Revision 1

#71123

Store at -20C

CST Logo
Orders:

877-616-CELL (2355)

[email protected]

Support:

877-678-TECH (8324)

3 Trask Lane | Danvers | Massachusetts | 01923 | USA

For Research Use Only. Not for Use in Diagnostic Procedures.

Applications:
W, IHC-P, IF-IC, FC-FP

Reactivity:
H M R Mk B Pg

Sensitivity:
Endogenous

MW (kDa):
38

Source/Isotype:
Rabbit IgG

UniProt ID:
#P07355

Entrez-Gene Id:
302

Product Usage Information

This product is the carrier free version of product #8235. All data were generated using the same antibody clone in the standard formulation which contains BSA and glycerol.

This formulation is ideal for use with technologies requiring specialized or custom antibody labeling, including fluorophores, metals, lanthanides, and oligonucleotides. It is not recommended for ChIP, ChIP-seq, CUT&RUN or CUT&Tag assays. If you require a carrier free formulation for chromatin profiling, please contact us. Optimal dilutions/concentrations should be determined by the end user.

BSA and Azide Free antibodies are quality control tested by size exclusion chromatography (SEC) to determine antibody integrity.

Formulation

Supplied in 1X PBS (10 mM Na2HPO4, 3 mM KCl, 2 mM KH2PO4, and 140 mM NaCl (pH 7.8)). BSA and Azide Free.

For standard formulation of this product see product #8235

Storage

Store at -20°C. This product will freeze at -20°C so it is recommended to aliquot into single-use vials to avoid multiple freeze/thaw cycles. A slight precipitate may be present and can be dissolved by gently vortexing. This will not interfere with antibody performance.

Specificity/Sensitivity

Annexin A2 (D11G2) Rabbit Monoclonal Antibody (BSA and Azide Free) recognizes endogenous levels of total annexin A2 protein. This antibody is not known or predicted to cross-react with other annexin family members.

Species predicted to react based on 100% sequence homology

Dog, Horse

Source / Purification

Monoclonal antibody is produced by immunizing animals with a synthetic peptide corresponding to residues surrounding Phe307 of human annexin A2 protein.

Background

Annexin A2 (ANXA2), also known as lipocortin II or calpactin-1 heavy chain, is a 36 kDa member of the annexin superfamily that binds phospholipids and other proteins in a calcium-dependent manner via annexin repeats (1). Annexin A2 contains four such repeats through which it mediates protein-protein and protein-lipid interactions (1-4). It forms a constitutive heterotetramer with S100A10, acting as a bridge between the actin cytoskeleton, plasma membrane, and endocytotic vesicle machinery (5-7). Originally identified as a protein inhibitor of phospholipase A2, annexin A2 has subsequently been shown to interact with an array of protein and non-protein partners, including F-actin, spectrin, SNARE complexes, RNA, and virus particles (4,6,8,9). Annexin A2 has also been shown to have receptor-like activity and is detected on the surface of macrophages and vascular endothelial cells where it mediates macrophage activation and Factor Xa signaling, respectively (10-13). Upregulation of annexin A2 at the cell surface is thought to be modulated by phosphorylation at Tyr23 by Src (14-18). Interestingly, phosphorylation at Tyr23 has recently been shown to be required for cell surface expression of annexin A2 where it mediates motility, invasiveness, and overall metastatic potential of certain pancreatic cancer cells (19,20). Annexin A2 has also been shown to be heavily phosphorylated on serine residues in response to PKC activation via a pleiotropic mechanism (21-23). For a complete list of curated phosphorylation sites on annexin A2, please see PhosphoSitePlus® at www.phosphosite.org.

Species Reactivity

Species reactivity is determined by testing in at least one approved application (e.g., western blot).

Applications Key

W: Western Blotting IHC-P: Immunohistochemistry (Paraffin) IF-IC: Immunofluorescence (Immunocytochemistry) FC-FP: Flow Cytometry (Fixed/Permeabilized)

Cross-Reactivity Key

H: Human M: Mouse R: Rat Mk: Monkey B: Bovine Pg: Pig

Trademarks and Patents

Cell Signaling Technology is a trademark of Cell Signaling Technology, Inc.

The Annexin V-FITC conjugate is a product manufactured for Cell Signaling Technology, Inc. by TAU Technologies BV.

All other trademarks are the property of their respective owners. Visit cellsignal.com/trademarks for more information.

Limited Uses

Except as otherwise expressly agreed in a writing signed by a legally authorized representative of CST, the following terms apply to Products provided by CST, its affiliates or its distributors. Any Customer's terms and conditions that are in addition to, or different from, those contained herein, unless separately accepted in writing by a legally authorized representative of CST, are rejected and are of no force or effect.

Products are labeled with For Research Use Only or a similar labeling statement and have not been approved, cleared, or licensed by the FDA or other regulatory foreign or domestic entity, for any purpose. Customer shall not use any Product for any diagnostic or therapeutic purpose, or otherwise in any manner that conflicts with its labeling statement. Products sold or licensed by CST are provided for Customer as the end-user and solely for research and development uses. Any use of Product for diagnostic, prophylactic or therapeutic purposes, or any purchase of Product for resale (alone or as a component) or other commercial purpose, requires a separate license from CST. Customer shall (a) not sell, license, loan, donate or otherwise transfer or make available any Product to any third party, whether alone or in combination with other materials, or use the Products to manufacture any commercial products, (b) not copy, modify, reverse engineer, decompile, disassemble or otherwise attempt to discover the underlying structure or technology of the Products, or use the Products for the purpose of developing any products or services that would compete with CST products or services, (c) not alter or remove from the Products any trademarks, trade names, logos, patent or copyright notices or markings, (d) use the Products solely in accordance with CST Product Terms of Sale and any applicable documentation, and (e) comply with any license, terms of service or similar agreement with respect to any third party products or services used by Customer in connection with the Products.

Orders: 877-616-CELL (2355) [email protected] Support: 877-678-TECH (8324) [email protected] Web: cellsignal.com
For Research Use Only. Not for Use in Diagnostic Procedures.

Revision 1

Cell Signaling Technology Logo
Western blot analysis of extracts from various cell lines using Annexin A2 (D11G2) Rabbit mAb (upper) and GAPDH (14C10) Rabbit mAb #2118 (lower). Data were generated using the standard formulation of this product.
Western Blotting Image 1: Annexin A2 (D11G2) Rabbit Monoclonal Antibody (BSA and Azide Free)
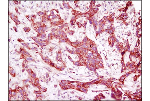
Immunohistochemical analysis of paraffin-embedded human breast carcinoma using Annexin A2 (D11G2) Rabbit mAb. Data were generated using the standard formulation of this product.
Immunohistochemistry Image 1: Annexin A2 (D11G2) Rabbit Monoclonal Antibody (BSA and Azide Free)
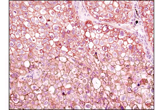
Immunohistochemical analysis of paraffin-embedded human lung carcinoma using Annexin A2 (D11G2) Rabbit mAb. Data were generated using the standard formulation of this product.
Immunohistochemistry Image 2: Annexin A2 (D11G2) Rabbit Monoclonal Antibody (BSA and Azide Free)
Orders: 877-616-CELL (2355) [email protected] Support: 877-678-TECH (8324) [email protected] Web: cellsignal.com
For Research Use Only. Not for Use in Diagnostic Procedures.

Revision 1

Cell Signaling Technology Logo
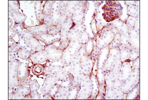
Immunohistochemical analysis of paraffin-embedded mouse kidney using Annexin A2 (D11G2) Rabbit mAb. Data were generated using the standard formulation of this product.
Immunohistochemistry Image 3: Annexin A2 (D11G2) Rabbit Monoclonal Antibody (BSA and Azide Free)
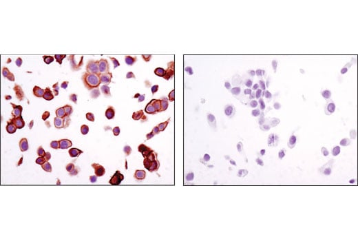
Immunohistochemical analysis of paraffin-embedded MCF7 (left) or LNCaP (right) cell pellets using Annexin A2 (D11G2) Rabbit mAb. Data were generated using the standard formulation of this product.
Immunohistochemistry Image 4: Annexin A2 (D11G2) Rabbit Monoclonal Antibody (BSA and Azide Free)
Confocal immunofluorescent analysis of MCF7 (left), HUVE (middle), and LNCaP (right) cells using Annexin A2 (D11G2) Rabbit mAb (green). Blue pseudocolor = DRAQ5® #4084 (fluorescent DNA dye). Data were generated using the standard formulation of this product.
Immunofluorescence Image 1: Annexin A2 (D11G2) Rabbit Monoclonal Antibody (BSA and Azide Free)
Orders: 877-616-CELL (2355) [email protected] Support: 877-678-TECH (8324) [email protected] Web: cellsignal.com
For Research Use Only. Not for Use in Diagnostic Procedures.

Revision 1

Cell Signaling Technology Logo
Flow cytometric analysis of HL-60 cells (blue) and K562 cells (green) using Annexin A2 (D11G2) Rabbit mAb (solid lines) or concentration-matched Rabbit (DA1E) mAb IgG XP® Isotype Control #3900 (dashed lines). Anti-rabbit IgG (H+L), F(ab')2 Fragment (Alexa Fluor® 488 Conjugate) #4412 was used as a secondary antibody. Data were generated using the standard formulation of this product.
Flow Cytometry Image 1: Annexin A2 (D11G2) Rabbit Monoclonal Antibody (BSA and Azide Free)
Orders: 877-616-CELL (2355) [email protected] Support: 877-678-TECH (8324) [email protected] Web: cellsignal.com
For Research Use Only. Not for Use in Diagnostic Procedures.