Revision 4

#73348

Store at -20C

CST Logo
Orders:

877-616-CELL (2355)

[email protected]

Support:

877-678-TECH (8324)

3 Trask Lane | Danvers | Massachusetts | 01923 | USA

For Research Use Only. Not for Use in Diagnostic Procedures.

Applications:
W, W-S, IHC-P

Reactivity:
H M R

Sensitivity:
Endogenous

MW (kDa):
53

Source/Isotype:
Rabbit IgG

UniProt ID:
#P17661

Entrez-Gene Id:
1674

Product Usage Information

Application Dilution
Western Blotting 1:1000
Simple Western™ 1:10 - 1:50
Immunohistochemistry (Paraffin) 1:50 - 1:200

Storage

Supplied in 10 mM sodium HEPES (pH 7.5), 150 mM NaCl, 100 µg/mL BSA, 50% glycerol, and less than 0.02% sodium azide. Store at –20°C. Do not aliquot the antibody.

For a carrier free (BSA and azide free) version of this product see product #62742.

Specificity/Sensitivity

Desmin (F5V4I) Rabbit Monoclonal Antibody recognizes endogenous levels of total desmin protein.

Source / Purification

Monoclonal antibody is produced by immunizing animals with a synthetic peptide corresponding to residues surrounding Arg429 of human desmin protein.

Background

The cytoskeleton consists of three types of cytosolic fibers: microfilaments (actin filaments), intermediate filaments, and microtubules. Major types of intermediate filaments are distinguished and expressed in particular cell types: cytokeratins (epithelial cells), glial fibrillary acidic protein or GFAP (glial cells), desmin (skeletal, visceral, and certain vascular smooth muscle cells), vimentin (mesenchyme origin), and neurofilaments (neurons). GFAP and vimentin form intermediate filaments in astroglial cells and modulate their motility and shape (1). In particular, vimentin filaments are present at early developmental stages, while GFAP filaments are characteristic of differentiated and mature brain astrocytes. Thus, GFAP is commonly used as a marker for intracranial and intraspinal tumors arising from astrocytes (2). Vimentin is present in sarcomas but not carcinomas, and its expression is examined relative to other markers to distinguish between the two forms of neoplasm (3). Desmin is a myogenic marker expressed in early development that forms a network of filaments that extends across the myofibril and surrounds Z discs. The desmin cytoskeleton provides a connection among myofibrils, organelles, and the cytoskeleton (4). Desmin knockout mice develop cardiomyopathy and skeletal and smooth muscle defects (5). In humans, desmin-related myopathies might be caused by mutations in the corresponding desmin gene or in proteins with which desmin interacts, including αB-crystallin and synemin. Disorganized desmin filaments and the accumulation of protein aggregates composed predominantly of desmin characterize desmin-related myopathies (reviewed in 6,7).

Species Reactivity

Species reactivity is determined by testing in at least one approved application (e.g., western blot).

Western Blot Buffer

IMPORTANT: For western blots, incubate membrane with diluted primary antibody in 5% w/v nonfat dry milk, 1X TBS, 0.1% Tween® 20 at 4°C with gentle shaking, overnight.

Applications Key

W: Western Blotting W-S: Simple Western™ IHC-P: Immunohistochemistry (Paraffin)

Cross-Reactivity Key

H: Human M: Mouse R: Rat

Trademarks and Patents

Cell Signaling Technology is a trademark of Cell Signaling Technology, Inc.

All other trademarks are the property of their respective owners. Visit cellsignal.com/trademarks for more information.

Limited Uses

Except as otherwise expressly agreed in a writing signed by a legally authorized representative of CST, the following terms apply to Products provided by CST, its affiliates or its distributors. Any Customer's terms and conditions that are in addition to, or different from, those contained herein, unless separately accepted in writing by a legally authorized representative of CST, are rejected and are of no force or effect.

Products are labeled with For Research Use Only or a similar labeling statement and have not been approved, cleared, or licensed by the FDA or other regulatory foreign or domestic entity, for any purpose. Customer shall not use any Product for any diagnostic or therapeutic purpose, or otherwise in any manner that conflicts with its labeling statement. Products sold or licensed by CST are provided for Customer as the end-user and solely for research and development uses. Any use of Product for diagnostic, prophylactic or therapeutic purposes, or any purchase of Product for resale (alone or as a component) or other commercial purpose, requires a separate license from CST. Customer shall (a) not sell, license, loan, donate or otherwise transfer or make available any Product to any third party, whether alone or in combination with other materials, or use the Products to manufacture any commercial products, (b) not copy, modify, reverse engineer, decompile, disassemble or otherwise attempt to discover the underlying structure or technology of the Products, or use the Products for the purpose of developing any products or services that would compete with CST products or services, (c) not alter or remove from the Products any trademarks, trade names, logos, patent or copyright notices or markings, (d) use the Products solely in accordance with CST Product Terms of Sale and any applicable documentation, and (e) comply with any license, terms of service or similar agreement with respect to any third party products or services used by Customer in connection with the Products.

Orders: 877-616-CELL (2355) [email protected] Support: 877-678-TECH (8324) [email protected] Web: cellsignal.com
For Research Use Only. Not for Use in Diagnostic Procedures.

Revision 4

Cell Signaling Technology Logo
Western blot analysis of extracts from various cell lines using Desmin (F5V4I) Rabbit mAb (upper) or GAPDH (D16H11) XP® Rabbit mAb #5174 (lower). Low expression of desmin protein in U-2 OS, mES, and C6 cells is consistent with the predicted expression pattern.
Western Blotting Image 1: Desmin (F5V4I) Rabbit Monoclonal Antibody
Western blot analysis of extracts from human, mouse, and rat heart and liver tissue using Desmin (F5V4I) Rabbit mAb (upper) or GAPDH (D16H11) XP® Rabbit mAb #5174 (lower). Low expression of desmin protein in human, mouse, and rat liver tissue is consistent with the predicted expression pattern.
Western Blotting Image 2: Desmin (F5V4I) Rabbit Monoclonal Antibody
Simple Western™ analysis of lysates (1 mg/ml) from C2C12 lysates using Desmin (F5V4I) Rabbit mAb #73348. The virtual lane view (left) shows the target band (as indicated) at 1:10 and 1:50 dilutions of primary antibody. The corresponding electropherogram view (right) plots chemiluminescence by molecular weight along the capillary at 1:10 (blue line) and 1:50 (green line) dilutions of primary antibody. This experiment was performed under reducing conditions on the Jess™ Simple Western instrument from ProteinSimple, a BioTechne brand, using the 12-230kDa.
Western Blotting Image 1: Desmin (F5V4I) Rabbit Monoclonal Antibody
Orders: 877-616-CELL (2355) [email protected] Support: 877-678-TECH (8324) [email protected] Web: cellsignal.com
For Research Use Only. Not for Use in Diagnostic Procedures.

Revision 4

Cell Signaling Technology Logo
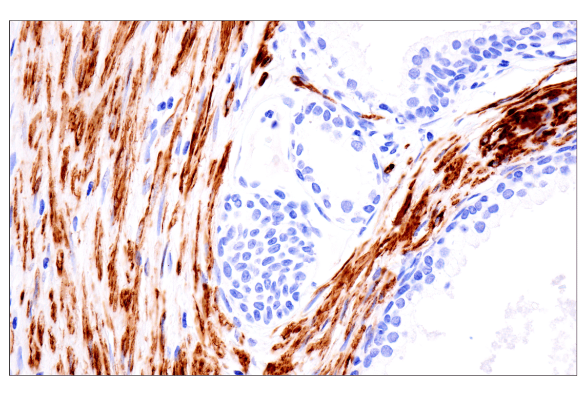
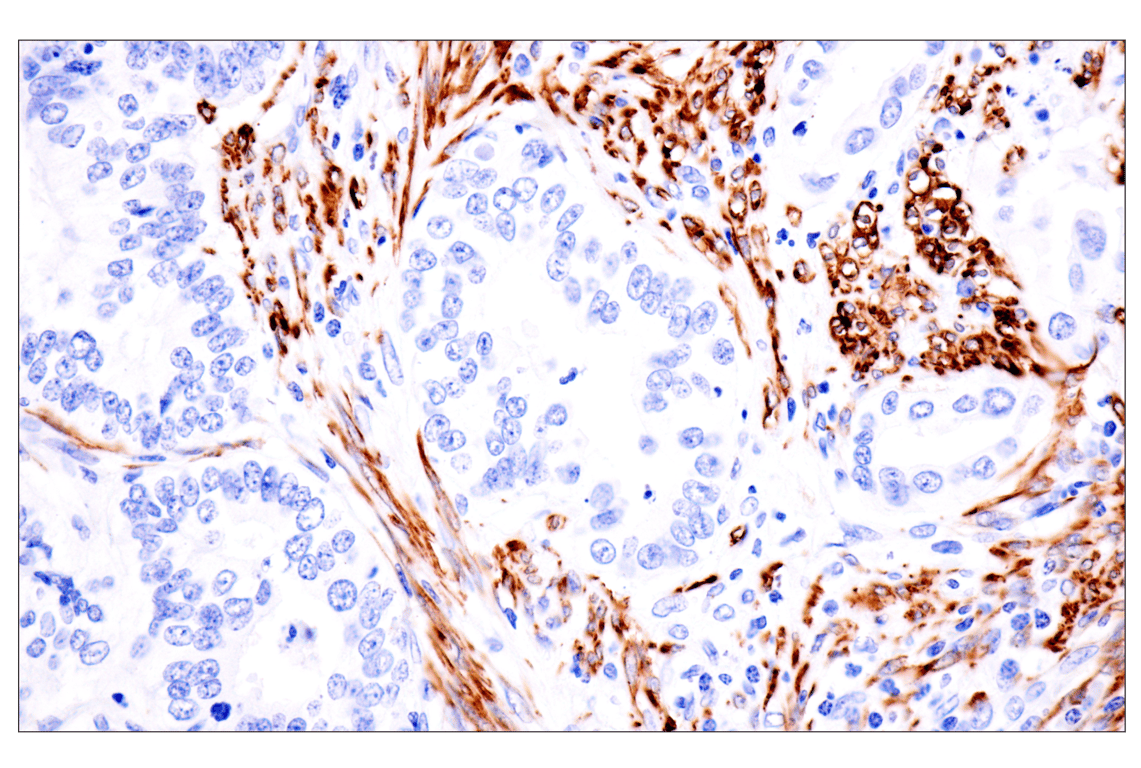
Immunohistochemical analysis of paraffin-embedded human adenoid cystic carcinoma of the salivary gland using Desmin (F5V4I) Rabbit mAb.
Immunohistochemistry Image 1: Desmin (F5V4I) Rabbit Monoclonal Antibody
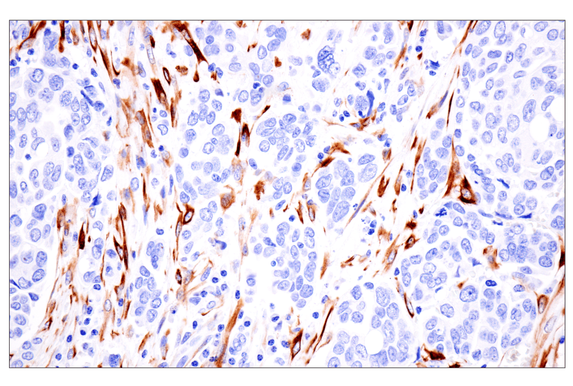
Immunohistochemical analysis of paraffin-embedded human prostate adenocarcinoma using Desmin (F5V4I) Rabbit mAb.
Immunohistochemistry Image 2: Desmin (F5V4I) Rabbit Monoclonal Antibody

Immunohistochemical analysis of paraffin-embedded human esophageal adenocarcinoma using Desmin (F5V4I) Rabbit mAb.

Immunohistochemistry Image 3: Desmin (F5V4I) Rabbit Monoclonal Antibody
Orders: 877-616-CELL (2355) [email protected] Support: 877-678-TECH (8324) [email protected] Web: cellsignal.com
For Research Use Only. Not for Use in Diagnostic Procedures.

Revision 4

Cell Signaling Technology Logo

Immunohistochemical analysis of paraffin-embedded human lung adenocarcinoma using Desmin (F5V4I) Rabbit mAb.

Immunohistochemistry Image 4: Desmin (F5V4I) Rabbit Monoclonal Antibody
Immunohistochemical analysis of paraffin-embedded human endometrioid adenocarcinoma using Desmin (F5V4I) Rabbit mAb.
Immunohistochemistry Image 5: Desmin (F5V4I) Rabbit Monoclonal Antibody

Immunohistochemical analysis of paraffin-embedded human serous papillary carcinoma of the ovary using Desmin (F5V4I) Rabbit mAb.

Immunohistochemistry Image 6: Desmin (F5V4I) Rabbit Monoclonal Antibody
Orders: 877-616-CELL (2355) [email protected] Support: 877-678-TECH (8324) [email protected] Web: cellsignal.com
For Research Use Only. Not for Use in Diagnostic Procedures.

Revision 4

Cell Signaling Technology Logo

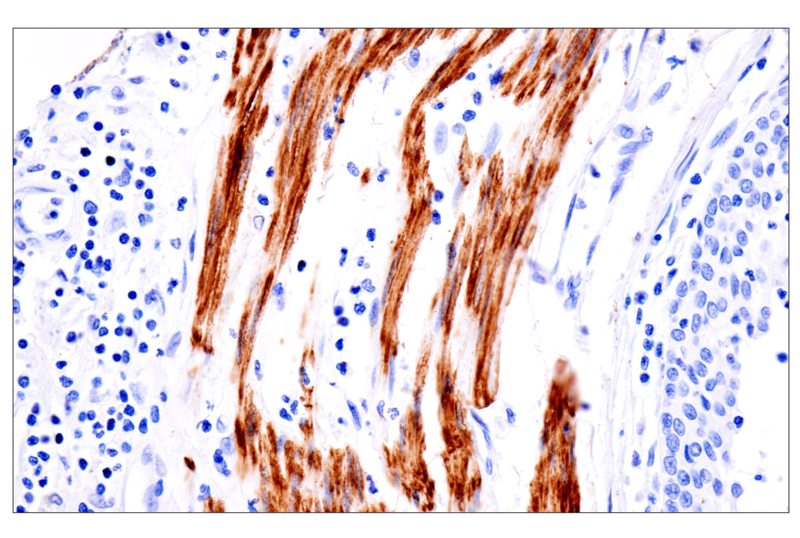
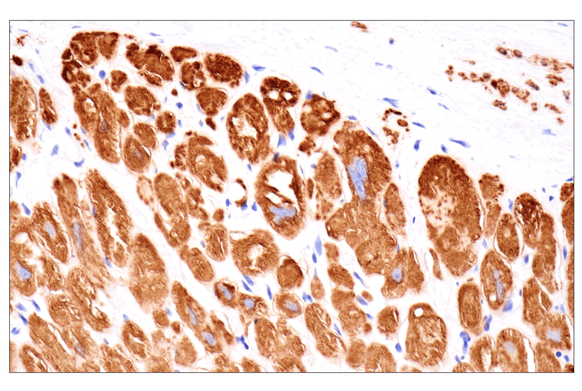
Immunohistochemical analysis of paraffin-embedded normal human heart using Desmin (F5V4I) Rabbit mAb.

Immunohistochemistry Image 7: Desmin (F5V4I) Rabbit Monoclonal Antibody
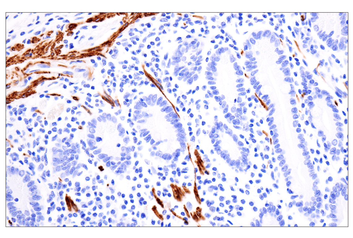
Immunohistochemical analysis of paraffin-embedded normal human small intestine using Desmin (F5V4I) Rabbit mAb.
Immunohistochemistry Image 8: Desmin (F5V4I) Rabbit Monoclonal Antibody
Immunohistochemical analysis of paraffin-embedded normal human ovary using Desmin (F5V4I) Rabbit mAb.
Immunohistochemistry Image 9: Desmin (F5V4I) Rabbit Monoclonal Antibody
Orders: 877-616-CELL (2355) [email protected] Support: 877-678-TECH (8324) [email protected] Web: cellsignal.com
For Research Use Only. Not for Use in Diagnostic Procedures.

Revision 4

Cell Signaling Technology Logo

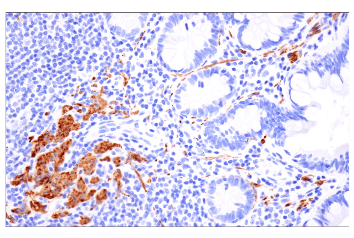
Immunohistochemical analysis of paraffin-embedded normal human colon using Desmin (F5V4I) Rabbit mAb.
Immunohistochemistry Image 10: Desmin (F5V4I) Rabbit Monoclonal Antibody
Immunohistochemical analysis of paraffin-embedded normal human testis using Desmin (F5V4I) Rabbit mAb.
Immunohistochemistry Image 11: Desmin (F5V4I) Rabbit Monoclonal Antibody

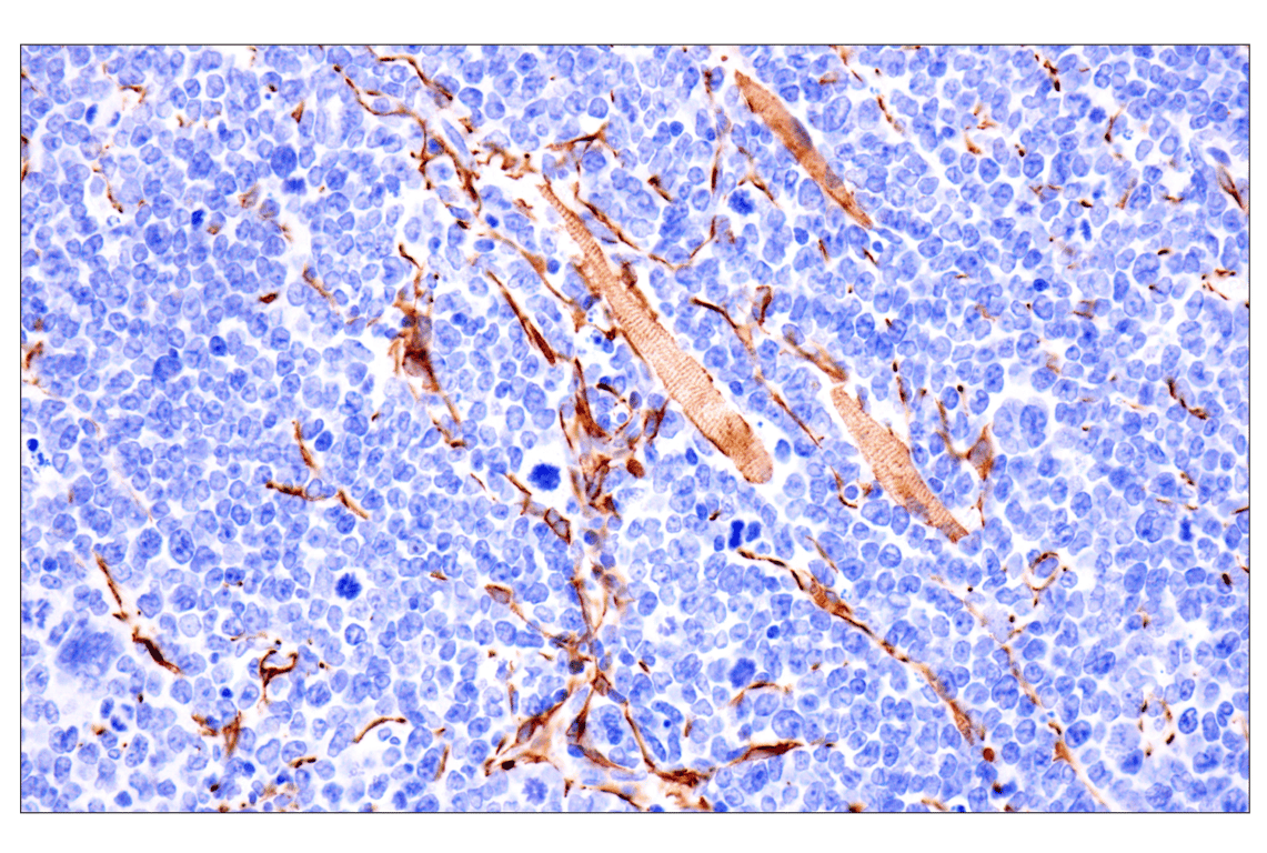
Immunohistochemical analysis of paraffin-embedded 4T1 syngeneic tumor using Desmin (F5V4I) Rabbit mAb.

Immunohistochemistry Image 12: Desmin (F5V4I) Rabbit Monoclonal Antibody
Orders: 877-616-CELL (2355) [email protected] Support: 877-678-TECH (8324) [email protected] Web: cellsignal.com
For Research Use Only. Not for Use in Diagnostic Procedures.

Revision 4

Cell Signaling Technology Logo

Immunohistochemical analysis of paraffin-embedded A20 syngeneic tumor using Desmin (F5V4I) Rabbit mAb.
Immunohistochemistry Image 13: Desmin (F5V4I) Rabbit Monoclonal Antibody

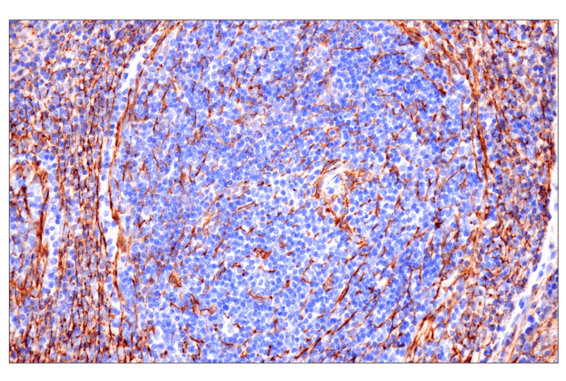
Immunohistochemical analysis of paraffin-embedded mouse spleen using Desmin (F5V4I) Rabbit mAb.

Immunohistochemistry Image 14: Desmin (F5V4I) Rabbit Monoclonal Antibody

Immunohistochemical analysis of paraffin-embedded mouse ovary using Desmin (F5V4I) Rabbit mAb.
Immunohistochemistry Image 15: Desmin (F5V4I) Rabbit Monoclonal Antibody
Orders: 877-616-CELL (2355) [email protected] Support: 877-678-TECH (8324) [email protected] Web: cellsignal.com
For Research Use Only. Not for Use in Diagnostic Procedures.

Revision 4

Cell Signaling Technology Logo
Immunohistochemical analysis of paraffin-embedded mouse colon using Desmin (F5V4I) Rabbit mAb (left) compared to concentration-matched Rabbit (DA1E) mAb IgG XP® Isotype Control #3900 (right). 
Immunohistochemistry Image 16: Desmin (F5V4I) Rabbit Monoclonal Antibody
Immunohistochemical analysis of paraffin-embedded RH-30 cell pellet (left, positive) or U-2 OS cell pellet (right, negative) using Desmin (F5V4I) Rabbit mAb.
Immunohistochemistry Image 17: Desmin (F5V4I) Rabbit Monoclonal Antibody
Orders: 877-616-CELL (2355) [email protected] Support: 877-678-TECH (8324) [email protected] Web: cellsignal.com
For Research Use Only. Not for Use in Diagnostic Procedures.