Revision 3

#7162

Store at +4C

PathScan® Total Bad Sandwich ELISA Kit

1 Kit

(96 assays)

Species Cross Reactivity:
H Mk

UniProt ID:
#Q92934

Entrez-Gene Id:
#572

CST Logo
Orders:

877-616-CELL (2355)

[email protected]

Support:

877-678-TECH (8324)

3 Trask Lane | Danvers | Massachusetts | 01923 | USA

For Research Use Only. Not for Use in Diagnostic Procedures.

Product Includes Product # Quantity Color Storage Temp
Bad Rabbit mAb Coated Microwells3951396 tests+4C
Bad Mouse Detection mAb92541 eaGreen (Lyophilized)+4C
Anti-mouse IgG, HRP-linked Antibody (ELISA Formulated)133041 eaRed (Lyophilized)+4C
Detection Antibody Diluent1333911 mlGreen+4C
HRP Diluent1351511 mlRed+4C
TMB Substrate700411 ml+4C
STOP Solution700211 ml+4C
Sealing Tape545032 ea+4C
ELISA Wash Buffer (20X)980125 ml+4C
ELISA Sample Diluent1108325 mlBlue+4C
Cell Lysis Buffer (10X)980315 ml-20C

Kit contents scale proportionally with size, except sealing tape.
Example: The V1 kit contains 5X the listed quantities above, but will exclude the sealing tape.

For the “C” and “V” kits, the supplied 96-well strip plate consists of twelve 8-well strips in a support frame. This enables custom plate configurations.

Description

CST's PathScan® Total Bad Sandwich ELISA Kit is a solid phase sandwich enzyme-linked immunosorbent assay (ELISA) that detects endogenous levels of total Bad protein. A Bad Rabbit mAb has been coated onto the microwells. After incubation with cell lysates, Bad protein (phospho and nonphospho) is captured by the coated antibody. Following extensive washing, a Bad Mouse mAb is added to detect the captured Bad protein. Anti-mouse IgG, HRP-linked Antibody is then used to recognize the bound detection antibody. HRP substrate, TMB, is added to develop color. The magnitude of absorbance for this developed color is proportional to the quantity of total Bad protein.

*Antibodies in kit are custom formulations specific to kit.

Specificity/Sensitivity

PathScan® Total Bad Sandwich ELISA Kit #7162 detects endogenous levels of Bad protein. A significant induction of Bad phosphorylation at Ser112 can be detected in TPA-treated OVCAR8 cells using PathScan® Phospho-Bad (Ser112) Sandwich ELISA Kit #7182. However, the level of total Bad protein (phospho and nonphospho) detected by PathScan® Total Bad Sandwich ELISA Kit #7162 remains unchanged (Figure 1). In Figure 3, Western analysis of protein captured in microwells coated with the Bad antibody shows a major band corresponding to the Bad protein. This kit detects proteins from the indicated species, as determined through in-house testing, but may also detect homologous proteins from other species.

Background

Bad is a proapoptotic member of the Bcl-2 family that promotes cell death by displacing Bax from binding to Bcl-2 and Bcl-xL (1,2). Survival factors, such as IL-3, inhibit the apoptotic activity of Bad by activating intracellular signaling pathways that result in the phosphorylation of Bad at Ser112 and Ser136 (2). Phosphorylation at these sites promotes binding of Bad to 14-3-3 proteins to prevent an association between Bad with Bcl-2 and Bcl-xL (2). Akt phosphorylates Bad at Ser136 to promote cell survival (3,4). Bad is phosphorylated at Ser112 both in vivo and in vitro by p90RSK (5,6) and mitochondria-anchored PKA (7). Phosphorylation at Ser155 in the BH3 domain by PKA plays a critical role in blocking the dimerization of Bad and Bcl-xL (8-10).

Trademarks and Patents

Cell Signaling Technology is a trademark of Cell Signaling Technology, Inc.

PathScan is a registered trademark of Cell Signaling Technology, Inc.

All other trademarks are the property of their respective owners. Visit cellsignal.com/trademarks for more information.

Limited Uses

Except as otherwise expressly agreed in a writing signed by a legally authorized representative of CST, the following terms apply to Products provided by CST, its affiliates or its distributors. Any Customer's terms and conditions that are in addition to, or different from, those contained herein, unless separately accepted in writing by a legally authorized representative of CST, are rejected and are of no force or effect.

Products are labeled with For Research Use Only or a similar labeling statement and have not been approved, cleared, or licensed by the FDA or other regulatory foreign or domestic entity, for any purpose. Customer shall not use any Product for any diagnostic or therapeutic purpose, or otherwise in any manner that conflicts with its labeling statement. Products sold or licensed by CST are provided for Customer as the end-user and solely for research and development uses. Any use of Product for diagnostic, prophylactic or therapeutic purposes, or any purchase of Product for resale (alone or as a component) or other commercial purpose, requires a separate license from CST. Customer shall (a) not sell, license, loan, donate or otherwise transfer or make available any Product to any third party, whether alone or in combination with other materials, or use the Products to manufacture any commercial products, (b) not copy, modify, reverse engineer, decompile, disassemble or otherwise attempt to discover the underlying structure or technology of the Products, or use the Products for the purpose of developing any products or services that would compete with CST products or services, (c) not alter or remove from the Products any trademarks, trade names, logos, patent or copyright notices or markings, (d) use the Products solely in accordance with CST Product Terms of Sale and any applicable documentation, and (e) comply with any license, terms of service or similar agreement with respect to any third party products or services used by Customer in connection with the Products.

Orders: 877-616-CELL (2355) [email protected] Support: 877-678-TECH (8324) [email protected] Web: cellsignal.com
For Research Use Only. Not for Use in Diagnostic Procedures.

Revision 3

Cell Signaling Technology Logo
Figure 1. Treatment of OVCAR8 cells with TPA stimulates phosphorylation of Bad at Ser112, detected by PathScan® Phospho-Bad (Ser112) Sandwich ELISA Kit #7182, but does not affect the level of total Bad protein detected by PathScan® Total Bad Sandwich ELISA Kit #7162. Lambda phosphatase treatment of control cell lysates (4000 U/mL for 60 minutes at 37ºC) abolishes the basal phosphorylation of Bad as shown by both Sandwich ELISA and Western analysis. The absorbance readings at 450 nm are shown in the top figure, while the corresponding Western blots using Phospho-Bad (Ser112) Antibody #9296 (right panel) or Bad Antibody #9254 (left panel), are shown in the bottom figure.
ELISA Image 1: PathScan<sup>®</sup> Total Bad Sandwich ELISA Kit
Figure 2. The relationship between the protein concentration of untreated and TPA-treated OVCAR8 cell lysates and the absorbance at 450 nm is shown. Cells were serum starved overnight and then treated with 200 nm TPA for 30 min. at 37ºC.
ELISA Image 2: PathScan<sup>®</sup> Total Bad Sandwich ELISA Kit
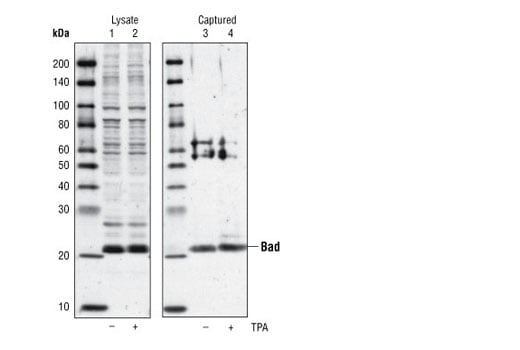
Figure 3. Kit specificity as demonstrated by Western analysis of the ELISA microwell captured protein. Lysates were prepared from OVCAR8 cells and incubated in microwells coated with the Bad capture antibody. Wells were washed, and the captured protein was solubilized in SDS gel loading buffer. Western analysis of OVCAR8 cell starting lysate (lanes 1 & 2) and the captured protein (lanes 3 & 4) was performed using Bad Mouse mAb #9254. The major band detected in the captured material corresponds to the Bad protein (lanes 3 & 4).
ELISA Image 3: PathScan<sup>®</sup> Total Bad Sandwich ELISA Kit
Orders: 877-616-CELL (2355) [email protected] Support: 877-678-TECH (8324) [email protected] Web: cellsignal.com
For Research Use Only. Not for Use in Diagnostic Procedures.