Revision 1

#66968

Store at -20C

CST Logo
Orders:

877-616-CELL (2355)

[email protected]

Support:

877-678-TECH (8324)

3 Trask Lane | Danvers | Massachusetts | 01923 | USA

For Research Use Only. Not for Use in Diagnostic Procedures.

Applications:
W, IHC-P, IF-IC, FC-FP

Reactivity:
H M R Hm Mk B Dg

Sensitivity:
Endogenous

MW (kDa):
42, 55

Source/Isotype:
Rabbit IgG

UniProt ID:
#P50750

Entrez-Gene Id:
1025

Product Usage Information

This product is the carrier free version of product #2316. All data were generated using the same antibody clone in the standard formulation which contains BSA and glycerol.

This formulation is ideal for use with technologies requiring specialized or custom antibody labeling, including fluorophores, metals, lanthanides, and oligonucleotides. It is not recommended for ChIP, ChIP-seq, CUT&RUN or CUT&Tag assays. If you require a carrier free formulation for chromatin profiling, please contact us. Optimal dilutions/concentrations should be determined by the end user.

BSA and Azide Free antibodies are quality control tested by size exclusion chromatography (SEC) to determine antibody integrity.

Formulation

Supplied in 1X PBS (10 mM Na2HPO4, 3 mM KCl, 2 mM KH2PO4, and 140 mM NaCl (pH 7.8)). BSA and Azide Free.

For standard formulation of this product see product #2316

Storage

Store at -20°C. This product will freeze at -20°C so it is recommended to aliquot into single-use vials to avoid multiple freeze/thaw cycles. A slight precipitate may be present and can be dissolved by gently vortexing. This will not interfere with antibody performance.

Specificity/Sensitivity

CDK9 (C12F7) Rabbit Monoclonal Antibody (BSA and Azide Free) detects endogenous levels of total CDK9 protein, both 42 kDa and 55 kDa isoforms.

Source / Purification

Monoclonal antibody is produced by immunizing animals with a synthetic peptide corresponding to residues near the carboxy terminus of human CDK9.

Background

P-TEFb is a general transcription factor that regulates transcription elongation through phosphorylation of the C-terminal tail domain (CTD) of RNA polymerase II (RNAP II). The P-TEFb complex is composed of a catalytic subunit, CDK9, and its regulatory cyclin partner, which can be cyclin T1, T2a, T2b or K (reviewed in 1,2). P-TEFb is recruited by the HIV Tat protein to allow transcriptional elongation, and subsequent replication of the viral genome. Inhibition of P-TEFb function therefore has potential for HIV therapy. CDK9 exists as two isoforms, an abundant 42 kDa isoform, and a less abundant 55 kDa isoform, which contains an amino-terminal extension (3). The two forms likely have distinct purposes based on differential expression during lymphocyte activation (4,5) and on their localization within the nucleus (5).
Cyclin dependent kinases (CDKs) are activated in part by cyclin binding and by phosphorylation of a conserved threonine in the T-loop domain. Phosphorylation of CDK9 at the T-loop Thr186 by an unidentified nuclear kinase may be important in P-TEFb activation (6) and regulation of HIV transcription (7). Acetylation of CDK9 at Lys44 affects its ability to phosphorylate the RNAPII CTD (8).

Species Reactivity

Species reactivity is determined by testing in at least one approved application (e.g., western blot).

Applications Key

W: Western Blotting IHC-P: Immunohistochemistry (Paraffin) IF-IC: Immunofluorescence (Immunocytochemistry) FC-FP: Flow Cytometry (Fixed/Permeabilized)

Cross-Reactivity Key

H: Human M: Mouse R: Rat Hm: Hamster Mk: Monkey B: Bovine Dg: Dog

Trademarks and Patents

Cell Signaling Technology is a trademark of Cell Signaling Technology, Inc.

U.S. Patent No. 7,429,487, foreign equivalents, and child patents deriving therefrom.

All other trademarks are the property of their respective owners. Visit cellsignal.com/trademarks for more information.

Limited Uses

Except as otherwise expressly agreed in a writing signed by a legally authorized representative of CST, the following terms apply to Products provided by CST, its affiliates or its distributors. Any Customer's terms and conditions that are in addition to, or different from, those contained herein, unless separately accepted in writing by a legally authorized representative of CST, are rejected and are of no force or effect.

Products are labeled with For Research Use Only or a similar labeling statement and have not been approved, cleared, or licensed by the FDA or other regulatory foreign or domestic entity, for any purpose. Customer shall not use any Product for any diagnostic or therapeutic purpose, or otherwise in any manner that conflicts with its labeling statement. Products sold or licensed by CST are provided for Customer as the end-user and solely for research and development uses. Any use of Product for diagnostic, prophylactic or therapeutic purposes, or any purchase of Product for resale (alone or as a component) or other commercial purpose, requires a separate license from CST. Customer shall (a) not sell, license, loan, donate or otherwise transfer or make available any Product to any third party, whether alone or in combination with other materials, or use the Products to manufacture any commercial products, (b) not copy, modify, reverse engineer, decompile, disassemble or otherwise attempt to discover the underlying structure or technology of the Products, or use the Products for the purpose of developing any products or services that would compete with CST products or services, (c) not alter or remove from the Products any trademarks, trade names, logos, patent or copyright notices or markings, (d) use the Products solely in accordance with CST Product Terms of Sale and any applicable documentation, and (e) comply with any license, terms of service or similar agreement with respect to any third party products or services used by Customer in connection with the Products.

Orders: 877-616-CELL (2355) [email protected] Support: 877-678-TECH (8324) [email protected] Web: cellsignal.com
For Research Use Only. Not for Use in Diagnostic Procedures.

Revision 1

Cell Signaling Technology Logo
Western blot analysis of extracts from various cell types using CDK9 (C12F7) Rabbit mAb. Data were generated using the standard formulation of this product.
Western Blotting Image 1: CDK9 (C12F7) Rabbit Monoclonal Antibody (BSA and Azide Free)
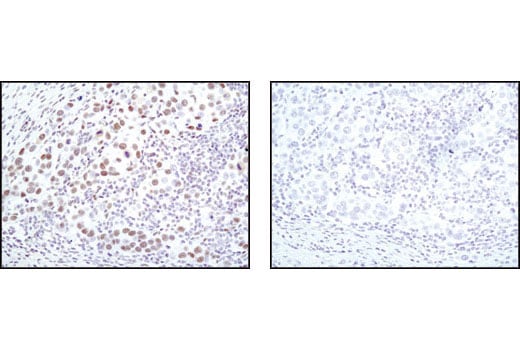
Immunohistochemical analysis of paraffin-embedded human breast carcinoma using CDK9 (C12F7) Rabbit mAb in the presence of control peptide (left) or antigen specific peptide (right). Data were generated using the standard formulation of this product.
Immunohistochemistry Image 1: CDK9 (C12F7) Rabbit Monoclonal Antibody (BSA and Azide Free)
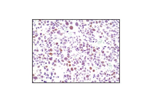
Immunohistochemical analysis of paraffin-embedded K7M2 mouse syngeneic tumor using CDK9 (C12F7) Rabbit mAb. Data were generated using the standard formulation of this product.
Immunohistochemistry Image 2: CDK9 (C12F7) Rabbit Monoclonal Antibody (BSA and Azide Free)
Orders: 877-616-CELL (2355) [email protected] Support: 877-678-TECH (8324) [email protected] Web: cellsignal.com
For Research Use Only. Not for Use in Diagnostic Procedures.

Revision 1

Cell Signaling Technology Logo
Confocal immunofluorescent analysis of HeLa cells using CDK9 (C12F7) Rabbit mAb (green). Actin filaments have been labeled with DY-555 phalloidin (red). Data were generated using the standard formulation of this product.
Immunofluorescence Image 1: CDK9 (C12F7) Rabbit Monoclonal Antibody (BSA and Azide Free)
Flow cytometric analysis of HeLa cells using CDK9 (C12F7) Rabbit mAb (solid line) compared to concentration-matched Rabbit (DA1E) mAb IgG XP® Isotype Control #3900 (dashed line). Anti-rabbit IgG (H+L), F(ab')2 Fragment (Alexa Fluor® 488 Conjugate) #4412 was used as a secondary antibody. Data were generated using the standard formulation of this product.
Flow Cytometry Image 1: CDK9 (C12F7) Rabbit Monoclonal Antibody (BSA and Azide Free)
Orders: 877-616-CELL (2355) [email protected] Support: 877-678-TECH (8324) [email protected] Web: cellsignal.com
For Research Use Only. Not for Use in Diagnostic Procedures.