Revision 1

#72096

Store at -20C

CST Logo
Orders:

877-616-CELL (2355)

[email protected]

Support:

877-678-TECH (8324)

3 Trask Lane | Danvers | Massachusetts | 01923 | USA

For Research Use Only. Not for Use in Diagnostic Procedures.

Applications:
W, IP

Reactivity:
H M R

Sensitivity:
Endogenous

MW (kDa):
90

Source/Isotype:
Rabbit IgG

UniProt ID:
#Q07343

Entrez-Gene Id:
5142

Product Usage Information

Application Dilution
Western Blotting 1:1000
Immunoprecipitation 1:50

Storage

Supplied in 10 mM sodium HEPES (pH 7.5), 150 mM NaCl, 100 µg/ml BSA, 50% glycerol and less than 0.02% sodium azide. Store at –20°C. Do not aliquot the antibody.

Specificity/Sensitivity

PDE4B (D7R1Y) Rabbit Monoclonal Antibody recognizes endogenous levels of total PDE4B protein. This antibody does not cross-react with PDE4A protein.

Source / Purification

Monoclonal antibody is produced by immunizing animals with a synthetic peptide corresponding to residues surrounding Glu61 of human PDE4B protein.

Background

Enzymes of the phosphodiesterase (PDE) superfamily catalyze the hydrolysis of 3',5'-cyclic nucleotides into the corresponding nucleotide 5'-monophosphates. The PDE superfamily includes 11 subfamilies (PDE1-PDE11) in mammals (1). These enzymes function as important positive and negative regulators of cellular response, including regulation of insulin secretion, heart function, erectile function, and inflammation (2-5). The cAMP-specific phosphodiesterase 4B (PDE4B, DPDE4) is important for the inflammatory response to lipopolysaccharide in monocytes (6). PDE4B plays an important role in the hydrolysis and inactivation of the ubiquitous second messenger cAMP that regulates lymphocyte cell growth and apoptosis (7). Research studies indicate that PDE4B is also involved in psychiatric disorders, including schizophrenia, autism, and depression (8-10).

Species Reactivity

Species reactivity is determined by testing in at least one approved application (e.g., western blot).

Western Blot Buffer

IMPORTANT: For western blots, incubate membrane with diluted primary antibody in 5% w/v BSA, 1X TBS, 0.1% Tween® 20 at 4°C with gentle shaking, overnight.

Applications Key

W: Western Blotting IP: Immunoprecipitation

Cross-Reactivity Key

H: Human M: Mouse R: Rat

Trademarks and Patents

Cell Signaling Technology is a trademark of Cell Signaling Technology, Inc.

All other trademarks are the property of their respective owners. Visit cellsignal.com/trademarks for more information.

Limited Uses

Except as otherwise expressly agreed in a writing signed by a legally authorized representative of CST, the following terms apply to Products provided by CST, its affiliates or its distributors. Any Customer's terms and conditions that are in addition to, or different from, those contained herein, unless separately accepted in writing by a legally authorized representative of CST, are rejected and are of no force or effect.

Products are labeled with For Research Use Only or a similar labeling statement and have not been approved, cleared, or licensed by the FDA or other regulatory foreign or domestic entity, for any purpose. Customer shall not use any Product for any diagnostic or therapeutic purpose, or otherwise in any manner that conflicts with its labeling statement. Products sold or licensed by CST are provided for Customer as the end-user and solely for research and development uses. Any use of Product for diagnostic, prophylactic or therapeutic purposes, or any purchase of Product for resale (alone or as a component) or other commercial purpose, requires a separate license from CST. Customer shall (a) not sell, license, loan, donate or otherwise transfer or make available any Product to any third party, whether alone or in combination with other materials, or use the Products to manufacture any commercial products, (b) not copy, modify, reverse engineer, decompile, disassemble or otherwise attempt to discover the underlying structure or technology of the Products, or use the Products for the purpose of developing any products or services that would compete with CST products or services, (c) not alter or remove from the Products any trademarks, trade names, logos, patent or copyright notices or markings, (d) use the Products solely in accordance with CST Product Terms of Sale and any applicable documentation, and (e) comply with any license, terms of service or similar agreement with respect to any third party products or services used by Customer in connection with the Products.

Orders: 877-616-CELL (2355) [email protected] Support: 877-678-TECH (8324) [email protected] Web: cellsignal.com
For Research Use Only. Not for Use in Diagnostic Procedures.

Revision 1

Cell Signaling Technology Logo
Western blot analysis of extracts from mouse brain, rat brain, and A-204 cells using PDE4B (D7R1Y) Rabbit mAb.
Western Blotting Image 1: PDE4B (D7R1Y) Rabbit Monoclonal Antibody
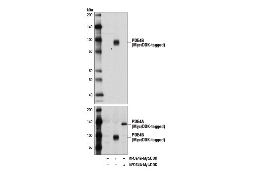
Western blot analysis of extracts from 293T cells, mock transfected (-) or transfected with constructs expressing Myc/DDK-tagged full-length human PDE4B protein (hPDE4B-Myc/DDK; +) or Myc/DDK-tagged full-length human PDE4A protein (hPDE4A-Myc/DDK; +), using PDE4B (D7R1Y) Rabbit mAb (upper) and Myc-Tag (71D10) Rabbit mAb #2278 (lower).
Western Blotting Image 2: PDE4B (D7R1Y) Rabbit Monoclonal Antibody
Immunoprecipitation of PDE4B from mouse brain extracts. Lane 1 is 10% input, lane 2 is Rabbit (DA1E) mAb IgG XP® Isotype Control #3900, and lane 3 is PDE4B (D7R1Y) Rabbit mAb. Western blot analysis was performed using PDE4B (D7R1Y) Rabbit mAb.
Immunoprecipitation Image 1: PDE4B (D7R1Y) Rabbit Monoclonal Antibody
Orders: 877-616-CELL (2355) [email protected] Support: 877-678-TECH (8324) [email protected] Web: cellsignal.com
For Research Use Only. Not for Use in Diagnostic Procedures.