Revision 5

#68186

Store at -20C

CST Logo
Orders:

877-616-CELL (2355)

[email protected]

Support:

877-678-TECH (8324)

3 Trask Lane | Danvers | Massachusetts | 01923 | USA

For Research Use Only. Not for Use in Diagnostic Procedures.

Applications:
W, IHC-P

Reactivity:
M

Sensitivity:
Endogenous

MW (kDa):
130

Source/Isotype:
Rabbit IgG

UniProt ID:
#P29477

Entrez-Gene Id:
18126

Product Usage Information

Application Dilution
Western Blotting 1:1000
Immunohistochemistry (Paraffin) 1:600 - 1:2400

Storage

Supplied in 10 mM sodium HEPES (pH 7.5), 150 mM NaCl, 100 µg/mL BSA, 50% glycerol, and less than 0.02% sodium azide. Store at –20°C. Do not aliquot the antibody.

For a carrier free (BSA and azide free) version of this product see product #70706.

Specificity/Sensitivity

iNOS (E1W4J) Rabbit Monoclonal Antibody recognizes endogenous levels of total iNOS protein. This antibody detects non-specific bands of unknown origin in cell extracts at 25 kDa, 45 kDa, and 80 kDa.

Source / Purification

Monoclonal antibody is produced by immunizing animals with a synthetic peptide corresponding to residues surrounding Asp864 of mouse iNOS protein.

Background

Nitric Oxide Synthase (NOS) catalyzes the formation of nitric oxide (NO) and citrulline from L-arginine, oxygen, and cofactors. Three family members have been characterized: neuronal NOS (nNOS), which is found primarily in neuronal tissue; inducible NOS (iNOS), which is induced by interferon gamma and lipopolysaccharides in the kidney and cardiovascular system; and endothelial NOS (eNOS), which is expressed in blood vessels (1). NO is a messenger molecule with diverse functions throughout the body, including the maintenance of vascular integrity, homeostasis, synaptic plasticity, long-term potentiation, learning, and memory (2,3).

NO catalyzed by iNOS is involved in host defense against protozoa, bacteria, fungi, and viruses. Unlike constitutively expressed eNOS and nNos, iNOS is not usually expressed in quiescent cells. iNOS is transcriptionally induced in response to bacterial endotoxins, such as LPS and proinflammatory cytokines, in macrophages and various other cell types. Transcription factors involved in iNOS transcription include NF-κB, AP-1, and STAT. Different signaling pathways either promote (Jak1/2, PKC, c-Raf, p38 MAP kinase, and p44/42 MAP kinase) or inhibit (PI3 kinase) iNOS expression depending on stimulus and cell type (4).

Species Reactivity

Species reactivity is determined by testing in at least one approved application (e.g., western blot).

Western Blot Buffer

IMPORTANT: For western blots, incubate membrane with diluted primary antibody in 5% w/v BSA, 1X TBS, 0.1% Tween® 20 at 4°C with gentle shaking, overnight.

Applications Key

W: Western Blotting IHC-P: Immunohistochemistry (Paraffin)

Cross-Reactivity Key

M: Mouse

Trademarks and Patents

Cell Signaling Technology is a trademark of Cell Signaling Technology, Inc.

SignalStain is a registered trademark of Cell Signaling Technology, Inc.

All other trademarks are the property of their respective owners. Visit cellsignal.com/trademarks for more information.

Limited Uses

Except as otherwise expressly agreed in a writing signed by a legally authorized representative of CST, the following terms apply to Products provided by CST, its affiliates or its distributors. Any Customer's terms and conditions that are in addition to, or different from, those contained herein, unless separately accepted in writing by a legally authorized representative of CST, are rejected and are of no force or effect.

Products are labeled with For Research Use Only or a similar labeling statement and have not been approved, cleared, or licensed by the FDA or other regulatory foreign or domestic entity, for any purpose. Customer shall not use any Product for any diagnostic or therapeutic purpose, or otherwise in any manner that conflicts with its labeling statement. Products sold or licensed by CST are provided for Customer as the end-user and solely for research and development uses. Any use of Product for diagnostic, prophylactic or therapeutic purposes, or any purchase of Product for resale (alone or as a component) or other commercial purpose, requires a separate license from CST. Customer shall (a) not sell, license, loan, donate or otherwise transfer or make available any Product to any third party, whether alone or in combination with other materials, or use the Products to manufacture any commercial products, (b) not copy, modify, reverse engineer, decompile, disassemble or otherwise attempt to discover the underlying structure or technology of the Products, or use the Products for the purpose of developing any products or services that would compete with CST products or services, (c) not alter or remove from the Products any trademarks, trade names, logos, patent or copyright notices or markings, (d) use the Products solely in accordance with CST Product Terms of Sale and any applicable documentation, and (e) comply with any license, terms of service or similar agreement with respect to any third party products or services used by Customer in connection with the Products.

Orders: 877-616-CELL (2355) [email protected] Support: 877-678-TECH (8324) [email protected] Web: cellsignal.com
For Research Use Only. Not for Use in Diagnostic Procedures.

Revision 5

Cell Signaling Technology Logo
Western blot analysis of extracts from RAW 264.7 cells, untreated (-) or treated with Lipopolysaccharides (LPS) #14011 (1 μg/mL, 7 hr; +), using iNOS (E1W4J) Rabbit mAb (upper) or β-Actin (D6A8) Rabbit mAb #8457 (lower).
Western Blotting Image 1: iNOS (E1W4J) Rabbit Monoclonal Antibody
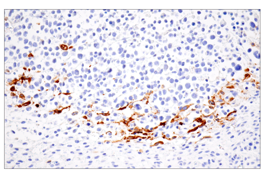
Immunohistochemical analysis of paraffin-embedded 4T1 syngeneic tumor using iNOS (E1W4J) Rabbit mAb.
Immunohistochemistry Image 1: iNOS (E1W4J) Rabbit Monoclonal Antibody
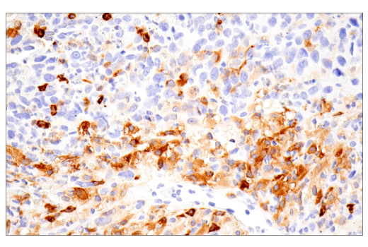
Immunohistochemical analysis of paraffin-embedded A20 syngeneic tumor using iNOS (E1W4J) Rabbit mAb.
Immunohistochemistry Image 2: iNOS (E1W4J) Rabbit Monoclonal Antibody
Orders: 877-616-CELL (2355) [email protected] Support: 877-678-TECH (8324) [email protected] Web: cellsignal.com
For Research Use Only. Not for Use in Diagnostic Procedures.

Revision 5

Cell Signaling Technology Logo
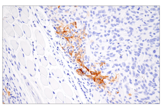
Immunohistochemical analysis of paraffin-embedded GL261 syngeneic tumor using iNOS (E1W4J) Rabbit mAb.
Immunohistochemistry Image 3: iNOS (E1W4J) Rabbit Monoclonal Antibody
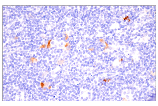
Immunohistochemical analysis of paraffin-embedded mouse thymus using iNOS (E1W4J) Rabbit mAb.
Immunohistochemistry Image 4: iNOS (E1W4J) Rabbit Monoclonal Antibody
Immunohistochemical analysis of paraffin-embedded 4T1 syngeneic mammary tumor using iNOS (E1W4J) Rabbit mAb (left) compared to concentration-matched Rabbit (DA1E) mAb IgG XP® Isotype Control #3900 (right).
Immunohistochemistry Image 5: iNOS (E1W4J) Rabbit Monoclonal Antibody
Orders: 877-616-CELL (2355) [email protected] Support: 877-678-TECH (8324) [email protected] Web: cellsignal.com
For Research Use Only. Not for Use in Diagnostic Procedures.

Revision 5

Cell Signaling Technology Logo
Immunohistochemical analysis of paraffin-embedded RAW 264.7 cell pellet, untreated (left, negative) or treated with Lipopolysaccharides (LPS) #14011 (right, positive), using iNOS (E1W4J) Rabbit mAb.
Immunohistochemistry Image 6: iNOS (E1W4J) Rabbit Monoclonal Antibody
Orders: 877-616-CELL (2355) [email protected] Support: 877-678-TECH (8324) [email protected] Web: cellsignal.com
For Research Use Only. Not for Use in Diagnostic Procedures.