Revision 1

#70886

Store at -20C

CST Logo
Orders:

877-616-CELL (2355)

[email protected]

Support:

877-678-TECH (8324)

3 Trask Lane | Danvers | Massachusetts | 01923 | USA

For Research Use Only. Not for Use in Diagnostic Procedures.

Product Includes Product # Quantity Mol. Wt Isotype/Source
Phospho-Sin1 (Thr86) (D4U9L) Rabbit Monoclonal Antibody14716100 µl78, 74 kDaRabbit IgG
Sin1 (D7G1A) Rabbit Monoclonal Antibody12860100 µl74, 78 kDaRabbit IgG

Please visit cellsignal.com for individual component applications, species cross-reactivity, dilutions, protocols, and additional product information.

UniProt ID:
#Q9BPZ7

Entrez-Gene Id:
79109

Description

PhosphoPlus® Duets from Cell Signaling Technology (CST) provide a means to assess protein activation status. Each Duet contains an activation-state and total protein antibody to your target of interest. These antibodies have been carefully selected to provide superior performance in specified applications.

Storage

Supplied in 10 mM sodium HEPES (pH 7.5), 150 mM NaCl, 100 µg/mL BSA, 50% glycerol, and less than 0.02% sodium azide. Store at –20°C. Do not aliquot the antibody.

Background

Cell growth is a fundamental biological process whereby cells accumulate mass and increase in size. The mammalian TOR (mTOR) pathway regulates growth by coordinating energy and nutrient signals with growth factor-derived signals (1). mTOR is a large protein kinase that is a component of two different complexes. The mTOR complex 1 (mTORC1), a target of rapamycin, contains mTOR, GβL, and raptor. mTORC2, insensitive to rapamycin, includes mTOR, GβL, Sin1, and rictor (1). The mTORC2 complex phosphorylates Ser473 of Akt/PKB in vitro (2). This phosphorylation is essential for full Akt/PKB activation. Furthermore, rictor siRNA knockdown inhibits Ser473 phosphorylation in 3T3-L1 adipocytes (3). mTORC2 has also been shown to phosphorylate the rapamycin-resistant mutants of S6K1, another effector of mTOR (4). In addition, phosphorylation of Sin1 at Thr86 by Akt/PKB was shown to regulate the activity of mTORC2 in adipocytes upon stimulation by growth factors (5).

Trademarks and Patents

Cell Signaling Technology is a trademark of Cell Signaling Technology, Inc.

PhosphoPlus is a registered trademark of Cell Signaling Technology, Inc.

All other trademarks are the property of their respective owners. Visit cellsignal.com/trademarks for more information.

Limited Uses

Except as otherwise expressly agreed in a writing signed by a legally authorized representative of CST, the following terms apply to Products provided by CST, its affiliates or its distributors. Any Customer's terms and conditions that are in addition to, or different from, those contained herein, unless separately accepted in writing by a legally authorized representative of CST, are rejected and are of no force or effect.

Products are labeled with For Research Use Only or a similar labeling statement and have not been approved, cleared, or licensed by the FDA or other regulatory foreign or domestic entity, for any purpose. Customer shall not use any Product for any diagnostic or therapeutic purpose, or otherwise in any manner that conflicts with its labeling statement. Products sold or licensed by CST are provided for Customer as the end-user and solely for research and development uses. Any use of Product for diagnostic, prophylactic or therapeutic purposes, or any purchase of Product for resale (alone or as a component) or other commercial purpose, requires a separate license from CST. Customer shall (a) not sell, license, loan, donate or otherwise transfer or make available any Product to any third party, whether alone or in combination with other materials, or use the Products to manufacture any commercial products, (b) not copy, modify, reverse engineer, decompile, disassemble or otherwise attempt to discover the underlying structure or technology of the Products, or use the Products for the purpose of developing any products or services that would compete with CST products or services, (c) not alter or remove from the Products any trademarks, trade names, logos, patent or copyright notices or markings, (d) use the Products solely in accordance with CST Product Terms of Sale and any applicable documentation, and (e) comply with any license, terms of service or similar agreement with respect to any third party products or services used by Customer in connection with the Products.

Orders: 877-616-CELL (2355) [email protected] Support: 877-678-TECH (8324) [email protected] Web: cellsignal.com
For Research Use Only. Not for Use in Diagnostic Procedures.

Revision 1

Cell Signaling Technology Logo
Western blot analysis of extracts from various cell lines using Sin1 (D7G1A) Rabbit mAb.
undefined Image 1: PhosphoPlus<sup>®</sup> Sin1 (Thr86) Antibody Duet
Western blot analysis of extracts from serum starved NIH/3T3 cells, untreated (-) or treated with insulin (150 nM, 5 min; +) or Human Insulin-like Growth Factor I (hIGF-I) #8917 (100 ng/ml, 5 min; +) in the absence (-) or presence (+) of λ phosphatase, using Phospho-Sin1 (Thr86) (D4U9L) Rabbit mAb (upper) and β-Actin (D6A8) Rabbit mAb #8457 (lower).
undefined Image 2: PhosphoPlus<sup>®</sup> Sin1 (Thr86) Antibody Duet
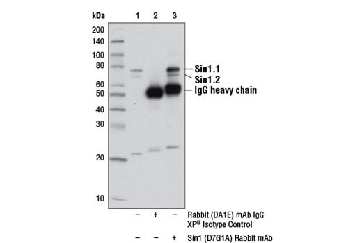
Immunoprecipitation of Sin1 from Hep G2 cell extracts using Rabbit (DA1E) mAb IgG XP® Isotype Control #3900 (lane 2) or Sin1 (D7G1A) Rabbit mAb (lane 3). Lane 1 is 10% input. Western blot analysis was performed using Sin1 (D7G1A) Rabbit mAb.
undefined Image 3: PhosphoPlus<sup>®</sup> Sin1 (Thr86) Antibody Duet
Orders: 877-616-CELL (2355) [email protected] Support: 877-678-TECH (8324) [email protected] Web: cellsignal.com
For Research Use Only. Not for Use in Diagnostic Procedures.

Revision 1

Cell Signaling Technology Logo
Western blot analysis of extracts from serum starved HeLa cells, untreated (-) or treated with Human Insulin-like Growth Factor I (hIGF-I) #8917 (100 ng/ml, 5 min; +) in the absence (-) or presence (+) of λ phosphatase, using Phospho-Sin1 (Thr86) (D4U9L) Rabbit mAb (upper) and Sin1 (D7G1A) Rabbit mAb #12860 (lower).
undefined Image 4: PhosphoPlus<sup>®</sup> Sin1 (Thr86) Antibody Duet
Immunoprecipitation of phospho-Sin1 (Thr86) from serum starved NIH/3T3 cell extracts treated with insulin (150 nM, 5 min) using Rabbit (DA1E) mAb IgG XP® Isotype Control #3900 (lane 2) or Phospho-Sin1 (Thr86) (D4U9L) Rabbit mAb (lane 3). Lane 1 is 10% input. Western blot analysis was performed using Phospho-Sin1 (Thr86) (D4U9L) Rabbit mAb.
undefined Image 5: PhosphoPlus<sup>®</sup> Sin1 (Thr86) Antibody Duet
Orders: 877-616-CELL (2355) [email protected] Support: 877-678-TECH (8324) [email protected] Web: cellsignal.com
For Research Use Only. Not for Use in Diagnostic Procedures.