Revision 1

#73812

Store at -20C

CST Logo
Orders:

877-616-CELL (2355)

[email protected]

Support:

877-678-TECH (8324)

3 Trask Lane | Danvers | Massachusetts | 01923 | USA

For Research Use Only. Not for Use in Diagnostic Procedures.

Applications:
IHC-P

Reactivity:
All

Sensitivity:
Endogenous

Source/Isotype:
Rabbit

Product Usage Information

Application Dilution
Immunohistochemistry (Paraffin) 1:50 - 1:200

Storage

Supplied in 10 mM sodium HEPES (pH 7.5), 150 mM NaCl, 100 µg/ml BSA and 50% glycerol. Store at –20°C. Do not aliquot the antibody.

Specificity/Sensitivity

Hydroxyproline Antibody recognizes endogenous levels of proline only when the proline is hydroxylated. This antibody does not react with non-hydroxylated proline.

Source / Purification

Polyclonal antibodies are produced by immunizing animals with an antigen containing hydroxyproline. Antibodies are purified by affinity chromatography.

Description

Hydroxyproline Antibody provides a means of visualizing hydroxyproline in paraffin-embedded tissues. Using Hydroxyproline Antibody in the IHC assay, global collagen in tissue can be detected, while also providing contextual information that is lost in traditional hydroxyproline assays. Additionally, Hydroxyproline Antibody can be combined with other antibodies to enable detection of other markers of interest.

Background

Collagens are a large family of proteins and collectively they are the most abundant protein in mammals. They are trimeric molecules comprised of three alpha polypeptide chains that form a triple helix structure that is characteristic of all collagens (1). Collagen chains have important features that allow helix to form: every third amino acid in the sequence is a glycine, and the chains are co- and post-translationally modified. Prolines are hydroxylated by collagen prolyl 4-hydroxylases. These hydroxyproline modifications are critical for the stability of the triple helix to form fibrils (2).

While proline hydroxylation occurs on a small number of other proteins, the hydroxyproline content of tissue comes almost entirely from collagen, such that hydroxyproline quantitative biochemical assays are routinely utilized as a measurement of collagen (3).

Species Reactivity

Species reactivity is determined by testing in at least one approved application (e.g., western blot).

Applications Key

IHC-P: Immunohistochemistry (Paraffin)

Cross-Reactivity Key

All: All Species Expected

Trademarks and Patents

Cell Signaling Technology is a trademark of Cell Signaling Technology, Inc.

SignalStain is a registered trademark of Cell Signaling Technology, Inc.

All other trademarks are the property of their respective owners. Visit cellsignal.com/trademarks for more information.

Limited Uses

Except as otherwise expressly agreed in a writing signed by a legally authorized representative of CST, the following terms apply to Products provided by CST, its affiliates or its distributors. Any Customer's terms and conditions that are in addition to, or different from, those contained herein, unless separately accepted in writing by a legally authorized representative of CST, are rejected and are of no force or effect.

Products are labeled with For Research Use Only or a similar labeling statement and have not been approved, cleared, or licensed by the FDA or other regulatory foreign or domestic entity, for any purpose. Customer shall not use any Product for any diagnostic or therapeutic purpose, or otherwise in any manner that conflicts with its labeling statement. Products sold or licensed by CST are provided for Customer as the end-user and solely for research and development uses. Any use of Product for diagnostic, prophylactic or therapeutic purposes, or any purchase of Product for resale (alone or as a component) or other commercial purpose, requires a separate license from CST. Customer shall (a) not sell, license, loan, donate or otherwise transfer or make available any Product to any third party, whether alone or in combination with other materials, or use the Products to manufacture any commercial products, (b) not copy, modify, reverse engineer, decompile, disassemble or otherwise attempt to discover the underlying structure or technology of the Products, or use the Products for the purpose of developing any products or services that would compete with CST products or services, (c) not alter or remove from the Products any trademarks, trade names, logos, patent or copyright notices or markings, (d) use the Products solely in accordance with CST Product Terms of Sale and any applicable documentation, and (e) comply with any license, terms of service or similar agreement with respect to any third party products or services used by Customer in connection with the Products.

Orders: 877-616-CELL (2355) [email protected] Support: 877-678-TECH (8324) [email protected] Web: cellsignal.com
For Research Use Only. Not for Use in Diagnostic Procedures.

Revision 1

Cell Signaling Technology Logo
Immunohistochemical analysis of paraffin-embedded A-10 cell pellets, untreated (left) or treated with dehydroxyascorbic acid (right), using Hydroxyproline Antibody (top) or COL1A1 Rabbit mAb (bottom).
Immunohistochemistry Image 1: Hydroxyproline Antibody
Immunohistochemical analysis of paraffin-embedded normal human kidney (left), prostate (middle), and lung (right) using Hydroxyproline Antibody (top) or COL1A1 Rabbit mAb (bottom).
Immunohistochemistry Image 2: Hydroxyproline Antibody
Immunohistochemical analysis of paraffin-embedded normal mouse liver (left), skin (middle), and tendon (right) using Hydroxyproline Antibody (top) or COL1A1 Rabbit mAb (bottom).
Immunohistochemistry Image 3: Hydroxyproline Antibody
Orders: 877-616-CELL (2355) [email protected] Support: 877-678-TECH (8324) [email protected] Web: cellsignal.com
For Research Use Only. Not for Use in Diagnostic Procedures.

Revision 1

Cell Signaling Technology Logo
Immunohistochemical analysis of paraffin-embedded normal mouse liver (left) or diet-induced NASH mouse liver (right) using Hydroxyproline Antibody.
Immunohistochemistry Image 4: Hydroxyproline Antibody
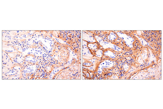
Immunohistochemical analysis of paraffin-embedded human fibrosis of the stomach using Hydroxyproline Antibody (left) or COL1A1 Rabbit mAb (right).
Immunohistochemistry Image 5: Hydroxyproline Antibody
Immunohistochemical analysis of paraffin-embedded human ductal breast carcinoma (left), esophageal adenocarcinoma (middle), and prostate carcinoma (right) using Hydroxyproline Antibody (top) or COL1A1 Rabbit mAb (bottom).
Immunohistochemistry Image 6: Hydroxyproline Antibody
Orders: 877-616-CELL (2355) [email protected] Support: 877-678-TECH (8324) [email protected] Web: cellsignal.com
For Research Use Only. Not for Use in Diagnostic Procedures.

Revision 1

Cell Signaling Technology Logo
Dual immunohistochemical analysis of paraffin-embedded human prostate carcinoma (2 regions of interest) using E-Cadherin (4A2) Mouse mAb #14472 (brown) and Hydroxyproline Antibody (red).
Immunohistochemistry Image 7: Hydroxyproline Antibody
Orders: 877-616-CELL (2355) [email protected] Support: 877-678-TECH (8324) [email protected] Web: cellsignal.com
For Research Use Only. Not for Use in Diagnostic Procedures.