Revision 1

#69011

Store at -20C

CST Logo
Orders:

877-616-CELL (2355)

[email protected]

Support:

877-678-TECH (8324)

3 Trask Lane | Danvers | Massachusetts | 01923 | USA

For Research Use Only. Not for Use in Diagnostic Procedures.

Applications:
W, IP, IHC-P

Reactivity:
H M

Sensitivity:
Endogenous

MW (kDa):
72, 74

Source/Isotype:
Rabbit IgG

UniProt ID:
#P49757

Entrez-Gene Id:
8650

Product Usage Information

Application Dilution
Western Blotting 1:1000
Immunoprecipitation 1:200
Immunohistochemistry (Paraffin) 1:200 - 1:800

Storage

Supplied in 10 mM sodium HEPES (pH 7.5), 150 mM NaCl, 100 µg/mL BSA, 50% glycerol, and less than 0.02% sodium azide. Store at –20°C. Do not aliquot the antibody.

Specificity/Sensitivity

Numb (F2P3P) Rabbit Monoclonal Antibody recognizes endogenous levels of total Numb protein. This antibody detects a 32 kDa band of unknown origin in some samples.

Source / Purification

Monoclonal antibody is produced by immunizing animals with a synthetic peptide corresponding to residues near the carboxy terminus of human Numb protein.

Background

Numb contains an amino-terminal phosphotyrosine binding (PTB) domain and carboxy-terminal endocytic binding motifs for α-adaptin and EH (Eps15 homology) domain-containing proteins, indicating a role in endocytosis (1,2). There are four mammalian Numb splicing isoforms that are differentially expressed and may have distinct functions (3-5). Numb acts as a negative regulator of Notch signaling by promoting ubiquitination and degradation of Notch (6). The protein is asymmetrically segregated into one daughter cell during cell division, producing two daughter cells with different responses to Notch signaling and different cell fates (7,8). The localization of Numb can also be regulated by G protein-coupled receptor (GPCR) and protein kinase C (PKC) signaling (9).

Species Reactivity

Species reactivity is determined by testing in at least one approved application (e.g., western blot).

Western Blot Buffer

IMPORTANT: For western blots, incubate membrane with diluted primary antibody in 5% w/v nonfat dry milk, 1X TBS, 0.1% Tween® 20 at 4°C with gentle shaking, overnight.

Applications Key

W: Western Blotting IP: Immunoprecipitation IHC-P: Immunohistochemistry (Paraffin)

Cross-Reactivity Key

H: Human M: Mouse

Trademarks and Patents

Cell Signaling Technology is a trademark of Cell Signaling Technology, Inc.

All other trademarks are the property of their respective owners. Visit cellsignal.com/trademarks for more information.

Limited Uses

Except as otherwise expressly agreed in a writing signed by a legally authorized representative of CST, the following terms apply to Products provided by CST, its affiliates or its distributors. Any Customer's terms and conditions that are in addition to, or different from, those contained herein, unless separately accepted in writing by a legally authorized representative of CST, are rejected and are of no force or effect.

Products are labeled with For Research Use Only or a similar labeling statement and have not been approved, cleared, or licensed by the FDA or other regulatory foreign or domestic entity, for any purpose. Customer shall not use any Product for any diagnostic or therapeutic purpose, or otherwise in any manner that conflicts with its labeling statement. Products sold or licensed by CST are provided for Customer as the end-user and solely for research and development uses. Any use of Product for diagnostic, prophylactic or therapeutic purposes, or any purchase of Product for resale (alone or as a component) or other commercial purpose, requires a separate license from CST. Customer shall (a) not sell, license, loan, donate or otherwise transfer or make available any Product to any third party, whether alone or in combination with other materials, or use the Products to manufacture any commercial products, (b) not copy, modify, reverse engineer, decompile, disassemble or otherwise attempt to discover the underlying structure or technology of the Products, or use the Products for the purpose of developing any products or services that would compete with CST products or services, (c) not alter or remove from the Products any trademarks, trade names, logos, patent or copyright notices or markings, (d) use the Products solely in accordance with CST Product Terms of Sale and any applicable documentation, and (e) comply with any license, terms of service or similar agreement with respect to any third party products or services used by Customer in connection with the Products.

Orders: 877-616-CELL (2355) [email protected] Support: 877-678-TECH (8324) [email protected] Web: cellsignal.com
For Research Use Only. Not for Use in Diagnostic Procedures.

Revision 1

Cell Signaling Technology Logo
Western blot analysis of extracts from control HCT 116 cells (lane 1) or CRISPR/Cas9 Numb knockout (KO) HCT 116 cells (lane 2) using Numb (F2P3P) Rabbit mAb (upper) or GAPDH (D16H11) XP® Rabbit mAb #5174 (lower).
Western Blotting Image 1: Numb (F2P3P) Rabbit Monoclonal Antibody
Western blot analysis of extracts from various cell lines and tissues using Numb (F2P3P) Rabbit mAb (upper) or GAPDH (D16H11) XP® Rabbit mAb #5174 (lower).
Western Blotting Image 2: Numb (F2P3P) Rabbit Monoclonal Antibody
Immunoprecipitation of Numb protein from RL cell extracts. Lane 1 is 10% input, lane 2 is Rabbit (DA1E) mAb IgG XP® Isotype Control #3900, and lane 3 is Numb (F2P3P) Rabbit mAb. Western blot analysis was performed using Numb (C29G11) Rabbit mAb #2756. Anti-rabbit IgG, HRP-linked Antibody #7074 was used as a secondary antibody. 
Immunoprecipitation Image 1: Numb (F2P3P) Rabbit Monoclonal Antibody
Orders: 877-616-CELL (2355) [email protected] Support: 877-678-TECH (8324) [email protected] Web: cellsignal.com
For Research Use Only. Not for Use in Diagnostic Procedures.

Revision 1

Cell Signaling Technology Logo
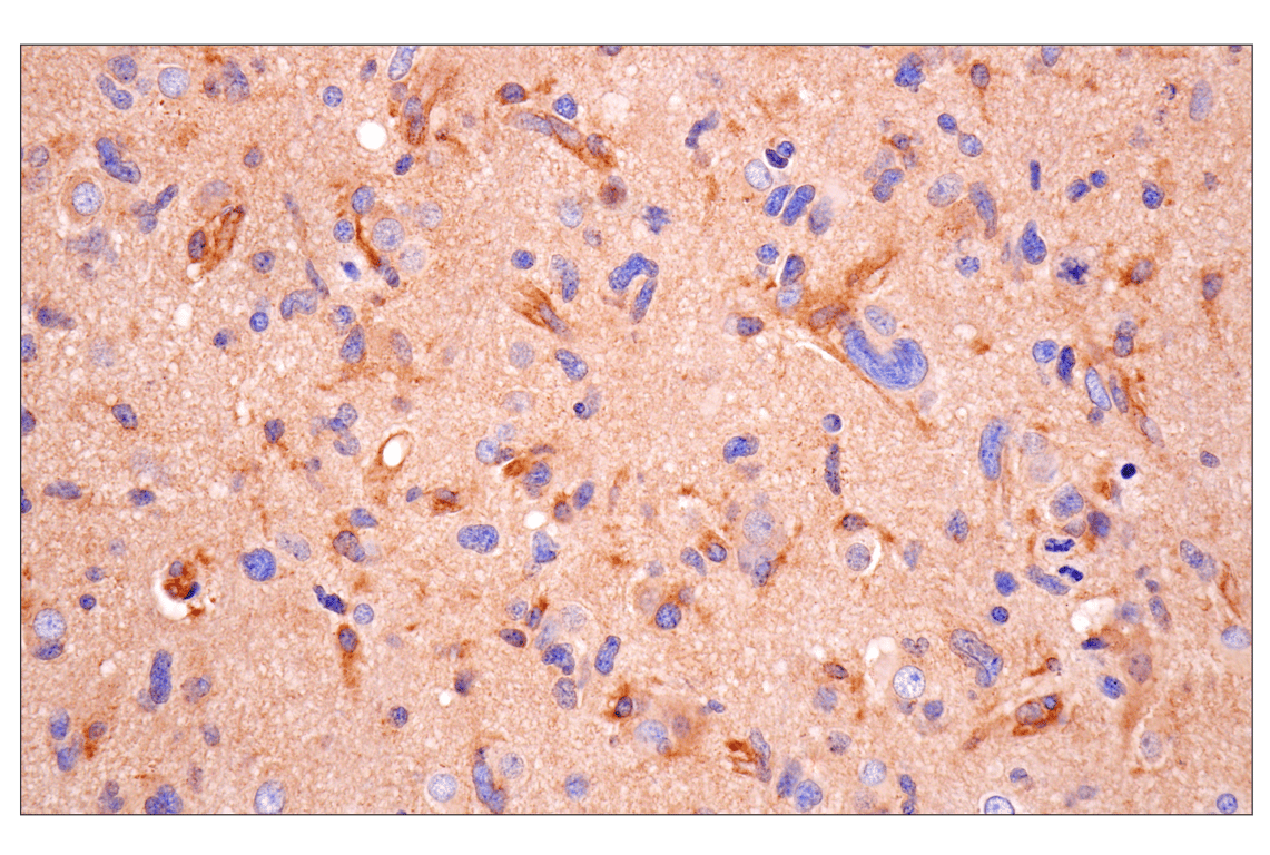
Immunohistochemical analysis of paraffin-embedded human glioma using Numb (F2P3P) Rabbit mAb.
Immunohistochemistry Image 1: Numb (F2P3P) Rabbit Monoclonal Antibody

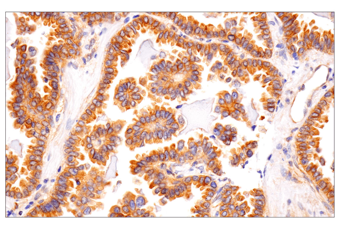
Immunohistochemical analysis of paraffin-embedded human lung adenocarcinoma using Numb (F2P3P) Rabbit mAb.

Immunohistochemistry Image 2: Numb (F2P3P) Rabbit Monoclonal Antibody
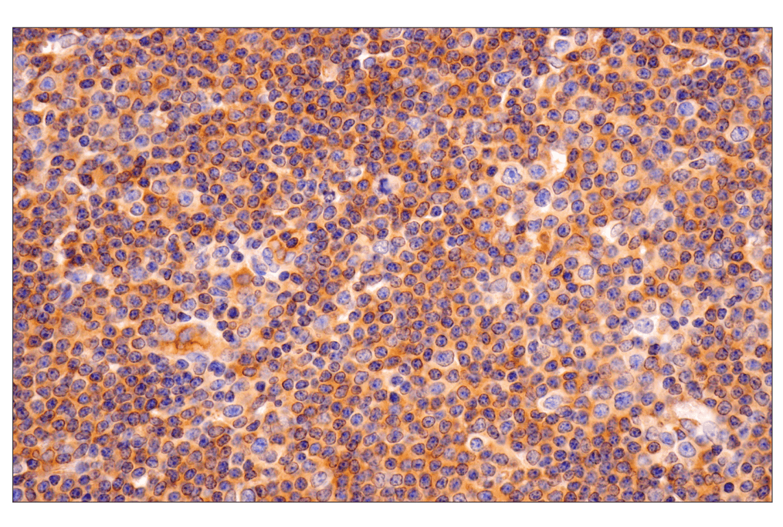
Immunohistochemical analysis of paraffin-embedded human B-cell non-Hodgkin lymphoma using Numb (F2P3P) Rabbit mAb.
Immunohistochemistry Image 3: Numb (F2P3P) Rabbit Monoclonal Antibody
Orders: 877-616-CELL (2355) [email protected] Support: 877-678-TECH (8324) [email protected] Web: cellsignal.com
For Research Use Only. Not for Use in Diagnostic Procedures.

Revision 1

Cell Signaling Technology Logo
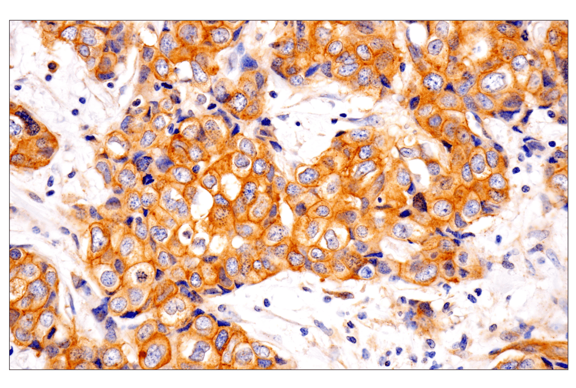
Immunohistochemical analysis of paraffin-embedded human infiltrating ductal carcinoma of the breast using Numb (F2P3P) Rabbit mAb.
Immunohistochemistry Image 4: Numb (F2P3P) Rabbit Monoclonal Antibody

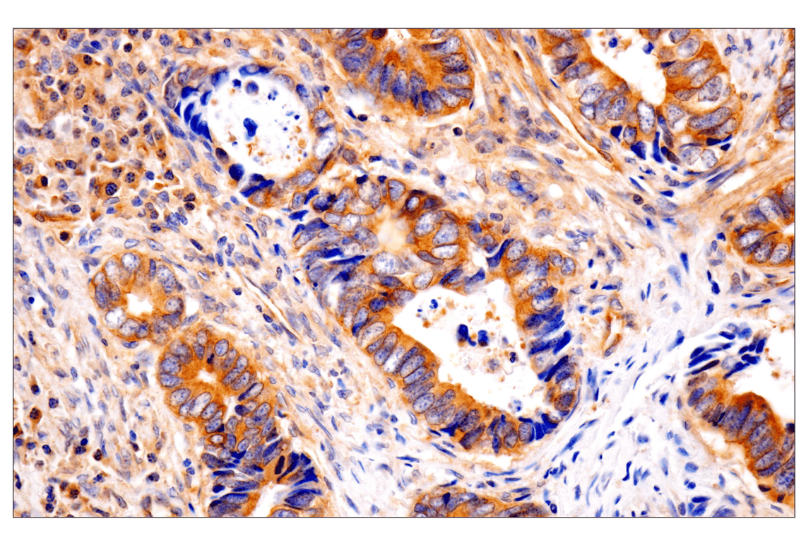
Immunohistochemical analysis of paraffin-embedded human colon adenocarcinoma using Numb (F2P3P) Rabbit mAb.

Immunohistochemistry Image 5: Numb (F2P3P) Rabbit Monoclonal Antibody
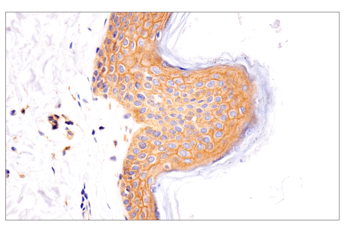
Immunohistochemical analysis of paraffin-embedded normal human skin using Numb (F2P3P) Rabbit mAb.
Immunohistochemistry Image 6: Numb (F2P3P) Rabbit Monoclonal Antibody
Orders: 877-616-CELL (2355) [email protected] Support: 877-678-TECH (8324) [email protected] Web: cellsignal.com
For Research Use Only. Not for Use in Diagnostic Procedures.

Revision 1

Cell Signaling Technology Logo

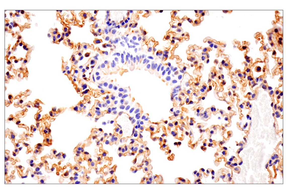
Immunohistochemical analysis of paraffin-embedded mouse lung using Numb (F2P3P) Rabbit mAb.

Immunohistochemistry Image 7: Numb (F2P3P) Rabbit Monoclonal Antibody
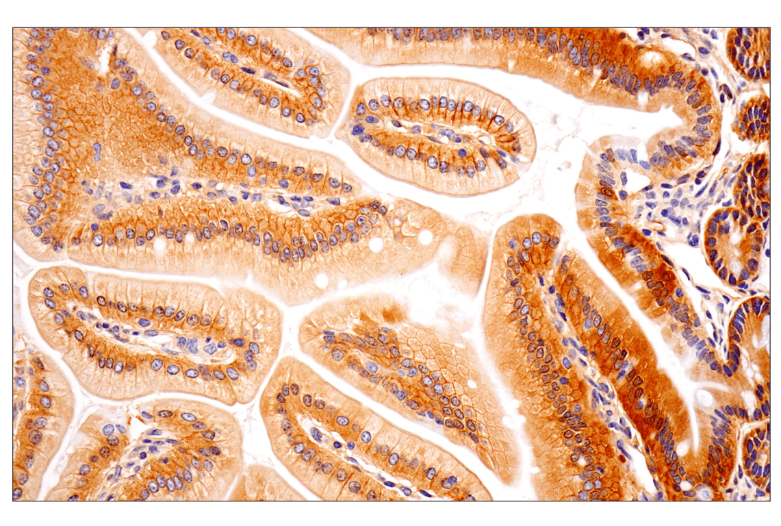
Immunohistochemical analysis of paraffin-embedded mouse small intestine using Numb (F2P3P) Rabbit mAb.
Immunohistochemistry Image 8: Numb (F2P3P) Rabbit Monoclonal Antibody
Immunohistochemical analysis of paraffin-embedded mouse thymus using Numb (F2P3P) Rabbit mAb.
Immunohistochemistry Image 9: Numb (F2P3P) Rabbit Monoclonal Antibody
Orders: 877-616-CELL (2355) [email protected] Support: 877-678-TECH (8324) [email protected] Web: cellsignal.com
For Research Use Only. Not for Use in Diagnostic Procedures.

Revision 1

Cell Signaling Technology Logo
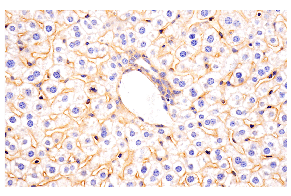
Immunohistochemical analysis of paraffin-embedded mouse liver using Numb (F2P3P) Rabbit mAb.
Immunohistochemistry Image 10: Numb (F2P3P) Rabbit Monoclonal Antibody
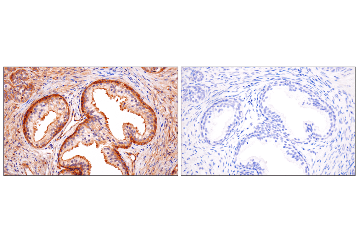
Immunohistochemical analysis of paraffin-embedded human prostate carcinoma using Numb (F2P3P) Rabbit mAb (left) compared to concentration-matched Rabbit (DA1E) mAb IgG XP® Isotype Control #3900 (right).
Immunohistochemistry Image 11: Numb (F2P3P) Rabbit Monoclonal Antibody
Orders: 877-616-CELL (2355) [email protected] Support: 877-678-TECH (8324) [email protected] Web: cellsignal.com
For Research Use Only. Not for Use in Diagnostic Procedures.