Revision 8

#67955

Store at -20C

CST Logo
Orders:

877-616-CELL (2355)

[email protected]

Support:

877-678-TECH (8324)

3 Trask Lane | Danvers | Massachusetts | 01923 | USA

For Research Use Only. Not for Use in Diagnostic Procedures.

Applications:
W, IP, IHC-P, IF-IC, FC-FP

Reactivity:
H

Sensitivity:
Endogenous

MW (kDa):
55

Source/Isotype:
Rabbit IgG

UniProt ID:
#P20248

Entrez-Gene Id:
890

Product Usage Information

Application Dilution
Western Blotting 1:1000
Immunoprecipitation 1:100
Immunohistochemistry (Paraffin) 1:800 - 1:3200
Immunofluorescence (Immunocytochemistry) 1:400 - 1:1600
Flow Cytometry (Fixed/Permeabilized) 1:400 - 1:1600

Storage

Supplied in 10 mM sodium HEPES (pH 7.5), 150 mM NaCl, 100 µg/ml BSA, 50% glycerol and less than 0.02% sodium azide. Store at –20°C. Do not aliquot the antibody.

For a carrier free (BSA and azide free) version of this product see product #29113.

Specificity/Sensitivity

Cyclin A2 (E6D1J) Rabbit Monoclonal Antibody recognizes endogenous levels of total cyclin A2 protein.

Source / Purification

Monoclonal antibody is produced by immunizing animals with recombinant protein specific to the amino terminus of human cyclin A2 protein. The epitope corresponds to a region surrounding Glu121 of human cyclin A2.

Background

While overcoming the G1/S checkpoint to commence DNA replication requires cyclin E, and traversing the G2/M checkpoint to initiate mitosis requires cyclin B to be present, cyclin A seems to be required for both S-phase and M-phase (1). A number of studies have described the ability of overexpressed cyclin A to accelerate the G1 to S transition, causing DNA replication, and cyclin A antisense DNA can prevent DNA replication (2-4). Cyclin A availability is apparently the rate-limiting step for entry into mitosis, and cyclin A is required for the completion of prophase (5). At late prophase, cyclin A may no longer be necessary as cdc2/cyclinB1 becomes active (5).

Species Reactivity

Species reactivity is determined by testing in at least one approved application (e.g., western blot).

Western Blot Buffer

IMPORTANT: For western blots, incubate membrane with diluted primary antibody in 5% w/v BSA, 1X TBS, 0.1% Tween® 20 at 4°C with gentle shaking, overnight.

Applications Key

W: Western Blotting IP: Immunoprecipitation IHC-P: Immunohistochemistry (Paraffin) IF-IC: Immunofluorescence (Immunocytochemistry) FC-FP: Flow Cytometry (Fixed/Permeabilized)

Cross-Reactivity Key

H: Human

Trademarks and Patents

Cell Signaling Technology is a trademark of Cell Signaling Technology, Inc.

Alexa Fluor is a registered trademark of Life Technologies Corporation.

All other trademarks are the property of their respective owners. Visit cellsignal.com/trademarks for more information.

Limited Uses

Except as otherwise expressly agreed in a writing signed by a legally authorized representative of CST, the following terms apply to Products provided by CST, its affiliates or its distributors. Any Customer's terms and conditions that are in addition to, or different from, those contained herein, unless separately accepted in writing by a legally authorized representative of CST, are rejected and are of no force or effect.

Products are labeled with For Research Use Only or a similar labeling statement and have not been approved, cleared, or licensed by the FDA or other regulatory foreign or domestic entity, for any purpose. Customer shall not use any Product for any diagnostic or therapeutic purpose, or otherwise in any manner that conflicts with its labeling statement. Products sold or licensed by CST are provided for Customer as the end-user and solely for research and development uses. Any use of Product for diagnostic, prophylactic or therapeutic purposes, or any purchase of Product for resale (alone or as a component) or other commercial purpose, requires a separate license from CST. Customer shall (a) not sell, license, loan, donate or otherwise transfer or make available any Product to any third party, whether alone or in combination with other materials, or use the Products to manufacture any commercial products, (b) not copy, modify, reverse engineer, decompile, disassemble or otherwise attempt to discover the underlying structure or technology of the Products, or use the Products for the purpose of developing any products or services that would compete with CST products or services, (c) not alter or remove from the Products any trademarks, trade names, logos, patent or copyright notices or markings, (d) use the Products solely in accordance with CST Product Terms of Sale and any applicable documentation, and (e) comply with any license, terms of service or similar agreement with respect to any third party products or services used by Customer in connection with the Products.

Orders: 877-616-CELL (2355) [email protected] Support: 877-678-TECH (8324) [email protected] Web: cellsignal.com
For Research Use Only. Not for Use in Diagnostic Procedures.

Revision 8

Cell Signaling Technology Logo
Western blot analysis of extracts from various human cell lines, untreated (-) or treated with Aphidicolin #32774 (10 μg/mL, 24 hr; +) or Doxorubicin #5927 (0.5 μM, 24 hr; +), using Cyclin A2 (E6D1J) XP® Rabbit mAb (upper) or GAPDH (D16H11) XP® Rabbit mAb #5174 (lower). Cyclin A2 protein is induced with aphidicolin and reduced with doxorubicin as expected. Low expression of cyclin A2 protein in Caki-1 cells is consistent with the predicted expression pattern.
Western Blotting Image 1: Cyclin A2 (E6D1J) Rabbit Monoclonal Antibody
Western blot analysis of extracts from HCT 116 cells, transfected with control siRNA (-) or cyclin A2 siRNA (+), using Cyclin A2 (E6D1J) XP® Rabbit mAb (upper) or GAPDH (D16H11) XP® Rabbit mAb #5174 (lower).
Western Blotting Image 2: Cyclin A2 (E6D1J) Rabbit Monoclonal Antibody
Immunoprecipitation of cyclin A2 protein from HCT 116 cell extracts. Lane 1 is 10% input, lane 2 is Rabbit (DA1E) mAb IgG XP® Isotype Control #3900, and lane 3 is Cyclin A2 (E6D1J) XP® Rabbit mAb. Western blot analysis was performed using Cyclin A2 (E6D1J) XP® Rabbit mAb. Mouse Anti-Rabbit IgG (Light-Chain Specific) (D4W3E) mAb (HRP Conjugate) #93702 was used as the secondary antibody.
Immunoprecipitation Image 1: Cyclin A2 (E6D1J) Rabbit Monoclonal Antibody
Orders: 877-616-CELL (2355) [email protected] Support: 877-678-TECH (8324) [email protected] Web: cellsignal.com
For Research Use Only. Not for Use in Diagnostic Procedures.

Revision 8

Cell Signaling Technology Logo
Immunohistochemical analysis of paraffin-embedded human urothelial carcinoma using Cyclin A2 (E6D1J) XP® Rabbit mAb.
Immunohistochemistry Image 1: Cyclin A2 (E6D1J) Rabbit Monoclonal Antibody
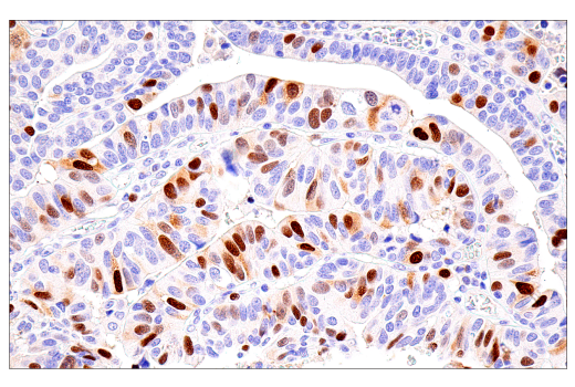
Immunohistochemical analysis of paraffin-embedded human colon carcinoma using Cyclin A2 (E6D1J) XP® Rabbit mAb.
Immunohistochemistry Image 2: Cyclin A2 (E6D1J) Rabbit Monoclonal Antibody
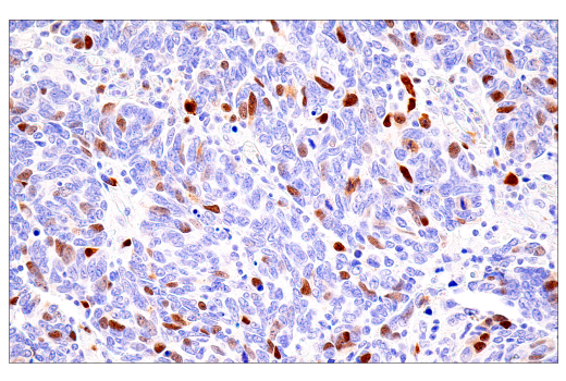
Immunohistochemical analysis of paraffin-embedded human non-small cell lung carcinoma using Cyclin A2 (E6D1J) XP® Rabbit mAb.
Immunohistochemistry Image 3: Cyclin A2 (E6D1J) Rabbit Monoclonal Antibody
Orders: 877-616-CELL (2355) [email protected] Support: 877-678-TECH (8324) [email protected] Web: cellsignal.com
For Research Use Only. Not for Use in Diagnostic Procedures.

Revision 8

Cell Signaling Technology Logo
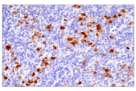
Immunohistochemical analysis of paraffin-embedded human non-Hodgkin lymphoma using Cyclin A2 (E6D1J) XP® Rabbit mAb.
Immunohistochemistry Image 4: Cyclin A2 (E6D1J) Rabbit Monoclonal Antibody
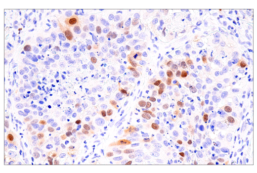
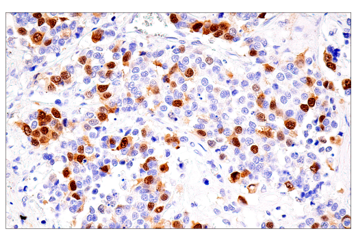
Immunohistochemical analysis of paraffin-embedded human large cell neuroendocrine carcinoma using Cyclin A2 (E6D1J) XP® Rabbit mAb.
Immunohistochemistry Image 5: Cyclin A2 (E6D1J) Rabbit Monoclonal Antibody
Immunohistochemical analysis of paraffin-embedded human small cell carcinoma of the salivary gland using Cyclin A2 (E6D1J) XP® Rabbit mAb.
Immunohistochemistry Image 6: Cyclin A2 (E6D1J) Rabbit Monoclonal Antibody
Orders: 877-616-CELL (2355) [email protected] Support: 877-678-TECH (8324) [email protected] Web: cellsignal.com
For Research Use Only. Not for Use in Diagnostic Procedures.

Revision 8

Cell Signaling Technology Logo
Immunohistochemical analysis of paraffin-embedded normal human thymus using Cyclin A2 (E6D1J) XP® Rabbit mAb.
Immunohistochemistry Image 7: Cyclin A2 (E6D1J) Rabbit Monoclonal Antibody
Immunohistochemical analysis of paraffin-embedded human endometrioid adenocarcinoma using Cyclin A2 (E6D1J) XP® Rabbit mAb (left) compared to concentration-matched Rabbit (DA1E) mAb IgG XP® Isotype Control #3900 (right). 
Immunohistochemistry Image 8: Cyclin A2 (E6D1J) Rabbit Monoclonal Antibody
Immunohistochemical analysis of paraffin-embedded HT-29 cell pellets, untreated (left) or treated with Aphidicolin #32774 (10 µg/ml, 24 hr; right), using Cyclin A2 (E6D1J) XP® Rabbit mAb.
Immunohistochemistry Image 9: Cyclin A2 (E6D1J) Rabbit Monoclonal Antibody
Orders: 877-616-CELL (2355) [email protected] Support: 877-678-TECH (8324) [email protected] Web: cellsignal.com
For Research Use Only. Not for Use in Diagnostic Procedures.

Revision 8

Cell Signaling Technology Logo
Confocal immunofluorescent analysis of HCT 116 cells, either mock transfected (left, moderate-expressing), transfected with siRNA directed against human cyclin A2 (center, low-expressing), or treated with Aphidicolin #32774 (10 µg/mL, 24 hr; right, high-expressing), using Cyclin A2 (E6D1J) XP® Rabbit mAb (green), DyLight™ 650 Phalloidin #12956 (red), and DAPI #4083 (blue).
Immunofluorescence Image 1: Cyclin A2 (E6D1J) Rabbit Monoclonal Antibody
Flow cytometric analysis of Jurkat cells using DRAQ5® #4084 and Cyclin A2 (E6D1J) XP® Rabbit mAb (right) or concentration-matched Rabbit (DA1E) mAb IgG XP® Isotype Control #3900 (left). Anti-rabbit IgG (H+L), F(ab')2 Fragment (Alexa Fluor 488® Conjugate) #4412 was used as a secondary antibody.
Flow Cytometry Image 1: Cyclin A2 (E6D1J) Rabbit Monoclonal Antibody
Orders: 877-616-CELL (2355) [email protected] Support: 877-678-TECH (8324) [email protected] Web: cellsignal.com
For Research Use Only. Not for Use in Diagnostic Procedures.