Revision 5

#72514

Store at -20C

CST Logo
Orders:

877-616-CELL (2355)

[email protected]

Support:

877-678-TECH (8324)

3 Trask Lane | Danvers | Massachusetts | 01923 | USA

For Research Use Only. Not for Use in Diagnostic Procedures.

Applications:
W, IHC-P

Reactivity:
H

Sensitivity:
Endogenous

MW (kDa):
23

Source/Isotype:
Rabbit IgG

UniProt ID:
#P31941

Entrez-Gene Id:
200315

Product Usage Information

Application Dilution
Western Blotting 1:1000
Immunohistochemistry (Paraffin) 1:800 - 1:3200

Storage

Supplied in 10 mM sodium HEPES (pH 7.5), 150 mM NaCl, 100 µg/mL BSA, 50% glycerol, and less than 0.02% sodium azide. Store at –20°C. Do not aliquot the antibody.

For a carrier free (BSA and azide free) version of this product see product #51519.

Specificity/Sensitivity

APOBEC3A (UMN-13) Rabbit Monoclonal Antibody recognizes endogenous levels of total APOBEC3A protein. This antibody does not cross-react with APOBEC3B or APOBEC3G proteins. This antibody detects a 40 kDa protein of unknown identity in some tissues.

Source / Purification

Monoclonal antibody is produced by immunizing animals with a synthetic peptide corresponding to the N-terminus of human APOBEC3A protein.

Background

Members of the APOBEC3 subfamily of cytosine deaminases (APOBEC3A, APOBEC3B, APOBEC3C, APOBEC3D, APOBEC3F, APOBEC3G, and APOBEC3H) function in innate immunity by preventing viral DNA replication, including that of HIV-1 (1-2). APOBEC3A expression is upregulated in several human cancers, and is a major source of mutation in breast cancer (3). APOBEC3A contributes to chromosomal instability and disease progression in pancreatic cancer (4), and upregulates PD-L1 expression in cancer cells (5).

Species Reactivity

Species reactivity is determined by testing in at least one approved application (e.g., western blot).

Western Blot Buffer

IMPORTANT: For western blots, incubate membrane with diluted primary antibody in 5% w/v BSA, 1X TBS, 0.1% Tween® 20 at 4°C with gentle shaking, overnight.

Applications Key

W: Western Blotting IHC-P: Immunohistochemistry (Paraffin)

Cross-Reactivity Key

H: Human

Trademarks and Patents

Cell Signaling Technology is a trademark of Cell Signaling Technology, Inc.

All other trademarks are the property of their respective owners. Visit cellsignal.com/trademarks for more information.

Limited Uses

Except as otherwise expressly agreed in a writing signed by a legally authorized representative of CST, the following terms apply to Products provided by CST, its affiliates or its distributors. Any Customer's terms and conditions that are in addition to, or different from, those contained herein, unless separately accepted in writing by a legally authorized representative of CST, are rejected and are of no force or effect.

Products are labeled with For Research Use Only or a similar labeling statement and have not been approved, cleared, or licensed by the FDA or other regulatory foreign or domestic entity, for any purpose. Customer shall not use any Product for any diagnostic or therapeutic purpose, or otherwise in any manner that conflicts with its labeling statement. Products sold or licensed by CST are provided for Customer as the end-user and solely for research and development uses. Any use of Product for diagnostic, prophylactic or therapeutic purposes, or any purchase of Product for resale (alone or as a component) or other commercial purpose, requires a separate license from CST. Customer shall (a) not sell, license, loan, donate or otherwise transfer or make available any Product to any third party, whether alone or in combination with other materials, or use the Products to manufacture any commercial products, (b) not copy, modify, reverse engineer, decompile, disassemble or otherwise attempt to discover the underlying structure or technology of the Products, or use the Products for the purpose of developing any products or services that would compete with CST products or services, (c) not alter or remove from the Products any trademarks, trade names, logos, patent or copyright notices or markings, (d) use the Products solely in accordance with CST Product Terms of Sale and any applicable documentation, and (e) comply with any license, terms of service or similar agreement with respect to any third party products or services used by Customer in connection with the Products.

Orders: 877-616-CELL (2355) [email protected] Support: 877-678-TECH (8324) [email protected] Web: cellsignal.com
For Research Use Only. Not for Use in Diagnostic Procedures.

Revision 5

Cell Signaling Technology Logo
Western blot analysis of extracts from human tonsil, cerebellum, and pancreas tissue using APOBEC3A (UMN-13) Rabbit mAb (upper) or GAPDH (D16H11) XP® Rabbit mAb #5174 (lower). Low expression of APOBEC3A protein in cerebellum and pancreas tissue is consistent with the predicted expression pattern.
Western Blotting Image 1: APOBEC3A (UMN-13) Rabbit Monoclonal Antibody
Western blot analysis of extracts from 293T cells, mock transfected (-) or transfected with constructs expressing Myc/DDK-tagged full-length human APOBEC3A (hAPOBEC3A-Myc/DDK; +), Myc/DDK-tagged full-length human APOBEC3B (hAPOBEC3B-Myc/DDK; +), or Myc/DDK-tagged full-length human APOBEC3G (hAPOBEC3G-Myc/DDK; +), using APOBEC3A (UMN-13) Rabbit mAb (upper), Myc-Tag (71D10) Rabbit mAb #2278 (middle), or GAPDH (D16H11) XP® Rabbit mAb #5174 (lower).
Western Blotting Image 2: APOBEC3A (UMN-13) Rabbit Monoclonal Antibody
Immunohistochemical analysis of paraffin-embedded human squamous cell lung carcinoma using APOBEC3A (UMN-13) Rabbit mAb.
Immunohistochemistry Image 1: APOBEC3A (UMN-13) Rabbit Monoclonal Antibody
Orders: 877-616-CELL (2355) [email protected] Support: 877-678-TECH (8324) [email protected] Web: cellsignal.com
For Research Use Only. Not for Use in Diagnostic Procedures.

Revision 5

Cell Signaling Technology Logo
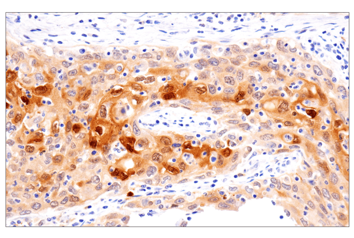
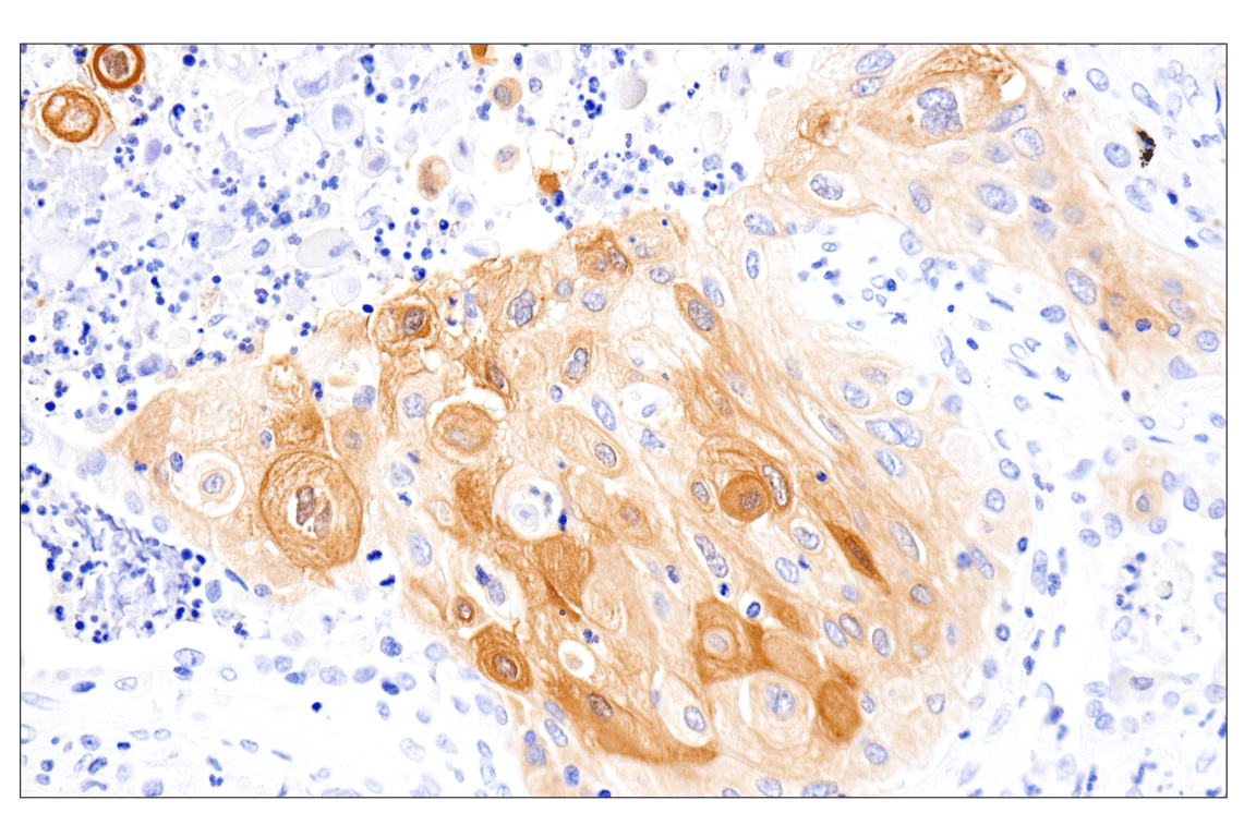
Immunohistochemical analysis of paraffin-embedded human squamous cell carcinoma of the cervix using APOBEC3A (UMN-13) Rabbit mAb.
Immunohistochemistry Image 2: APOBEC3A (UMN-13) Rabbit Monoclonal Antibody
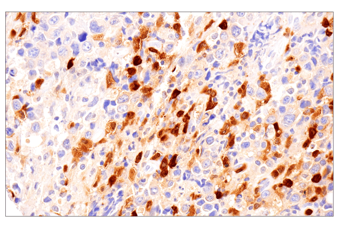
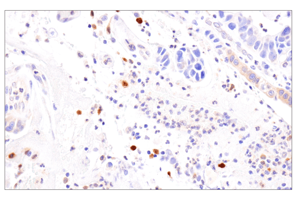
Immunohistochemical analysis of paraffin-embedded human T-cell lymphoma using APOBEC3A (UMN-13) Rabbit mAb.
Immunohistochemistry Image 3: APOBEC3A (UMN-13) Rabbit Monoclonal Antibody
Immunohistochemical analysis of paraffin-embedded human esophageal carcinoma using APOBEC3A (UMN-13) Rabbit mAb.
Immunohistochemistry Image 4: APOBEC3A (UMN-13) Rabbit Monoclonal Antibody
Orders: 877-616-CELL (2355) [email protected] Support: 877-678-TECH (8324) [email protected] Web: cellsignal.com
For Research Use Only. Not for Use in Diagnostic Procedures.

Revision 5

Cell Signaling Technology Logo
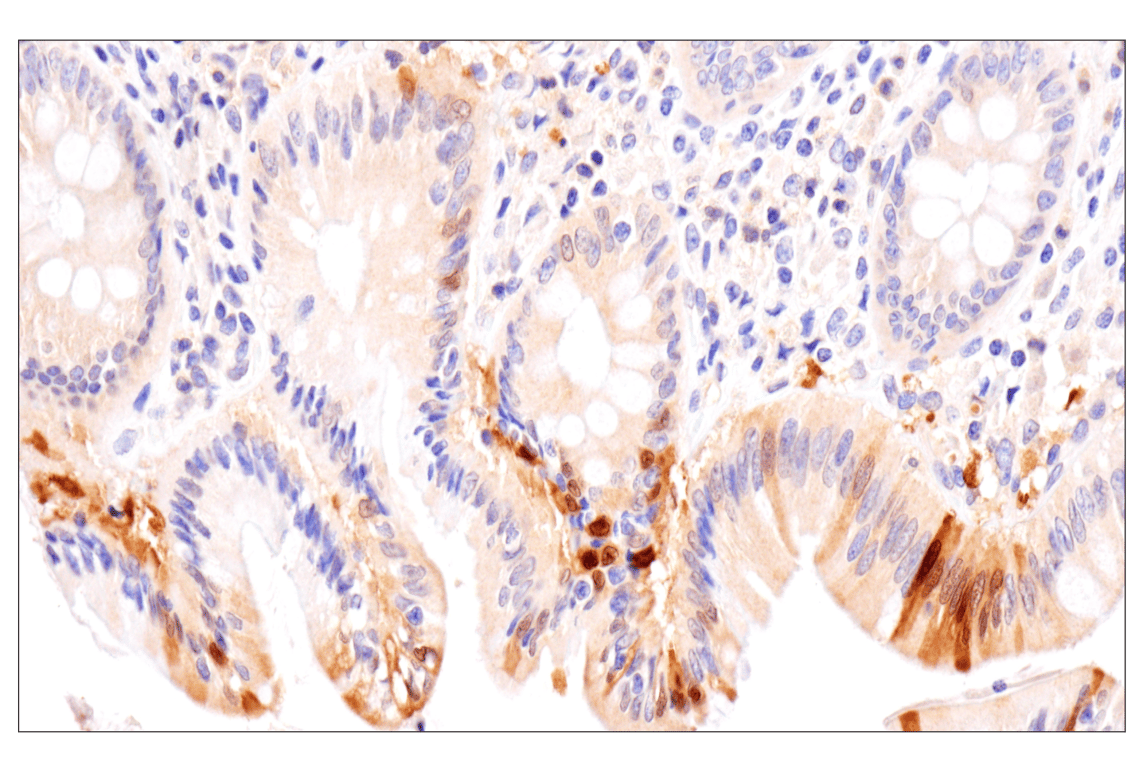
Immunohistochemical analysis of paraffin-embedded human appendix using APOBEC3A (UMN-13) Rabbit mAb.
Immunohistochemistry Image 5: APOBEC3A (UMN-13) Rabbit Monoclonal Antibody
Immunohistochemical analysis of paraffin-embedded normal human spleen using APOBEC3A (UMN-13) Rabbit mAb.
Immunohistochemistry Image 6: APOBEC3A (UMN-13) Rabbit Monoclonal Antibody
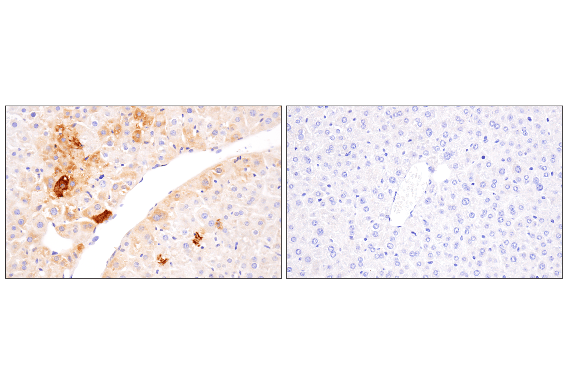
Immunohistochemical analysis of paraffin-embedded mouse liver expressing human A3A from plasmid hydrodynamic injection (left) vs. normal mouse liver (right) using APOBEC3A (UMN-13) Rabbit mAb. (Tissue courtesy of Harshita Gupta, Michael Carpenter, Joshua Preohl, Sang Hyun (Ryan) Chun, and Reuben Harris, Harris lab at University of Texas Health, San Antonio, TX.)
Immunohistochemistry Image 7: APOBEC3A (UMN-13) Rabbit Monoclonal Antibody
Orders: 877-616-CELL (2355) [email protected] Support: 877-678-TECH (8324) [email protected] Web: cellsignal.com
For Research Use Only. Not for Use in Diagnostic Procedures.

Revision 5

Cell Signaling Technology Logo
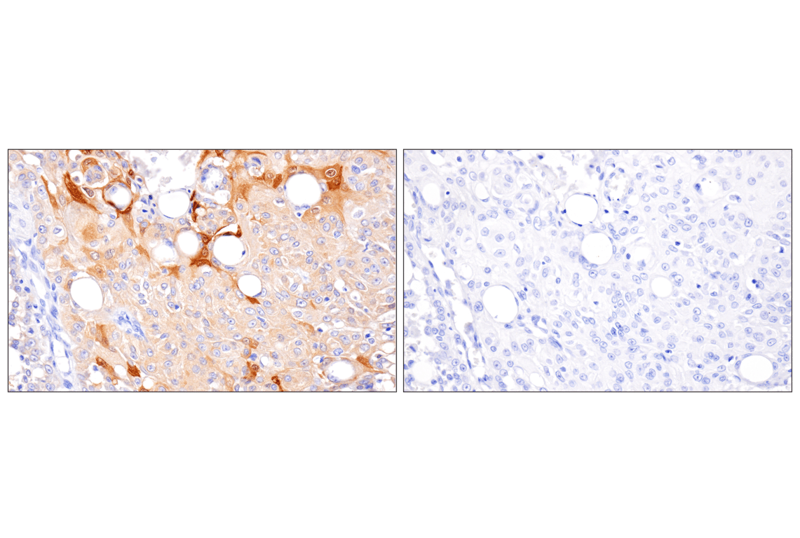
Immunohistochemical analysis of paraffin-embedded human squamous cell carcinoma of the skin using APOBEC3A (UMN-13) Rabbit mAb (left) compared to concentration-matched Rabbit (DA1E) mAb IgG XP® Isotype Control #3900 (right).
Immunohistochemistry Image 8: APOBEC3A (UMN-13) Rabbit Monoclonal Antibody
Orders: 877-616-CELL (2355) [email protected] Support: 877-678-TECH (8324) [email protected] Web: cellsignal.com
For Research Use Only. Not for Use in Diagnostic Procedures.