Revision 1

#69006

Store at -20C

CST Logo
Orders:

877-616-CELL (2355)

[email protected]

Support:

877-678-TECH (8324)

3 Trask Lane | Danvers | Massachusetts | 01923 | USA

For Research Use Only. Not for Use in Diagnostic Procedures.

Applications:
W, IHC-P

Reactivity:
H M

Sensitivity:
Endogenous

MW (kDa):
62

Source/Isotype:
Rabbit IgG

UniProt ID:
#P04198

Entrez-Gene Id:
4613

Product Usage Information

This product is the carrier free version of product #51705. All data were generated using the same antibody clone in the standard formulation which contains BSA and glycerol.

This formulation is ideal for use with technologies requiring specialized or custom antibody labeling, including fluorophores, metals, lanthanides, and oligonucleotides. It is not recommended for ChIP, ChIP-seq, CUT&RUN or CUT&Tag assays. If you require a carrier free formulation for chromatin profiling, please contact us. Optimal dilutions/concentrations should be determined by the end user.

BSA and Azide Free antibodies are quality control tested by size exclusion chromatography (SEC) to determine antibody integrity.

Formulation

Supplied in 1X PBS (10 mM Na2HPO4, 3 mM KCl, 2 mM KH2PO4, and 140 mM NaCl (pH 7.8)). BSA and Azide Free.

For standard formulation of this product see product #51705

Storage

Store at -20°C. This product will freeze at -20°C so it is recommended to aliquot into single-use vials to avoid multiple freeze/thaw cycles. A slight precipitate may be present and can be dissolved by gently vortexing. This will not interfere with antibody performance.

Specificity/Sensitivity

N-Myc (D4B2Y) Rabbit Monoclonal Antibody (BSA and Azide Free) recognizes endogenous levels of total N-Myc protein.

Species predicted to react based on 100% sequence homology

Rat

Source / Purification

Monoclonal antibody is produced by immunizing animals with a synthetic peptide corresponding to residues surrounding Gly38 of human N-Myc protein.

Background

Members of the Myc/Max/Mad network function as transcriptional regulators with roles in various aspects of cell behavior, including proliferation, differentiation, and apoptosis (1). These proteins share a common basic-helix-loop-helix leucine zipper (bHLH-ZIP) motif required for dimerization and DNA-binding. Max was originally discovered based on its ability to associate with c-Myc and found to be required for the ability of Myc to bind DNA and activate transcription (2). Subsequently, Max has been viewed as a central component of the transcriptional network, forming homodimers as well as heterodimers with other members of the Myc and Mad families (1). The association between Max and either Myc or Mad can have opposing effects on transcriptional regulation and cell behavior (1). The Mad family consists of four related proteins; Mad1, Mad2 (Mxi1), Mad3, and Mad4, and the more distantly related members of the bHLH-ZIP family, Mnt and Mga. Like Myc, the Mad proteins are tightly regulated with short half-lives. In general, Mad family members interfere with Myc-mediated processes, such as proliferation, transformation, and prevention of apoptosis by inhibiting transcription (3,4).

In humans the Myc family consists of 5 genes: c-Myc, N-Myc, L-Myc, R-Myc, and B-Myc. While c-Myc is expressed in many proliferating cells, N-Myc expression is very restricted, with highest levels during embryonic development and in the adult during B-cell development. The expression patterns and results from targeted deletion of N-Myc suggest that N-Myc plays an important role in tissue development and differentiation (5). In addition, amplification or overexpression of N-Myc has been found in human neuroblastomas and is associated with rapid progression and poor prognosis (6,7).

Species Reactivity

Species reactivity is determined by testing in at least one approved application (e.g., western blot).

Applications Key

W: Western Blotting IHC-P: Immunohistochemistry (Paraffin)

Cross-Reactivity Key

H: Human M: Mouse

Trademarks and Patents

Cell Signaling Technology is a trademark of Cell Signaling Technology, Inc.

SignalStain is a registered trademark of Cell Signaling Technology, Inc.

SimpleChIP is a registered trademark of Cell Signaling Technology, Inc.

All other trademarks are the property of their respective owners. Visit cellsignal.com/trademarks for more information.

Limited Uses

Except as otherwise expressly agreed in a writing signed by a legally authorized representative of CST, the following terms apply to Products provided by CST, its affiliates or its distributors. Any Customer's terms and conditions that are in addition to, or different from, those contained herein, unless separately accepted in writing by a legally authorized representative of CST, are rejected and are of no force or effect.

Products are labeled with For Research Use Only or a similar labeling statement and have not been approved, cleared, or licensed by the FDA or other regulatory foreign or domestic entity, for any purpose. Customer shall not use any Product for any diagnostic or therapeutic purpose, or otherwise in any manner that conflicts with its labeling statement. Products sold or licensed by CST are provided for Customer as the end-user and solely for research and development uses. Any use of Product for diagnostic, prophylactic or therapeutic purposes, or any purchase of Product for resale (alone or as a component) or other commercial purpose, requires a separate license from CST. Customer shall (a) not sell, license, loan, donate or otherwise transfer or make available any Product to any third party, whether alone or in combination with other materials, or use the Products to manufacture any commercial products, (b) not copy, modify, reverse engineer, decompile, disassemble or otherwise attempt to discover the underlying structure or technology of the Products, or use the Products for the purpose of developing any products or services that would compete with CST products or services, (c) not alter or remove from the Products any trademarks, trade names, logos, patent or copyright notices or markings, (d) use the Products solely in accordance with CST Product Terms of Sale and any applicable documentation, and (e) comply with any license, terms of service or similar agreement with respect to any third party products or services used by Customer in connection with the Products.

Orders: 877-616-CELL (2355) [email protected] Support: 877-678-TECH (8324) [email protected] Web: cellsignal.com
For Research Use Only. Not for Use in Diagnostic Procedures.

Revision 1

Cell Signaling Technology Logo
Western blot analysis of extracts from various cell lines using N-Myc (D4B2Y) Rabbit mAb (upper) or β-Actin (D6A8) Rabbit mAb #8457 (lower). Data were generated using the standard formulation of this product.
Western Blotting Image 1: N-Myc (D4B2Y) Rabbit Monoclonal Antibody (BSA and Azide Free)
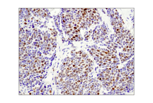
Immunohistochemical analysis of paraffin-embedded human neuroblastoma using N-Myc (D4B2Y) Rabbit mAb. Data were generated using the standard formulation of this product.
Immunohistochemistry Image 1: N-Myc (D4B2Y) Rabbit Monoclonal Antibody (BSA and Azide Free)
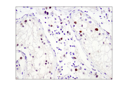
Immunohistochemical analysis of paraffin-embedded human testis using N-Myc (D4B2Y) Rabbit mAb. Data were generated using the standard formulation of this product.
Immunohistochemistry Image 2: N-Myc (D4B2Y) Rabbit Monoclonal Antibody (BSA and Azide Free)
Orders: 877-616-CELL (2355) [email protected] Support: 877-678-TECH (8324) [email protected] Web: cellsignal.com
For Research Use Only. Not for Use in Diagnostic Procedures.

Revision 1

Cell Signaling Technology Logo
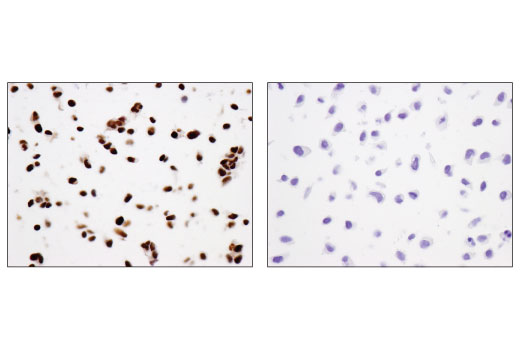
Immunohistochemical analysis of paraffin-embedded IMR-32 (left) and HeLa (right) cell pellets using N-Myc (D4B2Y) Rabbit mAb. Data were generated using the standard formulation of this product.
Immunohistochemistry Image 3: N-Myc (D4B2Y) Rabbit Monoclonal Antibody (BSA and Azide Free)
Orders: 877-616-CELL (2355) [email protected] Support: 877-678-TECH (8324) [email protected] Web: cellsignal.com
For Research Use Only. Not for Use in Diagnostic Procedures.