9) mAb (HRP Conjugate) #5127 was used as the secondary antibody.
Immunoprecipitation Image 1: TMOD1 (E7E3A) Rabbit Monoclonal Antibody
Immunohistochemical analysis of paraffin-embedded human triple negative breast carcinoma using TMOD1 (E7E3A) XP® Rabbit mAb.
Immunohistochemistry Image 1: TMOD1 (E7E3A) Rabbit Monoclonal Antibody
Orders: 877-616-CELL (2355) [email protected] Support: 877-678-TECH (8324) [email protected] Web: cellsignal.com
For Research Use Only. Not for Use in Diagnostic Procedures.

Revision 1

Cell Signaling Technology Logo
Immunohistochemical analysis of paraffin-embedded HDLM-2 cell pellet (left, positive) or DU 145 cell pellet (right, negative) using TMOD1 (E7E3A) XP® Rabbit mAb.
Immunohistochemistry Image 2: TMOD1 (E7E3A) Rabbit Monoclonal Antibody
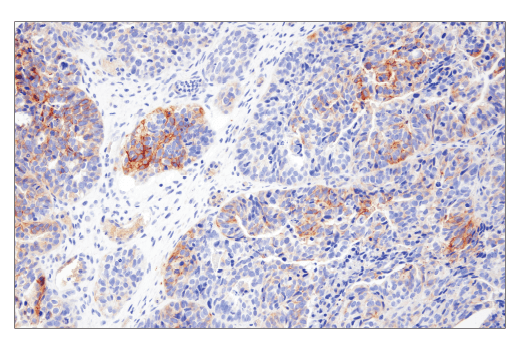
Immunohistochemical analysis of paraffin-embedded human ovarian serous carcinoma using TMOD1 (E7E3A) XP® Rabbit mAb.
Immunohistochemistry Image 3: TMOD1 (E7E3A) Rabbit Monoclonal Antibody
Immunohistochemical analysis of paraffin-embedded human endometrioid adenocarcinoma using TMOD1 (E7E3A) XP® Rabbit mAb.
Immunohistochemistry Image 4: TMOD1 (E7E3A) Rabbit Monoclonal Antibody
Orders: 877-616-CELL (2355) [email protected] Support: 877-678-TECH (8324) [email protected] Web: cellsignal.com
For Research Use Only. Not for Use in Diagnostic Procedures.

Revision 1

Cell Signaling Technology Logo
Immunohistochemical analysis of paraffin-embedded human heart using TMOD1 (E7E3A) XP® Rabbit mAb in the presence of control peptide (left) or antigen-specific peptide (right).
Immunohistochemistry Image 5: TMOD1 (E7E3A) Rabbit Monoclonal Antibody
Immunohistochemical analysis of paraffin-embedded human prostate carcinoma using TMOD1 (E7E3A) XP® Rabbit mAb.
Immunohistochemistry Image 6: TMOD1 (E7E3A) Rabbit Monoclonal Antibody
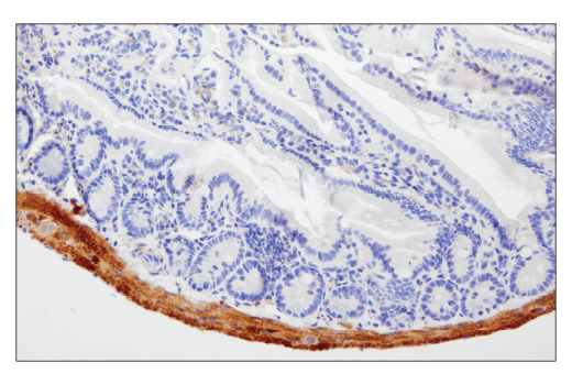
Immunohistochemical analysis of paraffin-embedded mouse small intestine using TMOD1 (E7E3A) XP® Rabbit mAb.
Immunohistochemistry Image 7: TMOD1 (E7E3A) Rabbit Monoclonal Antibody
Orders: 877-616-CELL (2355) [email protected] Support: 877-678-TECH (8324) [email protected] Web: cellsignal.com
For Research Use Only. Not for Use in Diagnostic Procedures.

Revision 1

Cell Signaling Technology Logo
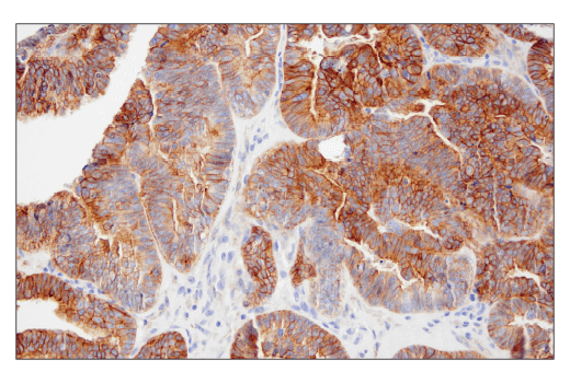
Immunohistochemical analysis of paraffin-embedded human gastric carcinoma using TMOD1 (E7E3A) XP® Rabbit mAb.
Immunohistochemistry Image 8: TMOD1 (E7E3A) Rabbit Monoclonal Antibody
Immunohistochemical analysis of paraffin-embedded mouse heart using TMOD1 (E7E3A) XP® Rabbit mAb.
Immunohistochemistry Image 9: TMOD1 (E7E3A) Rabbit Monoclonal Antibody
Orders: 877-616-CELL (2355) [email protected] Support: 877-678-TECH (8324) [email protected] Web: cellsignal.com
For Research Use Only. Not for Use in Diagnostic Procedures.