Revision 1

#72602

Store at -20C

CST Logo
Orders:

877-616-CELL (2355)

[email protected]

Support:

877-678-TECH (8324)

3 Trask Lane | Danvers | Massachusetts | 01923 | USA

For Research Use Only. Not for Use in Diagnostic Procedures.

Applications:
W, IHC-P, IF-F

Reactivity:
H M

Sensitivity:
Endogenous

MW (kDa):
13

Source/Isotype:
Rabbit IgG

UniProt ID:
#P61278

Entrez-Gene Id:
6750

Product Usage Information

Application Dilution
Western Blotting 1:1000
Immunohistochemistry (Paraffin) 1:100 - 1:200
Immunofluorescence (Frozen) 1:100 - 1:400

Storage

Supplied in 10 mM sodium HEPES (pH 7.5), 150 mM NaCl, 100 µg/mL BSA, 50% glycerol, and less than 0.02% sodium azide. Store at –20°C. Do not aliquot the antibody.

Specificity/Sensitivity

Somatostatin (F8W1R) Rabbit Monoclonal Antibody recognizes endogenous levels of total somatostatin protein.

Source / Purification

Monoclonal antibody is produced by immunizing animals with a synthetic peptide corresponding to residues near the carboxy terminus of human somatostatin protein.

Background

Somatostatin (SST) is a small neuropeptide, originally identified to inhibit the release of growth hormone from the hypothalamus (1). SST is expressed throughout the brain. In the cortex, SST is expressed in a subset of GABAergic neurons and is known as a protein marker of inhibitory interneurons (2). Besides the central nervous system (CNS), SST is expressed in various organs, such as the pancreas, gut, and immune cells (2,3). There are two types of biologically active SST isoforms that vary in constituent amino acids: SST-14 and SST-28. Generally, SST-14 is more predominant in the CNS, whereas SST-28 is more abundant in peripheral body organs (3). Reduction of SST expression has been proposed as a hallmark of various pathological conditions such as Alzheimer’s disease, schizophrenia, epilepsy, and depression (4,5,6,7).

Species Reactivity

Species reactivity is determined by testing in at least one approved application (e.g., western blot).

Western Blot Buffer

IMPORTANT: For western blots, incubate membrane with diluted primary antibody in 5% w/v BSA, 1X TBS, 0.1% Tween® 20 at 4°C with gentle shaking, overnight.

Applications Key

W: Western Blotting IHC-P: Immunohistochemistry (Paraffin) IF-F: Immunofluorescence (Frozen)

Cross-Reactivity Key

H: Human M: Mouse

Trademarks and Patents

Cell Signaling Technology is a trademark of Cell Signaling Technology, Inc.

All other trademarks are the property of their respective owners. Visit cellsignal.com/trademarks for more information.

Limited Uses

Except as otherwise expressly agreed in a writing signed by a legally authorized representative of CST, the following terms apply to Products provided by CST, its affiliates or its distributors. Any Customer's terms and conditions that are in addition to, or different from, those contained herein, unless separately accepted in writing by a legally authorized representative of CST, are rejected and are of no force or effect.

Products are labeled with For Research Use Only or a similar labeling statement and have not been approved, cleared, or licensed by the FDA or other regulatory foreign or domestic entity, for any purpose. Customer shall not use any Product for any diagnostic or therapeutic purpose, or otherwise in any manner that conflicts with its labeling statement. Products sold or licensed by CST are provided for Customer as the end-user and solely for research and development uses. Any use of Product for diagnostic, prophylactic or therapeutic purposes, or any purchase of Product for resale (alone or as a component) or other commercial purpose, requires a separate license from CST. Customer shall (a) not sell, license, loan, donate or otherwise transfer or make available any Product to any third party, whether alone or in combination with other materials, or use the Products to manufacture any commercial products, (b) not copy, modify, reverse engineer, decompile, disassemble or otherwise attempt to discover the underlying structure or technology of the Products, or use the Products for the purpose of developing any products or services that would compete with CST products or services, (c) not alter or remove from the Products any trademarks, trade names, logos, patent or copyright notices or markings, (d) use the Products solely in accordance with CST Product Terms of Sale and any applicable documentation, and (e) comply with any license, terms of service or similar agreement with respect to any third party products or services used by Customer in connection with the Products.

Orders: 877-616-CELL (2355) [email protected] Support: 877-678-TECH (8324) [email protected] Web: cellsignal.com
For Research Use Only. Not for Use in Diagnostic Procedures.

Revision 1

Cell Signaling Technology Logo
Western blot analysis of extracts from mouse brain and lung and human small intestine tissue using Somatostatin (F8W1R) Rabbit mAb (upper) or β-Actin (D6A8) Rabbit mAb #8457 (lower).
Western Blotting Image 1: Somatostatin (F8W1R) Rabbit Monoclonal Antibody
Western blot analysis of extracts from SiMa and HeLa cells using Somatostatin (F8W1R) Rabbit mAb (upper) or β-Actin (D6A8) Rabbit mAb #8457 (lower). Negative expression of somatostatin protein in HeLa cells is consistent with the predicted expression pattern.
Western Blotting Image 2: Somatostatin (F8W1R) Rabbit Monoclonal Antibody
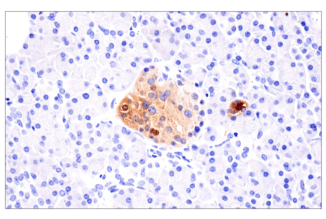
Immunohistochemical analysis of paraffin-embedded human pancreatic neuroendocrine tumor using Somatostatin (F8W1R) Rabbit mAb.
Immunohistochemistry Image 1: Somatostatin (F8W1R) Rabbit Monoclonal Antibody
Orders: 877-616-CELL (2355) [email protected] Support: 877-678-TECH (8324) [email protected] Web: cellsignal.com
For Research Use Only. Not for Use in Diagnostic Procedures.

Revision 1

Cell Signaling Technology Logo
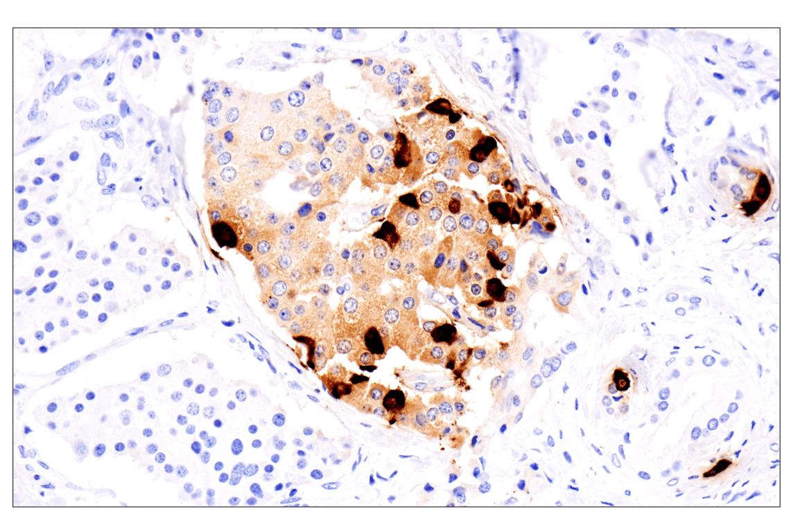
Immunohistochemical analysis of paraffin-embedded human lymph node metastasis of a duodenal neuroendocrine tumor using Somatostatin (F8W1R) Rabbit mAb.
Immunohistochemistry Image 2: Somatostatin (F8W1R) Rabbit Monoclonal Antibody
Immunohistochemical analysis of paraffin-embedded normal human hypothalamus using Somatostatin (F8W1R) Rabbit mAb.
Immunohistochemistry Image 3: Somatostatin (F8W1R) Rabbit Monoclonal Antibody
Immunohistochemical analysis of paraffin-embedded normal human appendix using Somatostatin (F8W1R) Rabbit mAb.
Immunohistochemistry Image 4: Somatostatin (F8W1R) Rabbit Monoclonal Antibody
Orders: 877-616-CELL (2355) [email protected] Support: 877-678-TECH (8324) [email protected] Web: cellsignal.com
For Research Use Only. Not for Use in Diagnostic Procedures.

Revision 1

Cell Signaling Technology Logo
Immunohistochemical analysis of paraffin-embedded normal human pancreas using Somatostatin (F8W1R) Rabbit mAb.
Immunohistochemistry Image 5: Somatostatin (F8W1R) Rabbit Monoclonal Antibody
Immunohistochemical analysis of paraffin-embedded normal human colon using Somatostatin (F8W1R) Rabbit mAb.
Immunohistochemistry Image 6: Somatostatin (F8W1R) Rabbit Monoclonal Antibody
Immunohistochemical analysis of paraffin-embedded mouse brain using Somatostatin (F8W1R) Rabbit mAb.
Immunohistochemistry Image 7: Somatostatin (F8W1R) Rabbit Monoclonal Antibody
Orders: 877-616-CELL (2355) [email protected] Support: 877-678-TECH (8324) [email protected] Web: cellsignal.com
For Research Use Only. Not for Use in Diagnostic Procedures.

Revision 1

Cell Signaling Technology Logo
Immunohistochemical analysis of paraffin-embedded mouse spinal cord using Somatostatin (F8W1R) Rabbit mAb.
Immunohistochemistry Image 8: Somatostatin (F8W1R) Rabbit Monoclonal Antibody
Immunohistochemical analysis of paraffin-embedded mouse small intestine using Somatostatin (F8W1R) Rabbit mAb.
Immunohistochemistry Image 9: Somatostatin (F8W1R) Rabbit Monoclonal Antibody
Immunohistochemical analysis of paraffin-embedded mouse colon using Somatostatin (F8W1R) Rabbit mAb.
Immunohistochemistry Image 10: Somatostatin (F8W1R) Rabbit Monoclonal Antibody
Orders: 877-616-CELL (2355) [email protected] Support: 877-678-TECH (8324) [email protected] Web: cellsignal.com
For Research Use Only. Not for Use in Diagnostic Procedures.

Revision 1

Cell Signaling Technology Logo
Immunohistochemical analysis of paraffin-embedded rhesus monkey hypothalamus using Somatostatin (F8W1R) Rabbit mAb (left) compared to concentration-matched Rabbit (DA1E) mAb IgG XP® Isotype Control #3900 (right).
Immunohistochemistry Image 11: Somatostatin (F8W1R) Rabbit Monoclonal Antibody
Immunohistochemical analysis of paraffin-embedded 293T cell pellet, untransfected (left) or somatostatin-transfected (right), using Somatostatin (F8W1R) Rabbit mAb.
Immunohistochemistry Image 12: Somatostatin (F8W1R) Rabbit Monoclonal Antibody
Confocal immunofluorescent analysis of fixed frozen mouse pancreas labeled with Somatostatin (F8W1R) Rabbit mAb (green) and Glucagon (K79bB10) Mouse mAb (gray). Free secondary binding sites were then blocked with Rabbit (DA1E) mAb IgG XP® Isotype Control #3900 prior to co-labeling with Insulin (C27C9) Rabbit mAb (Alexa Fluor® 647 Conjugate) #9008 (red) and ProLong Gold Antifade Reagent with DAPI #8961 (blue).
Immunofluorescence Image 1: Somatostatin (F8W1R) Rabbit Monoclonal Antibody
Orders: 877-616-CELL (2355) [email protected] Support: 877-678-TECH (8324) [email protected] Web: cellsignal.com
For Research Use Only. Not for Use in Diagnostic Procedures.

Revision 1

Cell Signaling Technology Logo
Confocal immunofluorescent analysis of fixed frozen mouse cerebral cortex labeled with Somatostatin (F8W1R) Rabbit mAb (green), TMEM119 (E4B9S) Mouse mAb #98778 (red), and ProLong Gold Antifade Reagent with DAPI #8961 (blue).
Immunofluorescence Image 2: Somatostatin (F8W1R) Rabbit Monoclonal Antibody
Confocal immunofluorescent analysis of fixed frozen mouse spinal cord using Somatostatin (F8W1R) Rabbit mAb (green), TMEM119 (E4B9S) Mouse mAb #98778 (red), and ProLong Gold Antifade Reagent with DAPI #8961 (blue).
Immunofluorescence Image 3: Somatostatin (F8W1R) Rabbit Monoclonal Antibody
Orders: 877-616-CELL (2355) [email protected] Support: 877-678-TECH (8324) [email protected] Web: cellsignal.com
For Research Use Only. Not for Use in Diagnostic Procedures.