Revision 1

#66179

Store at -20C

Neutrophil Elastase (E8U3X) & CO-0137-647 SignalStar Oligo-Antibody Pair

1 Kit

(10 tests)

UniProt ID:
#Q3UP87

Entrez-Gene Id:
#50701

CST Logo
Orders:

877-616-CELL (2355)

[email protected]

Support:

877-678-TECH (8324)

3 Trask Lane | Danvers | Massachusetts | 01923 | USA

For Research Use Only. Not for Use in Diagnostic Procedures.

Product Includes Product # Volume Reactivity Isotype
Neutrophil Elastase (E8U3X) Rabbit mAb (SignalStar™ Conjugate 0137)5109550 µlMRabbit IgG
Complementary Oligo (CO-0137-647)6670622 µl

Storage

SignalStar conjugates are supplied in PBS (pH 7.2), less than 0.1% sodium azide, 2 mM EDTA, 0.05% Triton X-100, 2 mg/mL BSA, and 50% glycerol. Complementary oligos are supplied in nuclease-free water. Store at -20°C. Do not aliquot the antibody. All components in this kit are stable for at least 12 months when stored at the recommended temperature.

Description

SignalStar multiplex immunohistochemistry (IHC) is an advanced technology for labeling multiple proteins simultaneously in tissue samples using specific primary antibodies and fluorescent detection reagents. This technology offers accuracy and reliability in visualizing and analyzing protein expression while maintaining spatial context and tissue architecture.

SignalStar Oligo-Antibody Pairs are compatible with the SignalStar Multiplex IHC Buffer Kits for use in fluorescent multiplex imaging experiments. This product includes the oligo-conjugated antibodies and complementary oligos required for labeling your target protein on up to 10 slides. SignalStar Multiplex IHC Buffer Kits are required to amplify and image the target signal. Multiple oligo-antibody pairs can be conveniently combined into a multiplex panel using the SignalStar Multiplex IHC Panel Builder. SignalStar Multiplex IHC Kits & Reagents are not compatible with all of Cell Signaling Technology® products and protocols that are recommended for use in immunohistochemical assays.

Specificity/Sensitivity

Neutrophil Elastase (E8U3X) Rabbit mAb (SignalStar™ Conjugate 0137) recognizes endogenous levels of total neutrophil elastase protein. This antibody does not cross-react with human neutrophil elastase protein. Non-specific staining was observed in the vas deferens by immunohistochemistry.

Source / Purification

Monoclonal antibody is produced by immunizing animals with full-length recombinant protein specific to mouse neutrophil elastase protein.

Background

Neutrophil elastase is a hematopoietic serine protease that belongs to the chymotrypsin superfamily and plays a critical role in the innate immune function of mature neutrophils and monocytes (1,2). Neutrophil elastase is actively synthesized as an inactive zymogen in myelocytic precursor cells of the bone marrow, which then undergoes activation by limited proteolysis and sorting to primary (azurophil) storage granules of mature neutrophil granulocytes for regulated release (3,4). Research studies have shown that neutrophils play a significant role in mediating the inflammatory response through the release of neutrophil elastase, which activates pro-inflammatory cytokines and degrades components of the extracellular matrix and Gram-negative bacteria (5). Mutations in the gene encoding neutrophil elastase, ELA2, have been implicated in hematological diseases such as cyclic and severe congenital neutropenia, which is characterized by defects in promyelocyte maturation (6,7).

Species Reactivity

Species reactivity is determined by testing in at least one approved application (e.g., western blot).

Trademarks and Patents

Cell Signaling Technology is a trademark of Cell Signaling Technology, Inc.

SignalStar is a registered trademark of Cell Signaling Technology, Inc.

U.S. Patent No. 10,781,477, foreign equivalents, and child patents deriving therefrom.

All other trademarks are the property of their respective owners. Visit cellsignal.com/trademarks for more information.

Limited Uses

Except as otherwise expressly agreed in a writing signed by a legally authorized representative of CST, the following terms apply to Products provided by CST, its affiliates or its distributors. Any Customer's terms and conditions that are in addition to, or different from, those contained herein, unless separately accepted in writing by a legally authorized representative of CST, are rejected and are of no force or effect.

Products are labeled with For Research Use Only or a similar labeling statement and have not been approved, cleared, or licensed by the FDA or other regulatory foreign or domestic entity, for any purpose. Customer shall not use any Product for any diagnostic or therapeutic purpose, or otherwise in any manner that conflicts with its labeling statement. Products sold or licensed by CST are provided for Customer as the end-user and solely for research and development uses. Any use of Product for diagnostic, prophylactic or therapeutic purposes, or any purchase of Product for resale (alone or as a component) or other commercial purpose, requires a separate license from CST. Customer shall (a) not sell, license, loan, donate or otherwise transfer or make available any Product to any third party, whether alone or in combination with other materials, or use the Products to manufacture any commercial products, (b) not copy, modify, reverse engineer, decompile, disassemble or otherwise attempt to discover the underlying structure or technology of the Products, or use the Products for the purpose of developing any products or services that would compete with CST products or services, (c) not alter or remove from the Products any trademarks, trade names, logos, patent or copyright notices or markings, (d) use the Products solely in accordance with CST Product Terms of Sale and any applicable documentation, and (e) comply with any license, terms of service or similar agreement with respect to any third party products or services used by Customer in connection with the Products.

Orders: 877-616-CELL (2355) [email protected] Support: 877-678-TECH (8324) [email protected] Web: cellsignal.com
For Research Use Only. Not for Use in Diagnostic Procedures.

Revision 1

Cell Signaling Technology Logo
SignalStar™ multiplex immunohistochemical analysis of paraffin-embedded mouse spleen using Neutrophil Elastase (E8U3X) Rabbit mAb (488; yellow), Cleaved PARP (Asp214) (D6X6X) Rabbit mAb (647; magenta), CD3ε (E4T1B) Rabbit mAb (488; green), CD20 (E3N7O) Rabbit mAb (594; red), Ki-67 (D3B5) Rabbit mAb (750; cyan), and DAPI #4083 (blue). Staining was performed on the BOND RX autostainer by Leica Biosystems.
Immunohistochemistry Image 1: Neutrophil Elastase (E8U3X) & CO-0137-647 SignalStar<sup>™</sup> Oligo-Antibody Pair
SignalStar™ multiplex immunohistochemical analysis of paraffin-embedded mouse colon using Neutrophil Elastase (E8U3X) Rabbit mAb (488; green) and DAPI #4083 (blue). Staining was performed on the BOND RX autostainer by Leica Biosystems.
Immunohistochemistry Image 2: Neutrophil Elastase (E8U3X) & CO-0137-647 SignalStar<sup>™</sup> Oligo-Antibody Pair
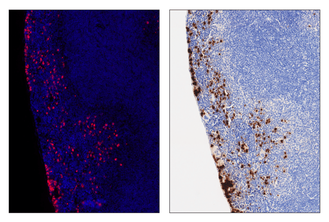
SignalStar™ multiplex immunohistochemical analysis of paraffin-embedded mouse spleen using Neutrophil Elastase (E8U3X) Rabbit mAb (left, 647; red) and DAPI #4083 (left, blue) compared to chromogenic immunohistochemical analysis of a serial section of paraffin-embedded mouse spleen using Neutrophil Elastase (E8U3X) Rabbit mAb #90120 (right). Staining was performed on the BOND RX autostainer by Leica Biosystems.
Immunohistochemistry Image 3: Neutrophil Elastase (E8U3X) & CO-0137-647 SignalStar<sup>™</sup> Oligo-Antibody Pair
Orders: 877-616-CELL (2355) [email protected] Support: 877-678-TECH (8324) [email protected] Web: cellsignal.com
For Research Use Only. Not for Use in Diagnostic Procedures.

Revision 1

Cell Signaling Technology Logo
SignalStar™ multiplex immunohistochemical analysis of paraffin-embedded mouse lung using Neutrophil Elastase (E8U3X) Rabbit mAb (594; yellow) and DAPI #4083 (blue).
Immunohistochemistry Image 1: Neutrophil Elastase (E8U3X) & CO-0137-647 SignalStar<sup>™</sup> Oligo-Antibody Pair
Orders: 877-616-CELL (2355) [email protected] Support: 877-678-TECH (8324) [email protected] Web: cellsignal.com
For Research Use Only. Not for Use in Diagnostic Procedures.