Revision 1

#71888

Store at -20C

CST Logo
Orders:

877-616-CELL (2355)

[email protected]

Support:

877-678-TECH (8324)

3 Trask Lane | Danvers | Massachusetts | 01923 | USA

For Research Use Only. Not for Use in Diagnostic Procedures.

Applications:
IHC-P

Reactivity:
M

Sensitivity:
Endogenous

Source/Isotype:
Rabbit IgG

UniProt ID:
#Q8C567

Entrez-Gene Id:
17086

Product Usage Information

Application Dilution
Immunohistochemistry (Paraffin) 1:25 - 1:100

Storage

Supplied in 10 mM sodium HEPES (pH 7.5), 150 mM NaCl, 100 µg/mL BSA, 50% glycerol, and less than 0.02% sodium azide. Store at –20°C. Do not aliquot the antibody.

Specificity/Sensitivity

NCR1/NKp46 (F8M2L) Rabbit Monoclonal Antibody (IHC Formulated) recognizes endogenous levels of total NCR1/NKp46 protein.

Source / Purification

Monoclonal antibody is produced by immunizing animals with recombinant protein specific to the amino terminus of mouse NCR1/NKp46 protein.

Background

The family of natural cytotoxicity receptors (NCRs) contains NCR1 (NKp46/CD335), NCR2 (NKp44/CD336), and NCR3 (NKp30/CD337). They are single-pass type I transmembrane proteins belonging to the immunoglobulin (Ig) superfamily. Various pathogen-derived and host-encoded molecules have been identified as ligands for the NCRs. They were originally identified by their ability to evoke the cytotoxicity of natural killer (NK) cells toward tumor cells in vitro, and animal models have demonstrated that NCRs play a role in vivo in tumor surveillance, viral infection, and pregnancy (1-5).

NCR1/NKp46 is considered a universal marker for NK cells, and recent studies found that it is also expressed by other cells, such as group 1 innate lymphoid cells (ILC1s), a subset of group 3 ILCs (NCR+ ILC3), and γδ T cells (2-4). NCR1/NKp46 is also expressed on and considered a diagnostic marker and therapeutic target for some malignant NK, NKT, and T cell lymphomas (6,7). Cross-linking NCR1/NKp46 with antibodies can activate NK cells, which has been pursued as a promising therapeutic avenue (8).

Species Reactivity

Species reactivity is determined by testing in at least one approved application (e.g., western blot).

Applications Key

IHC-P: Immunohistochemistry (Paraffin)

Cross-Reactivity Key

M: Mouse

Trademarks and Patents

Cell Signaling Technology is a trademark of Cell Signaling Technology, Inc.

All other trademarks are the property of their respective owners. Visit cellsignal.com/trademarks for more information.

Limited Uses

Except as otherwise expressly agreed in a writing signed by a legally authorized representative of CST, the following terms apply to Products provided by CST, its affiliates or its distributors. Any Customer's terms and conditions that are in addition to, or different from, those contained herein, unless separately accepted in writing by a legally authorized representative of CST, are rejected and are of no force or effect.

Products are labeled with For Research Use Only or a similar labeling statement and have not been approved, cleared, or licensed by the FDA or other regulatory foreign or domestic entity, for any purpose. Customer shall not use any Product for any diagnostic or therapeutic purpose, or otherwise in any manner that conflicts with its labeling statement. Products sold or licensed by CST are provided for Customer as the end-user and solely for research and development uses. Any use of Product for diagnostic, prophylactic or therapeutic purposes, or any purchase of Product for resale (alone or as a component) or other commercial purpose, requires a separate license from CST. Customer shall (a) not sell, license, loan, donate or otherwise transfer or make available any Product to any third party, whether alone or in combination with other materials, or use the Products to manufacture any commercial products, (b) not copy, modify, reverse engineer, decompile, disassemble or otherwise attempt to discover the underlying structure or technology of the Products, or use the Products for the purpose of developing any products or services that would compete with CST products or services, (c) not alter or remove from the Products any trademarks, trade names, logos, patent or copyright notices or markings, (d) use the Products solely in accordance with CST Product Terms of Sale and any applicable documentation, and (e) comply with any license, terms of service or similar agreement with respect to any third party products or services used by Customer in connection with the Products.

Orders: 877-616-CELL (2355) [email protected] Support: 877-678-TECH (8324) [email protected] Web: cellsignal.com
For Research Use Only. Not for Use in Diagnostic Procedures.

Revision 1

Cell Signaling Technology Logo
Immunohistochemical analysis of paraffin-embedded CT26.WT syngeneic tumor using NCR1/NKp46 (F8M2L) Rabbit mAb (IHC Formulated).
Immunohistochemistry Image 1: NCR1/NKp46 (F8M2L) Rabbit Monoclonal Antibody (IHC Formulated)
Immunohistochemical analysis of paraffin-embedded 4T1 syngeneic tumor using NCR1/NKp46 (F8M2L) Rabbit mAb (IHC Formulated).
Immunohistochemistry Image 2: NCR1/NKp46 (F8M2L) Rabbit Monoclonal Antibody (IHC Formulated)
Immunohistochemical analysis of paraffin-embedded GL261 syngeneic tumor using NCR1/NKp46 (F8M2L) Rabbit mAb (IHC Formulated).
Immunohistochemistry Image 3: NCR1/NKp46 (F8M2L) Rabbit Monoclonal Antibody (IHC Formulated)
Orders: 877-616-CELL (2355) [email protected] Support: 877-678-TECH (8324) [email protected] Web: cellsignal.com
For Research Use Only. Not for Use in Diagnostic Procedures.

Revision 1

Cell Signaling Technology Logo
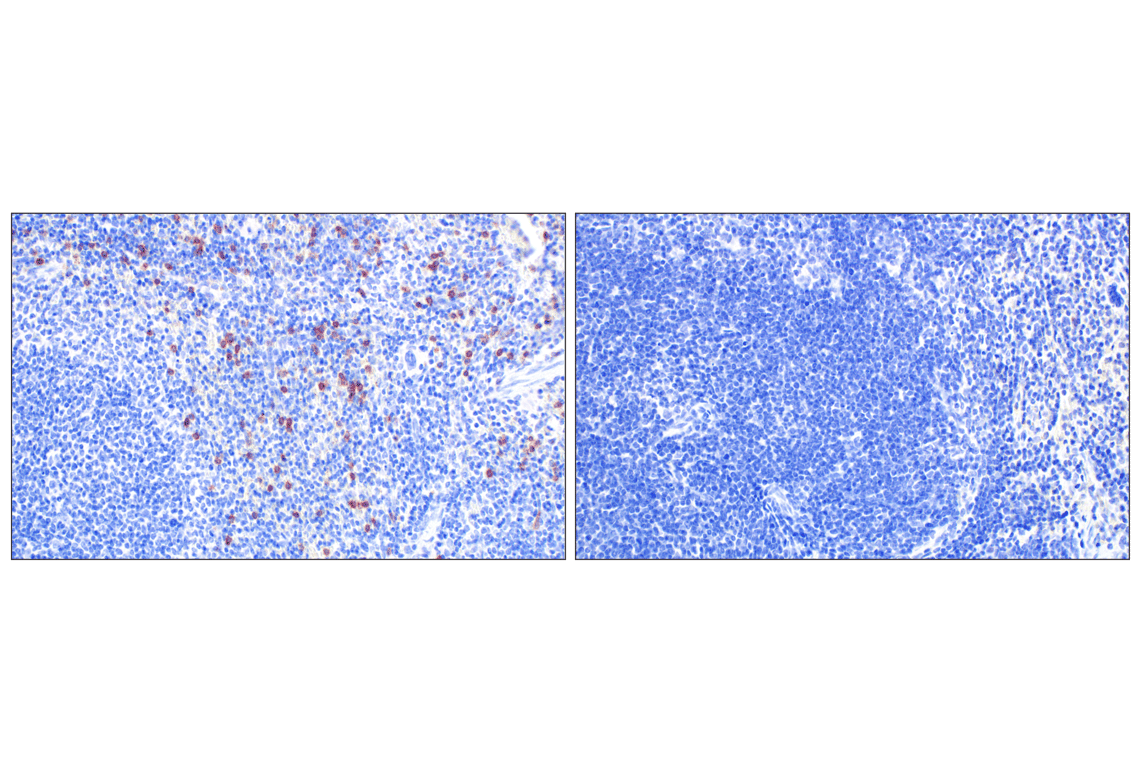
Immunohistochemical analysis of paraffin-embedded wild-type C57BL/6 spleen (left) or Ncr1 knockout spleen (right, JAX stock #022739) using NCR1/NKp46 (F8M2L) Rabbit mAb (IHC Formulated).
Immunohistochemistry Image 4: NCR1/NKp46 (F8M2L) Rabbit Monoclonal Antibody (IHC Formulated)
Immunohistochemical analysis of paraffin-embedded mouse spleen using NCR1/NKp46 (F8M2L) Rabbit mAb (IHC Formulated).
Immunohistochemistry Image 5: NCR1/NKp46 (F8M2L) Rabbit Monoclonal Antibody (IHC Formulated)
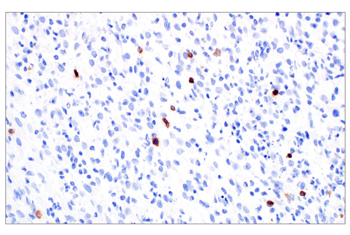
Immunohistochemical analysis of paraffin-embedded mouse colon using NCR1/NKp46 (F8M2L) Rabbit mAb (IHC Formulated).
Immunohistochemistry Image 6: NCR1/NKp46 (F8M2L) Rabbit Monoclonal Antibody (IHC Formulated)
Orders: 877-616-CELL (2355) [email protected] Support: 877-678-TECH (8324) [email protected] Web: cellsignal.com
For Research Use Only. Not for Use in Diagnostic Procedures.

Revision 1

Cell Signaling Technology Logo
Immunohistochemical analysis of paraffin-embedded mouse small intestine using NCR1/NKp46 (F8M2L) Rabbit mAb (IHC Formulated).
Immunohistochemistry Image 7: NCR1/NKp46 (F8M2L) Rabbit Monoclonal Antibody (IHC Formulated)
Immunohistochemical analysis of paraffin-embedded human CT26 syngeneic tumor using NCR1/NKp46 (F8M2L) Rabbit mAb (IHC Formulated) (left) compared to concentration-matched Rabbit (DA1E) mAb IgG XP® Isotype Control #3900 (right).
Immunohistochemistry Image 8: NCR1/NKp46 (F8M2L) Rabbit Monoclonal Antibody (IHC Formulated)
Immunohistochemical analysis of paraffin-embedded 293T cell pellet, untransfected (left) or mouse ncr1-transfected (right), using NCR1/NKp46 (F8M2L) Rabbit mAb (IHC Formulated).
Immunohistochemistry Image 9: NCR1/NKp46 (F8M2L) Rabbit Monoclonal Antibody (IHC Formulated)
Orders: 877-616-CELL (2355) [email protected] Support: 877-678-TECH (8324) [email protected] Web: cellsignal.com
For Research Use Only. Not for Use in Diagnostic Procedures.