Revision 1

#71153

Store at -20C

CST Logo
Orders:

877-616-CELL (2355)

[email protected]

Support:

877-678-TECH (8324)

3 Trask Lane | Danvers | Massachusetts | 01923 | USA

For Research Use Only. Not for Use in Diagnostic Procedures.

Applications:
W, IHC-P, IF-IC, FC-FP, FC-L

Reactivity:
H

Sensitivity:
Endogenous

MW (kDa):
120, 130

Source/Isotype:
Rabbit IgG

UniProt ID:
#O60462

Entrez-Gene Id:
8828

Product Usage Information

This product is the carrier free version of product #98780. All data were generated using the same antibody clone in the standard formulation which contains BSA and glycerol.

This formulation is ideal for use with technologies requiring specialized or custom antibody labeling, including fluorophores, metals, lanthanides, and oligonucleotides. It is not recommended for ChIP, ChIP-seq, CUT&RUN or CUT&Tag assays. If you require a carrier free formulation for chromatin profiling, please contact us. Optimal dilutions/concentrations should be determined by the end user.

BSA and Azide Free antibodies are quality control tested by size exclusion chromatography (SEC) to determine antibody integrity.

Formulation

Supplied in 1X PBS (10 mM Na2HPO4, 3 mM KCl, 2 mM KH2PO4, and 140 mM NaCl (pH 7.8)). BSA and Azide Free.

For standard formulation of this product see product #98780.

Storage

Store at -20°C. This product will freeze at -20°C so it is recommended to aliquot into single-use vials to avoid multiple freeze/thaw cycles. A slight precipitate may be present and can be dissolved by gently vortexing. This will not interfere with antibody performance.

Specificity/Sensitivity

Neuropilin-2 (E5Q2G) Rabbit Monoclonal Antibody (BSA and Azide Free) recognizes endogenous levels of total neuropilin-2 protein.

Source / Purification

Monoclonal antibody is produced by immunizing animals with a synthetic peptide corresponding to residues surrounding Asp682 of human neuropilin-2 protein.

Background

Class 3 secreted semaphorin (Sema3A) is a chemorepellent that acts upon a wide variety of axons. As such, it induces a dramatic redistribution and depolymerization of actin filaments that results in growth cone collapse. Plexins are single-pass, transmembrane signaling proteins encompassing Plexin A1, A2, A3, and A4. Plexins form a complex with neuropilin-1 and -2 and the cell adhesion protein L1 to form a functional semaphorin receptor (1,2). The GTPase Rnd1 binds to the cytoplasmic domain of Plexin A1 to trigger cytoskeletal collapse. In contrast, the GTPase RhoD blocks Rnd1-mediated Plexin A1 activation and repulsion of sympathetic axons by Sema3A (3).

Neuropilin-2, a single-pass, transmembrane glycoprotein, can also bind to VEGF165 and VEGF145, but not VEGF121. Thus, in addition to neuronal guidance, neuropilin-2 plays a role in angiogenesis and cardiovascular functions (4). Although neuropilin-2 has been linked to tumor biology (e.g., pancreatic cancer, bladder cancer, lung cancer, and neuroblastoma), its role in tumor pathogenesis is still under investigation (4,5).

Species Reactivity

Species reactivity is determined by testing in at least one approved application (e.g., western blot).

Applications Key

W: Western Blotting IHC-P: Immunohistochemistry (Paraffin) IF-IC: Immunofluorescence (Immunocytochemistry) FC-FP: Flow Cytometry (Fixed/Permeabilized) FC-L: Flow Cytometry (Live)

Cross-Reactivity Key

H: Human

Trademarks and Patents

Cell Signaling Technology is a trademark of Cell Signaling Technology, Inc.

All other trademarks are the property of their respective owners. Visit cellsignal.com/trademarks for more information.

Limited Uses

Except as otherwise expressly agreed in a writing signed by a legally authorized representative of CST, the following terms apply to Products provided by CST, its affiliates or its distributors. Any Customer's terms and conditions that are in addition to, or different from, those contained herein, unless separately accepted in writing by a legally authorized representative of CST, are rejected and are of no force or effect.

Products are labeled with For Research Use Only or a similar labeling statement and have not been approved, cleared, or licensed by the FDA or other regulatory foreign or domestic entity, for any purpose. Customer shall not use any Product for any diagnostic or therapeutic purpose, or otherwise in any manner that conflicts with its labeling statement. Products sold or licensed by CST are provided for Customer as the end-user and solely for research and development uses. Any use of Product for diagnostic, prophylactic or therapeutic purposes, or any purchase of Product for resale (alone or as a component) or other commercial purpose, requires a separate license from CST. Customer shall (a) not sell, license, loan, donate or otherwise transfer or make available any Product to any third party, whether alone or in combination with other materials, or use the Products to manufacture any commercial products, (b) not copy, modify, reverse engineer, decompile, disassemble or otherwise attempt to discover the underlying structure or technology of the Products, or use the Products for the purpose of developing any products or services that would compete with CST products or services, (c) not alter or remove from the Products any trademarks, trade names, logos, patent or copyright notices or markings, (d) use the Products solely in accordance with CST Product Terms of Sale and any applicable documentation, and (e) comply with any license, terms of service or similar agreement with respect to any third party products or services used by Customer in connection with the Products.

Orders: 877-616-CELL (2355) [email protected] Support: 877-678-TECH (8324) [email protected] Web: cellsignal.com
For Research Use Only. Not for Use in Diagnostic Procedures.

Revision 1

Cell Signaling Technology Logo
Western blot analysis of extracts from various cell lines using Neuropilin-2 (E5Q2G) Rabbit mAb (upper) or GAPDH (D16H11) XP® Rabbit mAb #5174 (lower). Negative expression of neuropilin-2 protein in NCI-H522, K-562, and SW 1271 cells is consistent with the predicted expression pattern. Data were generated using the standard formulation of this product.
Western Blotting Image 1: Neuropilin-2 (E5Q2G) Rabbit Monoclonal Antibody (BSA and Azide Free)
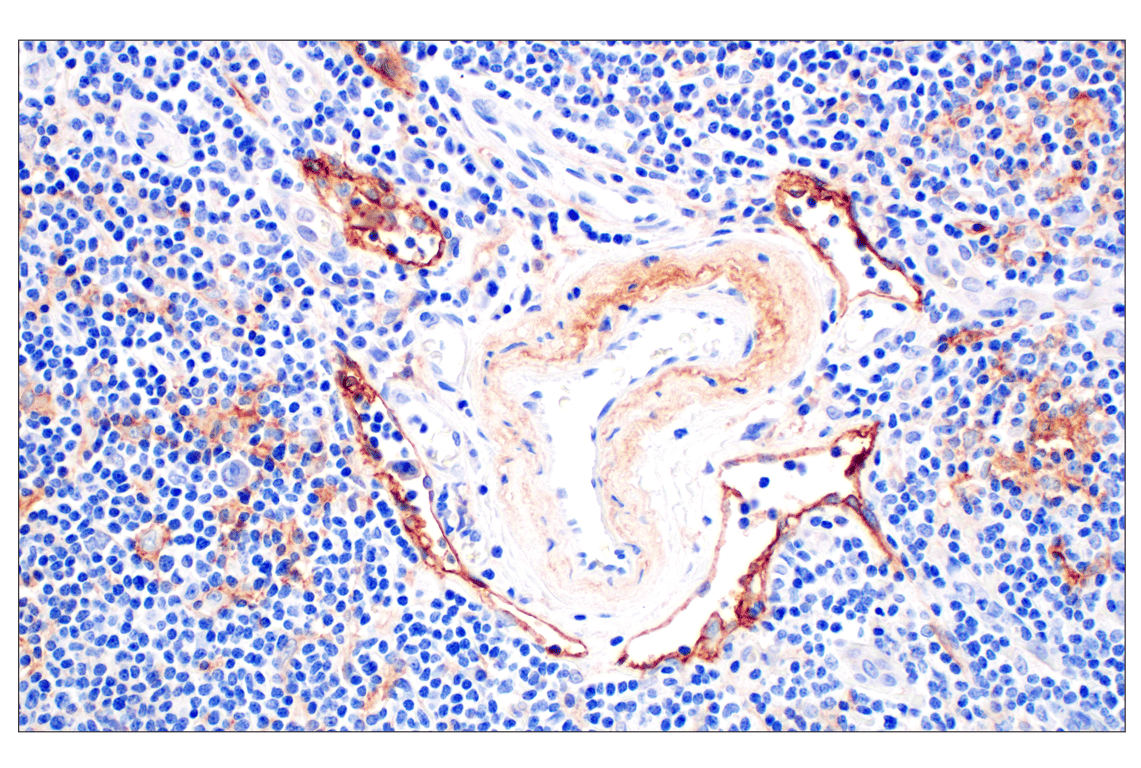
Immunohistochemical analysis of paraffin-embedded human Hodgkin lymphoma using Neuropilin-2 (E5Q2G) Rabbit mAb. Data were generated using the standard formulation of this product.
Immunohistochemistry Image 1: Neuropilin-2 (E5Q2G) Rabbit Monoclonal Antibody (BSA and Azide Free)
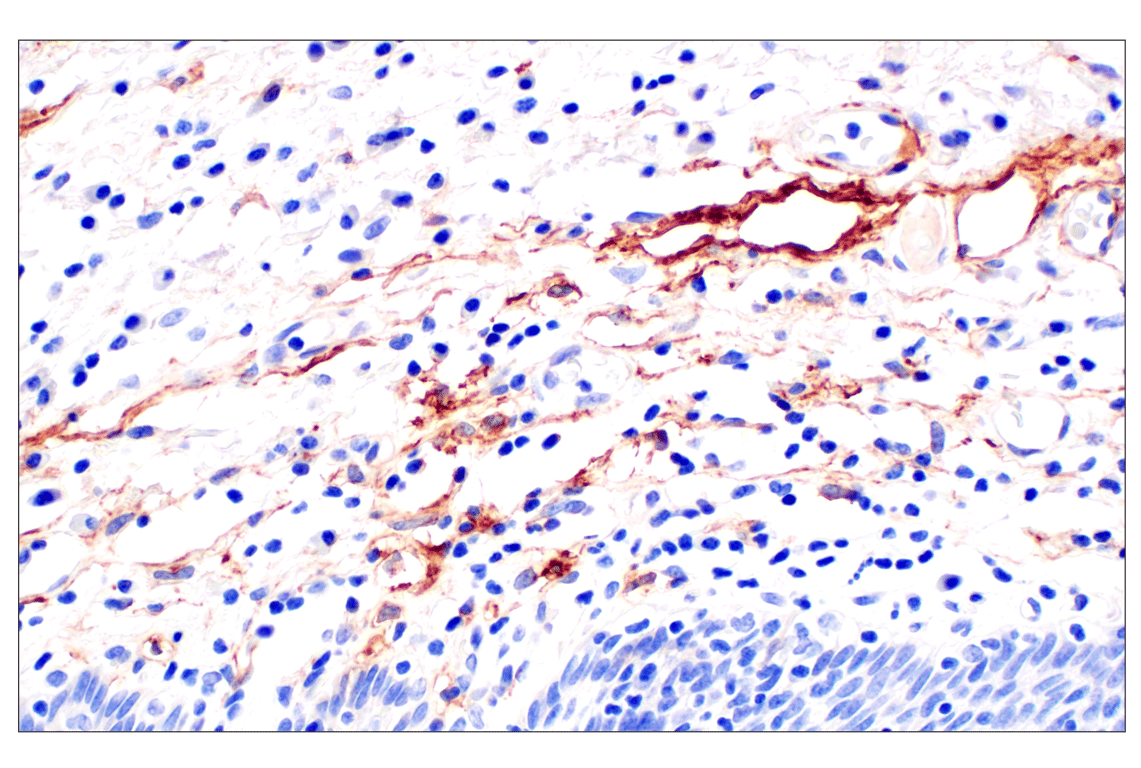
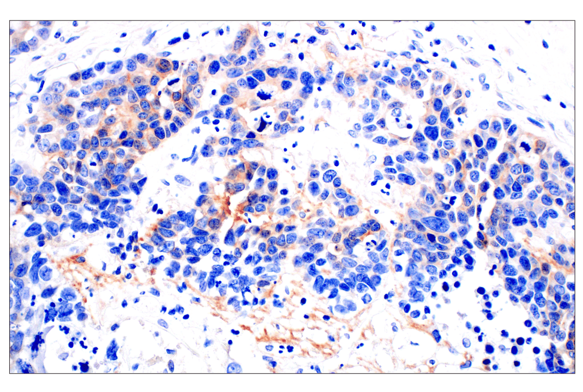
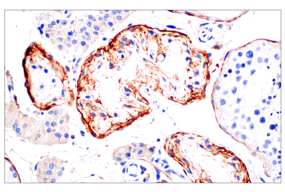
Immunohistochemical analysis of paraffin-embedded human lung adenocarcinoma using Neuropilin-2 (E5Q2G) Rabbit mAb. Data were generated using the standard formulation of this product.
Immunohistochemistry Image 2: Neuropilin-2 (E5Q2G) Rabbit Monoclonal Antibody (BSA and Azide Free)
Orders: 877-616-CELL (2355) [email protected] Support: 877-678-TECH (8324) [email protected] Web: cellsignal.com
For Research Use Only. Not for Use in Diagnostic Procedures.

Revision 1

Cell Signaling Technology Logo
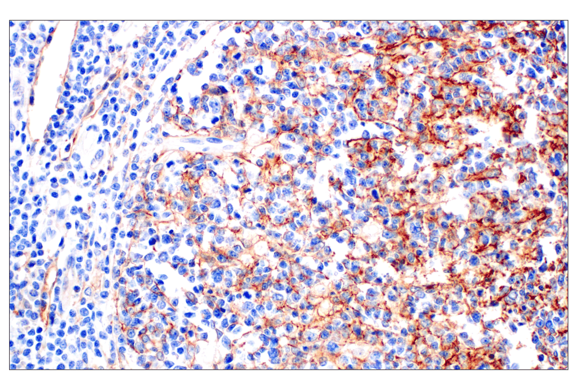
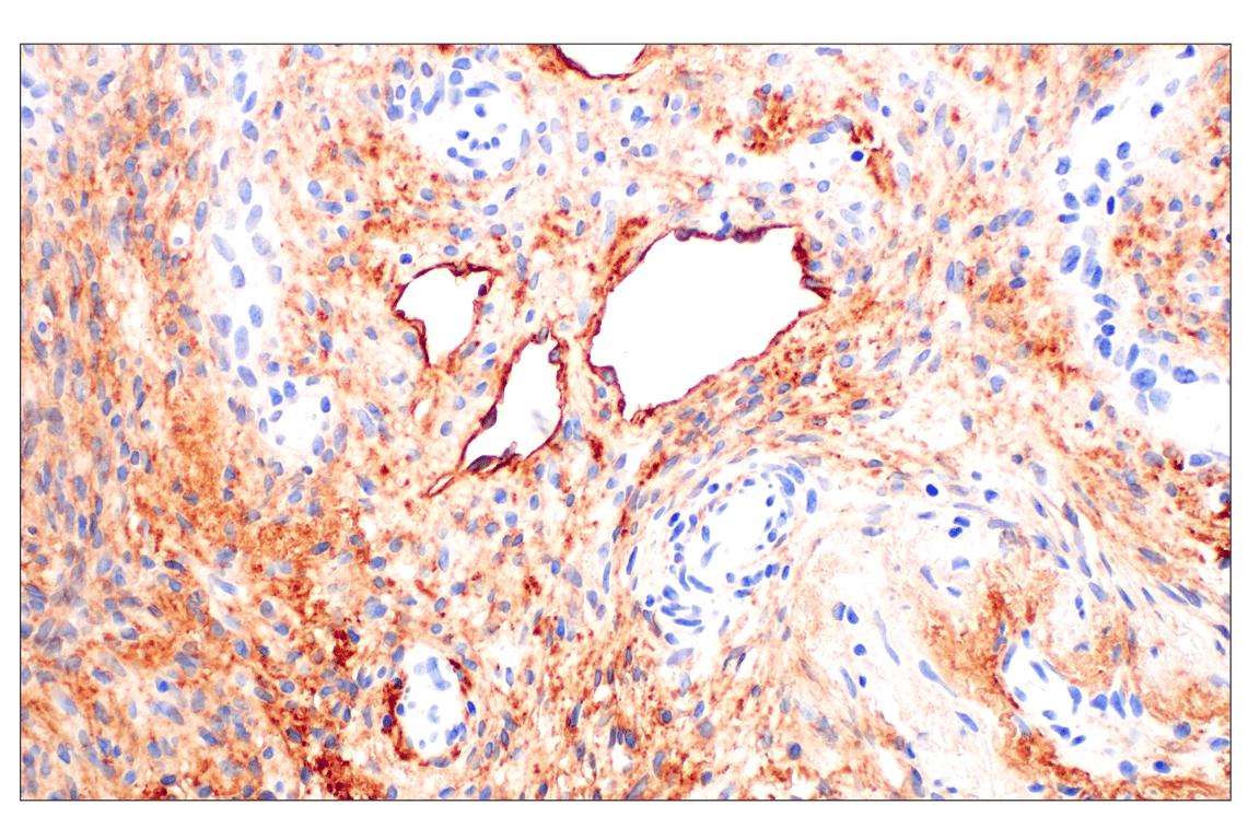
Immunohistochemical analysis of paraffin-embedded human ductal breast carcinoma using Neuropilin-2 (E5Q2G) Rabbit mAb. Data were generated using the standard formulation of this product.
Immunohistochemistry Image 3: Neuropilin-2 (E5Q2G) Rabbit Monoclonal Antibody (BSA and Azide Free)
Immunohistochemical analysis of paraffin-embedded human tonsil using Neuropilin-2 (E5Q2G) Rabbit mAb. Data were generated using the standard formulation of this product.
Immunohistochemistry Image 4: Neuropilin-2 (E5Q2G) Rabbit Monoclonal Antibody (BSA and Azide Free)
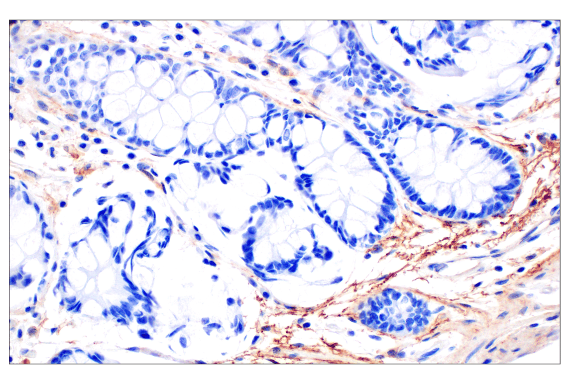
Immunohistochemical analysis of paraffin-embedded normal human colon using Neuropilin-2 (E5Q2G) Rabbit mAb. Data were generated using the standard formulation of this product.
Immunohistochemistry Image 5: Neuropilin-2 (E5Q2G) Rabbit Monoclonal Antibody (BSA and Azide Free)
Orders: 877-616-CELL (2355) [email protected] Support: 877-678-TECH (8324) [email protected] Web: cellsignal.com
For Research Use Only. Not for Use in Diagnostic Procedures.

Revision 1

Cell Signaling Technology Logo
Immunohistochemical analysis of paraffin-embedded normal human testis using Neuropilin-2 (E5Q2G) Rabbit mAb. Data were generated using the standard formulation of this product.
Immunohistochemistry Image 6: Neuropilin-2 (E5Q2G) Rabbit Monoclonal Antibody (BSA and Azide Free)
Immunohistochemical analysis of a Peyer's patch within paraffin-embedded normal human small intestine using Neuropilin-2 (E5Q2G) Rabbit mAb. Data were generated using the standard formulation of this product.
Immunohistochemistry Image 7: Neuropilin-2 (E5Q2G) Rabbit Monoclonal Antibody (BSA and Azide Free)
Immunohistochemical analysis of paraffin-embedded normal human ovary using Neuropilin-2 (E5Q2G) Rabbit mAb. Data were generated using the standard formulation of this product.
Immunohistochemistry Image 8: Neuropilin-2 (E5Q2G) Rabbit Monoclonal Antibody (BSA and Azide Free)
Orders: 877-616-CELL (2355) [email protected] Support: 877-678-TECH (8324) [email protected] Web: cellsignal.com
For Research Use Only. Not for Use in Diagnostic Procedures.

Revision 1

Cell Signaling Technology Logo
Immunohistochemical analysis of paraffin-embedded normal human esophagus using Neuropilin-2 (E5Q2G) Rabbit mAb. Data were generated using the standard formulation of this product.
Immunohistochemistry Image 9: Neuropilin-2 (E5Q2G) Rabbit Monoclonal Antibody (BSA and Azide Free)
Immunohistochemical analysis of paraffin-embedded normal human lymph node using Neuropilin-2 (E5Q2G) Rabbit mAb (left) compared to concentration-matched Rabbit (DA1E) mAb IgG XP® Isotype Control #3900 (right).  Data were generated using the standard formulation of this product.
Immunohistochemistry Image 10: Neuropilin-2 (E5Q2G) Rabbit Monoclonal Antibody (BSA and Azide Free)
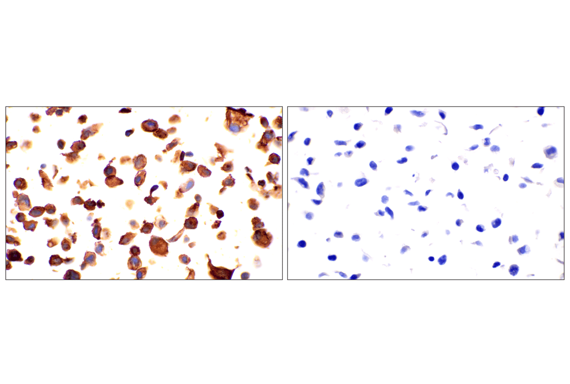
Immunohistochemical analysis of paraffin-embedded LOX-IMVI cell pellet (left, positive) or SW 1271 cell pellet (right, negative) using Neuropilin-2 (E5Q2G) Rabbit mAb. Data were generated using the standard formulation of this product.
Immunohistochemistry Image 11: Neuropilin-2 (E5Q2G) Rabbit Monoclonal Antibody (BSA and Azide Free)
Orders: 877-616-CELL (2355) [email protected] Support: 877-678-TECH (8324) [email protected] Web: cellsignal.com
For Research Use Only. Not for Use in Diagnostic Procedures.

Revision 1

Cell Signaling Technology Logo
Confocal immunofluorescent analysis of U-87 MG cells (left, positive) and SW 1271 cells (right, negative) using Neuropilin-2 (E5Q2G) Rabbit mAb (green), DyLight 554 Phalloidin #13054 (red), and DAPI #4083 (blue). Data were generated using the standard formulation of this product.
Immunofluorescence Image 1: Neuropilin-2 (E5Q2G) Rabbit Monoclonal Antibody (BSA and Azide Free)
Flow cytometric analysis of fixed/permeabilized SW 1271 cells (blue, negative) and U-87 MG cells (green, positive) using Neuropilin-2 (E5Q2G) Rabbit mAb (solid lines) or concentration-matched Rabbit (DA1E) mAb IgG XP® Isotype Control #3900 (dashed lines). Anti-rabbit IgG (H+L), F(ab')2 Fragment (Alexa Fluor® 647 Conjugate) #4414 was used as a secondary antibody. Data were generated using the standard formulation of this product.
Flow Cytometry Image 1: Neuropilin-2 (E5Q2G) Rabbit Monoclonal Antibody (BSA and Azide Free)
Flow cytometric analysis of live SW 1271 cells (blue, negative) and U-87 MG cells (green, positive) using Neuropilin-2 (E5Q2G) Rabbit mAb (solid lines) or concentration-matched Rabbit (DA1E) mAb IgG XP® Isotype Control #3900 (dashed lines). Anti-rabbit IgG (H+L), F(ab')2 Fragment (Alexa Fluor® 647 Conjugate) #4414 was used as a secondary antibody. Data were generated using the standard formulation of this product.
Flow Cytometry Image 1: Neuropilin-2 (E5Q2G) Rabbit Monoclonal Antibody (BSA and Azide Free)
Orders: 877-616-CELL (2355) [email protected] Support: 877-678-TECH (8324) [email protected] Web: cellsignal.com
For Research Use Only. Not for Use in Diagnostic Procedures.