Revision 8

#73784

Store at -20C

CST Logo
Orders:

877-616-CELL (2355)

[email protected]

Support:

877-678-TECH (8324)

3 Trask Lane | Danvers | Massachusetts | 01923 | USA

For Research Use Only. Not for Use in Diagnostic Procedures.

Applications:
IHC-P, FC-FP

Reactivity:
H

Sensitivity:
Endogenous

Source/Isotype:
Mouse IgG1

UniProt ID:
#Q86YL7

Entrez-Gene Id:
10630

Product Usage Information

This product is the carrier free version of product #26981. All data were generated using the same antibody clone in the standard formulation which contains BSA and glycerol.

This formulation is ideal for use with technologies requiring specialized or custom antibody labeling, including fluorophores, metals, lanthanides, and oligonucleotides. It is not recommended for ChIP, ChIP-seq, CUT&RUN, or CUT&Tag assays. If you require a carrier-free formulation for chromatin profiling, please contact us. Optimal dilutions/concentrations should be determined by the end user.

BSA and Azide Free antibodies are quality control tested by size exclusion chromatography (SEC) to determine antibody integrity.

Formulation

Supplied in 1X PBS (10 mM Na2HPO4, 3 mM KCl, 2 mM KH2PO4, and 140 mM NaCl (pH 7.8)). BSA and Azide Free.

For standard formulation of this product see product #26981.

Storage

Store at -20°C. This product will freeze at -20°C so it is recommended to aliquot into single-use vials to avoid multiple freeze/thaw cycles. A slight precipitate may be present and can be dissolved by gently vortexing. This will not interfere with antibody performance.

Specificity/Sensitivity

Podoplanin (LpMab-12) Mouse mAb (BSA and Azide Free) recognizes endogenous levels of human podoplanin. The antibody specifically recognizes podoplanin that is sialylated on Thr52 in the third platelet aggregation domain (PLAG3) of human podoplanin (10).

Source / Purification

Monoclonal antibody is produced by immunizing animals with LN-229 glioma cells expressing human podoplanin.

Background

Podoplanin (aggrus, glycoprotein 36) is a single-pass transmembrane protein belonging to the type-1 family of sialomucin-like glycoproteins. Podoplanin was first described in the rat as a surface glycoprotein that regulated podocyte morphology (1). It is now commonly used as a marker of lymphatic endothelial cells, where its expression is associated with the process of lymphangiogenesis (2). Its role in this regard is presumably due to its putative involvement in regulating actin cytoskeleton dynamics (3). Research studies have shown that podoplanin expression is upregulated in a number of tumor types including colorectal cancers (4), oral squamous cell carcinomas (5), and germ cell tumors (6), with higher expression levels often associated with more aggressive tumors (7). Research studies have suggested a functional role for podoplanin in the stromal microenvironment of tumors. For example, it has been reported that podoplanin expression in cancer-associated fibroblasts (CAFs) is positively associated with a stromal environment that promotes cancer progression (8,9).~Podoplanin is O-glycosylated at multiple sites in the extracellular domain, including disialylation at Thr52 in the third platelet-aggregation (PLAG3) domain (10). Research studies have shown that glycoylation at this site is required for tumor cell-induced platelet aggregation activity (11).

Species Reactivity

Species reactivity is determined by testing in at least one approved application (e.g., western blot).

Applications Key

IHC-P: Immunohistochemistry (Paraffin) FC-FP: Flow Cytometry (Fixed/Permeabilized)

Cross-Reactivity Key

H: Human

Trademarks and Patents

Cell Signaling Technology is a trademark of Cell Signaling Technology, Inc.

SignalStain is a registered trademark of Cell Signaling Technology, Inc.

All other trademarks are the property of their respective owners. Visit cellsignal.com/trademarks for more information.

Limited Uses

Except as otherwise expressly agreed in a writing signed by a legally authorized representative of CST, the following terms apply to Products provided by CST, its affiliates or its distributors. Any Customer's terms and conditions that are in addition to, or different from, those contained herein, unless separately accepted in writing by a legally authorized representative of CST, are rejected and are of no force or effect.

Products are labeled with For Research Use Only or a similar labeling statement and have not been approved, cleared, or licensed by the FDA or other regulatory foreign or domestic entity, for any purpose. Customer shall not use any Product for any diagnostic or therapeutic purpose, or otherwise in any manner that conflicts with its labeling statement. Products sold or licensed by CST are provided for Customer as the end-user and solely for research and development uses. Any use of Product for diagnostic, prophylactic or therapeutic purposes, or any purchase of Product for resale (alone or as a component) or other commercial purpose, requires a separate license from CST. Customer shall (a) not sell, license, loan, donate or otherwise transfer or make available any Product to any third party, whether alone or in combination with other materials, or use the Products to manufacture any commercial products, (b) not copy, modify, reverse engineer, decompile, disassemble or otherwise attempt to discover the underlying structure or technology of the Products, or use the Products for the purpose of developing any products or services that would compete with CST products or services, (c) not alter or remove from the Products any trademarks, trade names, logos, patent or copyright notices or markings, (d) use the Products solely in accordance with CST Product Terms of Sale and any applicable documentation, and (e) comply with any license, terms of service or similar agreement with respect to any third party products or services used by Customer in connection with the Products.

Orders: 877-616-CELL (2355) [email protected] Support: 877-678-TECH (8324) [email protected] Web: cellsignal.com
For Research Use Only. Not for Use in Diagnostic Procedures.

Revision 8

Cell Signaling Technology Logo
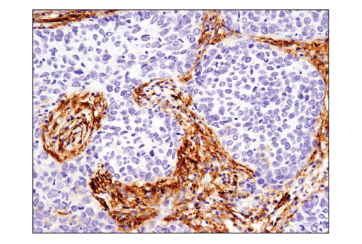
Immunohistochemical analysis of paraffin-embedded human colon carcinoma using Podoplanin (LpMab-12) Mouse mAb. Data were generated using the standard formulation of this product.
Immunohistochemistry Image 1: Podoplanin (LpMab-12) Mouse mAb (BSA and Azide Free)
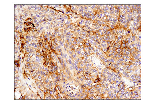
Immunohistochemical analysis of paraffin-embedded human endometrioid adenocarcinoma using Podoplanin (LpMab-12) Mouse mAb. Data were generated using the standard formulation of this product.
Immunohistochemistry Image 2: Podoplanin (LpMab-12) Mouse mAb (BSA and Azide Free)
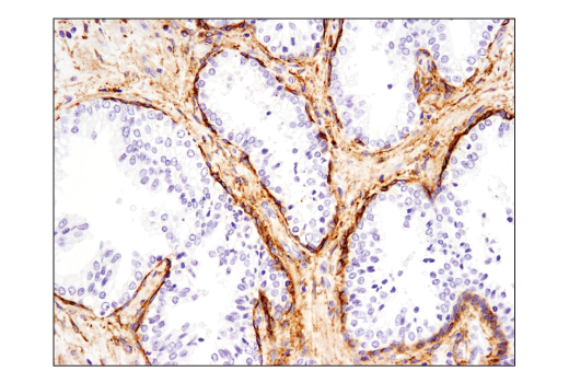
Immunohistochemical analysis of paraffin-embedded human squamous cell lung carcinoma using Podoplanin (LpMab-12) Mouse mAb. Data were generated using the standard formulation of this product.
Immunohistochemistry Image 3: Podoplanin (LpMab-12) Mouse mAb (BSA and Azide Free)
Orders: 877-616-CELL (2355) [email protected] Support: 877-678-TECH (8324) [email protected] Web: cellsignal.com
For Research Use Only. Not for Use in Diagnostic Procedures.

Revision 8

Cell Signaling Technology Logo
Immunohistochemical analysis of paraffin-embedded human prostate carcinoma using Podoplanin (LpMab-12) Mouse mAb. Data were generated using the standard formulation of this product.
Immunohistochemistry Image 4: Podoplanin (LpMab-12) Mouse mAb (BSA and Azide Free)
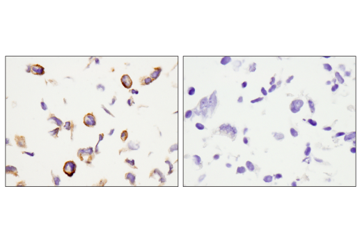
Immunohistochemical analysis of paraffin-embedded U-2 OS cell pellet (left, positive) or Saos-2 cell pellet (right, negative) using Podoplanin (LpMab-12) Mouse mAb. Data were generated using the standard formulation of this product.
Immunohistochemistry Image 5: Podoplanin (LpMab-12) Mouse mAb (BSA and Azide Free)
Flow cytometric analysis of Saos-2 cells (blue) and U-2 0S cells (green) using Podoplanin (LpMab-12) Mouse mAb (solid lines) or a concentration matched Mouse (G3A1) mAb IgG Isotype Control #5415 (dashed lines). Anti-mouse IgG (H+L), F(ab')2 Fragment (Alexa Fluor® 488 Conjugate) #4408 was used as a secondary antibody. Data were generated using the standard formulation of this product.
Flow Cytometry Image 1: Podoplanin (LpMab-12) Mouse mAb (BSA and Azide Free)
Orders: 877-616-CELL (2355) [email protected] Support: 877-678-TECH (8324) [email protected] Web: cellsignal.com
For Research Use Only. Not for Use in Diagnostic Procedures.