Revision 5

#74683

Store at -20C

CST Logo
Orders:

877-616-CELL (2355)

[email protected]

Support:

877-678-TECH (8324)

3 Trask Lane | Danvers | Massachusetts | 01923 | USA

For Research Use Only. Not for Use in Diagnostic Procedures.

Applications:
W, IHC-Bond, IHC-P

Reactivity:
H M R

Sensitivity:
Endogenous

MW (kDa):
29

Source/Isotype:
Rabbit IgG

UniProt ID:
#Q13126

Entrez-Gene Id:
4507

Product Usage Information

Application Dilution
Western Blotting 1:1000
IHC Leica Bond 1:400 - 1:1600
Immunohistochemistry (Paraffin) 1:50 - 1:200

Storage

Supplied in 10 mM sodium HEPES (pH 7.5), 150 mM NaCl, 100 µg/mL BSA, 50% glycerol, and less than 0.02% sodium azide. Store at –20°C. Do not aliquot the antibody.

For a carrier free (BSA and azide free) version of this product see product #73819.

Specificity/Sensitivity

MTAP (E5R1I) Rabbit Monoclonal Antibody recognizes endogenous levels of total human MTAP protein.

Source / Purification

Monoclonal antibody is produced by immunizing animals with recombinant protein specific to the amino terminus of human MTAP protein.

Background

MTAP is an enzyme that is essential for the salvage pathway for both adenine and methionine synthesis. MTAP catalyzes the cleavage of 5’-methylthioadenosine into adenine and 5-methylthio-D-ribose-1-phosphate. Adenine is then used to generate AMP whereas 5-methylthio-D-ribose-1-phosphate is converted into methionine (1,2). MTAP is expressed in all normal cells and tissues, although frequently lost in different human tumors, including pancreatic adenocarcinoma, neuroendocrine tumors, non-small cell lung carcinoma, and breast carcinoma. MTAP is usually codeleted with p16 (cdkN2a/ARF) (3-5). MTAP overexpression in breast cancer cells inhibits their ability to form colonies in soft agar, thereby implicating its function as a tumor suppressor (6).

Species Reactivity

Species reactivity is determined by testing in at least one approved application (e.g., western blot).

Western Blot Buffer

IMPORTANT: For western blots, incubate membrane with diluted primary antibody in 5% w/v BSA, 1X TBS, 0.1% Tween® 20 at 4°C with gentle shaking, overnight.

Applications Key

W: Western Blotting IHC-Bond: IHC Leica Bond IHC-P: Immunohistochemistry (Paraffin)

Cross-Reactivity Key

H: Human M: Mouse R: Rat

Trademarks and Patents

Cell Signaling Technology is a trademark of Cell Signaling Technology, Inc.

All other trademarks are the property of their respective owners. Visit cellsignal.com/trademarks for more information.

Limited Uses

Except as otherwise expressly agreed in a writing signed by a legally authorized representative of CST, the following terms apply to Products provided by CST, its affiliates or its distributors. Any Customer's terms and conditions that are in addition to, or different from, those contained herein, unless separately accepted in writing by a legally authorized representative of CST, are rejected and are of no force or effect.

Products are labeled with For Research Use Only or a similar labeling statement and have not been approved, cleared, or licensed by the FDA or other regulatory foreign or domestic entity, for any purpose. Customer shall not use any Product for any diagnostic or therapeutic purpose, or otherwise in any manner that conflicts with its labeling statement. Products sold or licensed by CST are provided for Customer as the end-user and solely for research and development uses. Any use of Product for diagnostic, prophylactic or therapeutic purposes, or any purchase of Product for resale (alone or as a component) or other commercial purpose, requires a separate license from CST. Customer shall (a) not sell, license, loan, donate or otherwise transfer or make available any Product to any third party, whether alone or in combination with other materials, or use the Products to manufacture any commercial products, (b) not copy, modify, reverse engineer, decompile, disassemble or otherwise attempt to discover the underlying structure or technology of the Products, or use the Products for the purpose of developing any products or services that would compete with CST products or services, (c) not alter or remove from the Products any trademarks, trade names, logos, patent or copyright notices or markings, (d) use the Products solely in accordance with CST Product Terms of Sale and any applicable documentation, and (e) comply with any license, terms of service or similar agreement with respect to any third party products or services used by Customer in connection with the Products.

Orders: 877-616-CELL (2355) [email protected] Support: 877-678-TECH (8324) [email protected] Web: cellsignal.com
For Research Use Only. Not for Use in Diagnostic Procedures.

Revision 5

Cell Signaling Technology Logo
Western blot analysis of extracts from various cell lines using MTAP (E5R1I) Rabbit mAb (upper) or β-Actin (D6A8) Rabbit mAb #8457 (lower). Negative expression of MTAP protein in Capan-1 cells is consistent with the predicted expression pattern.
Western Blotting Image 1: MTAP (E5R1I) Rabbit Monoclonal Antibody
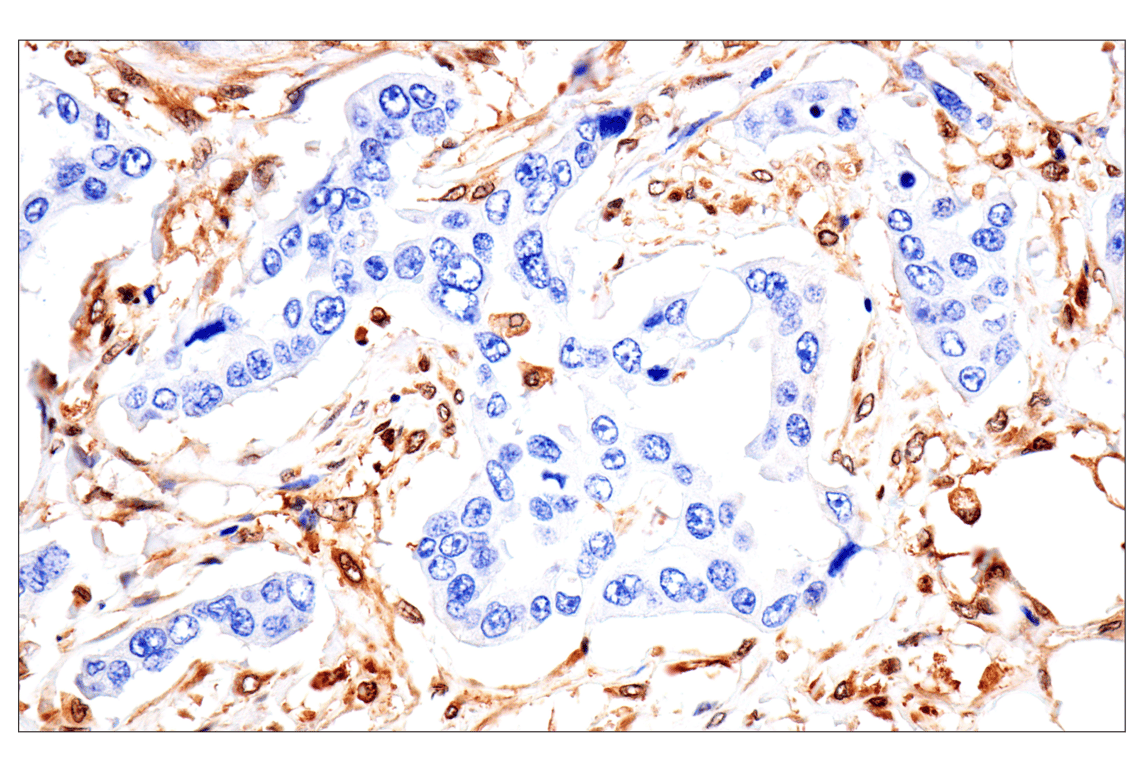
Immunohistochemical analysis of paraffin-embedded human renal cell carcinoma using MTAP (E5R1I) Rabbit mAb performed on the Leica BOND RX.
Immunohistochemistry Image 1: MTAP (E5R1I) Rabbit Monoclonal Antibody
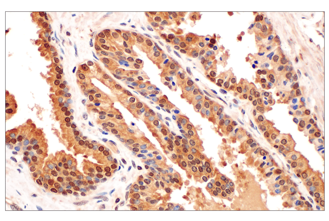
Immunohistochemical analysis of paraffin-embedded human endometrioid adenocarcinoma using MTAP (E5R1I) Rabbit mAb performed on the Leica BOND RX.
Immunohistochemistry Image 2: MTAP (E5R1I) Rabbit Monoclonal Antibody
Orders: 877-616-CELL (2355) [email protected] Support: 877-678-TECH (8324) [email protected] Web: cellsignal.com
For Research Use Only. Not for Use in Diagnostic Procedures.

Revision 5

Cell Signaling Technology Logo
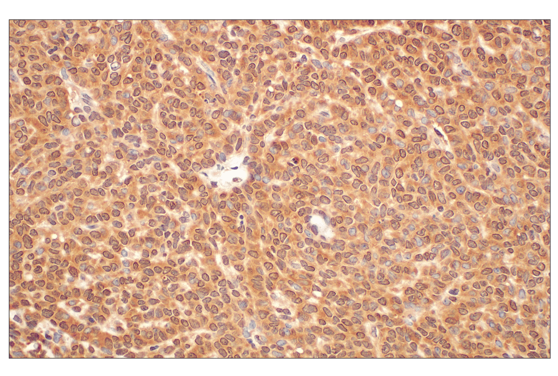
Immunohistochemical analysis of paraffin-embedded human non-small cell lung adenocarcinoma using MTAP (E5R1I) Rabbit mAb performed on the Leica BOND RX.
Immunohistochemistry Image 3: MTAP (E5R1I) Rabbit Monoclonal Antibody
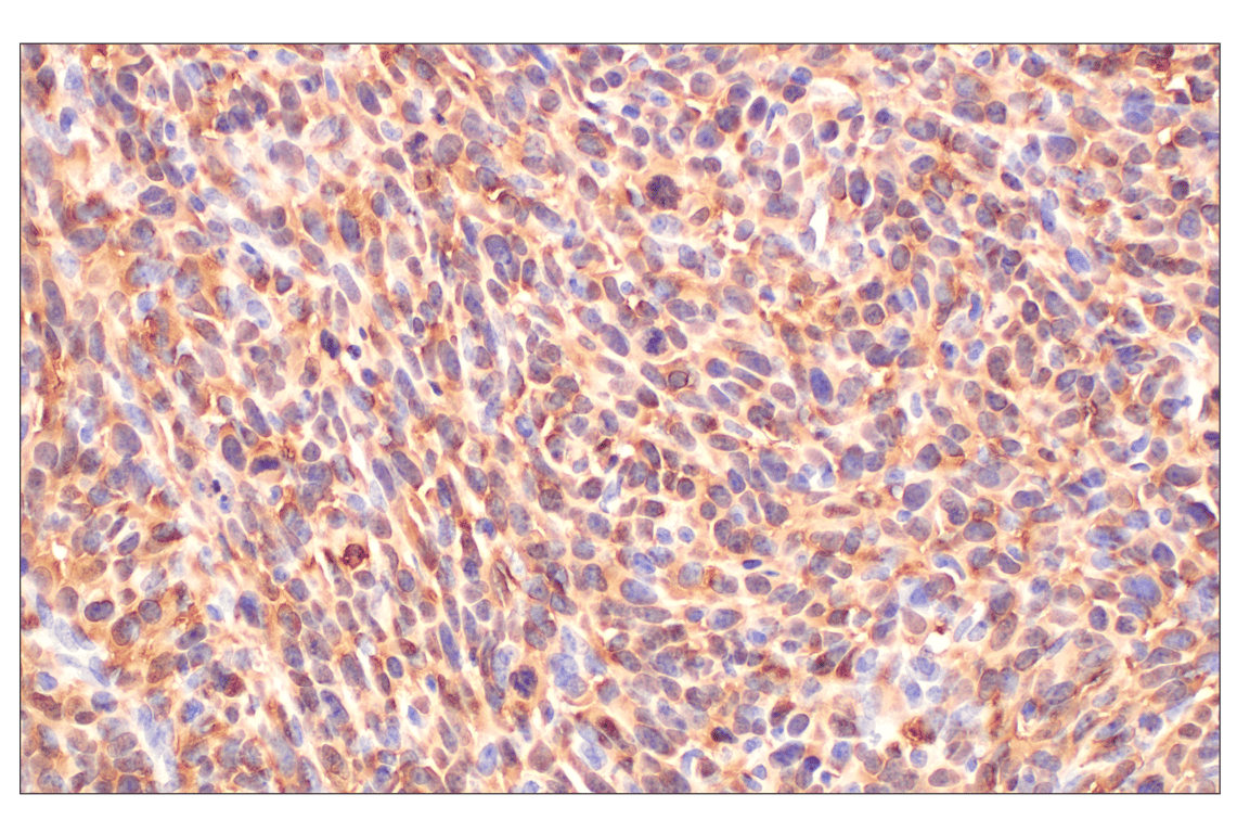
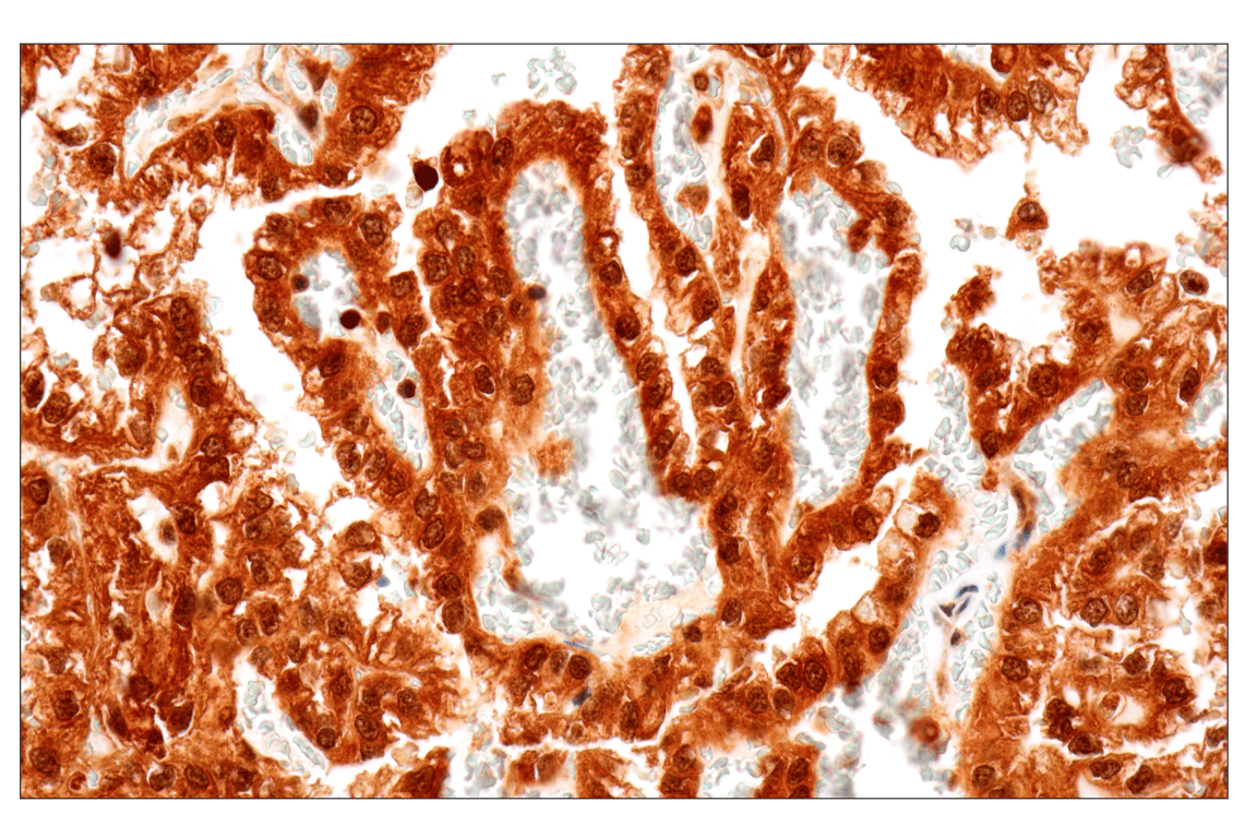
Immunohistochemical analysis of paraffin-embedded human esophageal adenocarcinoma using MTAP (E5R1I) Rabbit mAb.
Immunohistochemistry Image 1: MTAP (E5R1I) Rabbit Monoclonal Antibody
Immunohistochemical analysis of paraffin-embedded human prostate adenocarcinoma using MTAP (E5R1I) Rabbit mAb.
Immunohistochemistry Image 2: MTAP (E5R1I) Rabbit Monoclonal Antibody
Orders: 877-616-CELL (2355) [email protected] Support: 877-678-TECH (8324) [email protected] Web: cellsignal.com
For Research Use Only. Not for Use in Diagnostic Procedures.

Revision 5

Cell Signaling Technology Logo
Immunohistochemical analysis of paraffin-embedded human granulosa cell tumor of the ovary using MTAP (E5R1I) Rabbit mAb.
Immunohistochemistry Image 3: MTAP (E5R1I) Rabbit Monoclonal Antibody
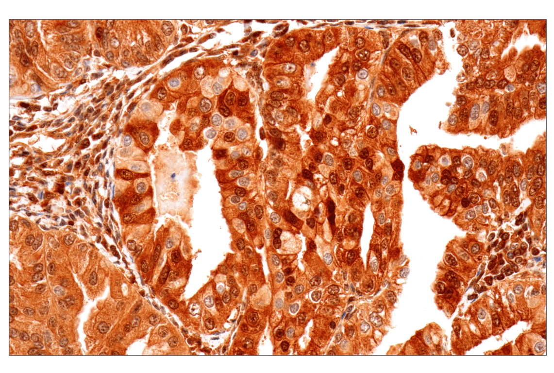
Immunohistochemical analysis of paraffin-embedded human colon adenocarcinoma using MTAP (E5R1I) Rabbit mAb.
Immunohistochemistry Image 4: MTAP (E5R1I) Rabbit Monoclonal Antibody
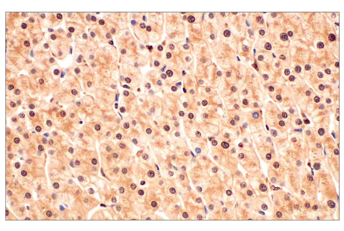
Immunohistochemical analysis of paraffin-embedded normal human liver using MTAP (E5R1I) Rabbit mAb.
Immunohistochemistry Image 5: MTAP (E5R1I) Rabbit Monoclonal Antibody
Orders: 877-616-CELL (2355) [email protected] Support: 877-678-TECH (8324) [email protected] Web: cellsignal.com
For Research Use Only. Not for Use in Diagnostic Procedures.

Revision 5

Cell Signaling Technology Logo
Immunohistochemical analysis of paraffin-embedded normal human colon using MTAP (E5R1I) Rabbit mAb.
Immunohistochemistry Image 6: MTAP (E5R1I) Rabbit Monoclonal Antibody
Immunohistochemical analysis of paraffin-embedded 4T1 syngeneic mammary tumor using MTAP (E5R1I) Rabbit mAb.
Immunohistochemistry Image 7: MTAP (E5R1I) Rabbit Monoclonal Antibody
Immunohistochemical analysis of paraffin-embedded mouse oviduct using MTAP (E5R1I) Rabbit mAb.
Immunohistochemistry Image 8: MTAP (E5R1I) Rabbit Monoclonal Antibody
Orders: 877-616-CELL (2355) [email protected] Support: 877-678-TECH (8324) [email protected] Web: cellsignal.com
For Research Use Only. Not for Use in Diagnostic Procedures.

Revision 5

Cell Signaling Technology Logo
Immunohistochemical analysis of paraffin-embedded mouse testis using MTAP (E5R1I) Rabbit mAb.
Immunohistochemistry Image 9: MTAP (E5R1I) Rabbit Monoclonal Antibody
Immunohistochemical analysis of paraffin-embedded rat colon using MTAP (E5R1I) Rabbit mAb.
Immunohistochemistry Image 10: MTAP (E5R1I) Rabbit Monoclonal Antibody
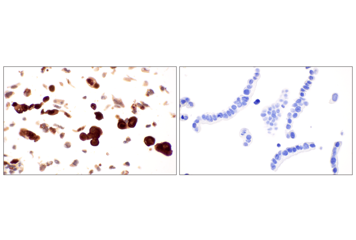
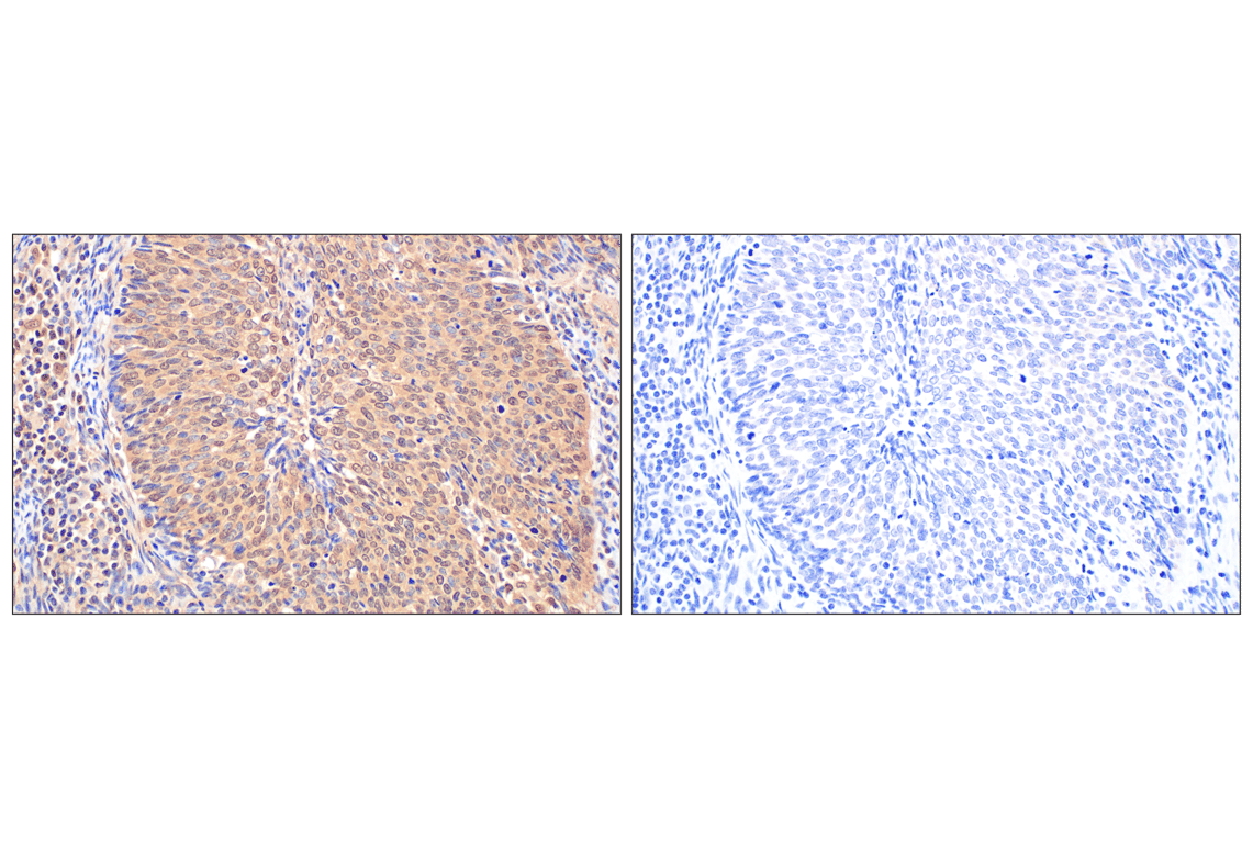
Immunohistochemical analysis of paraffin-embedded squamous cell carcinoma of the cervix using MTAP (E5R1I) Rabbit mAb (left) compared to concentration-matched Rabbit (DA1E) mAb IgG XP® Isotype Control #3900 (right).
Immunohistochemistry Image 11: MTAP (E5R1I) Rabbit Monoclonal Antibody
Orders: 877-616-CELL (2355) [email protected] Support: 877-678-TECH (8324) [email protected] Web: cellsignal.com
For Research Use Only. Not for Use in Diagnostic Procedures.

Revision 5

Cell Signaling Technology Logo
Immunohistochemical analysis of paraffin-embedded HPAF-II cell pellet (left, positive) or Capan-1 cell pellet (right, negative) using MTAP (E5R1I) Rabbit mAb.
Immunohistochemistry Image 12: MTAP (E5R1I) Rabbit Monoclonal Antibody
Orders: 877-616-CELL (2355) [email protected] Support: 877-678-TECH (8324) [email protected] Web: cellsignal.com
For Research Use Only. Not for Use in Diagnostic Procedures.