Revision 3

#68775

Store at -20C

CST Logo
Orders:

877-616-CELL (2355)

[email protected]

Support:

877-678-TECH (8324)

3 Trask Lane | Danvers | Massachusetts | 01923 | USA

For Research Use Only. Not for Use in Diagnostic Procedures.

Applications:
W, IHC-P, IF-IC

Reactivity:
H M Mk

Sensitivity:
Endogenous

MW (kDa):
150

Source/Isotype:
Rabbit IgG

UniProt ID:
#Q96HA1

Entrez-Gene Id:
9883

Product Usage Information

Application Dilution
Western Blotting 1:1000
Immunohistochemistry (Paraffin) 1:50 - 1:200
Immunofluorescence (Immunocytochemistry) 1:200 - 1:800

Storage

Supplied in 10 mM sodium HEPES (pH 7.5), 150 mM NaCl, 100 µg/mL BSA, 50% glycerol, and less than 0.02% sodium azide. Store at –20°C. Do not aliquot the antibody.

Specificity/Sensitivity

POM121 (E3W3J) Rabbit Monoclonal Antibody recognizes endogenous levels of total POM121 protein. This antibody detects all POM121 protein variants, including POM121A, POM121B, and POM121C.

Source / Purification

Monoclonal antibody is produced by immunizing animals with a synthetic peptide corresponding to residues near the carboxy terminus of human POM121 protein.

Background

The nuclear pore complex (NPC) is a multi-subunit protein channel that spans the nuclear envelope and is responsible for the nucleocytoplasmic trafficking of RNA, proteins, and ribonucleoproteins (1,2). POM121, also referred to as nucleoporin Nup121, is a transmembrane nuclear protein that is an essential component of the NPC. POM121 expression is increased in aggressive, lethal prostate cancer and contributes to cancer progression and aggressiveness by enhancing the nuclear import of oncogenic transcription factors, such as E2F1, MYC, and GATA2, allowing for the upregulation of target genes (3). Elevated levels of POM121 have also been associated with poor outcome in patients with colorectal, lung, and laryngeal cancers, and it may serve as a prognostic biomarker for these cancer types (4-6).

Species Reactivity

Species reactivity is determined by testing in at least one approved application (e.g., western blot).

Western Blot Buffer

IMPORTANT: For western blots, incubate membrane with diluted primary antibody in 5% w/v nonfat dry milk, 1X TBS, 0.1% Tween® 20 at 4°C with gentle shaking, overnight.

Applications Key

W: Western Blotting IHC-P: Immunohistochemistry (Paraffin) IF-IC: Immunofluorescence (Immunocytochemistry)

Cross-Reactivity Key

H: Human M: Mouse Mk: Monkey

Trademarks and Patents

Cell Signaling Technology is a trademark of Cell Signaling Technology, Inc.

All other trademarks are the property of their respective owners. Visit cellsignal.com/trademarks for more information.

Limited Uses

Except as otherwise expressly agreed in a writing signed by a legally authorized representative of CST, the following terms apply to Products provided by CST, its affiliates or its distributors. Any Customer's terms and conditions that are in addition to, or different from, those contained herein, unless separately accepted in writing by a legally authorized representative of CST, are rejected and are of no force or effect.

Products are labeled with For Research Use Only or a similar labeling statement and have not been approved, cleared, or licensed by the FDA or other regulatory foreign or domestic entity, for any purpose. Customer shall not use any Product for any diagnostic or therapeutic purpose, or otherwise in any manner that conflicts with its labeling statement. Products sold or licensed by CST are provided for Customer as the end-user and solely for research and development uses. Any use of Product for diagnostic, prophylactic or therapeutic purposes, or any purchase of Product for resale (alone or as a component) or other commercial purpose, requires a separate license from CST. Customer shall (a) not sell, license, loan, donate or otherwise transfer or make available any Product to any third party, whether alone or in combination with other materials, or use the Products to manufacture any commercial products, (b) not copy, modify, reverse engineer, decompile, disassemble or otherwise attempt to discover the underlying structure or technology of the Products, or use the Products for the purpose of developing any products or services that would compete with CST products or services, (c) not alter or remove from the Products any trademarks, trade names, logos, patent or copyright notices or markings, (d) use the Products solely in accordance with CST Product Terms of Sale and any applicable documentation, and (e) comply with any license, terms of service or similar agreement with respect to any third party products or services used by Customer in connection with the Products.

Orders: 877-616-CELL (2355) [email protected] Support: 877-678-TECH (8324) [email protected] Web: cellsignal.com
For Research Use Only. Not for Use in Diagnostic Procedures.

Revision 3

Cell Signaling Technology Logo
Western blot analysis of extracts from various cell lines using POM121 (E3W3J) Rabbit mAb (upper) or β-Actin (D6A8) Rabbit mAb #8457 (lower).
Western Blotting Image 1: POM121 (E3W3J) Rabbit Monoclonal Antibody
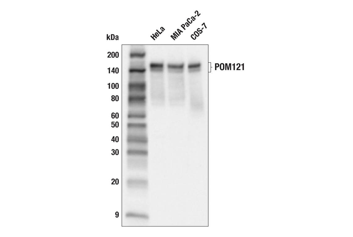
Western blot analysis of extracts from HeLa, MIA PaCa-2, and COS-7 cells using POM121 (E3W3J) Rabbit mAb.
Western Blotting Image 2: POM121 (E3W3J) Rabbit Monoclonal Antibody
Western blot analysis of extracts from 293T cells, mock transfected (-) or transfected with a construct expressing Myc-tagged full-length human POM121A (hPOM121A; +), Myc-tagged full-length human POM121B (hPOM121B; +), or Myc-tagged full-length human POM121C (hPOM121C; +), using POM121 (E3W3J) Rabbit mAb (upper), Myc-Tag (71D10) Rabbit mAb #2278 (middle), or β-Actin (D6A8) Rabbit mAb #8457 (lower).
Western Blotting Image 3: POM121 (E3W3J) Rabbit Monoclonal Antibody
Orders: 877-616-CELL (2355) [email protected] Support: 877-678-TECH (8324) [email protected] Web: cellsignal.com
For Research Use Only. Not for Use in Diagnostic Procedures.

Revision 3

Cell Signaling Technology Logo
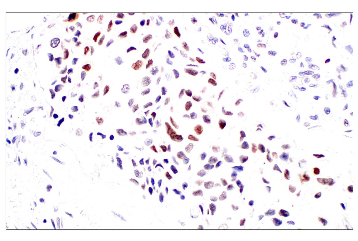
Immunohistochemical analysis of paraffin-embedded human squamous cell lung carcinoma using POM121 (E3W3J) Rabbit mAb.
Immunohistochemistry Image 1: POM121 (E3W3J) Rabbit Monoclonal Antibody
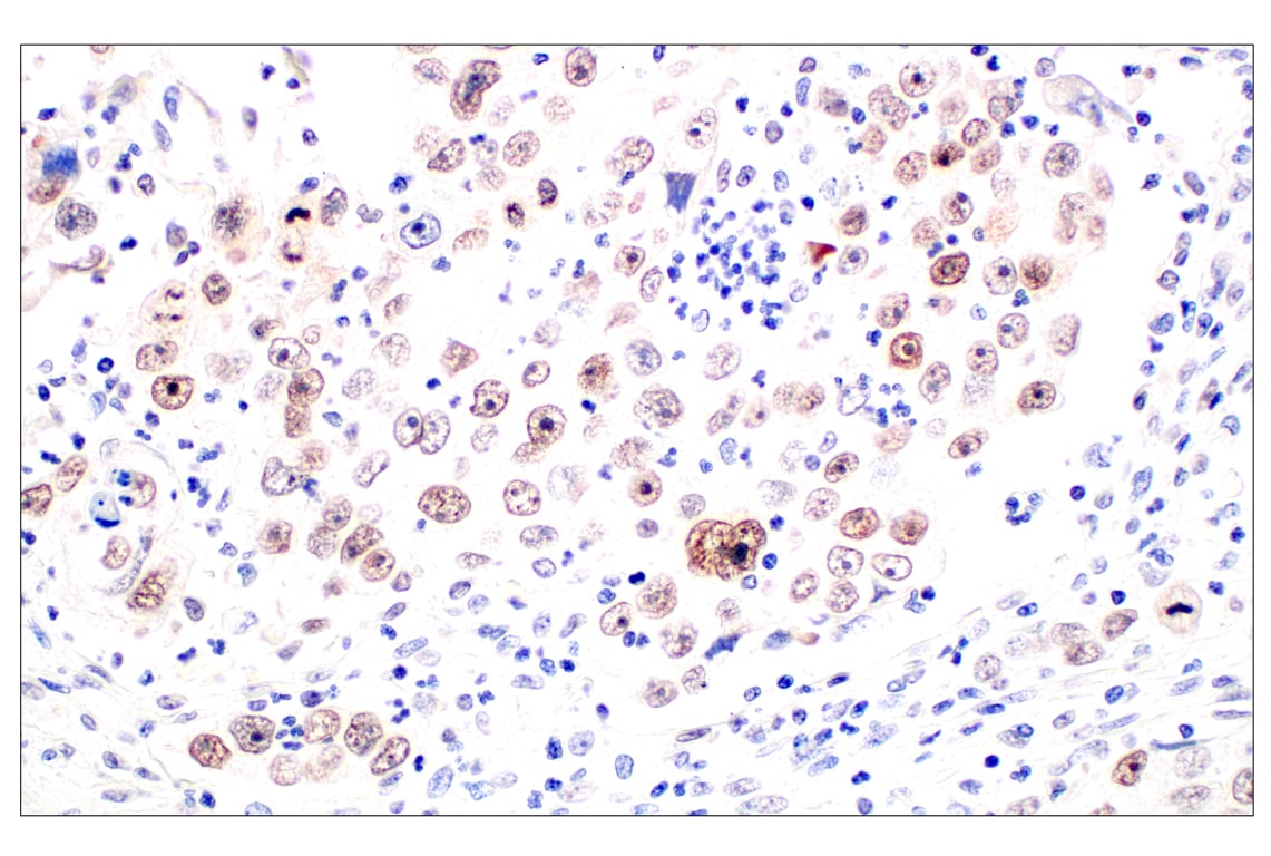
Immunohistochemical analysis of paraffin-embedded human hepatocellular carcinoma using POM121 (E3W3J) Rabbit mAb.
Immunohistochemistry Image 2: POM121 (E3W3J) Rabbit Monoclonal Antibody
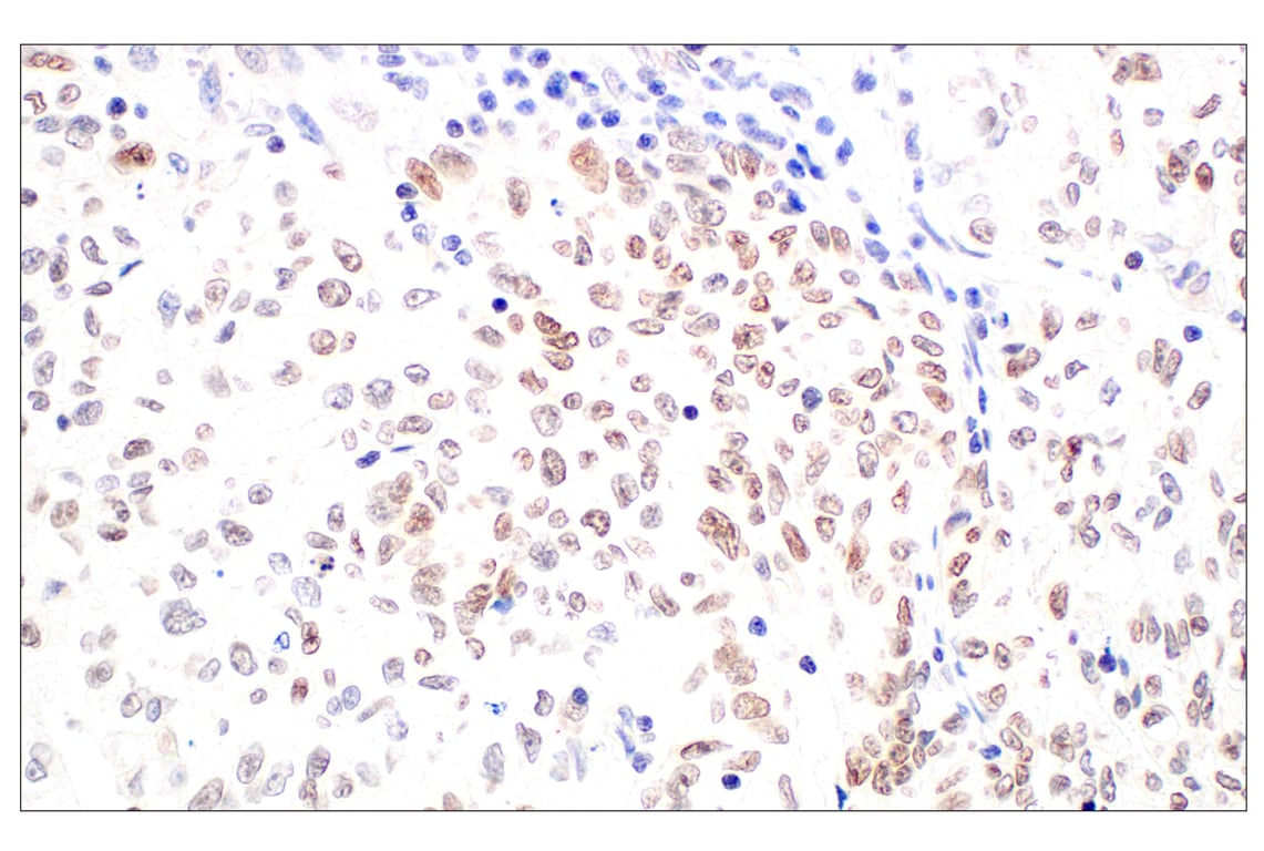
Immunohistochemical analysis of paraffin-embedded human urothelial carcinoma using POM121 (E3W3J) Rabbit mAb.
Immunohistochemistry Image 3: POM121 (E3W3J) Rabbit Monoclonal Antibody
Orders: 877-616-CELL (2355) [email protected] Support: 877-678-TECH (8324) [email protected] Web: cellsignal.com
For Research Use Only. Not for Use in Diagnostic Procedures.

Revision 3

Cell Signaling Technology Logo

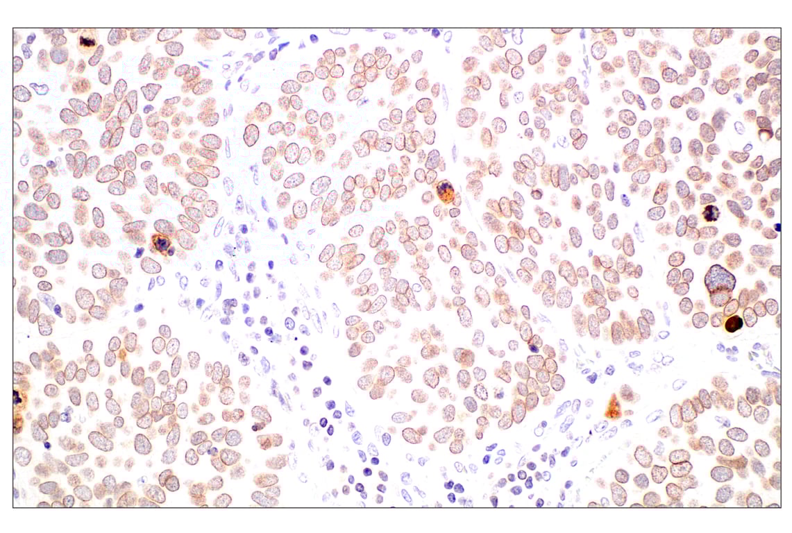
Immunohistochemical analysis of paraffin-embedded human colon carcinoma using POM121 (E3W3J) Rabbit mAb.

Immunohistochemistry Image 4: POM121 (E3W3J) Rabbit Monoclonal Antibody
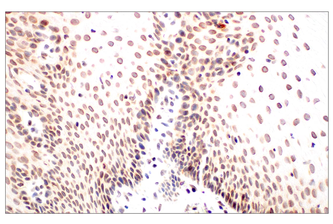
Immunohistochemical analysis of paraffin-embedded normal human esophagus using POM121 (E3W3J) Rabbit mAb.
Immunohistochemistry Image 5: POM121 (E3W3J) Rabbit Monoclonal Antibody
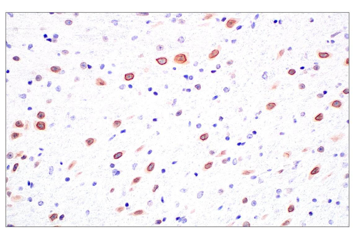
Immunohistochemical analysis of paraffin-embedded mouse brain using POM121 (E3W3J) Rabbit mAb.
Immunohistochemistry Image 6: POM121 (E3W3J) Rabbit Monoclonal Antibody
Orders: 877-616-CELL (2355) [email protected] Support: 877-678-TECH (8324) [email protected] Web: cellsignal.com
For Research Use Only. Not for Use in Diagnostic Procedures.

Revision 3

Cell Signaling Technology Logo
Immunohistochemical analysis of paraffin-embedded mouse stomach using POM121 (E3W3J) Rabbit mAb.
Immunohistochemistry Image 7: POM121 (E3W3J) Rabbit Monoclonal Antibody
Immunohistochemical analysis of paraffin-embedded human hepatocellular carcinoma (left), renal cell carcinoma (middle), or oral squamous cell carcinoma (right) using POM121 (E3W3J) Rabbit mAb (top) or POM121 Rabbit pAb (bottom). These two antibodies detect unique, non-overlapping epitopes on human POM121. The similar staining patterns obtained with both antibodies help to confirm the specificity of the staining.
Immunohistochemistry Image 8: POM121 (E3W3J) Rabbit Monoclonal Antibody
Immunohistochemical analysis of paraffin-embedded human hepatocellular carcinoma using POM121 (E3W3J) Rabbit mAb (left) compared to concentration-matched Rabbit (DA1E) mAb IgG XP® Isotype Control #3900 (right).
Immunohistochemistry Image 9: POM121 (E3W3J) Rabbit Monoclonal Antibody
Orders: 877-616-CELL (2355) [email protected] Support: 877-678-TECH (8324) [email protected] Web: cellsignal.com
For Research Use Only. Not for Use in Diagnostic Procedures.

Revision 3

Cell Signaling Technology Logo
Confocal immunofluorescent analysis of HCT 116, mock-transfected (left, high-expressing) or transfected with siRNA directed against POM121 (right, low-expressing), using POM121 (E3W3J) Rabbit mAb (green), DyLight 650 Phalloidin #12956 (red), and DAPI #4083 (blue).
Immunofluorescence Image 1: POM121 (E3W3J) Rabbit Monoclonal Antibody
Orders: 877-616-CELL (2355) [email protected] Support: 877-678-TECH (8324) [email protected] Web: cellsignal.com
For Research Use Only. Not for Use in Diagnostic Procedures.