Revision 1

#70997

Store at -20C

CST Logo
Orders:

877-616-CELL (2355)

[email protected]

Support:

877-678-TECH (8324)

3 Trask Lane | Danvers | Massachusetts | 01923 | USA

For Research Use Only. Not for Use in Diagnostic Procedures.

Applications:
W, IHC-P

Reactivity:
H M R Mk

Sensitivity:
Endogenous

MW (kDa):
26, 28

Source/Isotype:
Rabbit IgG

UniProt ID:
#O95639

Entrez-Gene Id:
10898

Product Usage Information

Application Dilution
Western Blotting 1:1000
Immunohistochemistry (Paraffin) 1:200 - 1:800

Storage

Supplied in 10 mM sodium HEPES (pH 7.5), 150 mM NaCl, 100 µg/mL BSA, 50% glycerol, and less than 0.02% sodium azide. Store at –20°C. Do not aliquot the antibody.

Specificity/Sensitivity

CPSF4 (E2L2Z) Rabbit Monoclonal Antibody recognizes endogenous levels of total CPSF4 protein. Non-specific non-nuclear staining has been observed in mouse adipose by immunohistochemistry.

Source / Purification

Monoclonal antibody is produced by immunizing animals with a synthetic peptide corresponding to residues surrounding Ala264 of human CPSF4 protein.

Background

Cleavage and polyadenylation of pre-mRNA is regulated by a core group of proteins called the cleavage and polyadenylation specificity factors (CPSF) (1,2). The CPSF proteins interact with poly(A) polymerase (PAP) to recognize the AAUAAA sequence motif and add poly(A). CPSF can also interact with downstream cleavage factors to precisely cleave the 3’ end of pre-mRNA (2,3). CPSF is brought to 3’ ends by the carboxy-terminal domain of the Rpb1 subunit of the RNA Polymerase II complex, where it dissociates and initiates polyadenylation (4). CPSF has been shown to have numerous interactions with viral proteins. The influenza NS1 viral protein binds to CPSF4 to prevent 3’ end processing of viral RNAs, inhibiting nuclear export (5).

Species Reactivity

Species reactivity is determined by testing in at least one approved application (e.g., western blot).

Western Blot Buffer

IMPORTANT: For western blots, incubate membrane with diluted primary antibody in 5% w/v BSA, 1X TBS, 0.1% Tween® 20 at 4°C with gentle shaking, overnight.

Applications Key

W: Western Blotting IHC-P: Immunohistochemistry (Paraffin)

Cross-Reactivity Key

H: Human M: Mouse R: Rat Mk: Monkey

Trademarks and Patents

Cell Signaling Technology is a trademark of Cell Signaling Technology, Inc.

All other trademarks are the property of their respective owners. Visit cellsignal.com/trademarks for more information.

Limited Uses

Except as otherwise expressly agreed in a writing signed by a legally authorized representative of CST, the following terms apply to Products provided by CST, its affiliates or its distributors. Any Customer's terms and conditions that are in addition to, or different from, those contained herein, unless separately accepted in writing by a legally authorized representative of CST, are rejected and are of no force or effect.

Products are labeled with For Research Use Only or a similar labeling statement and have not been approved, cleared, or licensed by the FDA or other regulatory foreign or domestic entity, for any purpose. Customer shall not use any Product for any diagnostic or therapeutic purpose, or otherwise in any manner that conflicts with its labeling statement. Products sold or licensed by CST are provided for Customer as the end-user and solely for research and development uses. Any use of Product for diagnostic, prophylactic or therapeutic purposes, or any purchase of Product for resale (alone or as a component) or other commercial purpose, requires a separate license from CST. Customer shall (a) not sell, license, loan, donate or otherwise transfer or make available any Product to any third party, whether alone or in combination with other materials, or use the Products to manufacture any commercial products, (b) not copy, modify, reverse engineer, decompile, disassemble or otherwise attempt to discover the underlying structure or technology of the Products, or use the Products for the purpose of developing any products or services that would compete with CST products or services, (c) not alter or remove from the Products any trademarks, trade names, logos, patent or copyright notices or markings, (d) use the Products solely in accordance with CST Product Terms of Sale and any applicable documentation, and (e) comply with any license, terms of service or similar agreement with respect to any third party products or services used by Customer in connection with the Products.

Orders: 877-616-CELL (2355) [email protected] Support: 877-678-TECH (8324) [email protected] Web: cellsignal.com
For Research Use Only. Not for Use in Diagnostic Procedures.

Revision 1

Cell Signaling Technology Logo
Western blot analysis of extracts from various cell lines using CPSF4 (E2L2Z) Rabbit mAb.
Western Blotting Image 1: CPSF4 (E2L2Z) Rabbit Monoclonal Antibody
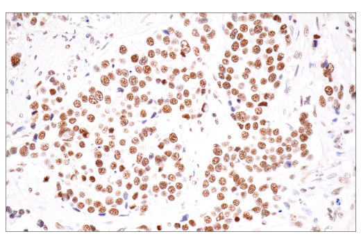
Immunohistochemical analysis of paraffin-embedded human large cell neuroendocrine lung carcinoma using CPSF4 (E2L2Z) Rabbit mAb.
Immunohistochemistry Image 1: CPSF4 (E2L2Z) Rabbit Monoclonal Antibody
Immunohistochemical analysis of paraffin-embedded human esophageal carcinoma using CPSF4 (E2L2Z) Rabbit mAb.
Immunohistochemistry Image 2: CPSF4 (E2L2Z) Rabbit Monoclonal Antibody
Orders: 877-616-CELL (2355) [email protected] Support: 877-678-TECH (8324) [email protected] Web: cellsignal.com
For Research Use Only. Not for Use in Diagnostic Procedures.

Revision 1

Cell Signaling Technology Logo
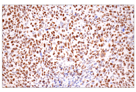
Immunohistochemical analysis of paraffin-embedded human papillary thyroid carcinoma using CPSF4 (E2L2Z) Rabbit mAb.
Immunohistochemistry Image 3: CPSF4 (E2L2Z) Rabbit Monoclonal Antibody
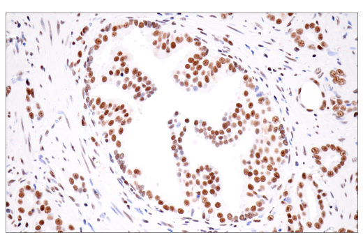
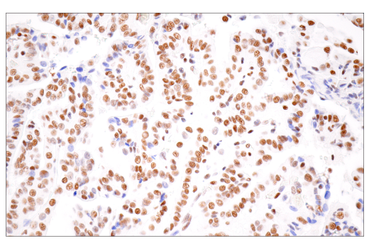
Immunohistochemical analysis of paraffin-embedded human prostate carcinoma using CPSF4 (E2L2Z) Rabbit mAb.
Immunohistochemistry Image 4: CPSF4 (E2L2Z) Rabbit Monoclonal Antibody
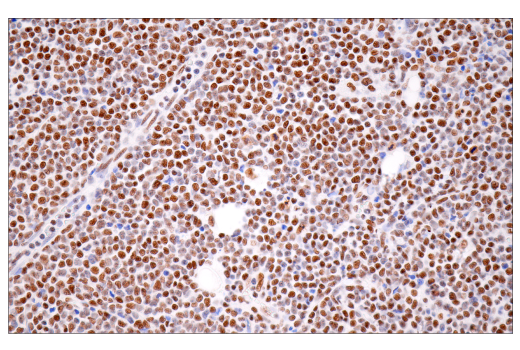
Immunohistochemical analysis of paraffin-embedded human mantle cell lymphoma using CPSF4 (E2L2Z) Rabbit mAb.
Immunohistochemistry Image 5: CPSF4 (E2L2Z) Rabbit Monoclonal Antibody
Orders: 877-616-CELL (2355) [email protected] Support: 877-678-TECH (8324) [email protected] Web: cellsignal.com
For Research Use Only. Not for Use in Diagnostic Procedures.

Revision 1

Cell Signaling Technology Logo

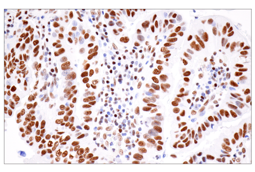
Immunohistochemical analysis of paraffin-embedded human colon carcinoma using CPSF4 (E2L2Z) Rabbit mAb.

Immunohistochemistry Image 6: CPSF4 (E2L2Z) Rabbit Monoclonal Antibody
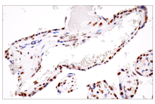
Immunohistochemical analysis of paraffin-embedded normal human placenta using CPSF4 (E2L2Z) Rabbit mAb.
Immunohistochemistry Image 7: CPSF4 (E2L2Z) Rabbit Monoclonal Antibody
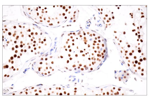
Immunohistochemical analysis of paraffin-embedded normal human testis using CPSF4 (E2L2Z) Rabbit mAb.
Immunohistochemistry Image 8: CPSF4 (E2L2Z) Rabbit Monoclonal Antibody
Orders: 877-616-CELL (2355) [email protected] Support: 877-678-TECH (8324) [email protected] Web: cellsignal.com
For Research Use Only. Not for Use in Diagnostic Procedures.

Revision 1

Cell Signaling Technology Logo

Immunohistochemical analysis of paraffin-embedded normal human skin using CPSF4 (E2L2Z) Rabbit mAb.

Immunohistochemistry Image 9: CPSF4 (E2L2Z) Rabbit Monoclonal Antibody

Immunohistochemical analysis of paraffin-embedded MC-38 syngeneic tumor using CPSF4 (E2L2Z) Rabbit mAb.

Immunohistochemistry Image 10: CPSF4 (E2L2Z) Rabbit Monoclonal Antibody

Immunohistochemical analysis of paraffin-embedded 4T1 syngeneic tumor using CPSF4 (E2L2Z) Rabbit mAb.

Immunohistochemistry Image 11: CPSF4 (E2L2Z) Rabbit Monoclonal Antibody
Orders: 877-616-CELL (2355) [email protected] Support: 877-678-TECH (8324) [email protected] Web: cellsignal.com
For Research Use Only. Not for Use in Diagnostic Procedures.

Revision 1

Cell Signaling Technology Logo
Immunohistochemical analysis of paraffin-embedded mouse cerebellum using CPSF4 (E2L2Z) Rabbit mAb.
Immunohistochemistry Image 12: CPSF4 (E2L2Z) Rabbit Monoclonal Antibody
Immunohistochemical analysis of paraffin-embedded mouse colon using CPSF4 (E2L2Z) Rabbit mAb.
Immunohistochemistry Image 13: CPSF4 (E2L2Z) Rabbit Monoclonal Antibody
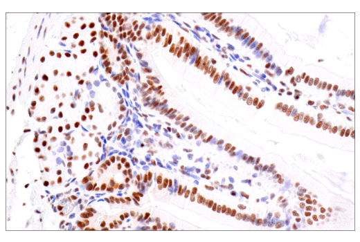
Immunohistochemical analysis of paraffin-embedded mouse small intestine using CPSF4 (E2L2Z) Rabbit mAb.
Immunohistochemistry Image 14: CPSF4 (E2L2Z) Rabbit Monoclonal Antibody
Orders: 877-616-CELL (2355) [email protected] Support: 877-678-TECH (8324) [email protected] Web: cellsignal.com
For Research Use Only. Not for Use in Diagnostic Procedures.

Revision 1

Cell Signaling Technology Logo

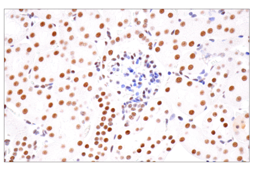
Immunohistochemical analysis of paraffin-embedded mouse kidney using CPSF4 (E2L2Z) Rabbit mAb.

Immunohistochemistry Image 15: CPSF4 (E2L2Z) Rabbit Monoclonal Antibody
Orders: 877-616-CELL (2355) [email protected] Support: 877-678-TECH (8324) [email protected] Web: cellsignal.com
For Research Use Only. Not for Use in Diagnostic Procedures.