Revision 1

#73612

Store at -20C

CST Logo
Orders:

877-616-CELL (2355)

[email protected]

Support:

877-678-TECH (8324)

3 Trask Lane | Danvers | Massachusetts | 01923 | USA

For Research Use Only. Not for Use in Diagnostic Procedures.

Applications:
W, IHC-P

Reactivity:
H

Sensitivity:
Endogenous

MW (kDa):
47

Source/Isotype:
Rabbit IgG

UniProt ID:
#O75356

Entrez-Gene Id:
957

Product Usage Information

Application Dilution
Western Blotting 1:1000
Immunohistochemistry (Paraffin) 1:150 - 1:600

Storage

Supplied in 10 mM sodium HEPES (pH 7.5), 150 mM NaCl, 100 µg/mL BSA, 50% glycerol, and less than 0.02% sodium azide. Store at –20°C. Do not aliquot the antibody.

Specificity/Sensitivity

ENTPD5 (E5U3V) Rabbit Monoclonal Antibody recognizes endogenous levels of total ENTPD5 protein. Non-specific staining was observed in pancreatic islets by immunohistochemistry.

Species predicted to react based on 100% sequence homology

Mouse, Rat

Source / Purification

Monoclonal antibody is produced by immunizing animals with a synthetic peptide corresponding to residues near the carboxy terminus of human ENTPD5 protein.

Background

ENTPD5 is a member of the ectonucleoside triphosphate diphosphohydrolase family, which plays a role in the metabolism of nucleotides, specifically by hydrolyzing nucleoside diphosphates (NDPs) to their respective nucleoside monophosphates. It is an integral membrane protein that is found in the endoplasmic reticulum (ER) membrane, where it acts as a nucleoside diphosphatase, catalyzing the hydrolysis of nucleoside diphosphates, such as UDP (uridine diphosphate), GDP (guanosine diphosphate), and CDP (cytidine diphosphate), into their respective nucleoside monophosphates. This enzymatic activity is essential for the regulation of nucleotide levels in the ER. ENTPD5's role in nucleotide metabolism and regulation suggests that it may play a part in various cellular processes, including glycosylation, protein folding, and signal transduction within the ER (1). Aberrant expression or mutations in ENTPD5 have been suggested to activate oncogenic activity in several cancers (2,3).

Species Reactivity

Species reactivity is determined by testing in at least one approved application (e.g., western blot).

Western Blot Buffer

IMPORTANT: For western blots, incubate membrane with diluted primary antibody in 5% w/v BSA, 1X TBS, 0.1% Tween® 20 at 4°C with gentle shaking, overnight.

Applications Key

W: Western Blotting IHC-P: Immunohistochemistry (Paraffin)

Cross-Reactivity Key

H: Human

Trademarks and Patents

Cell Signaling Technology is a trademark of Cell Signaling Technology, Inc.

All other trademarks are the property of their respective owners. Visit cellsignal.com/trademarks for more information.

Limited Uses

Except as otherwise expressly agreed in a writing signed by a legally authorized representative of CST, the following terms apply to Products provided by CST, its affiliates or its distributors. Any Customer's terms and conditions that are in addition to, or different from, those contained herein, unless separately accepted in writing by a legally authorized representative of CST, are rejected and are of no force or effect.

Products are labeled with For Research Use Only or a similar labeling statement and have not been approved, cleared, or licensed by the FDA or other regulatory foreign or domestic entity, for any purpose. Customer shall not use any Product for any diagnostic or therapeutic purpose, or otherwise in any manner that conflicts with its labeling statement. Products sold or licensed by CST are provided for Customer as the end-user and solely for research and development uses. Any use of Product for diagnostic, prophylactic or therapeutic purposes, or any purchase of Product for resale (alone or as a component) or other commercial purpose, requires a separate license from CST. Customer shall (a) not sell, license, loan, donate or otherwise transfer or make available any Product to any third party, whether alone or in combination with other materials, or use the Products to manufacture any commercial products, (b) not copy, modify, reverse engineer, decompile, disassemble or otherwise attempt to discover the underlying structure or technology of the Products, or use the Products for the purpose of developing any products or services that would compete with CST products or services, (c) not alter or remove from the Products any trademarks, trade names, logos, patent or copyright notices or markings, (d) use the Products solely in accordance with CST Product Terms of Sale and any applicable documentation, and (e) comply with any license, terms of service or similar agreement with respect to any third party products or services used by Customer in connection with the Products.

Orders: 877-616-CELL (2355) [email protected] Support: 877-678-TECH (8324) [email protected] Web: cellsignal.com
For Research Use Only. Not for Use in Diagnostic Procedures.

Revision 1

Cell Signaling Technology Logo
Western blot analysis of extracts from JHH-5 and Caki-1 cells using ENTPD5 (E5U3V) Rabbit mAb (upper) or β-Actin (D6A8) Rabbit mAb #8457 (lower). Low expression of ENTPD5 protein in Caki-1 cells is consistent with the predicted expression pattern.
Western Blotting Image 1: ENTPD5 (E5U3V) Rabbit Monoclonal Antibody
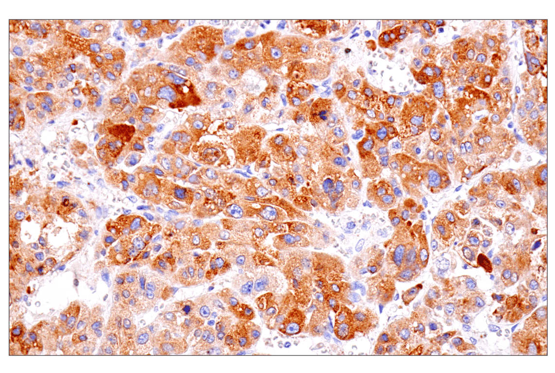
Immunohistochemical analysis of paraffin-embedded human hepatocellular carcinoma using ENTPD5 (E5U3V) Rabbit mAb.
Immunohistochemistry Image 1: ENTPD5 (E5U3V) Rabbit Monoclonal Antibody
Immunohistochemical analysis of paraffin-embedded human esophageal adenocarcinoma using ENTPD5 (E5U3V) Rabbit mAb.
Immunohistochemistry Image 2: ENTPD5 (E5U3V) Rabbit Monoclonal Antibody
Orders: 877-616-CELL (2355) [email protected] Support: 877-678-TECH (8324) [email protected] Web: cellsignal.com
For Research Use Only. Not for Use in Diagnostic Procedures.

Revision 1

Cell Signaling Technology Logo
Immunohistochemical analysis of paraffin-embedded human prostate adenocarcinoma using ENTPD5 (E5U3V) Rabbit mAb.
Immunohistochemistry Image 3: ENTPD5 (E5U3V) Rabbit Monoclonal Antibody
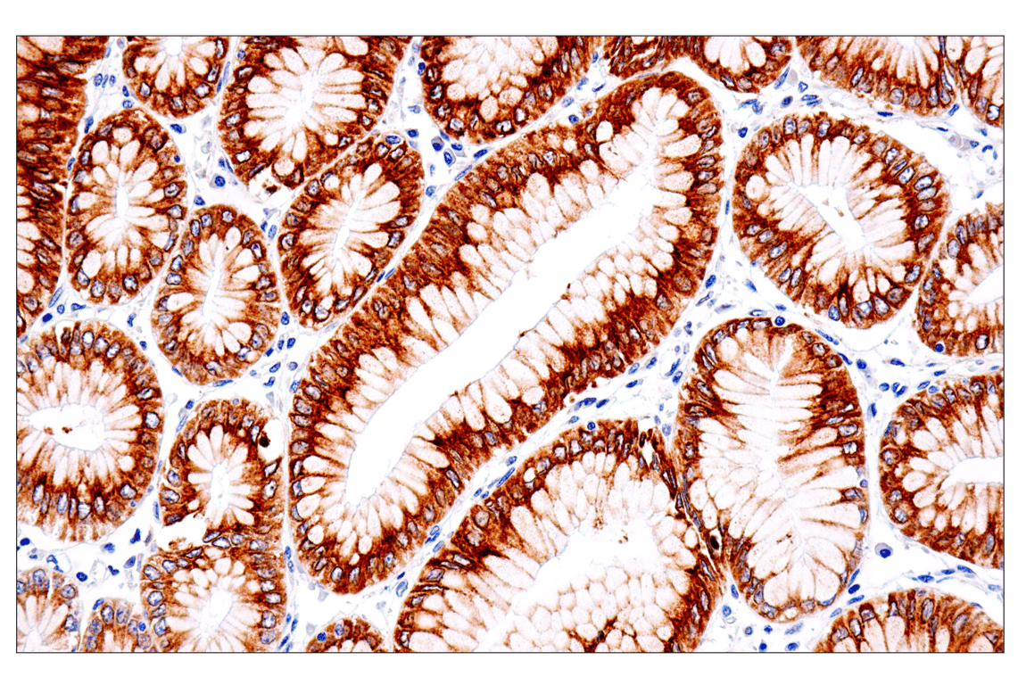
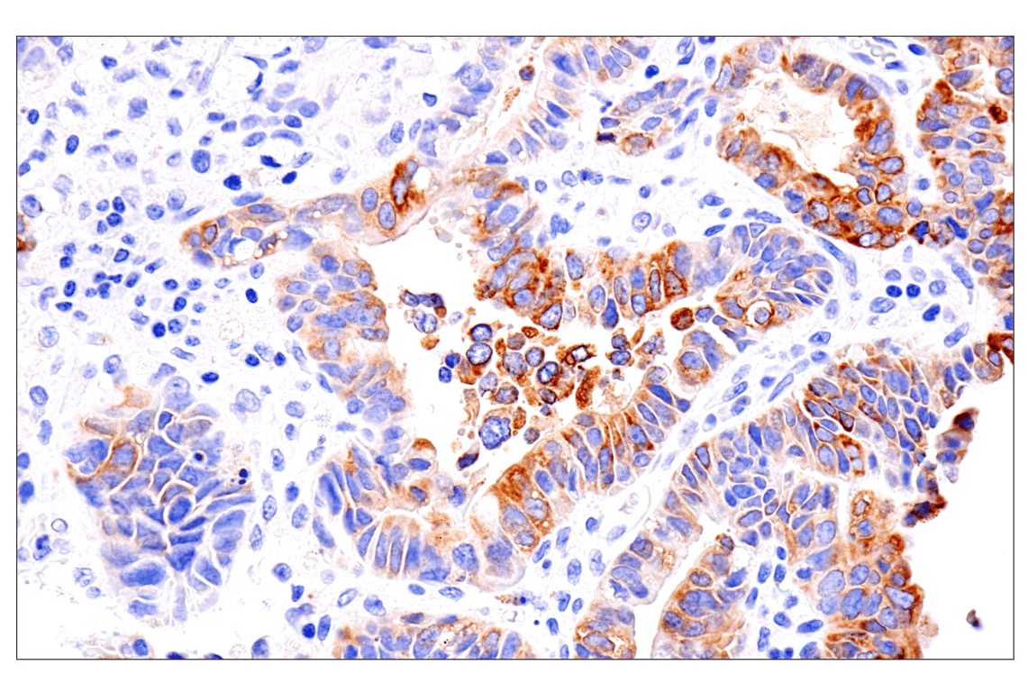
Immunohistochemical analysis of paraffin-embedded human colon adenocarcinoma using ENTPD5 (E5U3V) Rabbit mAb.
Immunohistochemistry Image 4: ENTPD5 (E5U3V) Rabbit Monoclonal Antibody
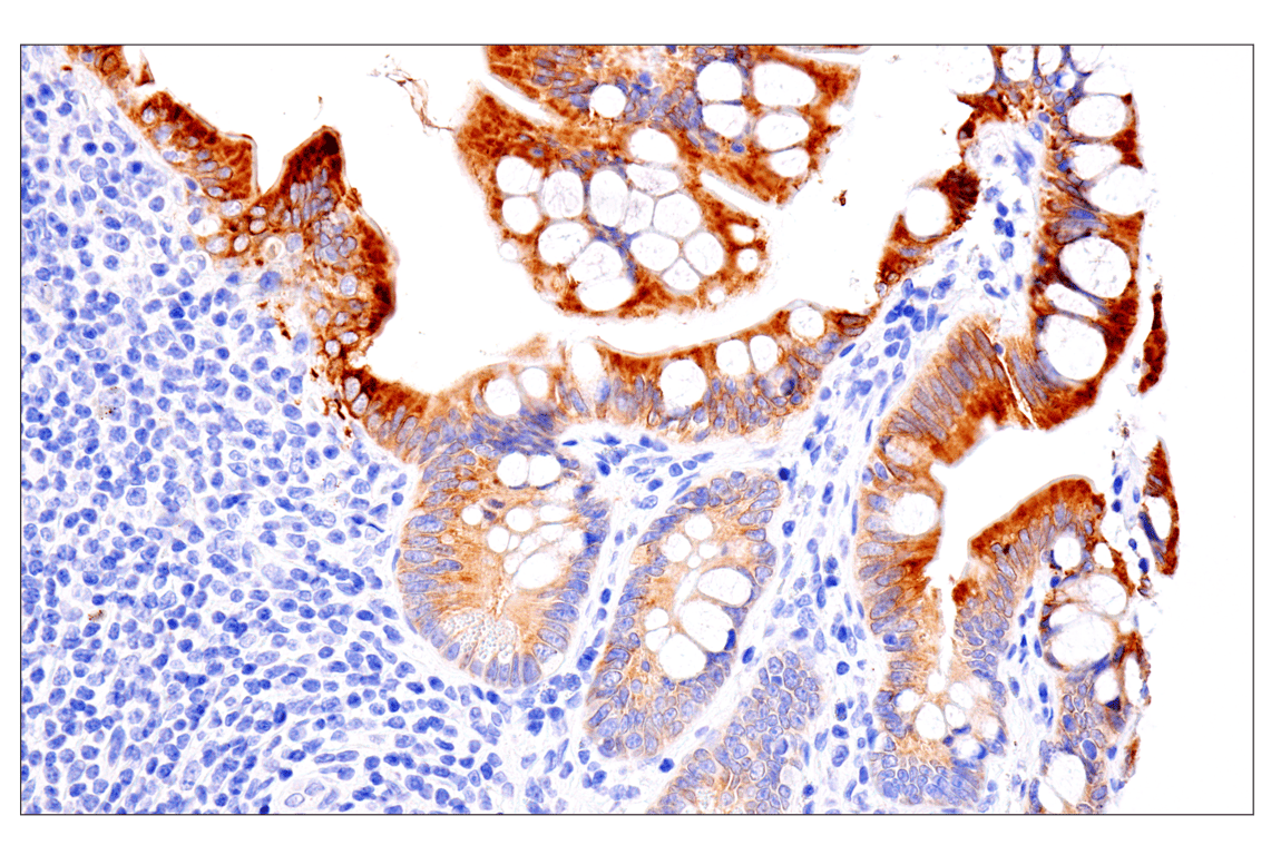
Immunohistochemical analysis of paraffin-embedded human stomach adjacent to gastric carcinoma using ENTPD5 (E5U3V) Rabbit mAb.
Immunohistochemistry Image 5: ENTPD5 (E5U3V) Rabbit Monoclonal Antibody
Orders: 877-616-CELL (2355) [email protected] Support: 877-678-TECH (8324) [email protected] Web: cellsignal.com
For Research Use Only. Not for Use in Diagnostic Procedures.

Revision 1

Cell Signaling Technology Logo
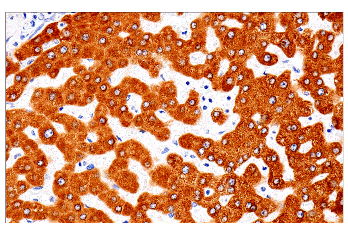
Immunohistochemical analysis of paraffin-embedded normal human liver using ENTPD5 (E5U3V) Rabbit mAb.
Immunohistochemistry Image 6: ENTPD5 (E5U3V) Rabbit Monoclonal Antibody
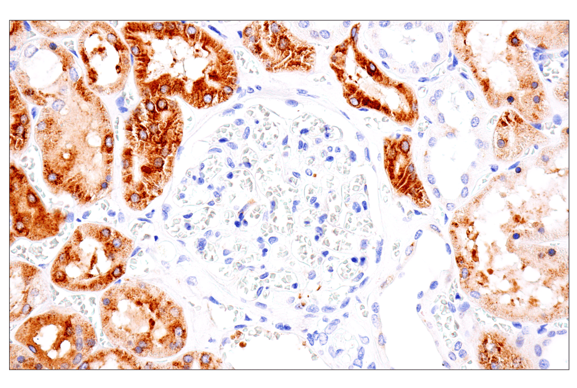
Immunohistochemical analysis of paraffin-embedded normal human kidney using ENTPD5 (E5U3V) Rabbit mAb.
Immunohistochemistry Image 7: ENTPD5 (E5U3V) Rabbit Monoclonal Antibody
Immunohistochemical analysis of paraffin-embedded human appendix using ENTPD5 (E5U3V) Rabbit mAb.
Immunohistochemistry Image 8: ENTPD5 (E5U3V) Rabbit Monoclonal Antibody
Orders: 877-616-CELL (2355) [email protected] Support: 877-678-TECH (8324) [email protected] Web: cellsignal.com
For Research Use Only. Not for Use in Diagnostic Procedures.

Revision 1

Cell Signaling Technology Logo
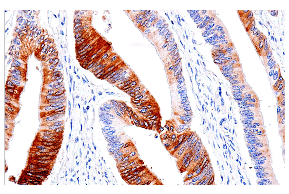
Immunohistochemical analysis of paraffin-embedded normal human small intestine using ENTPD5 (E5U3V) Rabbit mAb.
Immunohistochemistry Image 9: ENTPD5 (E5U3V) Rabbit Monoclonal Antibody
Immunohistochemical analysis of paraffin-embedded human hepatocellular carcinoma (left), colon carcinoma (middle), or esophageal carcinoma (right) using ENTPD5 (E5U3V) Rabbit mAb (top) or an ENTPD5 Rabbit mAb (bottom). These two antibodies detect unique, non-overlapping epitopes on human ENTPD5. The similar staining patterns obtained with both antibodies help to confirm the specificity of the staining.
Immunohistochemistry Image 10: ENTPD5 (E5U3V) Rabbit Monoclonal Antibody
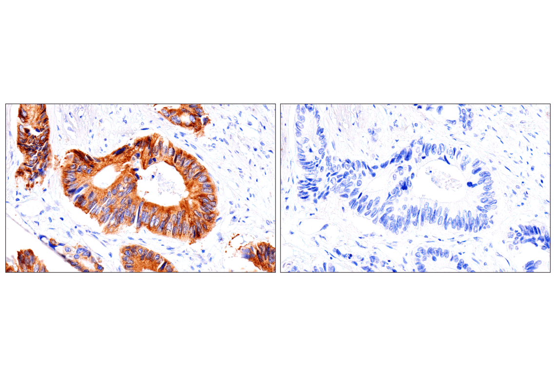
Immunohistochemical analysis of paraffin-embedded human colon adenocarcinoma using ENTPD5 (E5U3V) Rabbit mAb (left) compared to concentration-matched Rabbit (DA1E) mAb IgG XP® Isotype Control #3900 (right).
Immunohistochemistry Image 11: ENTPD5 (E5U3V) Rabbit Monoclonal Antibody
Orders: 877-616-CELL (2355) [email protected] Support: 877-678-TECH (8324) [email protected] Web: cellsignal.com
For Research Use Only. Not for Use in Diagnostic Procedures.

Revision 1

Cell Signaling Technology Logo
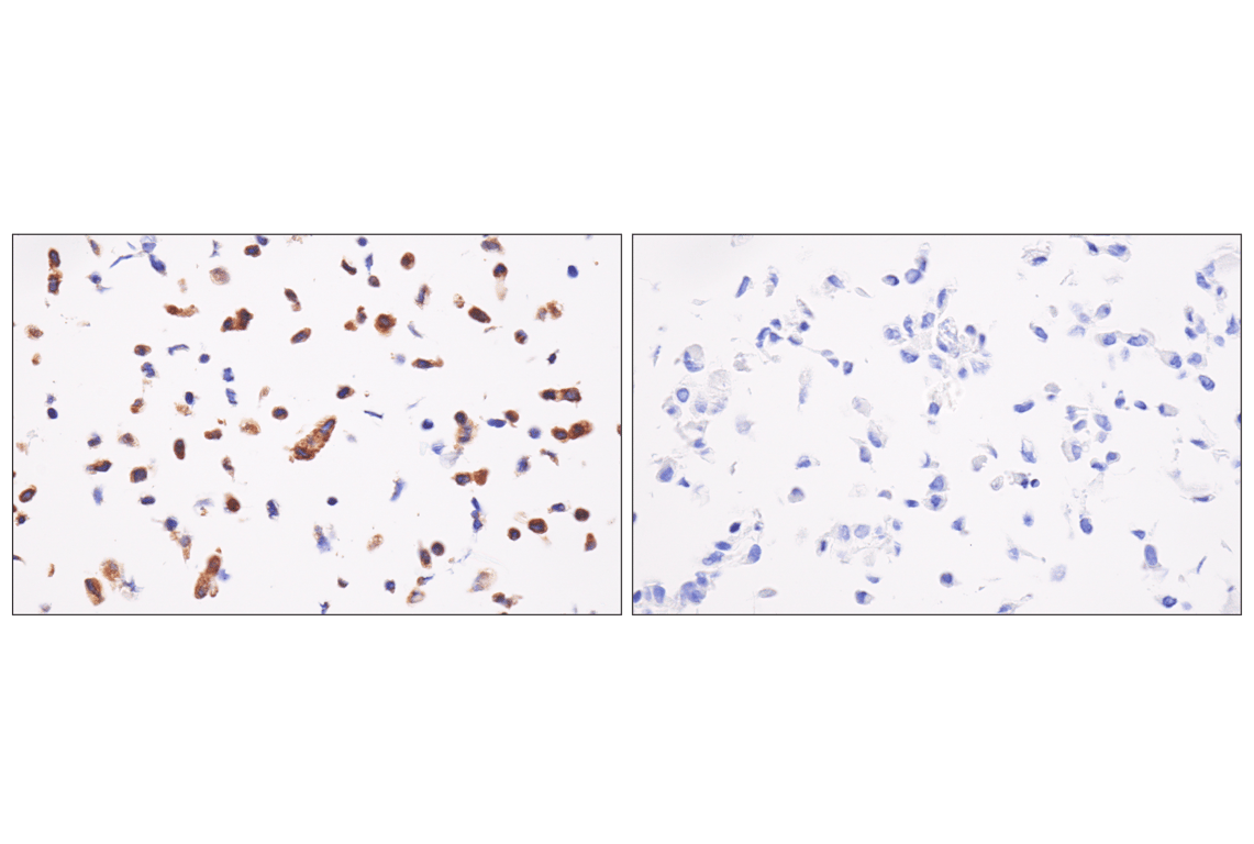
Immunohistochemical analysis of paraffin-embedded JHH-5 cell pellet (left, positive) or Caki-1 cell pellet (right, negative) using ENTPD5 (E5U3V) Rabbit mAb.
Immunohistochemistry Image 12: ENTPD5 (E5U3V) Rabbit Monoclonal Antibody
Orders: 877-616-CELL (2355) [email protected] Support: 877-678-TECH (8324) [email protected] Web: cellsignal.com
For Research Use Only. Not for Use in Diagnostic Procedures.